| Chapter 36 Thyroid Orbitopathy Susan M. Tucker, Nancy A. Tucker and John V. Linberg Table Of Contents |
| Thyroid orbitopathy represents an organ-specific autoimmune process
that is usually associated with thyroid disease. Although Parry, Graves, and
von Basedow are all credited with reporting the association
between toxic goiter and ophthalmopathy in 1825, 1835, and 1840, respectively,1–3 a much earlier description of goiter with exophthalmos exists from 12th
century Persian writings.4 A variety of terms have been used to describe the constellation of eye
findings that can occur in patients with thyroid disease: thyroid orbitopathy, dysthyroid orbitopathy, thyroid ophthalmopathy, Graves' ophthalmopathy, infiltrative ophthalmopathy, thyroid eye disease, endocrine ophthalmopathy, endocrine exo-phthalmos, and malignant exophthalmos. We prefer the term thyroid orbitopathy (TO) because the disease is known to occur in conditions other
than Graves' disease, and the orbit is the primary site of involvement. Graves' disease is the most common thyroid abnormality associated with TO, but other disorders of the thyroid can have similar ocular manifestations. These include Hashimoto's thyroiditis, thyroid carcinoma, primary hyperthyroidism, and primary hypothyroidism.5–7 Approximately 25% to 50% of patients with Graves' disease have or will develop clinically apparent TO,8,9 although fewer than 5% of patients with Graves' disease have severe ophthalmopathy.10 However, subclinical orbital alterations can be detected on ultrasonography or computed tomography (CT) in the majority of patients.11,12 Of those patients with TO, approximately 10% are clinically euthyroid,13 but the majority of these patients have laboratory evidence of thyroid autoimmune disease, including TSH receptor antibodies (TRAb), antithyroglobulin, and/or antimicrosomal (also called antithyroid peroxidase) antibodies, negative TRH test, or negative T3 suppression test.6,13,14 Of patients with euthyroid orbitopathy, approximately 25% will develop thyroid dysfunction at 1 year and 50% at 5 years.7 In general, patients with euthyroid Graves' disease tend to have less severe orbitopathy.15 In 70% to 85% of patients, eye signs develop within 18 months of the detection of the thyroid disease.13,16 The onset of TO is, however, unpredictable and can precede or occur many years after the diagnosis of Graves' disease.17 Thyroid orbitopathy is usually a slow, progressive disease that may have a fluctuating course over months to several years before undergoing a gradual and often incomplete regression.18 |
| EPIDEMIOLOGY |
| Overall, TO has an incidence rate of 16 females and 2.9 males per 100,000 population
per year.7 Bimodal peak incidence rates for women occur from ages 40 to 44 years
and 60 to 64 years; for men from ages 45 to 49 years and 65 to 69 years.7 There appears to be an increased prevalence of thyroid disease in smokers, for
whom the relative risk of developing TO is twice as high as it
is for nonsmokers.19 The reason for this difference is not known, but one possibility is that
the decreased immunosuppression in smokers may allow greater expression
of autoimmune processes. Other theories, which have been postulated
to explain this association include orbital hypoxia, the effects of
thiocyanate, increased circulating thyroglobulin levels leading to higher
levels of thyroid antigen release, nicotine leading to adrenergic
stimulation of the thyroid gland, direct irritative effects, and localized
changes in the orbital circulation.20,21 There is some genetic predisposition; the concordance level is 50% in identical twins and 30% in nonidentical twins. Also, there is an increased prevalence of HLA-B8 and HLA-DR3 in Caucasians,22 HLA-DRW6 in African Americans,23 and HLA-B35 in Japanese patients with Graves' disease.24 These HLA associations, however, are of no predictive value for the development of orbitopathy in patients with Graves' disease. In keeping with its probable underlying autoimmune nature, patients with TO may have other organ-specific or generalized autoimmune disorders, such as diabetes mellitus, Addison's disease, vitiligo, pernicious anemia, or myasthenia gravis.25 |
| ETIOLOGY |
| Although a number of important details in the complex pathogenesis of TO
have been clarified in recent years, the precise nature of this autoimmune
process and the source of the offending antibodies are still poorly
understood and largely speculative. Current understanding of this autoimmune process in the pathogenesis of thyroid orbitopathy is the result of developments that have occurred over the past 50 years. Historically, before an underlying autoimmune etiology was suspected, overactivity of the thyroid gland was thought to be due to increased thyroid-stimulating hormone (TSH, thyrotropin). Once assays were available for TSH, however, TSH was found to be low in most patients with Graves' disease. In 1956, Adams and Purves26 isolated a factor in the serum of patients with Graves' hyperthyroidism that caused stimulation of the animal thyroid gland. This factor was very similar to TSH but had a longer half-life, and was therefore called long-acting thyroid stimulator (LATS). In 1964, Kriss et al.27 showed that LATS had the structure of an IgG immunoglobulin, and its action could be neutralized by thyroid tissue, indicating that it was an antibody. Further experiments have shown that hyperthyroidism in Graves' disease is due to the binding of stimulatory autoantibodies to the TSH receptor (TSAb) on thyroid follicular cells.8 In contrast, the pathophysiology of TO is less well understood. Circulating antibodies against proteins contained in eye muscle (63 kDa and 64 kDa) and retro-orbital fibroblasts (23 kD) are frequently detected in sera of patients with TO, but they lack tissue and disease specificity.28 Most investigators agree that these antibodies are produced secondary to the disease process and are probably not involved as primary autoimmune targets. Several investigators have examined the TSH receptor as a possible orbital autoantigen, however, there currently exists little evidence to directly link this receptor in the pathogenesis of TO. Although in several studies the level of TSH receptor antibodies (TSAb) has been correlated with the degree of ophthalmopathy (eyelid swelling, proptosis, and extraocular muscle involvement),29,30 other studies have found no such association.31,32 Insulin-like growth factor 1 (IGF-1) receptor, which is highly expressed in Graves' fibroblasts, may be another possible autoantigen.33 However, the identity of the relevant self-antigen remains to be determined. Although the relative contribution of cellular and humoral immunity to the pathogenesis of TO remains uncertain, it is likely that both are important for full clinical expression and propagation of the autoimmune process within the orbit.34 Orbital fibroblasts appear to have a central role in the pathogenesis of TO through mechanisms that are not completely understood but which are likely mediated by cytokines.8,34,35 Orbital fibroblasts have been shown to have distinct phenotypic properties, with the ability to activate a diverse array of immunocompetent cells with the release of such chemoattractants as the cytokine IL-16 and the chemokine RANTES.36 These chemoattractants may orchestrate T lymphocyte infiltration of many tissues, including the thyroid.36 Activated endomysial fibroblasts also then produce glycosaminoglycans (mostly hyaluronan) and collagen, causing edema and fibrosis.8 Additionally, a subpopulation of orbital fibroblasts appears capable of undergoing adipocyte differentiation in vitro, which contributes to the orbital volume augmentation.37 |
| PATHOLOGY |
| The predominant orbital pathology is inflammation of the orbital soft tissues
and the interstitial connective tissue of the extraocular muscles. This
immune-mediated inflammation consists mostly of lymphocytes, plasma
cells, and a scattering of mast cells.38,39 These inflammatory changes differ from the more exuberant lymphocytic
infiltration of the orbital fat, extraocular muscles, and their tendinous
insertions seen in idiopathic orbital inflammatory disease.40 Also, eosinophils and germinal centers with follicles, such as may be
found in other noninfectious orbital inflammations, are typically absent
in thyroid orbitopathy.38 In the latter stages of TO, interstitial fibrosis results in muscle atrophy
and degeneration.41 The inflammatory process involves the endomysial connective tissue, and other orbital structures are affected to a lesser extent. The lacrimal gland typically shows a mild mononuclear cell infiltration and interstitial edema, with mild fibrosis and atrophy of acinar structures.41 Similarly, in the contiguous orbital fat, there is only a small amount of inflammation.41 The tendinous insertions onto the globe and the optic nerve meninges generally show no inflammation at all. The increased orbital volume is due to the accumulation of glycosaminoglycan, in which hyaluronan predominates, and collagen in the connective tissues of the extraocular muscles (not the myocytes themselves) and the orbital fat compartments, and de novo adipogenesis in these tissues.8 The hydrophilic glycosaminoglycan macromolecules result in an osmotic accumulation of water within the perimysial and retro-ocular connective tissues. Impaired venous drainage from the orbit may also contribute to the increased orbital volume. In particular, enlargement of the superior rectus muscle may reduce venous outflow by compressing the superior ophthalmic vein. |
| CLASSIFICATION | ||||||||||||||||||||||||||||||||||||||||||||||||||||||||||||||||||||||||||||||||||||||||||||||||||||||||||||||||
| Attempts have been made to classify the various manifestations of thyroid
orbitopathy. Werner42 introduced the NOSPECS classification system in 1963. The first version
did not allow for quantitation of the severity of ophthalmopathy and
was therefore updated by the American Thyroid Association in 1977 by
devising an ophthalmopathy index scoring system to allow improved evaluation
of the severity of the ophthalmopathy within each class (Table 1).43 In 1989 Bartalena et al.44 proposed a newer classification system in which the index scoring system
was modified to place more significance on the vision-threatening
manifestations of thyroid orbitopathy. Bartalena et al. proposed
that the scores in each class could be mathematically added to arrive
at a final ophthalmopathy score for each patient.
TABLE 1. Classification and Grading of Thyroid Orbitopathy
We believe that the NOSPECS classification is a helpful mnemonic for medical students and beginning ophthalmology residents as a reminder of the various manifestations of thyroid orbitopathy. Otherwise, classification systems should be discouraged because patients usually do not fit into a single class; there is often not an orderly progression from one class to the next; the use of Snellen visual acuity alone to assess optic nerve involvement is inadequate; the classification is not helpful in making treatment decisions, and the classification has almost no prognostic value. Even as a means of standardizing the results of clinical trials, comparing the final ophthalmopathy score of one patient with that of another is difficult to interpret. We believe it is better to carefully document and follow each manifestation of a given patient's thyroid orbitopathy and base treatment decisions, accordingly. |
| CLINICAL MANIFESTATIONS | ||
The clinical manifestations of thyroid orbitopathy are due to inflammation, edema, and
fibrotic changes within the soft tissues of the orbit, resulting
in enlargement of retrobulbar tissues and restriction of extraocular
muscle motion45 (Figs. 1 and 2). Although asymmetric eye involvement is quite common, unilateral
eye disease occurs in only 5% to 14% of patients with TO.11,46
EXOPHTHALMOS Thyroid orbitopathy is the most common cause of both unilateral and bilateral proptosis in adults. Exophthalmos, defined as measurement of 2 mm or more above normal limit (upper normal limit of globe protrusion in Caucasians is 20 mm; African Americans, 22 mm; and individuals of Japanese descent, 18 mm),43,47,48 occurs in 20% to 30% of patients with Graves' disease and in 40% to 70% of patients with TO.46 The proptosis is bilateral in 80% to 90% of affected individuals,46 but it may be asymmetric (Fig. 3). Thyroid orbitopathy results in an axial proptosis as the muscle and connective tissue volume behind the eye increases; displacement of the globe in any other direction is suggestive of another diagnosis. When the pressure within the retrobulbar tissues exceeds the forces counteracting proptosis, the rare complication of subluxation of the globe anterior to the eyelid may occur.
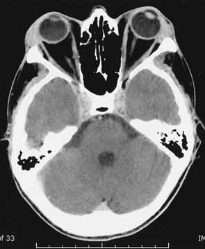
The increased orbital volume is usually due to both extraocular muscle and orbital fat expansion; however, patients younger than 40 years of age are more likely to exhibit orbital fat enlargement in the absence of muscle enlargement, whereas patients over 70 years are more prone to severe, fusiform muscle enlargement without significant changes in orbital adipose tissue volume.49 Forbes et al.11 reported enlargement of the fat compartment in 46% of patients with TO, whereas 8% had increased fat compartments with normal muscle volumes (Fig. 4). EYELID CHANGES In the inflammatory stage, careful examination of these patients may reveal eyelid edema or a fine tremor of gently closed eyelids. Von Graefe's sign is the lag of the downward movement of the upper eyelid on slow downgaze. Early eyelid lag is best detected by having the patient hold a fixation target at arm's length high above the head; the patient maintains fixation as he or she slowly lowers the target. Thyroid orbitopathy is the most common cause of upper eyelid retraction, which may be accentuated by the coexistence of exophthalmos. Eyelid retraction is the most common sign of TO, present in 75% of patients at diagnosis and occurring at some point in the clinical course in more than 90% of patients.7 Upper eyelid retraction may be due to adrenergic overaction of the Müller's muscle, fibrosis and functional shortening of the levator muscle, and/or overaction of levator-superior rectus muscle complex, secondary to fibrosis of the inferior rectus muscle.50 With minimal eyelid retraction, a misdiagnosis of ptosis of the opposite eyelid can be made. The upper eyelid retraction in Graves' disease has a characteristic temporal flare, with a greater amount of sclera visible laterally as compared with medially. This may occur, in part, because the eye in primary position looks away from the orbital axis and projects more lateral sclera.51 The lower eyelid retraction may result from similar changes in the capsulopalpebral fascia (Fig. 2). EXTRAOCULAR MUSCLE INVOLVEMENT Thyroid disease should be considered in all cases of adult-onset strabismus. Using sensitive measurement techniques, such as ultrasound, CT, and MRI, extraocular muscle enlargement has been noted in 60% to 98% of patients with Graves' disease,46 and restrictive extraocular myopathy occurs in approximately 42% of patients with TO.52 The most common motility abnormality is limitation of elevation owing to fibrosis of the inferior rectus muscle, which results in diplopia on upgaze (Fig. 3). The second most common muscle to be involved clinically is the medial rectus, followed by the superior rectus/levator complex, and finally the lateral rectus.53,54 Some studies have found the medial rectus muscle to be more frequently involved than the inferior rectus,12,55 and one study found the superior rectus muscle to be most frequently involved.56 Isolated muscle enlargement usually involving the inferior rectus muscle may occur in a small percentage of patients and often remains monomuscular.57 This differs from monomuscular myositis, which most commonly involves the medial rectus.58 The mechanisms underlying disproportionate involvement of the extraocular muscles are poorly understood. It may, in part, be due to the well-developed connective tissue system around the inferior oblique and inferior rectus muscles, which also have the greatest number of septal connections with the adjacent periorbit.59 The increased intraocular pressure measured during upgaze in patients with thyroid orbitopathy is a normal phenomenon exaggerated by thyroid orbitopathy and other infiltrative and congestive orbital processes.60 When restriction of the inferior rectus muscle occurs, the intraocular pressure may increase by 6 mm Hg or more in upgaze as compared with primary gaze. It is often not an indicator of early disease because it occurs infrequently in patients with minimal eye findings.60 Significant reduction in intraocular pressure has been reported following decompression surgery and botulinum A toxin injections into the inferior rectus muscle.61,62 LACRIMAL GLAND Although still speculative, a primary lacrimal gland dysfunction with an altered rate of tear production or a change in the protein composition of tears may be present in patients with thyroid orbitopathy.63 CORNEAL AND CONJUNCTIVAL INVOLVEMENT Corneal involvement due to exposure keratitis may result from proptosis, upper eyelid retraction, lower eyelid retraction, lagophthalmos, or a combination of these. Exposure keratitis may range from minimal staining of the lower cornea to severe keratitis and even corneal ulceration. Superior limbic keratitis (SLK) may exist, especially when upper eyelid retraction is present. SLK may be a prognostic marker for severe TO: in a study of 57 patients with SLK by Kadrmas et al.,64 16/33 (48.5%) had severe enough orbitopathy to require orbital decompression. Conjunctival chemosis and injection of the conjunctival and episcleral vessels overlying the insertions of the extraocular muscles can be seen in the inflammatory stage of TO. OPTIC NEUROPATHY The prevalence of optic neuropathy with visual loss in patients with thyroid orbitopathy is less than 5%.65 Optic neuropathy is, however, the most common cause of blindness secondary to thyroid orbitopathy. Left untreated, as many as 21% of patients develop an irreversible deficit in visual acuity.65–67 Its onset is often insidious and may be masked by other symptoms. These patients are usually older (ages 50 to 70), have a later onset of thyroid disease, and more often have diabetes.65,68 The ratio of women to men is widely variable among reported series; in a large retrospective study of 215 patients with optic neuropathy, the ratio of women to men was 2.4:1.69 Optic neuropathy is usually bilateral, but up to one-third of cases may be unilateral.65,68 Most cases of optic neuropathy are due to compression of the optic nerve by the enlarged extraocular muscles at the orbital apex (Fig. 5). Patients with compressive optic neuropathy have a more symmetric involvement of the extraocular muscles as compared with most patients with thyroid disease.65 Although patients with optic neuropathy usually have proptosis, optic neuropathy can occur without significant proptosis in patients whose orbital septum efficiently limits anterior globe displacement, despite increased retrobulbar pressure. Very rarely, optic neuropathy can occur without significant muscle enlargement. In these cases, it is postulated that a short optic nerve is being stretched or the optic nerve is being compressed by surrounding orbital fat.49 These cases are so rare that optic neuropathy in the absence of muscle enlargement or proptosis should be investigated thoroughly to rule out other etiologies. Although a history of decreased vision should be carefully sought, it is important to realize that optic neuropathy can occur in a significant number (18%) of patients with visual acuities in the range of 20/20 to 20/25 6/6 to 6/7.5 [Metric equivalent given in parentheses after Snellen notation]).68 An afferent pupillary defect is present in 35%.68 An abnormal disc (either swollen or pale) is seen in only 53%. Visual field defects are present in 66%.68 In a large retrospective study of 291 eyes with visual field defects from optic neuropathy, 49% were inferior, 37% were central or cecocentral, 12% showed generalized depression, 1% had superior depression, and 1% had bitemporal depression.69 The Farnsworth-Munsell 100-hue color vision test is a sensitive indicator of optic nerve dysfunction, but pseudoisochromatic screening procedures (e.g., Ishihara plates) rarely identify an acquired color defect, unless optic neuropathy is severe.68 The pattern reversal VEP is very sensitive at detecting early optic neuropathy and may be a useful means of following patients after treatment. |
| DIAGNOSTIC TOOLS |
| When the ophthalmologic signs and symptoms raise a suspicion of underlying
thyroid disease, the systemic thyroid status should be assessed. This
includes a history pertaining to weight loss, increased appetite, heat
intolerance, difficulty sleeping, weakness of the limb girdle muscles, and
mood changes. The thyroid gland should be palpated to detect
an enlargement. Less commonly, infiltrative dermopathy characterized
by pretibial myxedema and thyroid acropathy characterized by clubbing
and subcutaneous fibrosis of the fingers may be seen. Laboratory tests
should be ordered to confirm a suspected thyroid abnormality. All patients
with newly diagnosed thyroid disease should be referred to an endocrinologist
or internist for management and follow-up of the
systemic thyroid status. Some patients with thyroid orbitopathy may initially present with nonspecific complaints, such as eyelid fullness, ocular irritation, or lacrimation and the diagnosis of thyroid orbitopathy may not be suspected. These clinical presentations are most often not thyroid related and may be caused by dry eye, lacrimal outflow obstruction, or a variety of primary abnormalities of the eyelid, conjunctiva, or cornea. In these situations a high index of suspicion is required to search for clinical evidence of thyroid disease, followed by appropriate laboratory investigations. The ophthalmologist's examination must be directed toward the detection of subtle signs of thyroid orbitopathy. |
| LABORATORY INVESTIGATION |
| In patients with suspected Graves' disease, laboratory tests can be
used to detect hyperthyroidism. Thyroid stimulating hormone immunoradiometric
assay (TSH-IRMA, sensitive TSH, sTSH) reliably
separates normal from hyperthyroid states. It is the most useful first-line
test of thyroid function in patients with thyroid disease. It
is so consistent, sensitive, and reliable that it renders the
TRH stimulation test almost obsolete in the diagnosis of hyperthyroidism.70 One of the few remaining indications for the TRH stimulation test is in
the detection of hyperthyroidism in hospitalized patients with severe
thyroidal illness.71 A general strategy for laboratory testing is to first obtain results of
the TSH-IRMA. If this is normal, then the patient is said to
be euthyroid. In patients with suspected thyroid orbitopathy, further
testing for antibodies is then indicated. If the TSH-IRMA value
is elevated, or undetectable, then overt hypothyroidism or hyperthyroidism
can be distinguished from subclinical disease by measuring the free
T4. Some clinicians, therefore, routinely initially order the free T4 test along with the TSH-IRMA to avoid the delay and inconvenience
of the stepwise approach to diagnosis. Three antibodies can currently be measured using standard techniques: thyrotropin receptor antibodies, antimicrosomal antibodies, and antithyroglobulin antibodies. In Graves' disease, thyrotropin receptor antibodies are present in 85% to 95% of patients with untreated Graves' hyperthyroidism and in approximately 50% of patients with euthyroid Graves' disease. Antimicrosomal antibodies are found in 60% of patients, and antithyroglobulin antibodies are present in approximately 30% of patients.70,72 When these tests are positive they help support a diagnosis of autoimmune thyroid disease. Thyrotropin receptor antibody levels are also helpful in pregnant women because of the predictive value of an increased thyrotropin receptor antibodies for neonatal Graves' disease in the infant, irrespective of the mother's thyroid status.72 |
| ULTRASONOGRAPHY |
| Ultrasonography can detect early thyroid disease in patients with equivocal laboratory tests; however, its usefulness depends on the skills and experience of the ultrasonographer. Most patients with Graves' disease, even those without overt eye findings, have ultrasonographic evidence of extraocular muscle involvement.73 This test may also be helpful in distinguishing between active and inactive disease; there is a lower internal reflectivity of the extraocular muscles in active as compared with inactive disease.74 Ultrasonography is, however, less suited than CT to assessing muscle thickness at the orbital apex. |
| COMPUTED TOMOGRAPHY (CT) |
| CT is not necessary in most patients who present with a clinical picture
and supporting laboratory evidence of Graves' disease. It is, however, indicated
when optic neuropathy is suspected, before orbital decompression, to
examine the anatomic relationship of the orbit to both
the sinus cavities and the cribriform plate, in patients with atypical
proptosis or motility disturbances; or instead of ultrasonography to
detect early thyroid orbitopathy in patients with equivocal results
of laboratory tests. Like ultrasonography, CT allows reliable identification
of even minimal enlargement of the recti muscles.40 Of those patients with clinical unilateral thyroid orbitopathy, CT will
detect subclinical enlargement of the extraocular muscles on the contralateral
side in 50%.75 The most characteristic CT finding in thyroid orbitopathy is enlargement of the extraocular muscles, which is usually bilateral and symmetric and has a fusiform configuration, with sharply defined borders and sparing of the tendinous insertions. Atypical cases with tendon involvement and blurred muscle margins have been described.75 The pattern of muscle enlargement on CT parallels that seen clinically. The inferior rectus is the most commonly involved, followed by the medial rectus, superior rectus, and lateral rectus. Other findings include proptosis and anterior prolapse of the orbital septum due to excessive orbital fat and muscle swelling (see Fig. 4).76 Also, lacrimal gland enlargement and bone remodeling without erosion can occur.75 Patients at risk for developing optic neuropathy may also have severe apical crowding, a dilated superior ophthalmic vein, and anterior displacement of the lacrimal gland.68 Of these, apical crowding is the most sensitive indicator for the presence of optic neuropathy (Fig. 5A).56 Both axial and coronal CT cuts should be obtained; the coronal plane is needed to assess the enlargement of the extraocular muscles at the apex (see Fig. 5B). |
| MAGNETIC RESONANCE IMAGING (MRI) |
| Although more expensive than CT, magnetic resonance imaging (MRI) is the preferred imaging modality for delineating subtle compressive optic neuropathy. MRI using 1.5 tesla units and orbital surface coils provides optimal spatial resolution of the orbit. MRI may also be useful in distinguishing between active and inactive disease by recognizing the increased fluid associated with inflammation: extraocular muscles that have acute inflammation have longer T2 relaxation times owing to the higher water content.77–79 However, this is not widely used because it is difficult to perform and time-consuming and may be of limited use in the decision of whether or not to apply immunosuppression therapy.77,78 |
| VISUAL FIELD |
| A visual field should be performed in all patients suspected to have optic neuropathy and is useful when following patients after initiation of treatment. |
| DIFFERENTIAL DIAGNOSIS |
| Most patients with thyroid orbitopathy present with typical signs and symptoms
of bilateral eyelid retraction and proptosis that are almost pathognomonic
of thyroid orbitopathy. In these patients the diagnosis is
easily made and confirmed through laboratory testing. Occasionally, however, a
patient with thyroid orbitopathy may be misdiagnosed. Clinical presentations in which the possibility of thyroid orbitopathy is often overlooked include ocular irritation, lacrimation, and minimal eyelid retraction in early thyroid orbitopathy. Thyroid orbitopathy may also mask as a superior oblique palsy or be confused with the motility disturbances seen in myasthenia gravis. When thyroid orbitopathy presents as an acute orbital inflammation, it must be distinguished from myositis, orbital cellulitis, or scleritis. Myositis is more likely to be unilateral, involving a single muscle, with tendon involvement revealed by ultrasonography or CT. The differentiation between myositis and thyroid muscle enlargement on CT may, however, be difficult because the tendon swelling in myositis is not a consistent finding and because multiple muscles may be affected.75 Unlike thyroid orbitopathy, myositis most commonly involves the medial rectus (57%), followed by the lateral rectus (36%).80 The differential diagnosis of proptosis includes orbital neoplasms, orbital myositis, granulomatous processes (e.g., sarcoidosis, Wegener's granulomatosis), orbital cellulitis or abscess, vascular lesions (carotid-cavernous fistulas), and miscellaneous causes, such as lithium therapy, cirrhosis, and amyloidosis. The differential diagnosis of eyelid retraction includes neurologic disorders, such as midbrain disease (e.g., Parinaud's syndrome), hydrocephalus, aberrant regeneration of cranial nerve 111, sympathomimetic drugs, cirrhosis, and postoperative after ptosis repair or eyelid reconstruction. Pseudo-retraction occurs with ptosis in the normal-appearing contralateral eyelid, exophthalmos, and unilateral high axial myopia. The differential diagnosis of extraocular muscle enlargement includes primary or local tumor invasion (including lymphoma, rhabdomyosarcoma, meningioma), myositis, metastatic tumor, and vascular abnormalities, such as carotid-cavernous fistula, infection, and acromegaly. Primary and metastatic tumors usually involve a single muscle and produce a nodular muscle enlargement with sharp borders and frequent bony changes. A carotid-cavernous fistula will have a prominent vascular channel within the orbit, including an enlarged superior ophthalmic vein, and uniform, moderate enlargement of the horizontal recti, especially the medial rectus.40 Infectious cases usually demonstrate unilateral, single muscle enlargement, blurred margins, tendon involvement, and contiguous soft tissue changes. Acromegaly results in bilateral enlargement of all recti, may involve the insertions, and shows mild enlargement of the optic nerve sheaths without vascular distension. |
| MANAGEMENT |
| The management of thyroid disorders necessitates both treatment of the
systemic thyroid disease and management of the TO. Although the treatment
of the systemic thyroid dysfunction will be initiated and followed
by the collaborating endocrinologist, it is important for the ophthalmologist
to have a general knowledge of the treatment options available. The emphasis of the ophthalmologist's clinical evaluation should be to detect ocular involvement that requires either medical or surgical intervention. The clinical examination should include: (1) testing for the best corrected visual acuity, (2) color vision testing, (3) examination for an afferent pupillary defect, (4) extraocular muscle motility examination, (5) measurement of the lid fissure height in primary gaze, (6) measurement of upper and lower scleral show, (7) exophthalmometry to detect proptosis, (8) slit-lamp biomicroscopy to assess the tear film and fluorescein pattern, and (9) fundus examination to detect optic disc swelling or pallor. SYSTEMIC THYROID DISEASE Natural History The mortality from untreated Graves' disease is 10% to 30%, and morbidity can occur from cardiovascular and neuropsychiatric complications.81 Treatment of thyroid dysfunction is therefore recommended. The three modes of therapy are medication, iodine-131 (131I), and surgery.82–84 In the United States the majority of patients are treated with 131I, whereas in Europe medications are more often used as the first line of therapy.85 Medical Therapy The antithyroid drugs, methimazole and propylthiouracil (PTU), will restore euthyroidism within a few weeks by inhibiting the thyroid's ability to produce hormones.86 Carbimazole is used in Europe and is converted in vivo to the active metabolite methimazole. With the proper dosage, symptoms can be controlled within a few weeks.72 Drug therapy needs to be continued until clinical remission and normalization of circulating thyroid hormones is obtained. Unfortunately, permanent remission after drug therapy can be obtained in less than 50% of the patients,72 and some studies show a long-lasting remission in no more than 25% of unselected patients.87 The chance of long-lasting remission is improved with larger doses of medication and low levels of dietary iodine. Antithyroid drugs do have adverse side effects, such as rash, arthralgias, leukopenia, and agranulocytosis.72,88 The reported incidence of agranulocytosis is 0.1% to 0.5% and is thought to be immunologically mediated. PTU can also cause hepatitis and a lupus-like syndrome.88 Because PTU does not cross the placental barrier as readily as methimazole, it is the medication of choice during pregnancy. Iodine-131 131I, the standard radionuclide for therapy, has been shown to be reliable and safe.85 The use of 131I therapy in children is controversial but is most likely safe.72 In women of childbearing age, a negative pregnancy test should be documented before administering 131I. 131I is given by mouth either in liquid or capsule form and works by emitting β particles that are locally destructive to the thyroid gland. After the treatment, most patients improve by 6 to 8 weeks, with the rate of recovery being dependent on the dose given, the size of the thyroid gland, and the severity of the hyperthyroidism. 131I therapy can be repeated, but no earlier than 3 months after initial therapy.72 Hypothyroidism may occur as early as 12 weeks after 131I therapy; when large doses are used, 90% or more are hypothyroid by 1 year after treatment.89 Most therapists have now concluded that cure of hyperthyroidism with a single therapy is desirable. Hypothyroidism is easy to diagnose and treat and more acceptable than persistent hyperthyroidism. Aside from hypothyroidism, there are no significant side effects from 131I therapy. There is no evidence that 131I therapy in Graves' disease will increase risks of developing thyroid cancer, leukemia, reproductive or congenital abnormalities in patients, or thyroid damage in patients' offspring.85 Thyroidectomy Subtotal thyroidectomy, popular a few decades ago, is no longer routinely advisable owing to the risk of complications arising from surgery and the relative merits of other therapeutic alternatives.72 There are instances, however, when surgery should be considered first, such as in pregnant patients in whom immediate control of hyperthyroidism is mandatory, in patients with large toxic nodular goiter and pressure symptoms, or in the presence of a nodule suspicious for malignancy. Surgery usually brings about a euthyroid state within 4 to 12 weeks.72 Before surgery, the patient should be treated with standard antithyroid medications and inorganic iodine to make the thyroid gland less vascular and easier to resect. Significant complications of surgery include death, recurrent laryngeal nerve damage (1%–2%), and hypoparathyroidism (1%–2%).90 ORBITOPATHY Natural History The course of ophthalmopathy tends to be one of rapid progression, peaking after a relatively short interval (6–24 months), followed by a prolonged plateau phase and then a gradual, often incomplete regression of eye findings.18,67 On occasion, the progressive course may be more prolonged. Hales and Rundle91 followed 104 patients and showed that approximately 50% with previously conspicuous eye changes still had obvious ophthalmopathy an average of 15 years later. Perros et al.92 longitudinally studied 59 patients with mild to moderately severe TO who had not received immunosuppression or surgical treatment and found 64% spontaneously improved after a median of 12 months, whereas progression was observed in 13.5%. Bartley et al.52 found that 89 of 120 patients (74%) with TO required either no treatment or only supportive measures, whereas 24 patients (20%) underwent one or more surgical procedures. Eyelid retraction and exophthalmos are the most likely signs to persist. Eyelid retraction resolves in only 40% to 45% of affected patients,16,91 and less than 10% of patients show an improvement in exophthalmos.91,93 Effect of Treatment of Systemic Disease on Orbitopathy It is unclear whether the specific method of treatment has an effect on the onset or progression of orbitopathy. Although a number of large retrospective studies have reported no significant influence on the course of TO,94–96 others report exacerbation of TO after 131I therapy compared to patients treated with an antithyroid drug or thyroidectomy.97,98 In their prospective study, Tallstedt et al.97 found that eye disease developed or progressed in 35% of those treated with radioactive iodine, in 16% of patients treated with subtotal thyroidectomy, and in 10% of patients treated with antithyroid drugs. Bartalena et al.98 showed a worsening of orbitopathy in 15% treated with radioiodine and 3% on methimazole. When prednisone was given during the administration of 131I at a dose of 30 mg daily for 1 month there was no worsening of mild orbitopathy.98 A combined group of 50 patients from two prospective studies showed no significant risk for radioiodine-induced initiation or progression of TO.55,99 There are a number of factors, including duration of disease, previous history of treatment, 131I dose, and promptness of correction of hypothyroidism resulting from 131I therapy100 that may be responsible for these conflicting results. Euthyroidism seems to be an important factor in the outcome of ophthalmopathy after therapy, whatever the mode of treatment chosen to attain it.99 However, the mechanism by which hypothyroidism or TSH elevation accelerates TO has not been elucidated. It may be that 131I or thyroidectomy causes a treatment-related release of thyroid antigens and activation of the autoimmune response, and that prednisone may help to suppress this autoimmune response. Because we still do not know enough about risk factors in the deterioration of ocular signs, possible approaches in patients with significant preexisting TO include using antithyroid drugs rather then 131I therapy, considering thyroidectomy or treating with a 3-month course of steroids after 131I is given. ACUTE CONGESTIVE ORBITOPATHY For mild disease, treatment consists of elevating the head of the bed, sleeping supine, lubricating the cornea with eye drops, and wearing dark glasses for outside activities. Patients should be advised to stop smoking because this habit has been associated with orbitopathy.101 For moderate to severe orbitopathy in which the patient presents with orbital inflammation, increasing proptosis, exposure symptoms, and generalized orbital discomfort, immunosuppression in the form of corticosteroids, radiation, and immunomodulators may be given. Medical treatment is most effective in the early inflammatory phase before extensive fibrosis of extraocular muscles and orbital connective tissue has occurred. The aim of treatment is to protect the cornea, shrink orbital tissues, and reduce periorbital edema. Corticosteroids. Corticosteroids are a valuable temporizing measure but rarely provide the final resolution of eye disease. They are believed to work by altering cell-mediated immune response and diminishing the production of mucopolysaccharides by the orbital fibroblasts.102,103 Improvement of soft tissue involvement occurs in approximately 60% of patients with acute congestive orbitopathy, but, unfortunately, the orbitopathy often worsens when the dosage is reduced or discontinued.104,105 Zgliczynski et al.106 found that 31 of 53 (58%) patients relapsed during the first year of follow-up. Corticosteroids do not have as much of an effect on diplopia, and no significant effect on proptosis.104 Traditionally, a “short burst” of high-dose corticosteroids has been given, usually in the range of 60 to 120 mg/day of oral prednisone. Improvement in subjective symptoms, such as pain and tearing usually occurs first, often as early as 24 to 48 hours, followed by improvement in soft tissue congestion and muscle function over a period of days to weeks.107,108 The dose is then tapered to the minimum level required to prevent a flare-up of ocular signs and symptoms. If after 3 weeks on oral prednisone there are no clinical signs of improvement, it is unlikely that treatment will succeed, and the dosage should be quickly tapered. Perhaps the most common error in the clinical management of thyroid eye disease is the long-term use of corticosteroids without a worthwhile response. High doses of intravenous methylprednisolone in “pulse” therapy form have been described for TO in small, uncontrolled studies. Ohtsuka et al.109 treated 41 patients with intravenous methylprednisolone (1 g/day × 3 days × 3 times) followed by 3-month oral prednisone therapy. They found improvement in muscle hypertrophy but minimal effect on ocular motility and no significant effect on proptosis. In a subsequent study, this same group found no benefit of adjuvant orbital irradiation with pulse intravenous steroids compared to pulse intravenous steroids alone.110 Macchia et al.111 compared 25 patients given biweekly intravenous injections of 1 g of methylprednisolone for 6 weeks, to 26 patients treated with oral prednisone for 4 to 6 months. They found that all patients showed significant improvement in signs and symptoms of orbital inflammation and a “slight improvement in proptosis and diplopia.” Kauppinen-Makelin et al.112 also found intravenous methylprednisolone pulse therapy and oral prednisone to be equally effective in improvement of soft tissue activity scores for 18 and 15 patients, respectively. However, they found that the intravenous pulse therapy group required additional forms of therapy at 3 months less frequently than the oral steroid group. Controlled, randomized studies are required to elucidate the exact role of pulse intravenous steroid therapy for TO. Side effects of corticosteroids include diabetes, depression, hypertension, weight gain, peptic ulceration, infection, and avascular necrosis of the hip. Intravenous methylprednisolone can also cause cardiac arrhythmias, seizures, hypersensitivity reactions, psychiatric disorders, severe hepatitis, and intractable hiccups.113–115 Other Medical Therapies. There are no sufficient data to determine whether a variety of other immunosuppressive agents, such as cyclosporine, cyclophosphamide, or methotrexate, will be useful as single therapies.116–120 They may, however, find a place as corticosteroid-sparing agents. Cyclosporine as monotherapy is less effective than prednisone,105 but the combin-ation appears more effective than does prednisone alone.105,121 Other investigational therapies that also require further study include potent long-acting somatostatin analogs (octreotide, lanreotide, and SOM 230) that suppress insulin-like growth factor in extraocular muscles and fat cells,122 bromocriptine,123 pentoxifylline (which inhibits cytokine-induced glycosamino-glycan synthesis by orbital fibroblasts in vitro),124 or antioxidants (allopurinal and nicotinamide).125,126 Intravenous immunoglobulin,127 plasmapheresis,129,130 and low-voltage electric therapy131 have been reported but have no established roles as treatment modalities. Future therapies aimed more specifically at fibroblast processes may include treatment with cytokine antagonists, cyclooxygenase-2 inhibitors, or agents which may inhibit adipogenesis.8,122 Orbital Irradiation. The role of radiation therapy in the treatment of congestive orbitopathy has yet to be well defined. The rationale for the use of radiation therapy is presumed reduction or elimination of radiosensitive pathogenic orbital lymphocyte, although this has not been conclusively demonstrated. It is also thought that the glycosaminoglycan production by fibroblasts is reduced, thereby reducing orbital edema, orbital tension, and conjunctival injection.132 The literature consists of mostly retrospective studies that have not been controlled for other prior or concurrent treatments, the natural history of improvement, or objective quantifiable measures of outcome. It is therefore not surprising that a varied spectrum of reported benefit from orbital irradiation exists from none32,110,133,134 to overall good response in 60% to 70% of patients.132,135,136 Teng et al.137 reviewed 20 patients receiving 20 to 24 Gys irradiation and noted that 35% showed soft tissue improvement within 3 weeks of treatment; proptosis decreased in only four patients and with one exception ophthalmoplegia did not improve.137 A retrospective study be Van Ruyen et al.138 of 90 patients with signs and symptoms of Graves' ophthalmopathy less than 1 year, treated with 20 Gy orbital irradiation found no improvement in proptosis and an improvement of only 1-degree elevation and abduction 3 months after radiotherapy; and an improvement of 4-degree elevation and abduction in a subgroup of 14 patients with more than 10-degree restricted eye motility. The majority of the small prospective studies performed show minimal, if any, benefit from orbital irradiation. A prospective, double-masked, randomized clinical trial examined 42 patients with onset of eye symptoms ranging from 0.2 to 16 years (median 1.3 years), showed no clinical or statistically significant difference between 20 Gy irradiated orbits and untreated orbits at 6 months.139 Nineteen of these patients were previously treated with steroids, two patients within 30 days of irradiation. They found no difference between those with symptoms less than 1.3 years (about 50%) versus those with symptoms greater than 1.3 years. In a 3-year follow-up of this study, no delayed benefit was observed.32 Maalouf et al.133 prospectively studied oculomotor disorders in 15 patients treated with 20 Gy and found no change in amplitude of range of motion or thickness of the extraocular muscles 3 months after radiotherapy. In a prospective study of 33 patients with TO treated with 20 Gy in 10 sessions, Wilson and Prochera140 found significant improvement in soft-tissue signs, mean of 6-degree improvement in supraduction, mean of two prism diopters improvement in horizontal and of four prism diopters in vertical strabismus. However, only 35% avoided eye muscle surgery.140 Prummel et al.141 performed a double-blind randomized trial comparing 28 patients treated with 20 Gy irradiation and placebo capsules to 28 patients receiving a 3-month course of oral prednisone and sham irradiation. A successful outcome was obtained in 50% of both groups. The improvement mostly involved soft-tissue changes and eye-muscle motility: mean elevation in responders to radiotherapy increased from 18.5 degrees at baseline to 21.8 degrees at 24 weeks. There was no change in proptosis or eye-muscle enlargement in either group.141 In a double-blind randomized clinical trial of 30 patients with moderately severe TO receiving 20 Gy/10 fractions radiotherapy versus 30 patients sham-irradiated, there was improvement in upgaze and field of binocular single vision, but only 25% of the irradiated patients were spared from additional strabismus surgery.134 There was no reduction of proptosis, eyelid retraction, or eyelid swelling.134 When orbital irradiation is given, most radiotherapists use a protocol modified from Donaldson et al. (132). A total of 20 Gy to orbital structures is given in 10 sessions over a 2-week period. Megavoltage, highly collimated X-ray beams from a linear accelerator are aimed via a lateral port to give a maximum dose to the retro-ocular tissues but at negligible risk to the lens and retina. Lower doses of 10 Gy given in 10 fractions of 1 Gy have been shown to be both equally effective as 20 Gy142 and not as effective as 24 Gy of radiation143; however these data are difficult to interpret until the exact role of irradiation is established. Improvement has been reported 2 weeks to 3 months after radiation therapy but can continue for as long as 1 year.132,137,144,145 The contraindications to radiation therapy include orbital fibrotic changes and limited expertise with ocular radiation. Because of an increased potential for radiation vasculopathy, relative contraindications to radiation therapy include systemic vascular disease, concomitant chemotherapy, and previous ocular or brain irradiation. Previous concerns that orbital radiotherapy would increase orbital fibrosis, making subsequent surgery to the ocular muscles more difficult, have proved to be unfounded.132,144 Infrequent but potentially sight-threatening side effects of radiation therapy, such as dry eye, cataract, radiation retinopathy, and radiation neuropathy, can occur.146–148 Although cases of secondary malignancy have not been published after orbital irradiation for TO, latency periods of decades are possible, and a theoretic risk of 1.2% has been postulated.149 Although several studies have shown the combination of irradiation with high doses of oral systemic corticosteroids to be synergistic,82,150 other investigators have not demonstrated an increased response rate over that reported with irradiation alone.103,144 COMPRESSIVE OPTIC NEUROPATHY Natural History. The natural history of vision in patients with optic neuropathy has not been outlined conclusively, and, therefore, there are no definite guidelines regarding optimum therapy. Compressive optic neuropathy can cause permanent visual loss. Pooled data from the literature regarding the outcome of untreated optic neuropathy in 32 patients with Graves' disease show persistent impairment of visual acuity (20/100 or less) in one-fifth of patients, 5 of whom developed near or total blindness.65–67 In a series by Trobe et al.65 seven untreated eyes with optic neuropathy with acuity of 20/40 or better and minimal visual field defects were followed. Resolution of the neuropathy was documented in four eyes (57%) within 6 to 12 months, and no change was observed in three eyes (43%) with up to 15 months of follow-up. Treatment options for compressive optic neuropathy include high doses of corticosteroids, irradiation, and orbital decompression. Data compiled from case reports and small series suggest that visual functions improve within days for about 82% of patients receiving surgical decompression, in 1 week for about 94% given intravenous pulses of methylprednisolone, in 1 to 2 weeks for about 73% treated with oral prednisone, and in 1 to 3 months for about 79% receiving radiotherapy.151 Some patients require only one of these modalities, whereas other patients need combined therapies. If corticosteroids are given, the dose is as described earlier for acute congestive ophthalmopathy. In approximately one-half of patients with compressive optic neuropathy treated with corticosteroids, there is an excellent initial response. Symptoms recur, however, in 50% to 55% of patients when corticosteroid doses are tapered.69,152 Methylprednisolone pulse therapy over 3 days followed by oral prednisone, and/or irradiation may be beneficial for dysthyroid optic neuropathy,153 but controlled studies are required to determine the role of pulse intravenous steroids. A retrospective review of compressive optic neuropathy showed that only 1 of 29 (3%) patients treated with radiotherapy required surgical decompression compared with 6 of 16 (37%) treated with corticosteroids.154 Hurbli et al.136 found that 8 of 14 patients (57%) with thyroid optic neuropathy improved or stabilized after 20 Gy irradiation, but 4 had recurrences within 5 months. They found that maximal response ranged from 1 to 12 months, with a mean of 5.6 months.136 If there are no signs of improvement in visual function within 3 weeks65 of high doses of corticosteroid therapy, orbital irradiation or surgical decompression should be considered.66 Radiation therapy, however, must be administered in fractionated doses, which delays its beneficial effect. For this reason, if visual dysfunction progresses while the patient is on corticosteroids, surgical decompression is usually recommended, if the patient is a surgical candidate. |
| ORBITAL DECOMPRESSION |
| Orbital decompression may be indicated fairly urgently for compressive
optic neuropathy and exposure keratitis with corneal ulceration. Otherwise, it
is best to wait until the stable phase of the disease when considering
it to relieve the diffuse pressure and discomfort of the tight
post-inflammatory orbit and cosmesis for disfiguring exophthalmos. However, some
patients have a prolonged inflammatory course, and
they may be willing to accept the increased unpredictability of surgery
even though they are not in the postinflammatory phase, to allow them
to work and function properly. BONY DECOMPRESSION Bony orbital decompression for TO was first reported by Dollinger155 in 1911, using the lateral orbitotomy approach of Kronlein. Since then, many different techniques involving one to four orbital walls have been described156–161 (Fig. 6). Walsh and Ogura162 popularized a transantral approach in the mid 1950s to remove the floor and medial orbit, which became the standard of care for orbital decompressions for many years. The transorbital (via fornix or eyelid) approach to inferior and medial wall decompression became the most common approach used by ophthalmologists in the mid-1980s and early 1990s.163–167 The medial wall can also be approached transcaruncular or via an endoscopic endonasal approach. Removal of the lateral wall, popular in the early 1900s, showed resurgence of interest in the 1980s, with reports of extended lateral wall removal.161,168 The addition of a lateral wall advancement,169 with outward rotation of the lateral orbital wall, had the advantage of further increasing both the orbital volume and simultaneously improving upper eyelid retraction. The current popular techniques are deep lateral bony removal and the “balanced” orbital decompression with symmetrical decompression of the medial and lateral walls with preservation of the orbital floor to minimize complications involving muscle imbalance.170,171 The deep lateral bony decompression involves removing the posterior lateral wall overlying the temporal loose dura, including the deep portion or “trigonal bone” of the greater wing of sphenoid, which has a highly vascular marrow space.161,168,171,172 The deep lateral wall can be assessed through a coronal, lateral cutaneous or lateral transconjunctival approach. The mean retroplacement of the globe with isolated deep lateral decompression is approximately 3.5 mm (range 0.5 to 6 mm), with a two-wall decompression is about 5 mm (range 3–8 mm), and with a three-wall technique the range is between 5 and 10 mm.152,167,171,173–176 It is important to remember, however, that proptosis and vision improvement are, to a great extent, independent of each other. Visual rehabilitation depends on removal of bone at the orbital apex. In a large retrospective study of 205 eyes with visual acuity of 20/40 or worse from optic neuropathy, acuity improved following transantral decompression of the medial wall and floor by three Snellen lines or more in 110 (54%), and visual field defects resolved in 120/291 (41%) and improved in 126/291 (43%).69 Two percent of patients lost more than three Snellen lines of visual acuity after orbital decompression.69 In a retrospective review, 25 of 28 (89%) undergoing endoscopic and transconjunctival medial wall and floor decompression for CON showed improvement, with 43% having greater than six lines of vision improvement.177 In a retrospective study of 33 patients undergoing translid inferior and medial wall decompression for optic neuropathy, visual acuity improved and remained stable in 58%, visual improved but was then followed by subsequent deterioration in 36%, and in 2/33 patients vision deteriorated and did not improve. Visual function stabilized within 12 months of surgery in 76% and within 18 months in 91% of patients.178 There is no doubt that decompression can cause or worsen muscle imbalance, and, therefore, orbital decompression, if required, should precede any strabismus surgery. Various factors may influence the incidence and severity of postoperative strabismus: preoperative myopathic state, the degree of “apical crowding,” asymmetric herniation of orbital contents after orbital decompression, and variations in surgical techniques. Rates of new onset of postoperative diplopia in primary position are between 30% and 65% with the transantral approach,179,180 although this may be greatly reduced by incising periorbita in the anterior–posterior direction from the equator of the globe and perpendicular to this anteriorly59 or by not incising the anterior periorbita at all.181 Leaving the medial orbital strut of bone at the maxillary-ethmoid junction also minimizes diplopia182 (Fig. 6). Compared with transantral decompression, a lesser incidence of iatrogenic diplopia is observed after coronal or transorbital orbital decompressions.175 New onset of postoperative diplopia in primary position is between 5% and 25% with the transorbital approach to the removal of the medial wall and floor173,183,184 and 9% to 20% after coronal decompression.173,175 Patients with restricted ocular motility preoperatively are more likely to have postoperative diplopia; in a series of patients undergoing transconjunctival orbital floor and transcutaneous medial wall decompressions, Nunery176 found 4% (1/25) patients without preoperative diplopia or abnormal versions develop postoperative diplopia compared with 61% (22/36) patients developing new or worsening of diplopia in primary position with preoperative restrictive motility loss and diplopia within 20 of primary position. Reports of new onset of diplopia after balanced medial and lateral decompression with or without orbital fat removal range from 0%185 to 18%.186,187 Resolution of preexisting diplopia after orbital decompression has been reported in up to one-third of patients.173,188 Reported complications following decompression surgery include infraorbital nerve anesthesia, which resolves in most patients within 4 to 6 months; anesthesia in the distribution of the zygomaticotemporal and zygomaticofacial nerves; cerebrospinal fluid leaks, most of which seal spontaneously; intracranial bleeding, meningitis, nasolacrimal duct obstruction; and 1% loss of vision.69,160,171,189,190 ORBITAL FAT DECOMPRESSION Orbital fat decompression was first proposed by Crawford191 in 1973 to relieve the apical compression on the nerve by the enlarged extraocular muscles. This technique was then ignored until a resurgence of interest followed Olivari's192 reported series in 1991. Intraconal fat can be removed between the lateral and inferior rectus muscles and if needed from the superomedial and inferomedial compartments. Retrospective studies reporting removal of 3 to 12 mL of intraconal and extraconal fat show mean reductions of proptosis of 5 to 6 mm (range 1–12 mm).193,194 Reported rates of de nova diplopia are varied. In a retrospective study of 1000 orbits of 511 patients, 4% developed de novo diplopia, preexisting diplopia was “cured” in 64% of patients, and improvement was seen in 17% of patients.194 Ferreira et al.195 reported on 73 patients with an average removal of 7.6 mL of eyelid plus orbital fat per side: seven patients suffered temporary diplopia and one patient developed permanent diplopia. Adenis et al.193 studied 41 orbital fat decompressions with a mean retrieval of 7.31 mL (range 3.25–12 mL) of intraconal and extraconal fat and reported that 3 of 9 patients developed de novo diplopia, whereas 5 of 14 patients with preexisting diplopia “improved.” Rare reported complications include pupillary abnormalities from injury to the ciliary ganglion, orbital hematoma, supraorbital nerve paresis, and upper eyelid malposition.193,194 |
| MOTILITY DISORDERS |
| When surgical correction is indicated, a planned approach is required to
optimize functional and cosmetic results. The order of correction is
important: if orbital decompression is indicated, it should be performed
first, followed by extraocular muscle surgery. Eyelid surgery should
follow completion of orbital or extraocular muscle surgery. Because
specific surgical techniques are covered extensively elsewhere, they
will not be discussed in this chapter. A major source of morbidity in thyroid orbitopathy, and the most frequent problem associated with orbital decompression surgery, has been strabismus. In patients with relatively minimal degrees of ocular misalignment, diplopia can be avoided with a compensatory head posture, Fresnel plastic press-on prisms, or temporary occlusion. Unfortunately, there is significant image degradation with larger prisms used, limiting their usefulness. If there is marked asymmetry in ocular deviation in different fields of gaze, prisms are also less effective. In some cases during the inflammatory period, use of in-tramuscular botulinum toxin has shown some efficacy.196–198 Extraocular muscle surgery should be postponed until the muscles are no longer inflamed and the deviation has remained stable for at least 6 months, although successful results have been reported during active TO in selected patients with marked disability.199 Secondary strabismus repair after orbital decompression can be addressed earlier, possibly as soon as a few months after surgery.200 Globe ptosis should be ruled out in cases of motility disturbance after orbital decompression surgery, because an orbital implant may be required.165 Most commonly, a tight inferior rectus muscle needs to be recessed. One must remember that recessing the inferior rectus may produce or aggravate preexisting lower eyelid retraction. The adjustable suture technique of strabismus repair gives the best results.201,202 Surgery should aim for monocular vision in primary and reading positions. A number of series have demonstrated that very few patients with severe thyroid myopathy revert to binocular vision in all fields of gaze after surgical repair.203 Often multiple procedures on more than one muscle are necessary, even in expert hands, to achieve optimal results.203,204 |
| EYELID ABNORMALITIES |
| As with other thyroid eye problems, eyelid retraction may improve with time, however 55% to 60% of patients will have persistent eyelid retraction.7,91 Surgical correction of eyelid abnormalities should be performed only after orbital or extraocular muscle surgery because these operations may change eyelid position. For example, inferior rectus muscle restriction may cause upper eyelid retraction because of the superior rectus/levator palpebrae overaction against the restriction. Specific techniques for repair of eyelid retraction are discussed in other chapters. |
| CONCLUSIONS | |
| Thyroid orbitopathy is a complex and poorly understood inflammatory disease
that causes a wide variety of clinical problems. Clinical management
is often frustrating for both the physician and the patient, because
no immediate or dramatic cure exists. Each treatment modality has significant
side effects and complications, and treatment decisions are
rarely easy. The ophthalmologist's first task, after establishing the diagnosis, is to begin the lengthy process of patient education. It is difficult for patients to grasp the fact that regulation of their thyroid dysfunction will not cure the eye disease. Thyroid eye disease often strikes otherwise healthy adults in the midst of their professional, social, and family responsibilities and causes both visual problems and profound cosmetic disfigurement. A general health-related quality-of-life questionnaire demonstrates that TO patients have a lower quality-of-life than do patients with diabetes mellitus or chronic inflammatory bowel disease.205 Long-term psychologic sequelae of TO are notable; despite treatment, more than one-third of patients are dissatisfied with their ultimate appearance.52 Since we have no “ready cure,” it is extremely important that the physician provide education and emotional support as the patient comes to grips with the chronic nature of the disease. It is helpful to emphasize that although no immediate remedy is available, the patient is not doomed to a “life sentence.” With medical and surgical treatment, given at appropriate times, patients with thyroid orbitopathy can be restored to normal function and appearance in most cases (Figs. 7 and 8). Unfortunately, the process required to reach this goal is usually lengthy and presents one of the most difficult challenges in the clinical practice of ophthalmology.
|