Chapter 8
Congenital Fundus Abnormalities
MITCHELL S. FINEMAN and GARY C. BROWN
Main Menu   Table Of Contents

Search

EMBRYOLOGY OF THE EYE
VASCULAR ABNORMALITIES
OPTIC DISC ABNORMALITIES
RETINAL PIGMENT EPITHELIUM ABNORMALITIES
MISCELLANEOUS
REFERENCES

Since most of the congenital fundus abnormalities are caused by interruptions in the orderly development of the eye, a brief review of ocular embryology is necessary.
Back to Top
EMBRYOLOGY OF THE EYE
The earliest embryonic structure in which the three germ layers (endoderm, mesoderm, and ectoderm) are recognizable is known as the embryonic plate.1,2 Running longitudinally in the center of the embryonic plate is the neural groove, along each side of which develops an ectoderm-covered neural ridge. At the anterior end of each neural ridge, a protuberance called an optic vesicle develops (Fig. 1). These spherical outpouchings can be seen at about the 4-mm (less than 4-week) gestational stage.

Fig. 1. Schematic drawing of the forebrain (F) and optic vesicles at about the 4-mm gestational stage. A cross-section of one vesicle shows neural ectoderm (NE) and surrounding surface ectoderm (SE). The vesicle (V) eventually develops into the globe, and the optic stalk (S) becomes the retrobulbar optic nerve. (Adapted from Mann I: Development of the Human Eye. New York, Grune & Stratton, 1969)

The optic vesicle is composed of neural ectoderm and is surrounded by surface ectoderm (see Fig. 1). At about the 5-mm stage, both vesicles invaginate, and the outer wall of each becomes the inner wall of the newly formed concavity, the optic cup (Fig. 2). This inner wall of the optic cup (the former outer wall of the optic vesicle) gives rise to the retina, and the outer wall of the optic cup forms the retinal pigment epithelium (RPE).

Fig. 2. The optic cup, formed by an invagination of the outer wall of an optic vesicle. The vertical opening present in the inferior half of the optic cup is the embryonic fissure (EF). The optic stalk (S) is shown, and the fissure can be seen extending posteriorly along its inferior aspect. (Adapted from Mann I: Development of the Human Eye. New York, Grune & Stratton, 1969)

As the optic vesicles invaginate to form the optic cups, a groove remains open on the inferior aspect of each (see Fig. 2). Known as the embryonic fissure, this opening is the pathway by which the mesodermal tissue, which gives rise to the intraocular vascular supply, enters the globe. Mesodermal tissue also surrounds the optic vesicles and eventually forms the choroid. Apparently, the choroid develops only in areas where the mesoderm is in contact with the RPE. This concept is supported by the clinical fact that in eyes with a retinochoroidal coloboma secondary to faulty closure of the embryonic fissure, the choroid, as well as the RPE, fails to develop properly. Closure of the embryonic fissure begins centrally and is normally complete at about the 13-mm stage (5 to 6 weeks).

The earliest recognizable structure associated with the optic disc is the primitive epithelial papilla. This is simply an accumulation of cells from the inner layer of the optic cup that surrounds the superior end of the embryonic fissure. At or about the 17-mm stage, nerve fibers grow from the retinal ganglion cells through the primitive epithelial papilla into the optic stalk, and the optic nerve is thus formed.

The first vascular supply to the globe enters through the embryonic fissure as the hyaloid artery at about the 5-mm stage. Derived from the carotid artery, this vessel forms a network (vasa hyaloidea propria) that vascularizes the primary vitreous. The vasa hyaloidea propria is maximally developed at about the 40-mm stage (third month of gestation) and regresses, until even the intraocular hyaloid artery itself usually is gone at about the eighth month of gestation. The portion of the hyaloid artery running within the optic nerve becomes the central retinal artery within the nerve.

Developmentally, the retinal vascular system does not appear to arise directly from the hyaloid artery. The most widely accepted concept has been summarized by Ashton, who states that at about 15 to 16 weeks of gestation (100-mm stage), mesenchymal cells appear on the optic disc adjacent to the hyaloid artery.3 Cords of these cells invade the superficial retina and differentiate into endothelial cells, which form capillaries. At this time, it is not possible to make a distinction between arteries and veins. In turn, the capillaries undergo a process of remodeling, and the retinal arteries and veins are formed.

Back to Top
VASCULAR ABNORMALITIES

PREPAPILLARY VASCULAR LOOPS

Prepapillary vascular loops are blood vessels that project from the optic disc into the vitreous cavity and then return to the disc to continue their natural course. First described by Liebrich in 1871,4 over 90 cases have since been reported.5 The loops have at least one ascending and one descending limb, and 85% to 95% are arterial in origin. Occasionally, an arterial loop projects from the disc and returns to the retina, whereas its venous counterpart may arise from the retina and exit into the disc. Rarely, a loop arises from the retina and returns to the retina; this particular anomaly has been termed a preretinal vascular loop.6

The vessels may appear as simple hairpin loops (180° turns), in a figure eight, or in a corkscrew configuration. In about 30% of cases, the loop is surrounded by a white, glial-appearing sheath7 (Fig. 3). The average arterial loop extends approximately 1.5 mm into the vitreous cavity, probably within Cloquet's canal; the largest loops reach about 5 mm in height.8 Venous prepapillary loops usually are less elevated.9 In contrast to persistent hyaloid arteries, prepapillary vascular loops have not been observed to extend as far anteriorly as the posterior lens capsule.

Fig. 3. Prepapillary arterial loop in the left eye of a 30-year-old patient. The loop is encased by a white sheath that has a glial appearance.

Embryologically, prepapillary loops are thought to occur at about the 100-mm stage, when the retinal vessels are developing. For an unknown reason, a vessel probably grows into Bergmeister's papilla, which is maximally developed at about the 180-mm stage, and then returns to the retina. It has been proposed that the loop requires Bergmeister's papilla as a scaffold for growth. Thus, its growth is limited, since Bergmeister's papilla usually does not extend more than one third of the distance into the vitreous cavity.

Prepapillary loops are rare; the incidence ranges from 1 in 2000 to 1 in 9000 patients.8,10 Bilaterality occurs in about 9% to 17% of cases of arterial loops, but the percentage with venous loops is uncertain. Arterial prepapillary loops most commonly supply the inferior retinal vascular system, in contrast to venous prepapillary loops, which usually drain the superior retinal vascular system.11

On fluorescein angiography, prepapillary loops demonstrate a rapid flow. However, there may be a sector delay in filling of the optic disc or the area of retina supplied by the loop caused by the increased distance that blood must travel through the loop. Cilioretinal arteries have been seen in up to 75% of eyes with prepapillary loops.8

Ocular complications associated with prepapillary vascular loops include branch retinal artery obstruction in the area of retina supplied by the loop,8,12 amaurosis fugax, and vitreous hemorrhage.8,13,14 Presumably, kinking of the loop and impairment of blood flow dynamics in some way contributes to the obstruction. Why vitreous hemorrhage occurs is uncertain, although we have noted it to occur in conjunction with acute posterior vitreous detachment. No consistently associated systemic abnormalities have been found in conjunction with prepapillary loops.

The differential diagnosis of arterial prepapillary loops includes persistent hyaloid artery. However, the latter is only a single vessel, without ascending and descending branches. Congenital venous prepapillary loops must be differentiated from the acquired variety.15 Congenital loops usually are single and unassociated with other ocular abnormalities, whereas acquired venous loops often are multiple and seen with disease entities such as retinal venous obstruction and optic nerve tumors.16

PERSISTENT HYALOID ARTERY

The hyaloid artery enters the globe through the embryonic fissure at about the 5-mm gestational stage. It branches throughout the vitreous cavity to form the vasa hyaloidea propria, the vascular supply of the primary vitreous. Additionally, it contributes to the tunica vasculosa lentis to supply blood to the developing lens.17 Maximally developed at about the 40-mm stage (9 weeks), the vasa hyaloidea propria begins to regress at the 60-mm stage (11 weeks). The hyaloid artery becomes impervious to blood at about 7 months, and the end of the involutional process usually occurs during the eighth month of fetal life, at which time the intravitreal artery becomes atrophic.18 The sequence of regression is such that the vasa hyaloidea propria regresses first, followed in turn by the capillaries of the tunica vasculosa lentis and then the hyaloid artery.19

The hyaloid artery can be seen in premature infants, and occasionally the vessel persists into adult life. Ophthalmoscopically, a persistent hyaloid artery appears as a single vessel extending from the optic disc anteriorly through Cloquet's canal. It may be filled with blood but usually is bloodless after birth and can extend as far anteriorly as the posterior capsule of the lens (Fig. 4). Usually, the insertion on the posterior capsule is located inferonasal to the visual axis. Occasionally, after the vessel has regressed, only the circular point of insertion remains; this is known as a Mittendorf dot.

Fig. 4. Persistent hyaloid artery inserting inferonasally on the posterior capsule of the lens in this left eye.

A persistent hyaloid artery may be found in association with persistent hyperplastic primary vitreous20,21 and should be considered a possible complicating factor during surgery.22 Indeed, intraoperative diathermy of a persistent hyaloid artery has been reported to result in a branch retinal artery occlusion.23 A persistent hyaloid vascular system also has been reported to occur in association with retinopathy of prematurity, potentially complicating surgical repair.24,25 Prepapillary and vitreous hemorrhage has been seen in association with persistent hyaloid arteries.22,26–28 Aside from those cases associated with ocular trauma, the mechanism of hemorrhage is unknown.29

RETINAL MACROVESSELS

Retinal macrovessels are abnormally large single blood vessels, usually veins, which traverse the macular region and supply or drain the retina both inferior to and superior to the horizontal raphe (Fig. 5). This aspect of blood supply or drainage is unusual because only about 1% of eyes have a retinal vessel that extends to any degree on both sides of the horizontal raphe.30 Relatively large branches from these vessels may penetrate the foveal region, and small branches occasionally are seen traversing the foveal avascular zone. The aberrant retinal vessel is congenital and usually unilateral. Surprisingly, most eyes with this abnormality have normal visual acuity and are detected on routine examination.31,32

Fig. 5. Venous congenital retinal macrovessel in the right eye. Abnormally large vessels are present in the foveal region, and the vein drains the retina on both sides of the horizontal raphe.

On fluorescein angiography, small arteriovenous communications have been noted in some eyes with macrovessels.31,33 Archer and associates refer to such eyes as having a group I, or mild, arteriovenous communication.33 Patients classified as group II have a more pronounced communication, with large vessels both entering and leaving the optic disc, and in group III the malformation is so pronounced that visual acuity is decreased (Fig. 6). The abnormalities seen in groups II and III usually are referred to as racemose angiomas rather than macrovessels. Patients with anomalies of the character of these latter two groups, in association with vascular malformations of the skull or central nervous system, are considered to have the Wyburn-Mason syndrome.34 However, eyes with congenital retinal macrovessels do not necessarily have arteriovenous communications, and systemic abnormalities have not been associated with these milder vascular abnormalities. Whereas the earlier described arteriovenous anomalies are thought to be congenital, remodeling of some of the more bizarre malformations (group III) has been observed.35

Fig. 6. Right eye of a 20-year-old patient with a large congenital arteriovenous anastomosis, also referred to as a racemose angioma. The visual acuity in this eye was no light perception, and additionally, the patient had an arteriovenous malformation in the jaw, which produced severe bleeding at the time of dental extraction. (Courtesy of Dr. Jerry Shields)

Fluorescein angiography of congenital retinal macrovessels (group I) commonly demonstrates small areas of retinal capillary nonperfusion.31 These may be located in the foveal region or in a perivascular distribution surrounding the abnormal vessel. Flow through the vessels appears to be rapid, although delayed emptying of dye may be observed.31,32 Permeability alterations of the anomalous vessel is not a feature of this disorder.36

Foveal cysts have been seen in association with congenital macrovessels, but these usually decrease the vision minimally, if at all. Other ocular abnormalities include a poor foveal reflex, minor displacement of the fovea, and retinal pigment epithelial mottling.31,37,38 Gass describes one patient with congenital retinal macroveins who had similar vascular anomalies of the conjunctiva and tongue.36

Embryologically, macrovessels are thought to develop during the remodeling phase of retinal vascular development, but the stimulus for their development is unknown.

CILIORETINAL ARTERY

Cilioretinal arteries are vessels that supply the retina but are derived from the short posterior ciliary arteries and, rarely, directly from the choroidal vessels rather than from the central retinal artery.39 Anastomoses between cilioretinal- and central-retinal-derived circulations are minimal. Typically, cilioretinal arteries appear to emerge from the optic disc or disc margin separately from the central retinal artery. A characteristic hook, which has been likened to a walking stick handle, is another helpful ophthalmoscopic sign40 (Fig. 7). Fluorescein angiography demonstrates that cilioretinal arteries are present in about 32% of eyes.41 Usually, a cilioretinal artery fills with the choroidal circulation 1 to 2 seconds before the appearance of dye within the retinal arterial system. With ophthalmoscopy alone, cilioretinal arteries have been noted in about 20% of eyes.42–44

Fig. 7. Cilioretinal artery emerging from the optic disc at the 2-o'clock position. Notice the characteristic hook made by the vessel at its origin on the disc margin.

Cilioretinal arteries usually supply only a small portion of the fundus and are mostly confined to the macula. In about 1 eye in 2900, a cilioretinal artery may supply a major part of the fundus.45 However, when prepapillary arterial loops are present, prominent cilioretinal circulations are commonly seen.8,46 Cilioretinal arteries supply the foveal region in about 10% of eyes.47 This is clinically relevant in that such a cilioretinal vessel may preserve central vision in eyes that sustain a central retinal artery obstruction.47 The presence of a temporal cilioretinal artery also has been correlated with increased retention of central visual field and visual acuity in eyes with advanced open-angle glaucoma.48 Conversely, cilioretinal arteries also may become obstructed and produce a central field defect.49 In general, isolated cilioretinal artery obstruction carries a favorable visual prognosis with 90% of eyes achieving a visual acuity of 20/40 or better.50

Cilioretinal artery obstruction also may occur in association with central retinal venous obstruction or ischemic optic neuropathy.50,51 Central retinal vein occlusion is thought to raise intraluminal resistance in the cilioretinal artery and subsequently cause occlusion.52,53 Other investigators have documented abnormal central retinal artery inflow by intravenous fluorescein angiography in patients with this disorder.54 These eyes have a less favorable prognosis, with 70% of eyes achieving a visual acuity of 20/40 or better.50 A cilioretinal artery obstruction occurring in the setting of ischemic optic neuropathy may be explained by the shared origin of their vascular supply.51 These eyes have the worst prognosis, with no eyes achieving better than 20/40 visual acuity.50 Cilioretinal artery obstructions account for about 5% of arterial obstructions in the retina.47,55

Back to Top
OPTIC DISC ABNORMALITIES

CONGENITAL OPTIC PITS

Congenital pits of the optic nerve head appear as round or oval localized depressions within the optic disc (Fig. 8). Over one half are positioned temporally on the nerve head, whereas about one third are located more centrally on the disc.5 In 95% of eyes with noncentrally located pits, peripapillary chorioretinal disturbances are seen adjacent to the anomaly.56 Optic pits range from 0.1 to 0.7 disc diameters along their widest dimensions and may be as deep as 25 diopters (D), although the mean depth is about 5 D.56 Bilateral involvement is seen in about 15% of patients. In those with unilateral pits, the optic disc itself is larger in the affected eye about 80% of the time.56

Fig. 8. Congenital pit of the optic nerve head. The pit is gray and inferotemporally located, and it appears to have a cilioretinal artery emerging from its lateral border. Mild peripapillary chorioretinal changes are evident adjacent to the pit.

Petersen probably was the first to realize that the association between congenital optic pits and serous retinal detachment was more than coincidental.57 The serous retinal detachment usually is confined to the macular region and rarely exceeds 1.5 mm in height. About 40% of pits reported have been noted to have such a nonrhegmatogenous detachment.5 Most detachments are seen in eyes with temporally located pits, and the mean age at onset is about 30 years.56 Cystic changes are prominent in many of the associated retinal detachments, and in about 25% of eyes with a detachment a lamellar, outer layer macular hole develops.56,58 Approximately one third of these eyes have subretinal precipitates on the outer surface of the detached retina. In some eyes, a larger, less sharply demarcated area of elevation of the inner retinal surface is present overlying the retinal detachment.59,60 Although this area appears clinically similar to retinoschisis, the expected complete loss of retinal function in the affected area is not seen.61 Evaluation with optical coherence tomography has led several investigators to speculate that the subretinal fluid originates from these schisis-like cavities in the inner retina, which communicate with optic nerve pit.58,62

Controversy exists as to the etiology of the subretinal fluid. Possible sources include (1) vitreous fluid by way of the pit or a macular hole, (2) leakage from vessels within the pit, (3) leakage from choroidal vessels, and (4) cerebrospinal fluid. In collie dogs, a direct communication has been demonstrated between the vitreous cavity and the subretinal space by way of the pit, but human clinical or histopathologic confirmation of a similar pathway is lacking.62–64 Although fluorescein angiography reveals leakage originating from vessels within the pit more commonly in eyes with a serous retinal detachment,65 many eyes with leakage do not have subretinal fluid. The presence of cilioretinal arteries, which are present in 60% of eyes with optic nerve pits, also are associated with leakage of intravenous fluorescein dye.56,66 The theory that the subretinal fluid may be derived from cerebrospinal fluid has not been confirmed in human or experimental animal studies.63,64,67 However, because optical coherence tomography has been unable to demonstrate a communication between the optic pit and the vitreous cavity, some investigators maintain that the cerebrospinal fluid is the most likely source.62 Recently, it has been proposed that vitreoretinal traction may contribute to the development of macular detachment in this condition. This theory is supported by the findings in one case where a macular break developed after minor head trauma in a patient with an optic nerve pit and serous macular detachment.68 In addition, alleviating the vitreoretinal traction by pars plana vitrectomy or posterior scleral buckling without the use of laser retinopexy has resulted in resolution of the subretinal fluid.69,70

Fluorescein angiography usually demonstrates early hypofluorescence of a pit, and 50% progress to hyperfluorescence as the study continues (Fig. 9). Visual fields are abnormal in about 60% of eyes with pits; arcuate scotomas are the most commonly encountered defect.56

Fig. 9. A. Fluorescein angiogram in the laminar venous filling phase of an eye with an inferotemporal optic pit. The pit is hypofluorescent at this time. B. Ten minutes after the injection, the pit is hyperfluorescent.

Without treatment, the visual prognosis is poor in patients with an optic nerve pit and serous detachment of the macula.56,71,72 One study found that over 50% of eyes with retinal detachment and a minimum follow-up of 1 year have an acuity of 20/100 (6/30) or worse. These findings were confirmed in a study where 80% of eyes with an optic nerve pit and serous macular detachment had a visual acuity of 20/200 or worse after an average follow-up period of 9 years.72 The visual loss occurred within 6 months of the development of the serous macular detachment.

Laser photocoagulation to the peripapillary retina adjacent to the pit has been advocated for the treatment of associated macular retinal detachment.73–76 Whereas this therapy probably promotes resolution of the subretinal fluid, it is uncertain whether the visual acuity improves compared with the natural course of the disease.5 Pars plana vitrectomy and intraocular gas tamponade with or without laser treatment has been advocated for the treatment of serous macular detachment secondary to optic nerve pits.69,77–82

No consistent systemic abnormalities have been associated with pits, but the occurrence of a basal encephalocele and agenesis of the corpus callosum in a patient with a pit has been noted.83,84 Although no definite inheritance pattern has been identified for pits, familial cases, autosomal dominant cases, and cases occurring in monozygotic twins have been seen.85–87

Embryologically, congenital optic pits probably arise from defective formation of the primitive epithelial papilla. However, in some cases, a pit is located inferiorly and is associated with a retinochoroidal coloboma. In these latter instances, it may arise from defective closure of the superior aspect of the embryonic fissure.64

OPTIC NERVE HYPOPLASIA AND APLASIA

There is probably a spectrum of hypoplasia ranging from mild hypoplasia of the optic nerve head to absence of the nerve and retinal vessels (aplasia). Typically, a hypoplastic optic disc appears small and pale and is partially or totally surrounded by a yellow-white ring that may be variably pigmented (Fig. 10). Because of the encircling ring, these eyes have been referred to as having the double-ring sign.88 The outer border of the yellow-white ring denotes the juncture of the sclera with the lamina cribrosa and typically corresponds to the size of a normal optic nerve head. The retinal vessels usually are of normal caliber. Histopathologic examination shows a diminished nerve fiber layer in most eyes and usually a reduced number of ganglion cells.88,89 The outer retinal layers appear normal. An unusual variant of optic nerve hypoplasia occurs in children with periventricular leukomalacia and is associated with a normal-sized optic disc with a large cup.90

Fig. 10. Hypoplastic optic disc. The outer ring (large arrow) represents the junction of the sclera and lamina cribrosa, and the inner ring (small arrow) corresponds to the termination of the retina and retinal pigment epithelium, both of which abnormally extend centrally over the lamina cribrosa.

Unilateral and bilateral involvement occur with almost equal frequency, and in bilateral cases there is no apparent sex predilection.91,92 However, in unilateral cases, over three fourths of patients are men.93 Visual acuity in involved eyes may range from normal to no light perception, although most reported cases have been in the counting-fingers to light-perception range.91–93 Despite this fact, a trial of occlusion therapy is warranted in cases of unilateral hypoplasia associated with strabismus.93 Strabismus often is seen in unilateral cases, usually in the form of an esotropic deviation.91,92,94 It also may be found in bilateral cases, but in these eyes, a pendular nystagmus is more frequently encountered because of poor visual acuity.91,92 Careful retinoscopy and refraction is essential in these patients because high rates of astigmatism have been found in affected eyes.95,96 Electroretinography usually is normal in eyes with this disorder.97

Calculation of the disc-macula: disc diameter ratio has been recommended to establish the diagnosis of optic nerve hypoplasia.98 A ratio of 3.0 or higher has been found to be correlated with the diagnosis of optic nerve hypoplasia.99 Magnetic resonance imaging and B-scan ultrasonography also can demonstrate a small optic nerve in affected individuals.100,101 Systemic abnormalities that may be associated with optic nerve hypoplasia include anencephaly and hydranencephaly and an entity known as septooptic dysplasia (DeMorsier syndrome).88,89,92,102 DeMorsier initially described the association of optic nerve hypoplasia and absence of the septum pellucidum,103 and later it was realized that pituitary dwarfism and diabetes insipidus105 also could be seen with the syndrome. At least one quarter of patients with bilateral optic nerve hypoplasia have hypothalamic-pituitary endocrine dysfunction, and 11.5% have DeMorsier syndrome.106,107 Magnetic resonance imaging of affected individuals can provide prognostic information regarding the likelihood of neurodevelopmental deficits and hypothalamic-pituitary dysfunction.96,108–110

The etiology of optic nerve hypoplasia is uncertain in most cases. However, certain prenatal insults have been linked to its development. These include young maternal age109,111,112; maternal ingestion of anticonvulsant medications,113,114 alcohol,90,115 and quinine116; maternal diabetes94,117,118; and congenital cytomegalovirus infection.119 Intracranial cysts and tumors also have been associated with optic nerve hypoplasia.96,120,121 Initially, the most widely accepted embryologic theory was that the condition resulted from partial failure of development of the retinal ganglion cells.122 Normally, these cells are apparent at the 17-mm stage and their axons grow through the primitive optic papilla into the optic stalk to form the optic nerve. A decrease in the number of ganglion cells would subsequently lead to decreased nerve fibers and a smaller optic nerve. However, other investigators propose that the disorder results from a supranormal regression of optic nerve axons in utero123,124 or to a vascular disruption sequence involving the proximal trunk of the anterior cerebral artery.88,112,125

Optic nerve aplasia lies at the end of the spectrum with the more severe forms of hypoplasia. However, in contrast, it connotes total absence of the optic nerve, ganglion cells, and retinal blood vessels.89,126 It may occur as an isolated finding127 or in combination with severe defects, such as partial agenesis of the central nervous system.128,129 Involved eyes have no light perception and usually are microphthalmic.130 It has been speculated that the condition arises from severe failure of ganglion cell development89,128 or absence of mesodermal ingrowth into the globe,122 but exact embryologic origins are uncertain.

MORNING GLORY DISC ANOMALY

The morning glory optic disc anomaly appears ophthalmoscopically as an enlarged excavated disc with white, fibroglial-appearing tissue located at its center; an elevated, subretinal peripapillary annulus of chorioretinal pigmentary changes encircles the disc (Fig. 11). This congenital abnormality has been likened to the morning glory flower, from which it derives its name.131 Most cases are unilateral, and visual acuity most often falls into the 20/100 (6/30) to hand-motion range.131,132 Retinal detachment is seen in over one third of cases, the etiology of which is uncertain.132,133 These detachments connect to the optic nerve head and usually are confined to the posterior pole.131,134 The mechanism may involve a retinal break in the tissue within the optic disc anomaly, which provides a communication for fluid between the vitreous cavity and the subretinal space,135–137 or from an abnormal communication between the subarachnoid space surrounding the optic nerve and the subretinal space.133,138 Most cases are managed with plana vitrectomy, laser photocoagulation, and intravitreal gas or silicone oil tamponade.135,137,139

Fig. 11. Morning glory optic disc anomaly. The retinal vessels enter and leave the nerve head at its margins.

No hereditary tendency is evident, and no associated intrauterine insults have been identified. Basal encephalocele and pituitary hormone disturbances have been described in conjunction with the abnormality.140–143 The etiology of the anomaly is uncertain, although the association of a morning glory optic disc with persistent hyperplastic primary vitreous has been noted.144,145

Optic nerve dysplasia is the term that has been applied to the morning glory disc anomaly when the center is elevated rather than excavated. This variant also has been associated with basal encephalocele.146

PERSISTENT BERGMEISTER'S PAPILLA

Bergmeister's papilla arises from the cells that constitute the primitive epithelial papilla. These neuroectodermal cells proliferate until they are maximally developed, at about the 180-mm stage (5 to 6 months). At this time, they form a glial sheath around the proximal one third of the hyaloid artery. The sheath begins to atrophy during the seventh month of intrauterine life, and the point to which it regresses determines the character of the physiologic cup. Failure of complete regression produces a persistent Bergmeister's papilla.

Ophthalmoscopically, a persistent Bergmeister's papilla appears as minimally clustered white tissue overlying the optic disc. It may be associated with absence of the physiologic cup and with congenital anomalies such as prepapillary vascular loops.

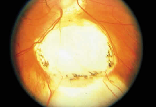
COLOBOMA

Colobomas are congenital or acquired notches, fissures, or defects that are found in the eye. Most commonly, they are congenital and occur secondary to faulty closure of the embryonic fissure. The optic nerve alone may be involved, or, more often, the anomaly may be of the retinochoroidal variety. Isolated optic nerve colobomas appear as excavations within the nerve head and can range up to 25 D in depth and 0.9 disc diameters across.147 They may be unilateral or bilateral, and an autosomal dominant heredity pattern has been described in some patients.147 Despite their presence, visual acuity may be good. However, there is an associated nonrhegmatogenous retinal detachment in 8% to 50% of patients, and this can substantially decrease the vision.147,148

Some optic nerve colobomas have glial tissue filling the cup, similar to the morning glory anomaly.147 Whether some morning glory discs represent an aberrant form of optic disc coloboma is uncertain.149–151

Retinochoroidal colobomas are glistening white or yellow defects with distinct borders that occur inferior or inferonasal to the optic disc (Fig. 12). They may extend up to and involve the optic disc (Fig. 13), or they may be seen as isolated chorioretinal defects. The margins of the coloboma often are pigmented, and the defect is filled with abnormal retinal tissue. Anteriorly, the defect can extend as far as the iris and produce an inferonasal gap (Fig. 14). These anomalies may occur in otherwise normal persons or in association with chromosomal abnormalities or multisystem diseases, such as trisomy 13, the Aicardi syndrome, Goldenhar's syndrome, and the CHARGE association.148,152,153 Occasionally, autosomal dominant or recessive inheritance patterns are found, but often none are evident.152 In families with autosomal dominant inheritance, variable expression of the genetic trait makes genetic counseling difficult.154

Fig. 12. Isolated retinochoroidal coloboma with pigmented borders positioned inferior to the nerve head. The sclera is visible through the thinned, overlying retinal tissue.

Fig. 13. Retinochoroidal coloboma involving the optic disc and inferonasal fundus. The borders of the abnormality are nonpigmented, and the defect appears to be filled with fibroglial tissue.

Fig. 14. Inferonasal colobomatous defect of the iris in the right eye. A retinochoroidal coloboma also was present.

Embryologically, retinochoroidal colobomas arise from failure of the embryonic fissure to close. Consequently, the inner and outer layers of the optic cup are abnormal in this region. The inner layer (sensory retina) usually is present as a membrane of undifferentiated retina that may have blood vessels going through it (see Figs. 12 and 13). The outer layer (RPE) is absent, and since the choroid is dependent on the RPE for its development, it also is lacking.

Ocular associations with retinochoroidal colobomas include orbital cysts, in severe cases,155 and retinal dysplasia.152 Retinal detachment can be seen in conjunction with these defects, probably because of retinal breaks within the colobomatous area, which are difficult to visualize.139,156 Vitrectomy with air-gas/fluid exchange has been advocated for repair of retinal detachments associated with retinochoroidal colobomas when no retinal break is visible.157

INFERIORLY TILTED DISC

Ophthalmoscopically, an inferiorly tilted optic disc appears to be longer horizontally than vertically. It usually is accompanied by an inferonasal crescent, and the fundus in the inferonasal quadrant may be less pigmented than the reminder of the fundus (Fig. 15). The tilted disc may be associated with an outpouching of the globe in the quadrant where the crescent is located, and this has been referred to as nasal fundus ectasia.158 Fuchs' coloboma, inverse myopia, and dysversion of the optic disc are other names that have been applied to the entity.159

Fig. 15. Fifteen-degree photograph of an inferiorly tilted left optic disc. An inferonasal juxtapapillary crescent can be seen.

Visual acuity in eyes with tilted discs often is mildly decreased, and in those with fundus ectasia, relative temporal field defects may be seen. In bilateral cases, these abnormalities may produce bitemporal hemianopia, and unless the clinician is aware of this fact, the patient may undergo unnecessary diagnostic and therapeutic procedures for a suspected pituitary tumor.160 When the refractive error in the ectatic area in these cases is corrected with lenses, the field defect usually is reduced or disappears.158 Eyes with diabetic retinopathy may have less severe retinopathy in the affected retinal quadrant.161

PERIPAPILLARY STAPHYLOMA

A peripapillary staphyloma is a staphylomatous excavation, generally of -8 to -20 D, surrounding the optic nerve.162,163 Although the visual acuity often is decreased with this usually unilateral defect,163,164 normal vision has been reported.165 Most often, the optic nerve head itself appears relatively normal, and atrophic choroidal changes are present surrounding the defect (Fig. 16).

Fig. 16. Peripapillary staphyloma. Notice the relatively normal-appearing optic nerve head within the defect.

Occasionally, the walls of a peripapillary staphyloma can be observed to contract.162,166,167 The reason for this phenomenon is uncertain, although intrascleral smooth muscle has been described in an eye with a congenital coloboma of the optic disc and surrounding staphylomatous defect.168 Pulsations also have been observed in synchrony with respiration.163,169

The anomaly is thought to most likely arise from failure of development of the posterior sclera.162

Back to Top
RETINAL PIGMENT EPITHELIUM ABNORMALITIES

CONGENITAL HYPERTROPHY OF THE RETINAL PIGMENT EPITHELIUM

Congenital hypertrophy of the RPE occurs as a flat, round, usually hyperpigmented fundus lesion (Fig. 17). Often, a thin hypopigmented ring comprises the border of the abnormality. In contrast to inflammatory diseases, which produce RPE hyperplasia with rough edges, the margins of congenital hypertrophy of the RPE are well delineated (Fig. 18A). Commonly, depigmented lacunae can be seen within the confines of the lesion (see Fig. 17).

Fig. 17. Congenital hypertrophy of the retinal pigment epithelium. The flat lesion is essentially black with interspersed yellow-orange areas (lacunae) and has a well-circumscribed border. (Courtesy of Dr. Jerry Shields)

Fig. 18. A. Fundus photograph of congenital hypertrophy of the retinal pigment epithelium (RPE) without yellow-orange lacunae. B. Histologic preparation shows absence of photoreceptors in an area overlying darker RPE. The region between the arrows corresponds to the lesion shown in A. C. Transition (arrow) from normal RPE on the left to hypertrophied RPE on the right. D. A photoreceptor remnant is shown (single arrow), and periodic acid-Schiff-positive material (double arrows) is seen in the subretinal space. E. Bleached section in the area of hypertrophy reveals a single layer of RPE cells and a thickened Bruch's membrane. (Buettner H: Congenital hypertrophy of the retinal pigment epithelium. Am J Ophthalmol 79:177, 1975)

Histologically, congenital hypertrophy of the RPE is characterized by a monolayer of large RPE cells containing larger-than-normal pigment granules (Fig. 19; see Fig. 18B through E). Overlying photoreceptor elements have been shown to be degenerated, which explains the localized visual field defects corresponding to these areas.170

Fig. 19. A. Electron microscopic findings of normal-appearing retinal pigment epithelium (RPE) granules. B. Electron microscopy within area of congenital hypertrophy of the RPE shows enlarged pigment granules and a thickened basement membrane (bm) of the RPE cells. (Buettner H: Congenital hypertrophy of the retinal pigment epithelium. Am J Ophthalmol 79:177, 1975)

Congenital hypertrophy of the RPE usually is asymptomatic and is observed as an incidental finding on fundus examination. It has no malignant potential and should not be confused with choroidal nevi ormelanomas because congenital hypertrophy is flat, is usually black, and has sharp borders.

GROUPED HYPERTROPHY OF THE RETINAL PIGMENT EPITHELIUM

Grouped hypertrophy of the RPE, also known as “bear tracks,” is a multifocal variant of congenital hypertrophy of the RPE and consists of several well-delineated, pigmented, flat lesions, usually in one sector of the fundus (Fig. 20). The lesions range from 0.1 to 3.0 mm in diameter and are most often larger peripherally than posteriorly.171

Fig. 20. Congenital grouped pigmentation of the retina (bear tracks).

Histologically, the involved RPE cells are taller and contain a greater concentration of pigment granules (which may be enlarged) than normal RPE (Fig. 21). The overlying retina has been shown to be unaffected in one patient.171

Fig. 21. Flat-mount preparation of congenital grouped pigmentation of the retina shows a greater concentration of pigment granules within the area corresponding to the lesions. (Courtesy of Dr. Jerry Shields)

Congenital hypertrophy of the RPE and grouped pigmentation of the retina may be different expressions of a similar condition, the latter being multifocal, rather than unifocal.172 Both conditions are asymptomatic and, probably rarely, if ever, affect the central visual acuity. A variant of grouped hypertrophy of the RPE has been associated with familial adenomatous polyposis and Gardner's syndrome.173,174 This entity is similar to grouped hypertrophy of the RPE except that the lesions are more likely to be bilateral, randomly distributed throughout the fundus, and have irregular borders.175

ALBINISM

Albinism is a congenital condition characterized by faulty development of melanin pigment. It can occur as oculocutaneous (generalized) albinism, in which the skin, hair, and eyes are affected, or as ocular albinism, in which only the eye is involved.

Generalized albinism occurs in about 1 in 20,000 people.176 It is thought to be an autosomal recessive disorder and can be seen in tyrosinase-negative and tyrosinase-positive forms. However, normal offspring have been described from parents who both have oculocutaneous albinism.177

Normally, tyrosine is converted to dopa in the pathway of melanin biosynthesis. Tyrosinase is an essential enzyme that catalyzes several steps in this conversion. In the tyrosinase-deficient form of albinism, hair bulbs incubated with tyrosine cannot form melanin, implying that the abnormality occurs secondary to a deficient catalytic activity of tyrosinase.178 In the tyrosinase-positive variety, melanin can be formed by incubation of hair bulbs with tyrosine. Tyrosinase is present in this variety, and the defect is thought to result from abnormalities of the “P” polypeptide, a melanosomal tyrosine transporter.178

Tyrosinase-negative albinism affects visual acuity most severely, with most patients falling into the 20/200 to 20/400 (6/60 to 6/120) range. These patients usually have photophobia, nystagmus, no fundus pigment, and light irides that transilluminate (Fig. 22). The tyrosinase-positive form is less severe; these patients also have nystagmus and photophobia, but visual acuity may be better, and some pigmentation may be present.179,180

Fig. 22. Transillumination photograph demonstrating the absence of iris pigment in a child with oculocutaneous albinism.

In ocular albinism, the condition usually is transmitted in an X-linked fashion, although an autosomal recessive pattern of inheritance also has been described.181 Compared with the generalized forms, more ocular pigment usually is present with ocular involvement alone, but the visual acuity still may be 20/100 (6/30) or less.181 Mutations in a gene that codes for a membrane glycoprotein localized to melanosomes have been identified in individuals with X-linked ocular albinism.182,183

A foveal reflex usually is absent in each of the described types of albinism that involve the eye,181,184 and histologically the fovea may not be identifiable185,186 (Fig. 23). The demonstration of optic pathway misrouting by visual evoked potential studies is present in most cases and may be a useful diagnostic test to confirm a diagnosis of albinism.180,187–189 Finally, recent advances in the understanding of the molecular genetics of these disorders holds potential for confirming the diagnosis, detecting carriers, and enabling prenatal diagnosis.178,190

Fig. 23. Fundus of a 25-year-old man with oculocutaneous albinism. The choroidal vessels are prominent because of a lack of melanin pigment. Notice the absence of a foveal reflex.

Therapy is directed toward correcting refractive errors and lessening the photophobia with dark glasses or tinted contact lenses. Surprisingly, many albinotic children are able to read, probably secondary to their excellent accommodation.191

Back to Top
MISCELLANEOUS

RUBELLA RETINOPATHY

In 1941, Gregg described the triad of cataracts, deafness, and congenital heart disease in infants born to mothers who had experienced rubella during pregnancy.192 However, he attributed the first observation of fundus pigmentary changes to Mitchell in 1939. The ocular manifestations usually occur secondary to infection during the first trimester of pregnancy, and it has been estimated that the chances of the fetus being involved secondary to infection at this time are greater than 50%.193

Retinopathy is the most common ocular manifestation of congenital rubella, followed in frequency by strabismus and cataract.193 It is characterized by a diffuse pigmentary disturbance (salt-and-pepper retinopathy), often more prominent on fluorescein angiography than ophthalmoscopically (Fig. 24). Usually, it is bilateral, but this is not always so.193,194 The visual acuity in eyes with retinopathy unaccompanied by cataracts or glaucoma usually is 20/20 to 20/60 (6/6 to 6/18), with a median of about 20/25 (6/7.5). Although it was formerly believed that the retinopathy was not progressive and affected the vision only mildly, several cases have been described in which a subretinal neovascular membrane developed and decreased the acuity to the 20/200 to 20/400 (6/60 to 6/120) range.195–199 In addition, affected eyes should be carefully examined for the signs of late-onset glaucoma.200 Importantly, the electroretinogram usually is normal with this disease.201

Fig. 24. A. Right fundus of a 23-year-old patient with deafness and a history of maternal infection with rubella in utero. Subtle pigmentary changes are evident, more so in the foveal area. Visual acuity in the eye was 20/25 (6/7.5). B. Fluorescein angiogram of A reveals diffuse mottled hyperfluorescence secondary to the widespread retinal pigment epithelium disturbance.

LEBER'S CONGENITAL AMAUROSIS

Leber's congenital amaurosis accounts for about 10% of congenital blindness and at least 5% of all inherited retinal dystrophies.202,203 The fundi may be normal in this bilateral disease, but when they are abnormal, they include diffuse pigmentary stippling, pale optic nerves, or both (Fig. 25A through C). Blond fundi also may be seen. Other ocular associations may include cataracts, nystagmus, and hyperopia.204,205

Fig. 25. A. Fundus of a 4-year-old child with Leber's congenital amaurosis. Diffuse pigmentary changes are present in the macula, the optic disc is slightly pale, and the retinal arteries are somewhat narrowed. The child has nystagmus, and there was no central fixation in either eye. B. Fluorescein angiogram of A reveals a pattern of mottled hyperfluorescence better delineating the posterior-pole retinal pigment epithelium disturbance. C. Peripheral fundus photograph shows more marked pigmentary changes. D. The electroretinogram is flat in each eye. (Courtesy of Dr. William Tasman)

The children are usually blind, typically with visual acuity ranging from 20/200 (6/60) to hand motions, or become so during the first year of life. Severe night blindness, and occasionally photoaversion, also is present.206 Roving eye movements may be apparent because of the poor visual acuity.

The electroretinogram is crucial for making the diagnosis and is either flat or shows only minimal responses (see Fig. 25D). This disease is autosomal recessive, and it may represent a type of retinitis pigmentosa, since children with a progressive form may develop fundi identical to the typical retinitis pigmentosa fundus by the middle childhood years.205,207 It is thought that the impaired development or extremely early degeneration of photoreceptors is related to a mutation on chromosome 17, which causes impaired production of a retinal guanylate cyclase.203,208,209

MYELINATED NERVE FIBERS

Myelinated nerve fibers in the retina appear ophthalmoscopically as superficial yellow or white patches that follow the course of the nerve fiber layer. Usually, the peripheral edges of the lesions are feathery, and they may be connected to the optic disc or more peripheral and separated from it by an area of normal retina (Fig. 26). The anomaly produces localized relative visual field defects, and since it rarely involves the fovea, it usually does not affect visual acuity.210 Rarely, unilateral peripapillary myelinated nerve fibers are associated with myopia, strabismus, and amblyopia.211,212 Although affected eyes have been reported to be refractory to treatment, amblyopia therapy should be considered because some patients respond to therapy.213,214 Finally, retinal vascular abnormalities ranging from mild telangiectasis to frank neovascularization may develop in a region of myelinated nerve fibers, and these vessels may result in vitreous hemorrhage.215–218

Fig. 26. Myelinated nerve fibers following the course of the nerve fiber layer of the retina. Notice the feathery peripheral edges.

Normally, medullation of the optic nerve begins just before birth, proceeding anteriorly so that it reaches the lamina cribrosa at or shortly after birth. Thus, myelinated nerve fibers probably develop after birth and are not a true congenital anomaly but rather a postnatal development.9

Back to Top
REFERENCES

1. Mann I: Development of the Human Eye. New York, Grune & Stratton, 1969

2. Barishak YR: Embryology of the eye and its adnexae. Dev Ophthalmol 24:1, 1992

3. Ashton N: The mode of development of the retinal vessels in man. In Cant JS (ed): William MacKenzie Centenery Symposium on the Ocular Circulation in Health and Disease, pp 7–17. St Louis, CV Mosby, 1969

4. Liebrich R: Demonstration of diseases of the eye: Persistent hyaloid artery and vein. Trans Pathol Soc Lond 22:221, 1871

5. Brown GC, Tasman WS: Congenital Anomalies of the Optic Disc. New York, Grune & Stratton, 1983

6. Brown GC, Annesley WH Jr, Magargal LE: Peripheral venous loop. Retina 1:290, 1981

7. Shakin EP, Shields JA, Augsburger JJ, Brown GC: Clinicopathologic correlation of a prepapillary vascular loop. Retina 8:55, 1988

8. Degenhart W, Brown GC, Augsburger JJ, Magargal L: Prepapillary vascular loops. Ophthalmology 88:1126, 1981

9. Mann I: Developmental Abnormalities of the Eye. Philadelphia, JB Lippincott, 1957

10. Awan KJ: Arterial vascular anomalies of the retina. Arch Ophthalmol 95:1197, 1977

11. Oxilia E: Anomalie vascolari della retina: Ansa arteriosa prepapillare. Ann Ophthalmol Clin Ocul 73:408, 1946

12. Brown GC, Magargal L, Augsburger JJ, Shields JA: Preretinal arterial loops and retinal arterial occlusion. Am J Ophthalmol 87:646, 1979

13. Strassman IB, Desai UR: Prepapillary vascular loop and a recurrent vitreous hemorrhage. Retina 17:166, 1997

14. Soltau JB, Olk RJ, Gordon JM: Prepapillary arterial loop associated with vitreous hemorrhage and venous retinal macrovessel. Retina 16:74, 1996

15. Wygnanski-Jaffe T, Desatnik H, Treister G, Moisseiev J: Acquired prepapillary vascular loops [letter]. Arch Ophthalmol 115:1329, 1997

16. Bronner A, Risse JF, Flament J: Prepapillary vascular looping and thrombosis of the retinal central vein: Discussion and observations [in French]. Rev Oto-Neuro-Ophtalmol 48:249, 1976

17. Strek W, Strek P, Nowogrodzka-Zagorska M et al: Hyaloid vessels of the human fetal eye: A scanning electron microscopic study of corrosion casts. Arch Ophthalmol 111: 1573, 1993

18. Birnholz JC, Farrell EE: Fetal hyaloid artery: Timing of regression with US. Radiology 166:781, 1988

19. Jack RL: Regression of the hyaloid vascular system: An ultrastructural analysis. Am J Ophthalmol 74:261, 1972

20. Pruett RC, Schepens CL: Posterior hyperplastic primary vitreous. Am J Ophthalmol 69:534, 1970

21. Menchini U, Pece A, Alberti M et al: Hyperplastic primary vitreous with persistent hyaloid artery in 2 non-twin brothers [in French]. J Fr Ophtalmol 10:241, 1987

22. Delaney WV Jr: Prepapillary hemorrhage and persistent hyaloid artery. Am J Ophthalmol 90:419, 1980

23. Thumann G, Bartz-Schmidt KU, Kirchhof B, Heimann K: Branch retinal artery occlusion by diathermy of a persistent hyaloid artery. Am J Ophthalmol 124:415, 1997

24. Eller AW, Jabbour NM, Hirose T, Schepens CL: Retinopathy of prematurity: The association of a persistent hyaloid artery. Ophthalmology 94:444, 1987

25. Nissenkorn I, Kremer I, Ben-Sira I: Association of a persistent hyaloid artery and ROP [letter]. Ophthalmology 95:559, 1988

26. Chen TL, Yarng SS: Vitreous hemorrhage from a persistent hyaloid artery. Retina 13:148, 1993

27. Goncalves A, Cruysberg JR, Draaijer RW et al: Vitreous haemorrhage and other ocular complications of a persistent hyaloid artery. Doc Ophthalmol 92:55, 1996

28. Williamson W, Barac'h D, Poirier L et al: Vitreous hemorrhage associated with persistent hyaloid artery: Apropos of a case [in French]. J Fr Ophtalmol 17:361, 1994

29. Yap EY, Buettner H: Traumatic rupture of a persistent hyaloid artery [letter]. Am J Ophthalmol 114:225, 1992

30. Jensen VA: Studies on the branchings of retinal blood vessels. Acta Ophthalmol 14:100, 1936

31. Brown GC, Donoso LA, Magargal LE et al: Congenital retinal macrovessels. Arch Ophthalmol 100:1430, 1982

32. Polk TD, Park D, Sindt CW, Heffron ET: Congenital retinal macrovessel. Arch Ophthalmol 115:290, 1997

33. Archer DB, Deutman A, Ernest JT, Krill AE: Arteriovenous communications of the retina. Am J Ophthalmol 75:224, 1973

34. Wyburn-Mason R: Arteriovenous aneurysm of midbrain and retina, facial nevi and mental changes. Brain 66:165, 1943

35. Augsburger JJ, Goldberg RE, Shields JA et al: Changing appearance of retinal arteriovenous malformation. Graefes Arch Clin Exp Ophthalmol 215:65, 1980

36. Gass JDM: Stereoscopic Atlas of Macular Diseases: Diagnosis and Treatment, vol 1, pp 440–441. St Louis, Mosby, 1997

37. Sharma S, Cruess AF: Congenital retinal macrovessel with bilateral pigment epithelial changes. Can J Ophthalmol 31:386, 1996

38. Spraul CW, Lang GE: Congenital retinal macrovessel in German]. Klin Monatsbl Augenheilkd 211:406, 1997

39. Hayreh S: The cilioretinal arteries. Br J Ophthalmol 47:71, 1963

40. Lorentzen SE: Incidence of cilioretinal arteries. Acta Ophthalmol 48:518, 1970

41. Justice J Jr, Lehmann RP: Cilioretinal arteries: A study based on review of stereo fundus photographs and fluorescein angiographic findings. Arch Ophthalmol 94:1355, 1976

42. Randall A: Cilioretinal or aberrant vessels. Trans Am Ophthalmol Soc 4:511, 1887

43. Jackson E: Cilioretinal and other anomalous retinal vessels. Ophthalmol Rev 30:264, 1911

44. Nipken LH, Schmidt D: Incidence, localization, length and course of the cilioretinal artery: Is there an effect on the course of temporal rental arteries [in German]? Klin Monatsbl Augenheilkd 208:229, 1996

45. Collier M: Frequence des vaisseaux cillioretiniens, leur rapport avecles ametropies, leur association avec d'autres anomalies du fond de l'oeil. Bull Soc Ophthalmol Fr 9:598, 1957

46. Limaye SR, Tang RA, Pilkerton AR: Cilioretinal circulation and branch arterial occlusion associated with preretinal arterial loops. Am J Ophthalmol 89:834, 1980

47. Brown GC, Shields JA: Cilioretinal arteries and retinal arterial occlusion. Arch Ophthalmol 97:84, 1979

48. Lee SS, Schwartz B: Role of the temporal cilioretinal artery in retaining central visual field in open-angle glaucoma. Ophthalmology 99:696, 1992

49. Perry HD, Mallen FJ: Cilioretinal artery occlusion associated with oral contraceptives. Am J Ophthalmol 84:56, 1977

50. Brown GC, Moffat K, Cruess A et al: Cilioretinal artery obstruction. Retina 3:182, 1983

51. Mizuno K, Sasaoka M, Sasoh M, Uji Y: A case of nonarteritic anterior ischemic optic neuropathy with cilioretinal artery occlusion [in Japanese]. Nippon Ganka Gakkai Zasshi 99:855, 1995

52. Brazitikos PD, Pournaras CJ, Othenin-Girard P, Borruat FX: Pathogenetic mechanisms in combined cilioretinal artery and retinal vein occlusion: A reappraisal. Int Ophthalmol 17:235, 1993

53. Schatz H, Fong AC, McDonald HR et al: Cilioretinal artery occlusion in young adults with central retinal vein occlusion. Ophthalmology 98:594, 1991

54. Keyser BJ, Duker JS, Brown GC et al: Combined central retinal vein occlusion and cilioretinal artery occlusion associated with prolonged retinal arterial filling. Am J Ophthalmol 117:308, 1994

55. Greven CM, Slusher MM, Weaver RG: Retinal arterial occlusions in young adults. Am J Ophthalmol 120:776, 1995

56. Brown GC, Shields JA, Goldberg RE: Congenital pits of the optic nerve head. II. Clinical studies in humans. Ophthalmology 87:51, 1980

57. Petersen HP: Pits or crater-like holes in the optic disc. Acta Ophthalmol 36:435, 1958

58. Rutledge BK, Puliafito CA, Duker JS et al: Optical coherence tomography of macular lesions associated with optic nerve head pits. Ophthalmology 103:1047, 1996

59. Lincoff H, Lopez R, Kreissig I et al: Retinoschisis associated with optic nerve pits. Arch Ophthalmol 106:61, 1988

60. Theodossiadis GP, Theodossiadis PG: Hemorrhage in macular retinoschisis cavity associated with optic nerve pit [letter]. Arch Ophthalmol 114:493, 1996

61. Lincoff H, Yannuzzi L, Singerman L et al: Improvement in visual function after displacement of the retinal elevations emanating from optic pits. Arch Ophthalmol 111:1071, 1993

62. Krivoy D, Gentile R, Liebmann JM et al: Imaging congenital optic disc pits and associated maculopathy using optical coherence tomography. Arch Ophthalmol 114:165, 1996

63. Brown GC, Shields JA, Patty BE, Goldberg RE: Congenital pits of the optic nerve head. I. Experimental studies in collie dogs. Arch Ophthalmol 97:1341, 1979

64. Brown GC, Augsburger JJ: Congenital pits of the optic nerve head and retinochoroidal colobomas. Can J Ophthalmol 15:144, 1980

65. Giuffre G: Optic pit syndrome. Doc Ophthalmol 64:187, 1986

66. Theodossiadis GP, Kollia AK, Theodossiadis PG: Cilioretinal arteries in conjunction with a pit of the optic disc. Ophthalmologica 204:115, 1992

67. Kalina RE, Conrad WC: Intrathecal fluorescein for serous macular detachment. Arch Ophthalmol 94:1421, 1976

68. Billi B, Lesnoni G, Giuliano M et al: Post-traumatic macular break associated to congenital optic disc pit and pre-existing sensory macular detachment. Int Ophthalmol 20:269, 1996

69. Bartz-Schmidt KU, Heimann K, Esser P: Vitrectomy for macular detachment associated with optic nerve pits. Int Ophthalmol 19:323, 1995

70. Theodossiadis GP: Treatment of maculopathy associated with optic disk pit by sponge explant. Am J Ophthalmol 121:630, 1996

71. Theodossiadis GP, Panopoulos M, Kollia AK, Georgopoulos G: Long-term study of patients with congenital pit of the optic nerve and persistent macular detachment. Acta Ophthalmol 70:495, 1992

72. Sobol WM, Blodi CF, Folk JC, Weingeist TA: Long-term visual outcome in patients with optic nerve pit and serous retinal detachment of the macula. Ophthalmology 97: 1539, 1990

73. Brockhurst RJ: Optic pits and posterior retinal detachment. Trans Am Ophthalmol Soc 73:264, 1976

74. Theodossiadis G: Evolution of congenital pit of the optic disk with macular detachment in photocoagulated and nonphotocoagulated eyes. Am J Ophthalmol 84:620, 1977

75. McDonald HR, Schatz H, Johnson RN: Treatment of retinal detachment associated with optic pits. Int Ophthalmol Clin 32:35, 1992

76. Annesley W, Brown G, Bolling J et al: Treatment of retinal detachment with congenital optic pit by krypton laser photocoagulation. Graefes Arch Clin Exp Ophthalmol 225: 311, 1987

77. Snead MP, James N, Jacobs PM: Vitrectomy, argon laser, and gas tamponade for serous retinal detachment associated with an optic disc pit: A case report. Br J Ophthalmol 75:381, 1991

78. Lee KJ, Peyman GA: Surgical management of retinal detachment associated with optic nerve pit. Int Ophthalmol 17:105, 1993

79. Schatz H, McDonald HR: Treatment of sensory retinal detachment associated with optic nerve pit or coloboma. Ophthalmology 95:178, 1988

80. Alexander TA, Billson FA: Vitrectomy and photocoagulation in the management of serous detachment associated with optic nerve pits. Aust J Ophthalmol 12:139, 1984

81. Monin C, Le Guen Y, Morel C, Haut J: Treatment of coloboma pits of the optic nerve complicated by serous detachment of the neuroepithelium [in French]. J Fr Ophtalmol 17:574, 1994

82. Taiel-Sartral M, Mimoun G, Glacet-Bernard A et al: Vitrectomy-laser-gas for treating optic disk pits complicated by serous macular detachment [in French]. J Fr Ophtalmol 19:603, 1996

83. Van Nouhuys J, Bruyn G: Nasopharyngeal transsphenoidal encephalocele, craterlike hole in the optic disc and agenesis of the corpus callosum: Pneumoencephalographic visualization in a case. Psychiatr Neurol Neurochir 67:243, 1964

84. Corbett JJ, Savino PJ, Schatz NJ, Orr LS: Cavitary developmental defects of the optic disc: Visual loss associated with optic pits and colobomas. Arch Neurol 37:210, 1980

85. Jonas JB, Freisler KA: Bilateral congenital optic nerve head pits in monozygotic siblings. Am J Ophthalmol 124:844, 1997

86. Ragge NK, Ravine D, Wilkie AO: Dominant inheritance of optic pits. Am J Ophthalmol 125:124, 1998

87. Veugelen D, Leys A: Autosomal-dominant heredity of optic pits: A report of two families. Bull Soc Belge Ophtalmol 223:75, 1987

88. Mosier MA, Lieberman MF, Green WR, Knox DL: Hypoplasia of the optic nerve. Arch Ophthalmol 96:1437, 1978

89. Hotchkiss ML, Green WR: Optic nerve aplasia and hypoplasia. J Pediatr Ophthalmol Strabismus 16:225, 1979

90. Jacobson L, Hellstrom A, Flodmark O: Large cups in normal-sized optic discs: A variant of optic nerve hypoplasia in children with periventricular leukomalacia. Arch Ophthalmol 115:1263, 1997

91. Walton DS, Robb RM: Optic nerve hypoplasia: A report of 20 cases. Arch Ophthalmol 84:572, 1970

92. Edwards WC, Layden WE: Optic nerve hypoplasia. Am J Ophthalmol 70:950, 1970

93. Gardner HB, Irvine AR: Optic nerve hypoplasia with good visual acuity. Arch Ophthalmol 88:255, 1972

94. Petersen RA, Walton DS: Optic nerve hypoplasia with good visual acuity and visual field defects: A study of children of diabetic mothers. Arch Ophthalmol 95:254, 1977

95. Zeki SM: Optic nerve hypoplasia and astigmatism: A new association. Br J Ophthalmol 74:297, 1990

96. Zeki SM, Hollman AS, Dutton GN: Neuroradiological features of patients with optic nerve hypoplasia. J Pediatr Ophthalmol Strabismus 29:107, 1992

97. Sprague JB, Wilson WB: Electrophysiologic findings in bilateral optic nerve hypoplasia. Arch Ophthalmol 99:1028, 1981

98. Wakakura M, Alvarez E: A simple clinical method of assessing patients with optic nerve hypoplasia: The disc-macula distance to disc diameter ratio (DM/DD). Acta Ophthalmol 65:612, 1987

99. Alvarez E, Wakakura M, Khan Z, Dutton GN: The disc-macula distance to disc diameter ratio: A new test for confirming optic nerve hypoplasia in young children. J Pediatr Ophthalmol Strabismus 25:151, 1988

100. Brodsky MC, Glasier CM, Pollock SC, Angtuago EJ: Optic nerve hypoplasia: Identification by magnetic resonance imaging. Arch Ophthalmol 108:1562, 1990

101. Boynton JR, Pheasant TR, Levine MR: Hypoplastic optic nerves studied with B-scan ultrasonography and axial tomography of the optic canals. Can J Ophthalmol 10:473, 1975

102. Acers TE. Optic nerve hypoplasia: Septo-optic-pituitary dysplasia syndrome. Trans Am Ophthalmol Soc 79:425, 1981

103. DeMorsier G: Etuds sur les dysraphies cranioencephaliques. III. Agenesie du septum lucidum avec malformation du tractus optique: La dysplasie septa optique. Schweiz Arch Neurol Psychiatr 77:267, 1956

104. Hoyt WF, Kaplan SL, Grumbach MM, Glaser JS: Septo-optic dysplasia and pituitary dwarfism. Lancet i:893, 1970

105. Sheridan SJ, Robb RM: Optic nerve hypoplasia with diabetes insipidus. J Pediatr Ophthalmol Strabismus 15:82, 1978

106. Siatkowski RM, Sanchez JC, Andrade R, Alvarez A: The clinical, neuroradiographic, and endocrinologic profile of patients with bilateral optic nerve hypoplasia. Ophthalmology 104:493, 1997

107. Willnow S, Kiess W, Butenandt O et al: Endocrine disorders in septo-optic dysplasia (De Morsier syndrome): Evaluation and follow up of 18 patients. Eur J Pediatr 155:179, 1996

108. Brodsky MC, Glasier CM: Optic nerve hypoplasia: Clinical significance of associated central nervous system abnormalities on magnetic resonance imaging. Arch Ophthalmol 111:66, 1993

109. Margalith D, Tze WJ, Jan JE: Congenital optic nerve hypoplasia with hypothalamic-pituitary dysplasia: A review of 16 cases. Am J Dis Child 139:361, 1985

110. Kaufman LM, Miller MT, Mafee MF: Magnetic resonance imaging of pituitary stalk hypoplasia: A discrete midline anomaly associated with endocrine abnormalities in septo-optic dysplasia. Arch Ophthalmol 107:1485, 1989

111. Robinson GC, Conry RF: Maternal age and congenital optic nerve hypoplasia: A possible clue to etiology. Dev Med Child Neurol 28:294, 1986

112. Lubinsky MS: Hypothesis: Septo-optic dysplasia is a vascular disruption sequence. Am J Med Genet 69:235, 1997

113. Hoyt CS, Billson FA: Maternal anticonvulsants and optic nerve hypoplasia. Br J Ophthalmol 62:3, 1978

114. West J, Burke JP, Strachan I: Carbamazepine, epilepsy, and optic nerve hypoplasia [letter]. Br J Ophthalmol 74: 511, 1990

115. Stromland K, Pinazo-Duran MD: Optic nerve hypoplasia: Comparative effects in children and rats exposed to alcohol during pregnancy. Teratology 50:100, 1994

116. McKinna AJ: Quinine induced hypoplasia of the optic nerve. Can J Ophthalmol 1:261, 1966

117. Nelson M, Lessell S, Sadun AA: Optic nerve hypoplasia and maternal diabetes mellitus. Arch Neurol 43:20, 1986

118. Kim RY, Hoyt WF, Lessell S, Narahara MH: Superior segmental optic hypoplasia: A sign of maternal diabetes. Arch Ophthalmol 107:1312, 1989

119. Hittner HM, Desmond MM, Montgomery JR: Optic nerve manifestations of human congenital cytomegalovirus infection. Am J Ophthalmol 81:661, 1976

120. Lee JT, Hall TR, Bateman JB: Optic nerve hypoplasia secondary to intracranial teratoma. Am J Ophthalmol 124:705, 1997

121. Ichiyama T, Hayashi T, Nishikawa M, Furukawa S: Optic nerve hypoplasia with hypopituitarism and an arachnoid cyst. Brain Dev 18:234, 1996

122. Scheie H, Adler F: Aplasia of the optic nerve. Arch Ophthalmol 83:569, 1941

123. Lambert SR, Hoyt CS, Narahara MH: Optic nerve hypoplasia. Surv Ophthalmol 32:1, 1987

124. Hoyt CS, Billson FA: Optic nerve hypoplasia: Changing perspectives. Aust NZ J Ophthalmol 14:325, 1986

125. Brodsky MC: Hypothesis: Septo-optic dysplasia is a vascular disruption sequence. Surv Ophthalmol 42:489, 1998

126. Weiter JJ, McLean IW, Zimmerman LE: Aplasia of the optic nerve and disk. Am J Ophthalmol 83:569, 1977

127. Little LE, Whitmore PV, Wells TW Jr: Aplasia of the optic nerve. J Ped Ophthalmol 13:84, 1976

128. Storm RL, PeBenito R: Bilateral optic nerve aplasia associated with hydranencephaly. Ann Ophthalmol 16:988, 1984

129. Yanoff M, Rorke LB, Allman MI: Bilateral optic system aplasia with relatively normal eyes. Arch Ophthalmol 96:97, 1978

130. Margo CE, Hamed LM, Fang E, Dawson WW: Optic nerve aplasia. Arch Ophthalmol 110:1610, 1992

131. Kindler P: Morning glory syndrome: Unusual congenital optic disk anomaly. Am J Ophthalmol 69:376, 1970

132. Steinkuller PG: The morning glory disk anomaly: Case report and literature review. J Pediatr Ophthalmol Strabismus 17:81, 1980

133. Haik BG, Greenstein SH, Smith ME et al: Retinal detachment in the morning glory anomaly. Ophthalmology 91:1638, 1984

134. Irvine AR, Crawford JB, Sullivan JH: The pathogenesis of retinal detachment with morning glory disc and optic pit. Trans Am Ophthalmol Soc 84:280, 1986

135. Coll GE, Chang S, Flynn TE, Brown GC: Communication between the subretinal space and the vitreous cavity in the morning glory syndrome. Graefes Arch Clin Exp Ophthalmol 233:441, 1995

136. Bartz-Schmidt KU, Heimann K: Pathogenesis of retinal detachment associated with morning glory disc. Int Ophthalmol 19:35, 1995

137. von Fricken MA, Dhungel R: Retinal detachment in the morning glory syndrome: Pathogenesis and management. Retina 4:97, 1984

138. Chang S, Haik BG, Ellsworth RM et al: Treatment of total retinal detachment in morning glory syndrome. Am J Ophthalmol 97:596, 1984

139. Brown GC, Brown MM: Repair of retinal detachment associated with congenital excavated defects of the optic disc. Ophthalmic Surg 26:11, 1995

140. Morioka M, Marubayashi T, Masumitsu T et al: Basal encephaloceles with morning glory syndrome, and progressive hormonal and visual disturbances: Case report and review of the literature. Brain Dev 17:196, 1995

141. Itakura T, Miyamoto K, Uematsu Y et al: Bilateral morning glory syndrome associated with sphenoid encephalocele: Case report. J Neurosurg 77:949, 1992

142. Hope-Ross M, Johnston SS: The morning glory syndrome associated with sphenoethmoidal encephalocele. Ophthalmic Paediatr Genet 11:147, 1990

143. Jackson WE, Freed S: Ocular and systemic abnormalities associated with morning glory syndrome. Ophthalmic Paediatr Genet 5:111, 1985

144. Cennamo G, Liguori G, Pezone A, Iaccarino G: Morning glory syndrome associated with marked persistent hyperplastic primary vitreous and lens colobomas. Br J Ophthalmol 73:684, 1989

145. Brown GC, Gonder J, Levin A: Persistence of the primary vitreous in association with the morning glory disc anomaly. J Pediatr Ophthalmol Strabismus 21:5, 1984

146. Goldhammer Y, Smith JL: Optic nerve anomalies in basal encephalocele. Arch Ophthalmol 93:115,1975

147. Savell J, Cook JR: Optic nerve colobomas of autosomal-dominant heredity. Arch Ophthalmol 94:395, 1976

148. Daufenbach DR, Ruttum MS, Pulido JS, Keech RV: Chorioretinal colobomas in a pediatric population. Ophthalmology 105:1455, 1998

149. Apple DJ: New aspects of colobomas and optic nerve anomalies. Int Ophthalmol Clin 24:109, 1984

150. Brodsky MC: Morning glory disc anomaly or optic disc coloboma [letter]? Arch Ophthalmol 112:153, 1994

151. Traboulsi EI: Morning glory disc anomaly or optic disc coloboma [letter]? Arch Ophthalmol 112:153, 1994

152. Pagon RA: Ocular coloboma. Surv Ophthalmol 25:223, 1981

153. Pagon RA, Graham JM Jr, Zonana J, Yong SL: Coloboma, congenital heart disease, and choanal atresia with multiple anomalies: CHARGE association. J Pediatr 99:223, 1981

154. Maumenee IH, Mitchell TN: Colobomatous malformations of the eye. Trans Am Ophthalmol Soc 88:123, 1990

155. Cogan DG: Congenital anomalies of the retina. Birth Defects 7:41, 1971

156. Jesberg D, Schepens C: Retinal detachment associated with coloboma of the choroid. Arch Ophthalmol 65:163, 1961

157. McDonald HR, Lewis H, Brown G, Sipperley JO: Vitreous surgery for retinal detachment associated with choroidal coloboma. Arch Ophthalmol 109:1399, 1991

158. Riise D: The nasal fundus ectasia. Acta Ophthalmol Suppl 3:108, 1975

159. Riise D: Visual field defects in optic disc malformation with ectasia of the fundus. Acta Ophthalmol 44:906, 1966

160. Young SE, Walsh FB, Knox DL: The tilted disk syndrome. Am J Ophthalmol 82:16, 1976

161. Malinowski SM, Pulido JS, Flickinger RR: The protective effect of the tilted disc syndrome in diabetic retinopathy. Arch Ophthalmol 114:230, 1996

162. Wise JB, MacLean AL, Gass JD: Contractile peripapillary staphyloma. Arch Ophthalmol 75:626, 1966

163. Sugar HS, Beckman H: Peripapillary staphyloma with respiratory pulsation. Am J Ophthalmol 68:895, 1969

164. Gottlieb JL, Prieto DM, Vander JF et al: Peripapillary staphyloma. Am J Ophthalmol 124:249, 1997

165. Caldwell JB, Sears ML, Gilman M: Bilateral peripapillary staphyloma with normal vision. Am J Ophthalmol 71(suppl):423, 1971

166. Kral K, Svarc D: Contractile peripapillary staphyloma. Am J Ophthalmol 71:1090, 1971

167. Cennamo G, Sammartino A, Fioretti F: Morning glory syndrome with contractile peripapillary staphyloma. Br J Ophthalmol 67:346, 1983

168. Font RL, Zimmerman LE: Intrascleral smooth muscle in coloboma of the optic disk: Electron microscopic verification. Am J Ophthalmol 72:452, 1971

169. Vuori ML: Morning glory disc anomaly with pulsating peripapillary staphyloma: A case history. Acta Ophthalmol 65:602, 1987

170. Buettner H: Congenital hypertrophy of the retinal pigment epithelium. Am J Ophthalmol 79:177, 1975

171. Shields JA, Tso MO: Congenital grouped pigmentation of the retina: Histopathologic description and report of a case. Arch Ophthalmol 93:1153, 1975

172. Purcell JJ Jr, Shields JA: Hypertrophy with hyperpigmentation of the retinal pigment epithelium. Arch Ophthalmol 93:1122, 1975

173. Traboulsi EI, Murphy SF, de la Cruz ZC et al: A clinicopathologic study of the eyes in familial adenomatous polyposis with extracolonic manifestations (Gardner's syndrome). Am J Ophthalmol 110:550, 1990

174. Traboulsi EI, Maumenee IH, Krush AJ et al: Congenital hypertrophy of the retinal pigment epithelium predicts colorectal polyposis in Gardner's syndrome. Arch Ophthalmol 108:525, 1990

175. Shields J, Shields C: Intraocular Tumors: A Text and Atlas, pp 438–444. Philadelphia, WB Saunders, 1992

176. Auerbach V: Inborn errors of metabolism originating in the eye. In Harley R (ed): Pediatric Ophthalmology, pp 548–563. Philadelphia, WB Saunders, 1975

177. Trevor-Roper P: Marriage of two complete albinos with normally pigmented offspring. Br J Ophthalmol 36:107, 1952

178. Spritz RA: Molecular genetics of oculocutaneous albinism. Hum Mol Genet 3:1469, 1994

179. Summers CG: Vision in albinism. Trans Am Ophthalmol Soc 94:1095, 1996

180. Oetting WS, Summers CG, King RA: Albinism and the associated ocular defects. Metab Pediatr Syst Ophthalmol 17:5, 1994

181. O'Donnell FE Jr, King RA, Green WR, Witkop CJ Jr: Autosomal recessively inherited ocular albinism: A new form of ocular albinism affecting females as severely as males. Arch Ophthalmol 96:1621, 1978

182. Schiaffino MV, Baschirotto C, Pellegrini G et al: The ocular albinism type 1 gene product is a membrane glycoprotein localized to melanosomes. Proc Natl Acad Sci USA 93:9055, 1996

183. Schnur RE, Gao M, Wick PA et al: OA1 mutations and deletions in X-linked ocular albinism. Am J Hum Genet 62:800, 1998

184. O'Donnell FE Jr, Green WR, Fleischman JA, Hambrick GW: X-linked ocular albinism in blacks: Ocular albinism cum pigmento. Arch Ophthalmol 96:1189, 1978

185. Fulton AB, Albert DM, Craft JL: Human albinism: Light and electron microscopy study. Arch Ophthalmol 96:305, 1978

186. Mietz H, Green WR, Wolff SM, Abundo GP: Foveal hypoplasia in complete oculocutaneous albinism: A histopathologic study. Retina 12:254, 1992

187. Apkarian P, Shallo-Hoffmann J: VEP projections in congenital nystagmus: VEP asymmetry in albinism. A comparison study. Invest Ophthalmol Vis Sci 32:2653, 1991

188. Bouzas EA, Caruso RC, Drews-Bankiewicz MA, Kaiser-Kupfer MI: Evoked potential analysis of visual pathways in human albinism. Ophthalmology 101:309, 1994

189. Fitzgerald K, Cibis GW: The value of flash visual evoked potentials in albinism. J Pediatr Ophthalmol Strabismus 31:18, 1994

190. Carden SM, Boissy RE, Schoettker PJ, Good WV: Albinism: Modern molecular diagnosis. Br J Ophthalmol 82:189, 1998

191. Collins B, Silver J: Recent experiences in the management of visual impairment in albinism. Ophthalmic Paediatr Genet 11:225, 1990

192. Gregg N: Congenital cataract following German measles in the mother. Trans Ophthalmol Soc Aust 3:35, 1941

193. Wolff SM: The ocular manifestations of congenital rubella. Trans Am Ophthalmol Soc 70:577, 1972

194. Hertzberg R: Twenty-five-year follow-up of ocular defects in congenital rubella. Am J Ophthalmol 66:269, 1968

195. Bonomo PP: Involution without disciform scarring of subretinal neovascularization in presumed rubella retinopathy: A case report. Acta Ophthalmol 60:141, 1982

196. Slusher MM, Tyler ME: Rubella retinopathy and subretinal neovascularization. Ann Ophthalmol 14:292, 1982

197. Frank KE, Purnell EW: Subretinal neovascularization following rubella retinopathy. Am J Ophthalmol 86:462, 1978

198. Deutman AF, Grizzard WS: Rubella retinopathy and subretinal neovascularization. Am J Ophthalmol 85:82, 1978

199. Orth DH, Fishman GA, Segall M et al: Rubella maculopathy. Br J Ophthalmol 64:201, 1980

200. Boger WPd: Late ocular complications in congenital rubella syndrome. Ophthalmology 87:1244, 1980

201. Obenour LC: The electroretinogram in rubella retinopathy. Int Ophthalmol Clin 12:105, 1972

202. Deutman A: Rod-cone dystrophy: Primary, hereditary, pigmentary retinopathy, retinitis pigmentosa. In Krill A (ed): Hereditary Retinal and Choroidal Diseases, 552–556. Hagerstown, MD, Harper & Row, 1977

203. Perrault I, Rozet JM, Calvas P et al: Retinal-specific guanylate cyclase gene mutations in Leber's congenital amaurosis. Nature Genet 14:461, 1996

204. Dagi LR, Leys MJ, Hansen RM, Fulton AB: Hyperopia in complicated Leber's congenital amaurosis. Arch Ophthalmol 108:709, 1990

205. Schroeder R, Mets MB, Maumenee IH: Leber's congenital amaurosis: Retrospective review of 43 cases and a new fundus finding in two cases. Arch Ophthalmol 105:356, 1987

206. Traboulsi EI, Maumenee IH: Photoaversion in Leber's congenital amaurosis. Ophthalmic Genet 16:27, 1995

207. Heher IL, Traboulsi EI, Maumenee IH: The natural history of Leber's congenital amaurosis: Age-related findings in 35 patients. Ophthalmology 99:241, 1992

208. Camuzat A, Rozet JM, Dollfus H et al: Evidence of genetic heterogeneity of Leber's congenital amaurosis (LCA) and mapping of LCA1 to chromosome 17p13. Hum Genet 97:798, 1996

209. Camuzat A, Rozet JM, Dollfus H et al: A gene for Leber's congenital amaurosis maps to chromosome 17p. Hum Mol Genet 4:1447, 1995

210. Kodama T, Hayasaka S, Setogawa T: Myelinated retinal nerve fibers: Prevalence, location and effect on visual acuity. Ophthalmologica 200:77, 1990

211. Lee MS, Gonzalez C: Unilateral peripapillary myelinated retinal nerve fibers associated with strabismus, amblyopia, and myopia. Am J Ophthalmol 125:554, 1998

212. Schmidt D, Meyer JH, Brandi-Dohrn J: Wide-spread myelinated nerve fibers of the optic disc: Do they influence the development of myopia? Int J Ophthalmol 20:263, 1996

213. Summers CG, Romig L, Lavoie JD: Unexpected good results after therapy for anisometric amblyopia associated with unilateral peripapillary myelinated nerve fibers. J Pediatr Ophthalmol Strabismus 28:134, 1991

214. Kasmann B, Hoh H, Ruprecht KW: Results of occlusion therapy in anisomyopic amblyopia with myelinated nerve fibers. Ger J Ophthalmol 5:241, 1996

215. Leys AM, Leys MJ, Hooymans JM et al: Myelinated nerve fibers and retinal vascular abnormalities. Retina 16:89, 1996

216. Silvestri G, Sehmi K, Hamilton P: Retinal vascular abnormalities: A rare complication of myelinated nerve fibers? Retina 16:214, 1996

217. Lucas BC, Eckardt C: Venous vascular anomalies within the myelinated retinal nerve fiber area [in German]. Klin Monatsbl Augenheilkd 199:454, 1991

218. Goldberg RE, Leonard BC, Kleineidam M, Augsburger JJ: Venous anomalies within the myelinated retinal nerve fiber area [letter; in German]. Klin Monatsbl Augenheilkd 201:411, 1992

Back to Top