Chapter 43
Rhabdomyosarcoma
DAVID A. KOSTICK
Main Menu   Table Of Contents

Search

EPIDEMIOLOGY AND ETIOLOGY
CLINICAL PRESENTATION
HISTOPATHOLOGY
TREATMENT
CONCLUSION
REFERENCES

Rhabdomyosarcoma (RMS) is a malignant softtissue tumor with histologic features of striated muscle in various stages of development. This malignant neoplasm can occur anywhere in the body and does not necessarily originate in muscle tissue. In the pediatric population, RMS usually occurs in the head and neck area, as well as the pelvis; in adults, RMS usually occurs in the extremities. RMS accounts for 10% of all solid tumors in children. It is also considered the most common primary malignancy of the orbit in children, as well as the most common soft-tissue sarcoma in children.1

Successful treatment of RMS is among the significant advances in modern medicine. Improved outcome in patients with RMS is attributed to the emergence of radiation and systemic chemotherapy as the mainstay of treatment, a better understanding of the clinical presentation, and improved radiologic and pathologic diagnostic abilities. In the 1950s and 1960s, surgery was considered the treatment of choice, and orbital exenteration was indicated if the malignancy occurred around the eye.2 No effective chemotherapy was available, and radiation therapy was seldom used because of the fear of radiation damage to the eye and its uncertain effect on children. The overall cure rate remained low, ranging from 16% to 25%.2 In 1956, Lederman3 recommended radiotherapy for orbital tumors in general, but it was not until Cassady and colleagues' report in 19684 that radiation therapy for orbital RMS was accepted. In their report, five of five patients remained disease free for up to 4.5 years after radiation therapy for biopsy-proven orbital RMS. The addition of chemotherapy to radiation treatment was popularized after a report from the Children's Cancer Study Group.5 This prospective, randomized study of patients with RMS who were less than 21 years of age showed a significant improvement in survival rates with the addition of chemotherapy to the treatment regimen. The 3-year survival rate for patients with orbital RMS improved from 66% (four of six patients) treated with radiation only to 91% (10 of 11 patients) treated with radiation plus chemotherapy.6 Currently, the 5-year survival rate for patients with orbital RMS is 95% with the use of the treatment regimen developed from three large multicenter, prospective, randomized clinical trials involving more than 2700 patients with RMS.7–9

Back to Top
EPIDEMIOLOGY AND ETIOLOGY
In general, RMS has a worldwide distribution, affects all races, and typically occurs in children less than 5 years of age.10,11 The overall estimated annual incidence of RMS is 4 to 7 per million, accounting for 60% to 75% of all soft-tissue sarcomas.10 Southeastern France has the highest incidence of RMS.12 The gender ratio for males to females is approximately 3:2.9,10,13

Orbital RMS is typically a disease of children and adolescents, with an average age of onset of 7.5 years.13 However, several cases of orbital RMS in newborns have been reported,2,13–18 as has one case of orbital RMS in a patient presenting at age 78.19

Although the etiology of RMS remains uncertain, a genetic predisposition is suspected. RMS has been associated with a cancer family syndrome,20 with a suspected inherited mutation in the p53 tumor suppressor gene on chromosome 17p13.21 In addition, RMS has been associated with neurofibromatosis, which also has an abnormality located to chromosome 17.22,23 Although some researchers believe that chromosome 17 is a likely location for a genetic abnormality, others have suggested different chromosomal locations.24–29

Instead of taking a genetic approach, some studies have attempted to link RMS development with environmental factors, such as lower socioeconomic status, paternal use of tobacco, and maternal use of cocaine and marijuana.30–32

Back to Top
CLINICAL PRESENTATION
The classic presentation of orbital RMS is a rapidly expanding mass; however, there is usually a 6-week delay before patients seek medical attention for their symptoms.33 The proptosis (Fig. 1A and B)may be axial or nonaxial, depending on the location of the tumor. Although the patient or parents may attribute the development of proptosis to incidental trauma, a history of recent trauma should not dissuade the clinician from considering RMS as the primary concern in evaluating acute proptosis in children.

Fig. 1. A. Clinical photograph depicting proptosis of the left eye with inward and downward displacement and fullness of the superior sulcus. Note absence of inflammatory signs. B. Clinical photograph, superior view, of the same patient. C. Axial computed tomography of the same patient demonstrating a well-defined mass in the superior temporal orbit. A biopsy confirmed embryonal rhabdomyosarcoma. (Courtesy of James Garrity, MD, Mayo Clinic, Rochester, Minnesota.)

Although any quadrant may be involved, the superior nasal quadrant is the most common location of orbital RMS.2,33,34 A firm mass with erythema and chemosis may be present, but inflammatory signs are usually absent.34 Headache or pain occurs in less than 10% of children with orbital RMS.13

Other less common ophthalmic presentations include a subconjunctival mass,17,33,35 ptosis,17 iris mass,36–38 ciliary body tumor,39 and nasolacrimal obstruction.40

Evaluation of a patient with proptosis should begin with a review of the patient's symptoms, systemic complaints, and family history for cancer. A comprehensive ophthalmic evaluation and orbital imaging are the next essential steps in the evaluation of patients with presumed orbital RMS. The ophthalmic evaluation should include best corrected visual acuity, pupillary examination, ocular motility, exophthalmetry, intraocular pressure, anterior segment examination, fundus examination, and indirect ophthalmoscopy.

The orbital imaging modality of choice is high-quality axial and direct coronal computed tomography. The typical finding is a homogeneous mass with tissue density values similar to soft tissue that enhances with intravenous contrast (Fig. 1C).41 Bone destruction is a common feature of orbital RMS, but hopefully will not be present if the disease is detected early in its course. Occasionally, significant destruction of the orbital walls with extensive involvement of adjacent areas makes it difficult to determine the origin of the primary tumor (i.e., whether the RMS is a primary or secondary orbital tumor).

Magnetic resonance imaging may also be useful, especially when invasion into the central nervous system is suspected. Characteristic findings include a densely enhancing soft-tissue mass with low to intermediate signal intensity of T1 images and high signal intensity on T2 images.42 Occasionally, orbital RMS may demonstrate increased tumor vascularity, abnormal vessels, and arteriovenous shunting.43 These highly vascularized RMS tumors may be confused with vascular tumors. Since the management of these two processes are so different, angiography may be necessary to distinguish between the two.43–45

Ultrasonography may also assist in the diagnosis of RMS. Orbital echography typically demonstrates a well circumscribed, fairly homogeneous lesion with low- to medium-range internal reflectivity.46

The differential diagnosis of orbital RMS is listed in Table 1 and discussed in a separate chapter. Again, one should not dismiss the possibility of RMS based on a history of recent trauma. Therefore, unless the clinical and radiographic findings are absolutely characteristic of a particular orbital disease other than RMS, a biopsy to rule out rhabdomyosarcoma must be obtained. The surgical approach for obtaining a biopsy will vary depending on the location of the tumor. The goal of the surgery is not to remove the tumor completely, but rather to obtain a specimen adequate for diagnostic studies. These studies should include frozen-section analysis, routine light microscopy, and electron microscopy. In addition, recent studies advocate the use of immunohistochemical staining and modern molecular genetic techniques to improve the accuracy of establishing the diagnosis of RMS.47 A preoperative consultation with a pathologist may prove invaluable in making an accurate and timely diagnosis, as well as avoiding confusion regarding the appropriate handling of the specimen for special diagnostic studies.

 

TABLE 1. Differential Diagnosis of Rhabdomyosarcoma

  Orbital cellulitis
  Orbital inflammatory disease (inflammatory pseudotumor)
  Lymphangioma
  Capillary hemangioma
  Traumatic hematoma
  Ruptured dermoid cyst
  Eosinophilic granuloma
  Neuroblastoma
  Sickle cell crisis
  Burkitt's lymphoma
  Metastatic disease
  Other sarcomas

(Adapted from Harris GJ, Beatty RL: Acute proptosis in childhood. In Linberg JV (ed): Oculoplastic and Orbital Emergencies, p 88. East Norwalk, CT, Appleton & Lange, 1989)

 

Besides a preoperative consultation with the pathologists, coordination between other specialists may be required. For example, further systemic tests, such as a cerebrospinal fluid analysis or a bone marrow evaluation, may be necessary.48 Therefore, a coordinated effort among various services will likely minimize the patient's risk of repeated sedation, as well as the psychological stress to the patient and family.

Back to Top
HISTOPATHOLOGY
Gross inspection typically reveals a flesh-colored or yellowish mass, unless hemorrhage or necrosis is present.49 The appearance of a capsule (i.e., pseudocapsule) may be present, but microscopically RMS is not encapsulated.

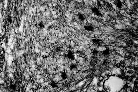
RMS was first reported in 1854 by Weber,50 but the conventional classification was developed by Horn and Enterline in 1958.51 The classification of Horn and Enterline describes four histologic variants of RMS: embryonal, botryoid, alveolar, and pleomorphic. Cross-striations (i.e., striated muscle differentiation) are seen only in approximately 60% of the lesions. Wilder's stain for reticulin may demonstrate the cross-striations more effectively.49 Electron microscopy49,52,53 (Fig. 2) and immunohistochemical staining for myosin, myoglobin, and desmin may also assist in the diagnosis of RMS subtypes.47,49 In addition, recent progress in molecular genetics may allow RMS to be diagnosed with the use of reverse transcriptase polymerase chain reaction and other modern techniques.24,25,47,54

Fig. 2. Electron micrograph of rhabdomyosarcoma demonstrating Z-bands within the cytoplasm of tumor cells. (Courtesy of R. Jean Campbell, MB, ChB, Mayo Clinic, Rochester, Minnesota.)

Embryonal RMS is the most common RMS type and usually occurs in the superonasal quadrant.7–9,13,34,49 The histologic features are characterized by a haphazard arrangement of spindle cells within a loose, myxoid stroma (Fig. 3).13,49,51 Botryoid RMS is considered a subtype of embryonal RMS; it usually occurs within the genitourinary tract or under mucosal membranes, such as the conjunctiva.2,13,49 The spindle cells in this variant are more densely organized.

Fig. 3. A. Rhabdomyosarcoma with spindle-shaped cells with a dense, interlacing pattern (H & E, × 160). B. Same specimen at a higher magnification. Note variation in size and shape of the spindle-shaped cells with a high density of nuclear chromatin (H & E, × 640). (Courtesy of R. Jean Campbell, MB, ChB, Mayo Clinic, Rochester, Minnesota.)

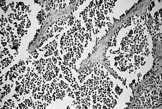
Alveolar RMS is the second most common type of RMS to involve the orbit and usually presents in the inferior quadrant.2,13,49 Its histologic pattern resembles the architecture of alveolar tissue of the lung (Fig. 4). The prognosis of alveolar RMS is considered worse than that of the embryonal variant.

Fig. 4. Alveolar pattern of rhabdomyosarcoma (H&E, × 90). (Courtesy of R. Jean Campbell, MB, ChB, Mayo Clinic, Rochester, Minnesota.)

Pleomorphic RMS is the rarest type of RMS to affect the orbit and more typically arises in adult skeletal muscle.2,13,49,51

Several studies have tried to predict survival based on the histologic subtype as presented by Horn and Enterline's conventional scheme.47,54–58 The prognostic accuracy is often debated and has led to alternative classification schemes, as listed in Table 2.25,47,54,56,59,60 The current clinical trial of the Intergroup Rhabdomyosarcoma Study (IRS) is investigating the efficacy of the Universal Classification scheme as a means of better predicting outcome and survival in patients diagnosed with RMS.

 

TABLE 2. Classification Schemes for Childhood Rhabdomyosarcoma


ConventionalSIOPNCIUniversal
EmbryonalI. Embryonal sarcomaEmbryonalFavorable prognosis
   (all forms) Botyroid
    Spindle cell
BotryoidII. Embryonal RMSAlveolarIntermediate prognosis
  A. Loose: (all forms) Embryonal
   1. Botryoid  
   2. Nonbotryoid  
  B. Dense:  
   1. Poorly differentiated  
   2. Well differentiated  
  C. Alveolar  
  D. Not otherwise specified  
AlveolarIII. Pleomorphic RMSSolidUnfavorable prognosis
    Alveolar
   Undifferentiated
PleomorphicIV. Other specified softPleomorphic 
  tissue sarcoma  
 V. Sarcoma, not otherwise  
  specified  

NCI, National Cancer Institute; RMS, rhabdomyosarcoma; SIOP, International Society of Pediatric Oncology
(Adapted from Pappo AS, Shapiro DN, Crist WM, Maurer HM: Biology and therapy of pediatric rhabdomyosarcoma. J Clin Oncol 13:2123, 1995)

 

Back to Top
TREATMENT
Current treatment recommendations for RMS are based on IRS protocols. In 1972, IRS was established to develop a standard for classification and treatment of RMS. Since then, three consecutive clinical trials on the treatment of RMS have been analyzed (IRS-I, 1972 to 1978; IRS-II, 1978 to 1984; and IRS-III, 1984 to 1991).7–9 In the IRS protocols, patients with RMS were assigned to one of four clinical groups based on the location and extent of the disease (Table 3). Most patients with orbital RMS were assigned to clinical group III (incomplete resection or biopsy with gross residual disease). Patients with group III orbital RMS received a combination of radiotherapy and chemotherapy.

 

TABLE 3. Intergroup Rhabdomyosarcoma Study Clinical Grouping Classification


GroupDescription
IComplete removal of localized disease with negative regional nodes, if sampled
IIGrossly resected regional disease with microscopic residual tumor, with or without regional lymph node involvement
IIIGross residual disease after surgery or biopsy
IVMetastatic disease at diagnosis
(Adapted from Maurer HM, Gehan EA, Beltangady M et al: The Intergroup Rhabdomyosarcoma Study-II. Cancer 71:1904, 1993)

 

A detailed discussion regarding the technical aspects of the administration of chemotherapy and orbital irradiation is beyond the scope of this chapter. This information is reviewed in the IRS protocols7–9 and by Wharam and Maurer.48 In summary, the IRS-III chemotherapy treatment regimen for orbital RMS includes cyclic-sequential vincristine and dactinomycin for 1 year.9 Beginning on day 14 of this treatment regimen, external beam radiation is fractionated over a 5- to 6-week interval for a total dose of 4000 to 4500 cGy.

The IRS-III documented equivalent cure rates with this treatment protocol while avoiding the toxic side effects from alkylating agents such as cyclophosphamide.9 In this protocol, 107 (10%) of the 1062 total patients had RMS with orbital involvement. Of these 107 patients, 95% were alive and 80% remained disease free 5 years from the onset of their treatment.

Nonocular morbidity from treatment of RMS includes bone marrow suppression, sepsis, respiratory distress, cardiac toxicity, metabolic complications, and secondary malignant neoplasms (SMNs).9,48,61 Overall, fatal complications resulted in approximately 32 (3%) of the 1062 patients entered in the IRS-III protocol.9 None of the 107 patients with orbital RMS had fatal complications.

A review of patients enrolled in the IRS-I and -II protocols documented that SMNs developed in 22 of 1770 patients (1.2%).61 Of these 22 patients, 5 had orbital RMS and 10 had RMS elsewhere in the head and neck region. The most common SMNs were bone sarcomas and acute nonlymphoblastic leukemia. SMNs developed a median of 7 years (range, 2 to 16 years) after the diagnosis of RMS. High-risk factors included neurofibromatosis or a family history suggestive of Li-Fraumeni syndrome. In addition, patients treated with a combination of radiotherapy and chemotherapy with an alkylating agent had a significantly higher rate of SMN development. This last statement was one of the main issues of the IRS-III protocol.9 Furthermore, this may explain why, in the IRS-I and -II protocols, head and neck involvement (including the orbit) had a relatively high rate of SMNs, since this therapy was considered the treatment of choice when RMS affected these areas.

Ocular morbidity from treatment of RMS includes blindness and decreased visual acuity secondary to keratoconjunctivitis sicca, cataract, vaso-occlusive retinopathy, glaucoma, and optic neuropathy.13,48,62,63 Other ophthalmic sequelae include enophthalmos, ptosis, lacrimal obstruction, and maldevelopment of the ipsilateral orbital and facial bones. Periorbital erythema and dermatitis may result from radiation treatment and may be potentiated by dactinomycin. Abramson and Notis62 reviewed the final visual acuities of 32 patients who received radiation treatment for orbital RMS with a follow-up interval of 5 to 8 years. The results of their findings are listed in Table 4. Of the 32 patients, 21 (66%) had no light perception vision in the treated eye, including 9 (28%) patients who underwent enucleation. Only two patients (6%) retained a visual acuity of 20/40 or better in the treated eye.

 

TABLE 4. Visual Acuity After Radiation for Orbital Rhabdomyosarcoma


Best-Corrected Visual AcuityPatients (%)Follow-up (yr)
20/20–20/402 (6)6
20/50–20/704 (13)6
20/100–20/2000
20/300–20/4001 (3)8
CF1 (3)8
HM-LP3 (9)5
NLP21 (66)8

CF, count fingers; HM, hand motion; LP, light perception; NLP, no light perception
(Adapted from Abramson DH, Notis CM: Visual acuity after radiation for orbital rhabdomyosarcoma. Am J Ophthalmol 118:808, 1994)

 

Back to Top
CONCLUSION
All physicians must be able to recognize orbital RMS, not so much because of its frequency of presentation, but because of the impact on the patient's life. The ophthalmologist has three key functions in the management of patients with RMS: (1) to establish the diagnosis; (2) to refer patients for definitive treatment; and (3) to treat ophthalmic sequelae from the disease or its treatment. Of these, the most important function is prompt recognition of the possibility of RMS and obtaining a biopsy to establish the diagnosis. For all children who present with acute proptosis, it is mandatory to consider RMS as the explanation and to obtain a specimen expeditiously for tissue diagnosis. A high degree of clinical suspicion should provide a timely diagnosis and allow early intervention. With modern therapy, as recommended by the Intergroup Rhabdomyosarcoma Study, survival rates of children with orbital RMS should approximate 95%.
Back to Top
REFERENCES

1. Miller RW: Frequency and environmental epidemiology of childhood cancer. In Pizzo PA, Poplack DG (eds): Principles and Practice of Pediatric Oncology, pp 3–18. Philadelphia, JB Lippincott, 1988

2. Porterfield JF, Zimmerman LE: Rhabdomyosarcoma of the orbit: a clinicopathologic study of 55 cases. Virchows Arch Pathol Anat 335:329, 1962

3. Lederman M: Radiotherapy in the treatment of orbital tumors. Br J Ophthalmol 40:592, 1956

4. Cassady JR, Sagerman RH, Tretter P, Ellsworth RM: Radiation therapy for rhabdomyosarcoma. Radiology 91:116, 1968

5. Heyn RM, Holland R, Newton WA et al: The role of combined chemotherapy in the treatment of rhabdomyosarcoma in children. Cancer 34:2128, 1974

6. Abramson DH, Ellsworth RM, Tretter P et al: The treatment of orbital rhabdomyosarcoma with irradiation and chemotherapy. Ophthalmology 86:1330, 1979

7. Maurer HM, Beltangady M, Gehan EA et al: The Intergroup Rhabdomyosarcoma Study-I: a final report. Cancer 61:209, 1988

8. Maurer HM, Gehan EA, Beltangady M et al: The Intergroup Rhabdomyosarcoma Study-II. Cancer 71:1904, 1993

9. Crist W, Gehan EA, Ragab AH et al: The Third Intergroup Rhabdomyosarcoma Study. J Clin Oncol 13:610, 1995

10. Stiller CA, Parkin DM: International variations in the incidence of childhood soft-tissue sarcomas. Paediatr Perinat Epidemiol 8:107, 1994

11. Stiller CA, McKinney PA, Bunch KJ et al: Childhood cancer and ethnic group in Britain: a United Kingdom Children's Cancer Study Group (UKCCSG) study. Br J Cancer 64:543, 1991

12. Bernard JL, Bernard-Couteret E, Coste D et al: Childhood cancer incidence in the southeast of France (abstr). Eur J Cancer 29(A):2284, 1993

13. Knowles DM, Jakobiec FA, Potter GD, Jones IS: The diagnosis and treatment of rhabdomyosarcoma of the orbit. In Jakobiec FA (ed): Ocular and Adnexal Tumors, pp 708–734. Birmingham, AL, Aesculapius, 1978

14. Olurin O: Orbital rhabdomyosarcoma in pregnancy. Cancer 24:1013, 1969

15. Ellenbogen E, Lasky MA: Rhabdomyosarcoma of the orbit in the newborn. Am J Ophthalmol 80:1024, 1975

16. Sood GC, Sen DK, Diwan R, Aurora AL: Orbital rhabdomyosarcoma in an infant. Br J Ophthalmol 54:203, 1970

17. Jones IS, Reese AB, Krout J: Orbital rhabdomyosarcoma: an analysis of 62 cases. Am J Ophthalmol 61:721, 1966

18. Ashton N, Morgan G: Embryonal sarcoma and embryonal rhabdomyosarcoma of the orbit. J Clin Pathol 18:699, 1965

19. Kassel SH, Copenhaver R, Arean VM: Orbital rhabdomyosarcoma. Am J Ophthalmol 60:811, 1965

20. Li FP, Fraumeni JF, Mulvihill JJ et al: A cancer family syndrome in twenty-four kindreds. Cancer Res 48:5358, 1988

21. Malkin D, Li FP, Strong LC et al: Germ line p53 mutations in a familial syndrome of breast cancer, sarcomas, and other neoplasms. Science 250:1233, 1990

22. McKeen EA, Bordurtha J, Meadows AT et al: Rhabdomyosarcoma complicating multiple neurofibromatosis. J Pediatr 93:992, 1978

23. Hartley AL, Birch JM, Marsden HB et al: Neurofibromatosis in children with soft tissue sarcoma. Pediatric Hematol Oncol 5:7, 1988

24. Whang-Peng J, Knutsen T, Theil K et al: Cytogenetic studies in subgroups of rhabdomyosarcoma. Genes Chromosom Cancer 5:299, 1992

25. Pappo AS, Shapiro DN, Crist WM, Maurer HM: Biology and therapy of pediatric rhabdomyosarcoma. J Clin Oncol 13:2123, 1995

26. Mitchell CD, Ventris JA, Carr TJ, Cowell JK: Molecular definition in a somatic cell hybrid of a specific 2;13 translocation breakpoint in childhood rhabdomyosarcoma. Oncogene 6:89, 1991

27. Stratton MR, Williams S, Fisher C et al: Structural alterations of the RB1 gene in human soft tissue tumours. Br J Cancer 60:202, 1989

28. Trent J, Casper J, Meltzer P et al: Nonrandom chromosome alterations in rhabdomyosarcoma. Cancer Genet Cytogenet 16:189, 1985

29. Granberg I, Mark J: The chromosomal aberration of double-minutes in a human embryonic rhabdomyosarcoma. Acta Cytol 15:42, 1971

30. Grufferman S, Schwartz AG, Ruymann FB, Maurer HM: Parents' use of cocaine and marijuana and increased risk of rhabdomyosarcoma in their children. Cancer Causes Control 4:217, 1993

31. Ghali MH, Yoo KY, Flannery JT, Dubrow R: Association between childhood rhabdomyosarcoma and maternal history of stillbirths. Int J Cancer 50:365, 1992

32. Grufferman S, Wang HH, DeLong ER et al: Environmental factors in the etiology of rhabdomyosarcoma in childhood. J Natl Cancer Inst 68:107, 1982

33. Frayer WC, Enterline HT: Embryonal rhabdomyosarcoma of the orbit in children and young adults. Arch Ophthalmol 62:203, 1959

34. Henderson JW: Neoplasms of muscle. In Henderson JW (ed): Orbital Tumors, pp 497–511. New York, Thieme-Stratton, 1980

35. Joffe L, Shields JA, Pearah JD: Epibulbar rhabdomyosarcoma without proptosis. J Pediatr Ophthalmol 14:364, 1977

36. Elsas FJ, Mroczek EC, Kelly DR, Specht CS: Primary rhabdomyosarcoma of the iris. Arch Ophthalmol 109:982, 1991

37. Naumann G, Font RL, Zimmerman LE: Electron microscopic verification of primary rhabdomyosarcoma of the iris. Am J Ophthalmol 54:110, 1972

38. Woyke S, Chwirot R: Rhabdomyosarcoma of the iris. Br J Ophthalmol 56:60, 1972

39. Wilson ME, McClatchey SK, Zimmerman LE: Rhabdomyosarcoma of the ciliary body. Ophthalmology 97:1484, 1990

40. Baron EM, Kersten RK, Kulwin DR: Rhabdomyosarcoma manifesting as acquired nasolacrimal duct obstruction. Am J Ophthalmol 115:239, 1993

41. Bozzao L, Fantozzi LM, Rosa M: Childhood orbital pathology: investigation by computed tomography. J Neurosurgical Sci 26:25, 1982

42. Smith RR: The orbit. In Cohen MD, Edwards MK (eds): Magnetic Resonance Imaging of Children, pp 325–386. Philadelphia, BC Decker, 1990

43. Lueder GT, Burrows PE, Hurwitz JJ et al: Vascular patterns in orbital rhabdomyosarcoma. J Pediatr Ophthalmol Strabismus 31:46, 1994

44. Rothman SLG, Kier EL, Allen WE, Pratt AG: Cerebral angiography in the diagnosis of orbital rhabdomyosarcoma. Neuroradiology 112:353, 1974

45. Sevel D: Intracranial extension of a non-striated embryonal rhabdomyosarcoma of the orbit. Br J Ophthalmol 53:180, 1969

46. Harris GJ, Beatty RL: Acute proptosis in childhood. In Linberg JV (ed): Oculoplastic and Orbital Emergencies, p 88. East Norwalk, CT, Appleton & Lange, 1989

47. Tsokos M: The diagnosis and classification of childhood rhabdomyosarcoma. Semin Diagn Pathol 11:26, 1994

48. Wharam MD, Maurer HM: Management of orbital rhabdomyosarcoma. In Jacobs C (ed): Cancers of the Head and Neck, pp 223–243. Boston, Martinus Nijhoff, 1987

49. Jakobiec FA, Font RL: Mesenchymal tumors. In Spencer WH (ed): Ophthalmic Pathology: An Atlas and Textbook, pp 2554–2603. Philadelphia, WB Saunders, 1986

50. Weber CO: Anatomische untersuchung einer hypertrophische zunge nebst bemerkungen ueber die neubildung quergestreifter muskelfasern. Virchow Arch Pathol Anat 7:115, 1854

51. Horn RC, Enterline HT: Rhabdomyosarcoma: A clinicopathologic study and classification of 39 cases. Cancer 11:181, 1958

52. Morales AR, Fine G, Horn RC: Rhabdomyosarcoma: an ultrastructural appraisal. Pathol Ann 7:81, 1972

53. Mierau GW, Favara BE: Rhabdomyosarcoma in children. Cancer 46:2035, 1980

54. Newton WA: Classification of rhabdomyosarcoma. Curr Topics Pathol 89:241, 1995

55. Crist WM, Garnsey L, Beltangady MS et al: Prognosis in children with rhabdomyosarcoma: a report of the Intergroup Rhabdomyosarcoma Studies I and II. J Clin Oncol 8:443, 1990

56. Wijnaendts LCD, van der Linden JC, van Unnik AJM et al: Histopathological features and grading in rhabdomyosarcomas of childhood. Histopathology 24:303, 1994

57. Newton WA Jr, Soule EH, Hamoudi AB et al: Histopathology of childhood sarcomas, Intergroup Rhabdomyosarcoma Studies I and II: clinicopathologic correlation. J Clin Oncol 6:67, 1988

58. Gehan EA, Glover FN, Maurer HM et al: Prognostic factors in children with rhabdomyosarcoma. Natl Cancer Inst Monogr 56:83, 1981

59. Caillaud JM, Gerard-Marchant R, Marsden HB et al: Histopathological classification of childhood rhabdomyosarcoma: a report from the International Society of Pediatric Oncology Pathology Panel. Med Pediatr Oncol 17:391, 1989

60. Asmar L, Gehan EA, Newton WA et al: Agreement among and within groups of pathologists in the classification of rhabdomyosarcoma and related sarcomas: report of an international study of four pathology classifications. Cancer 74:2579, 1994

61. Heyn R, Haeberlen V, Newton WA et al: Second malignant neoplasms in children treated for rhabdomyosarcoma. J Clin Oncol 11:262, 1993

62. Abramson DH, Notis CM: Visual acuity after radiation for orbital rhabdomyosarcoma. Am J Ophthalmol 118:808, 1994

63. Sagerman RH: Orbital rhabdomyosarcoma: a paradigm for irradiation. Radiology 187:605, 1993.

Back to Top