| Chapter 15 Venous Occlusive Disease of the Retina GEORGE E. SANBORN and LARRY E. MAGARGAL Table Of Contents |
|
CENTRAL RETINAL VEIN OCCLUSION PAPILLOPHLEBITIS HEMICENTRAL AND HEMISPHERIC RETINAL VEIN OCCLUSION BRANCH RETINAL VEIN OCCLUSION MACULAR BRANCH RETINA VEIN OCCLUSION REFERENCES |
| CENTRAL RETINAL VEIN OCCLUSION | ||||||||||||||||||||||||||||||||||||||||||||||
| Acute occlusion of the central
retinal vein presents as one of the most dramatic pictures in ophthalmology
(Fig. 1); consequently, it
was noted and described soon after the development of the ophthalmoscope.1,263,264
Despite many years of investigation, much of the pathophysiology of this
disease remains unclear. It is second only to diabetic retinopathy as a
vascular cause of visual loss,253 and the
effect this condition has on visual acuity and vision-related quality of
life can be significant.254
PATHOLOGY Occlusion of the central retinal vein is probably a result of both local and systemic causes. The actual mechanisms producing the clinical picture of central retinal vein occlusion may be roughly divided into those conditions that produce a physical blockage at the level of the lamina cribrosa, and those conditions in which hemodynamic factors result in an obstruction to the flow of blood. These mechanisms probably coexist in many patients with central retinal vein occlusion. The pathogenesis of this condition and the underlying histopathology have remained controversial ever since Michel1 first correlated the clinical appearance with the histopathology. The fact that relatively few eyes have been histopathologically examined during the freshly obstructed stage has contributed to the problem. Many of the reported cases have involved eyes that were enucleated because of long-standing neovascular glaucoma; secondary changes that did not play a role in the original occlusion may have occurred in these eyes. Histopathologic evaluation of eyes removed because of a central retinal vein occlusion demonstrates an occlusion at or just behind the level of the lamina cribrosa.2–7 At this location, certain anatomic factors predispose the central retinal vein to occlusion. First, the lumina of the central retinal artery and central retinal vein are narrower than they are in the orbital optic nerve, and the vessels are bound by a common adventitial sheath.8 Second, the lamina cribrosa is a sievelike, bisecting structure of connective tissue that not only provides support to the optic nerve, but also limits expansion and displacement of the optic nerve and the vessels within it. In 1878, Michel1 found a thrombus in one patient studied. Later, both Coats2 and Harms9 believed, based on their histopathologic findings, that a primary thrombus within the intraluminal portion of the central retinal vein was the most common cause of occlusion. Verhoeff,3 however, was an early advocate of the concept that endothelial cell proliferation was the primary obstructing mechanism, and he believed that thrombosis within the vein did not occur except in patients with sepsis. He believed that most cases diagnosed as thrombosis were actually dissecting aneurysms because he found the intimal lining forced away from the venous wall by the backup of blood in a tributary vein. Klein,5,6 who has done extensive clinical and pathologic studies of central retinal vein occlusion, believes that although primary thrombosis may occur, it is rare. She believes that thrombosis may occur more frequently as an end-stage phenomenon, complicating other initiating mechanisms in the obstructive process. Green and co-workers7 felt that the interval between occlusion and the time of histopathologic study must be considered when interpreting the histopathology of vein occlusion. They studied 29 eyes that were enucleated 6 hours to 10 years after occlusion. As a result of this study, they hypothesized that the flow of blood through the central retinal vein becomes increasingly turbulent as the vein progressively narrows at the lamina cribrosa, where it also may be further impinged on by arteriosclerosis of the adjacent central retinal artery. This turbulence damages the endothelium in the retrolaminar vein, which exposes collagen and initiates platelet aggregation and thrombosis.7,10 Their studies show the evolution of this thrombus. Initially, the thrombus adheres where the endothelium has been severely damaged. Endothelial cell proliferation and recanalization of the vein often occur as a reparative event. Inflammation manifesting itself as phlebitis, periphlebitis, or obliterating endophlebitis is a secondary late-onset factor. Years later, a thick-walled vein with a single channel may occur (phlebosclerosis).7 In some eyes an adjacent, partially obstructed, or narrowed central retinal artery has been observed. This observation is consistent with the prevailing clinical impression that the principal condition associated with retinal vein occlusion is arteriosclerosis. Because the central retinal artery is a true artery, it may be involved in the patchy disease of larger arteries (i.e., atherosclerosis). There is an increased incidence of generalized atheromatous disease in patients who have a central retinal vein occlusion.11,12 As part of this atheromatous change, sclerosis occurs in the common adventitia, which encircles both vessels within the rather rigid support structure of the lamina cribrosa. Compression or constriction of the vein lumen and changes within the vein wall, described as phlebosclerosis, occur. As mentioned, occlusion of the central retinal vein is also influenced by the anatomic confinement of the vein and the artery within the optic nerve, as well as the compactness of the lamina cribrosa and its surrounding connective tissue. Hayreh and co-workers13–16 have investigated the role of occlusion of the central retinal vein and central retinal artery in an animal model. They attempted to produce central retinal vein occlusion in healthy young monkeys by diathermy of the central retinal vessels in the orbit near their entry into the optic nerve sheath. Their study showed that occlusion in the orbit of the central retinal vein alone produced mildly engorged and tortuous vessels and a few retinal hemorrhages; all these conditions returned to normal in approximately 2 weeks. However, when both the central retinal vein and the central retinal artery in the orbit were obstructed simultaneously, a fundus appearance was produced that was “entirely characteristic” of central retinal vein occlusion.13 Later, histopathologic examination of these eyes showed a hemorrhagic infarct of the inner retinal layer. Hayreh and co-workers15 concluded from these experiments that concomitant arterial occlusion is essential in the production of an ischemic central retinal vein occlusion, although its occurrence is possibly only transient,16 and that the site of occlusion is important in determining both the severity and type of occlusion.16 However, this model of occlusion in the orbit of healthy young monkeys may not be comparable to the situation in the aging human, where the occlusion is located at or just posterior to the lamina cribrosa.379 Because fluorescein angiography does not typically show prolongation of arterial filling in central retinal vein occlusion, Fujino and associates17 investigated the role of arterial occlusion by producing central retinal vein occlusion in monkeys using an intravenous injection of neoprene. They were able to show that a primary and complete occlusion of the central retinal vein at the disc produces a secondary artery insufficiency. The ophthalmoscopic appearance produced in monkeys, however, is not identical to the appearance of central retinal vein occlusion in humans. This may be because this technique obstructs all the branch retinal vessels in the peripapillary region, which, in turn, may preclude collateralization.16 McLeod18 noted that in eyes with both a central retinal vein occlusion and a cilioretinal artery occlusion, there was a lack of retinal hemorrhages within the area of retina that was infarcted. He presented this an argument against the combined artery and vein occlusion hypothesis of Hayreh and colleagues.13–16 If an artery occlusion as well as a vein occlusion (combined occlusion) is necessary to produce the typical ophthalmoscopic picture of a central retinal vein occlusion, the retina should exhibit increased hemorrhage in the area supplied by the occluded cilioretinal artery. The histopathologic picture in venous occlusion is now considerably clearer as a result of a series of experiments on branch retinal vein occlusion in the monkey.19–21 This work shows that capillary nonperfusion (ischemia) can result after isolated venous outflow occlusion without the occurrence of primary arterial inflow occlusion (ischemic capillaropathy).22 Although these experiments were performed on branch retinal vein occlusions, there is every reason to believe that the ischemia of the retina seen in central retinal vein occlusion can result from venous outflow disease alone.23 Doppler ultrasound imaging has been used to examine the blood flow in the orbit, including the optic nerve head,24,25 and has been used to examine patients with central retinal vein occlusion.26–28,256,257 As might be expected, the venous velocity in the eye of a patient with central retinal vein occlusion is markedly reduced compared either with the unaffected eye or to control eyes.24,25 There is evidence, however, that the central retinal artery blood flow is also impaired in eyes with acute central retinal vein occlusion.28 In addition, vascular resistance is slightly higher in the ophthalmic artery and short posterior ciliary arteries of both the involved and the clinically healthy fellow eye of patients with central retinal vein occlusion compared with control eyes.28 There is also a trend toward higher vascular resistance of the central retinal artery in the clinically healthy eyes of patients with central retinal vein occlusion compared with control eyes.28 The retinal pathology in an ischemic central retinal vein occlusion consists of a hemorrhagic infarction of the retina that affects primarily the inner retinal layers.29 Neovascularization of the iris and anterior chamber angle can develop; less frequently, retinal neovascularization can also occur.10 This neovascularization is likely related to the unregulated expression of vascular endothelial growth factor (VEGF) in the cells of the neurosensory retinal when affected by the hypoxia in central retinal vein occlusion.329 Later changes include thickening of the retina and reactive gliosis.30 ETIOLOGY The precise etiology of central retinal vein occlusion is not entirely clear. There are now some clues as to the conditions associated with this condition. Many published articles have reported on the association between central retinal vein occlusion and some other condition, whether systemic or ocular. Although some of these associated conditions probably are, in some cases, related to central retinal vein occlusion, there is no way to determine in most cases whether the association is only coincidental on the basis of single-case reports. Any study that attempts to determine either the etiology of or the features associated with central retinal vein occlusion must be a large enough prospective study that it takes into account age- and sex-matched controls and includes a comprehensive, systemic evaluation. Some reports in the literature have been retrospective,31–33 others have had no control group,33–37,258,259,260 and some have not performed a prospective, systemic evaluation.31–34 We are aware of only one prospective, large study of risk factors for central retinal vein occlusion that includes an appropriate age- and sex-matched control group and a standardized, prospective, systemic evaluation.38 The Eye Disease Case-Control Study Group examined 258 cases of central retinal vein occlusion as well as 1,142 controls. An increased risk of central retinal vein occlusion was found in patients with systemic hypertension, diabetes mellitus, and open-angle glaucoma; the risk of central vein occlusion was decreased for patients with increasing levels of physical activity and increasing levels of alcohol consumption (Table 1). For women, the risk decreased with the use of postmenopausal estrogen and increased with a higher erythrocyte sedimentation rate. The authors did attempt to divide the cases into ischemic and nonischemic central retinal vein occlusion. The following conditions all showed a significant association with ischemic cases only: cardiovascular disease, electrocardiographic abnormalities, albumin-globulin ratio, α1-globulin, history of treatment for diabetes mellitus, and blood glucose level. Both systolic and diastolic blood pressure showed significant associations with both types of central retinal vein occlusion, but the odds ratio is greater for the central retinal vein occlusion. Overall, a stronger cardiovascular risk profile was shown for the ischemic type of central retinal vein occlusion.
TABLE 1. Risk Factors for Central Retinal Vein Occlusion
(Data from The Eye Disease Case-Control Study Group: Risk factors for central retinal vein occlusion. Arch Ophthalmol 114:545, 1996)
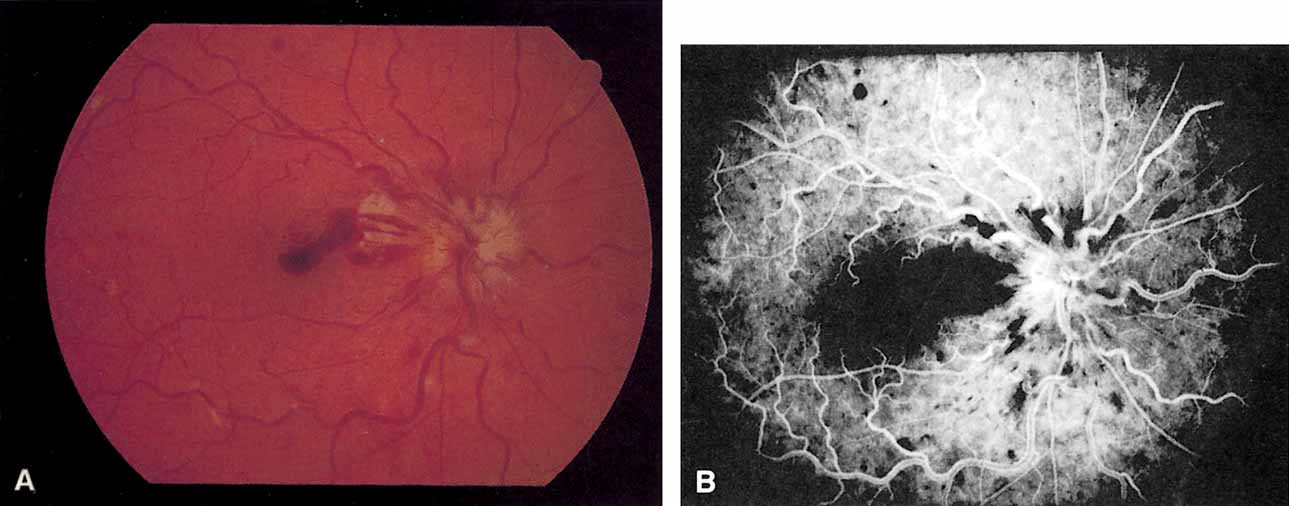
A number of studies have been done to identify both genetic and acquired risk factors for large vessel venous thromboembolism. The term thrombophilia has been used to apply to those cases in which a risk factor has been identified for spontaneously occurring large-vessel venous occlusion.293,295 In a European population the three most common markers of thrombophilia are the factor V Leiden variant, hyperhomocysteinemia, and protein C deficiency.293 A number of studies have reported various hematological abnormalities in patients with a central retinal vein occlusion.39,40,41,45,260,261,262,265,295,390 These reports are difficult to interpret for a number of reasons. Many of them are single-case reports (not sited here) where the association may only be coincidental, some do not provide an appropriate control group,260 some do not separate central retinal vein occlusions from branch retinal vein occlusions,268,296 the sample size may not be large enough to pick up a significant difference,277 better and more specific tests are now available for some abnormalities that invalidate earlier results,277 and in some the parameters measured are probably the result of the occlusion and not the cause. In some reports patients were studied at varying intervals after the occlusion, often many months after the acute event.295 The timing of laboratory investigation is important for some parameters. Williamson and co-workers showed that relative elevated blood viscosities examined within 1 month of the acute event fell significantly 1 year later.42 Iijima and co-workers found that elevated thrombin-antithrombin III complex levels measured soon after venous occlusion were not maintained, but fell markedly over several months.262 The Eye Disease Case-Control Study Group studied only a few parameters of hematologic function in their large study; these included hematocrit, erythrocyte sedimentation rate, fibrinogen, and antithrombin III.38 There was an increasing risk of central retinal vein occlusion with a calculated odds ratio for antithrombin III level and an elevated erythrocyte sedimentation rate associated with central retinal vein occlusion in women but not in men. In the multivariant logistic regression, however, the antithrombin III level did not attain significance, but for women the erythrocyte sedimentation rate was still significantly correlated. In a number of studies comparing patients with central retinal vein occlusion to appropriately matched controls,42,43,266–276 activated protein C resistance has been found to be significantly associated with central retinal vein occlusion. This association is true both for patients younger than 50 years of age43 and for those older than 64.42 Other studies have not shown a significant association between protein C resistance and central retinal vein occlusion.288–291 A case has been reported of a 63-year-old woman who presented with a central retinal vein occlusion in one eye and a small branch retinal vein occlusion in the opposite eye; evaluation found that she was heterozygous for the factor V Leiden mutation.308 Another patient with a bilateral central retinal vein occlusion and the factor V Leiden mutation has been reported; she was also pregnant and diabetic.313 Factor V is an inactive procofactor that, when activated by thrombin producing factor Va, serves as the cofactor for factor Xa in the conversion of prothrombin to thrombin. Factor Va is inactivated by a proteolytic cleavage by activated protein C. Protein C is activated by thrombin binding to the vascular endothelium into activated protein C. Resistance to the cleavage by activated protein C is a cause for venous thrombosis.294 In almost all patients this resistance is caused by a mutation in the factor V gene (FVR506Q), which is called factor V Leiden and is present in approximately 5% of the Caucasian population. Although some patients with a central retinal vein occlusion have activated protein C resistance, a statistically significant association between the two appears not to have been proven from the available literature, and no evidence has been presented that it is a cause of central retinal vein occlusion.265,277,293,294 The fact that there is a high prevalence of factor V Leiden in the population means that any study of this factor and central retinal vein occlusion requires a large sample size to detect a significant association between the two.277,294 Another marker of thrombophilia is the presence of autoimmune antibodies reactive against cellular components of phospholipids; these include the anticardiolipin antibody or the lupus anticoagulant.46,293 The antiphospholipid–antibody syndrome often occurs in patients with systemic lupus erythematosis, but when recurrent thrombosis and antiphospholipid antibodies occur in patients without lupus it is called the primary antiphospholipid syndrome.46 Several studies have suggested an association between these antibodies and central retinal vein occlusion.277–299,301,302,384,319 Others have failed to show an association.47,381 A case have been reported of a 40-year-old woman with the primary antiphospholipid syndrome who presented with a central retinal artery occlusion in one eye and 6 years later presented with a central retinal vein occlusion in the opposite eye,301 as well as a bilateral central retinal vein occlusion associated with anticardiolipin antibodies and leukemia.316 Elevated levels of homocysteinemia are also a risk factor for vascular disease, possibly because of endothelial cell damage.305 It can be acquired in a number of ways, including smoking, increased age, insufficient intake of folic acid, renal failure, some chronic diseases, postmenopausal hormone replacement, and certain medications.293,294,305,390 It can also be inherited due to homozygous mutations on genes that encode two enzymes, methylenetetrahydrofolate reductase (MTHFR) and cystation-β-syntase (CBS), which interferes with remethylation of homocysteine.293,294 Several studies have shown an association between hyperhomocysteinemia and central retinal vein occlusion.302–307,310 However, Larsson et al. studied 116 patients with a central retinal vein occlusion who were tested for the MTHFR C677T mutation and found no statistically significant association compared to a control group.278 Some of the studies that did show an association reported on small numbers of patients,303,305,307 and another did not use a matched control group and did not take the blood samples fasting.310 Two patients have been reported with bilateral central retinal vein occlusion and elevated serum homocysteine levels311,312 and one with bilateral central retinal vein occlusion and the MTHFR 677CT mutation, although the blood homocysteine levels were not measured.317 There have been a few cases of elevated blood viscosity producing a central retinal vein occlusion. Two patients with Waldenström's macroglobulinemia presented with what appears to have been bilateral nonischemic central retinal vein occlusion, which resolved with plasmapheresis.48 A 60-year-old woman with Eisenmenger syndrome presented with a bilateral retinal vein occlusion and a secondary polycythemia.314 Multiple, bilateral retinal vein occlusions were reported in a patient with essential thrombocythemia.327 Cahill and associates have performed a meta-analysis of the published literature on total plasma homocysteine levels, serum folate and vitamin B12 levels, and homozygosity for thermolabile methylenetetrahydrofolate reductase genotype as risk factors for retinal vascular disease.390 They found that the studies in the published literature showed plasma total homocysteine levels were elevated in retinal vascular occlusion, including patients with a central retinal occlusion.390 They also found that there was a significantly low serum folate level in patients with a retinal vascular occlusion, although a separate analysis of central retinal vein occlusion was not performed.390 For those patients with a retina vascular occlusion and elevated plasma total homocysteine and a low serum folate, they recommend folate supplementation in conjunction with the patient's primary care physician.390 Except for those rare patients with bilateral retinal vein occlusion due to hyperviscosity, it is unlikely that there is a hematological cause alone for central retinal vein occlusion. Greaves has postulated that retinal vein thrombosis is a “multiple hit” phenomena in which several adverse influences affecting the composition of the blood, the vessel wall, and the blood flow produce a thrombotic event.315 Because the incidence of retinal vein occlusion increases with age, it is likely that with age there is an increased likelihood of the accumulation of a number of adverse events, only one of which may be an inherited or acquired blood disorder, that cause this occlusion.315 There is no evidence that extracranial carotid artery occlusive disease is associated with central retinal vein obstruction. Using digital subtraction angiography, Brown and associates49 studied 37 patients with central retinal vein occlusion; they found that significant ipsilateral stenosis (greater than 50%) was not higher in these patients compared with historically matched controls. They did find, however, that patients with ischemic central retinal vein occlusion had a higher incidence of overall carotid atherosclerotic obstruction (ipsilateral and contralateral) than patients with nonischemic central retinal vein occlusion.49 There appears to be no relationship between optic disc size50 and cup-to-disc ratio in central retinal vein occlusion.38,50,51 Two studies found that the axial length of patients with central retinal vein occlusion is slightly shorter than that of controls,52,318 and one did not find an association.319 CLASSIFICATION Coats55 may have been the first to suggest that patients with central retinal vein occlusion fall into two groups: one with a dramatic, “blood and thunder” ophthalmoscopic appearance, loss of vision, and a poor prognosis (see Fig. 1); and the other with mild ophthalmoscopic changes, generally good visual acuity, and a relatively good prognosis (Fig. 2). Other investigators have commented on the difference in severity among central retinal vein occlusions, relying principally on the fluorescein angiogram to assess the severity of occlusion.56–59 Hayreh60–64 also divided central retinal vein occlusion into two categories: a nonischemic type, which he called “venous stasis retinopathy,” and an ischemic type, which he called “hemorrhagic retinopathy.” Magargal and colleagues65 may have been the first to divide central retinal vein occlusion into three categories: nonperfused, which they called “hyperpermeable”; ischemic or nonperfused; and a category in which eyes could not be classified on fluorescein angiography, which they termed “indeterminate.” Hayreh and co-workers66 recently also subdivided each of these eyes into mild, moderate, and marked retinopathy based on the maximum capillary nonperfusion on the fluorescein angiogram. Laatikainen and co-workers67 and Kohner and Shilling68 also divided central retinal vein occlusion into two groups that are similar to Hayreh's original groups.60 Magargal and associates believe that venous occlusion is a spectrum of disease with capillary nonperfusion ranging from little if any ischemia to marked ischemia, and that the amount or extent of ischemia is roughly correlated with the development of neovascular complications.65,69,70 Capillary nonperfusion following central retinal vein occlusion does appear to be a spectrum rather than one or two distinct entities that can be categorized easily. However, the recognition of the severity of capillary occlusion is clinically useful, primarily in predicting the clinical outcome. For the category with minimal to moderate capillary nonperfusion (less than 50%), nonischemic (or perfused) is a better term than venous stasis retinopathy because of the widespread (but not entirely accurate) use of the latter to refer to the retinopathy associated with chronic hypoperfusion caused by extracranial carotid artery occlusive disease.71,72 Similarly, for the category with significant capillary nonperfusion (greater than 50%), ischemic retinal vein occlusion is a better term than hemorrhagic retinopathy because neovascularization, the major complication of central retinal vein occlusion, is correlated with the degree of capillary nonperfusion69,70,73 and not with retinal hemorrhages, which change with the duration of the disease. The amount of nonperfusion or ischemia is determined by inspecting the fluorescein angiogram. The photographer inspects not only the central 30° or 45°, but also as much of the peripheral retina as possible. The angiographer should be instructed to take photographs during the angiogram of as much of the periphery as possible (a peripheral sweep). Another method has been to classify eyes with less than 10 disc diameters of perfusion on fluorescein angiography as perfused or nonischemic, and eyes with 10 or more areas of nonperfusion as nonperfused or ischemic,74 although this method may not be accurate.320,321 It is impossible to categorize some eyes as either ischemic or nonischemic on the initial evaluation because retinal hemorrhages preclude adequate visualization of the capillary bed on fluorescein angiography.321 These unclassifiable eyes can be placed into a third category, indeterminate,65,74,75 and patients can be reevaluated when the hemorrhages begin to resolve during follow-up. Most of the eyes in this category, however, will develop ischemia (83% in the Central Vein Occlusion Study) on follow-up, and for the purposes of further evaluation, these eyes should probably be considered ischemic.74 Hayreh and associates,76 however, believe it is necessary to perform six clinical tests in order to differentiate eyes with nonischemic central retinal vein occlusion from ischemic central vein occlusion. According to them, the most reliable tests, in order, are: the relative afferent pupil defect (in unilateral central retinal vein occlusion with a normal fellow eye), the electroretinogram, perimetry, visual acuity, intravenous fluorescein angiography, and ophthalmoscopy.76 They believe that the intravenous fluorescein angiogram either provides no information at all on capillary nonperfusion or sometimes provides misleading information.76 CLINICAL CHARACTERISTICS Nonischemic Central Retinal Vein Occlusion Nonischemic central retinal vein occlusion is a much milder and more variable disease in appearance, symptoms, and course compared with ischemic central retinal vein occlusion. Patients with nonischemic central retinal vein occlusion are an average of 5 years younger (average age, 63 years) than those with ischemic vein occlusion.66 Complaints vary from none (i.e., condition is discovered on a routine examination) to blurred vision, which is often transient.66 The visual acuity may range from normal to counting fingers, but the majority of patients have an initial visual acuity of 20/50 or better.62 The ophthalmoscopic features of nonischemic central retinal vein occlusion are similar to those of ischemic central retinal vein occlusion, but are much less extensive (see Fig. 2; Fig. 3A and 3B). Engorgement of the venous tree (including the capillaries) is prominent; there is increased tortuosity and dilation and a darker appearance of the blood column. Retinal hemorrhages vary markedly. Sometimes they occur only peripherally; at other times, they may be rather prominent in the posterior pole.60 Cotton-wool spots are rare. Vision may be decreased because of macular edema or macular hemorrhage. Hvarfner and Larsson have studied 74 patients with both a nonischemic and ischemic central retinal vein occlusion, 48 of whom had optic disc swelling.381 They found that optic nerve swelling was of no prognostic value in predicting neovascular complications and visual acuity 1 year after the acute event.381 Beaumont and Kang divided central retinal vein occlusion into two distinct groups based on the presence or absence of optic nerve head swelling.379 Those with optic nerve head swelling were postulated to have a venous occlusion in the retrocribrosal space and were of younger age, had less severe vascular nonperfusion, and had a better visual acuity than those without swelling who were postulated to have an occlusion at the lamina cribrosa.379 Beaumont and Kang have also identified the clinical characteristics with different sites of occlusion and proposed a new classification.382 These sites are the arteriovenous crossing, optic cup, or optic nerve; those in the nerve were further subdivided into the presence or absence of optic nerve head swelling.382 Among their findings are that primary open-angle glaucoma is significantly more common in patients with an occlusion at the optic cup and a history of smoking and hypertension is more common with occlusions at the arteriovenous crossing.383 Patchy ischemic retinal whitening located in a perivenular distribution near the macula is a transient abnormality in patients with a nonischemic central retinal vein occlusion and is associated with a generally good visual outcome.324,386 The cause is unknown. The angiographic pattern may show little except occasionally a prolonged venous transit time. Dilation of the retinal venous circulation, mild staining of the walls of veins, and varying degrees of disc and macular edema may be present (including cystoid macular edema). Capillary nonperfusion is not a prominent feature, nor is its sequela, neovascularization. The electroretinogram is nearly normal, confirming the lack of ischemia.77 The intraocular pressure is frequently lower on the side of the occlusion.78 Synonyms for this type of central retinal vein occlusion have included partial, incomplete, imminent, threatened, incipient, or impending central retinal vein occlusion.60,76 How many central retinal vein occlusions in this category are actually incomplete or partial occlusions that then progress to a more complete occlusion is unknown. It does appear that some eyes with nonischemic central retinal vein occlusion go on to develop a more ischemic type of central retinal vein occlusion (see Fig. 3); whether this represents a progression of the vein occlusion62 or simply progressive retinal capillary nonperfusion is unknown. In series in which the incidence of conversion for the nonischemic occlusion to the ischemic type has been studied, the incidence ranges from approximately 5% to 22%, depending on the duration of follow-up, and is higher for older patients.63,74,79–81 The natural course of nonischemic central retinal vein occlusion is relatively benign, except in those who go on to develop additional ischemia. The hemorrhages, vascular congestion, and engorgement gradually resolve over several months. Some patients are left with permanent cystoid macular edema, macular cystic changes, pigmentary changes, or residual microvascular abnormalities.82 Neovascularization does not generally occur, and morbidity is generally limited to a persistent, mild decrease in visual acuity with a relative central scotoma. The majority of patients will have a final visual acuity of 20/40 or better.79 Ischemic Central Retinal Vein Occlusion Patients with an ischemic pattern are usually aware of a sudden, painless decrease in visual acuity. Vision ranges from 20/400 to hand movements. The onset, however, is generally not as rapid or the visual loss as extensive as in central retinal artery occlusion. Exceptional cases have been noted in which patients with an acute onset had reasonably good vision and yet demonstrated a picture of ischemic central retinal vein occlusion. Patients with ischemic occlusion have an average age of 68.5 years.66 Confluent hemorrhages are the most prominent ophthalmoscopic feature of an acute ischemic central retinal vein occlusion (see Fig. 3C and 3D). These hemorrhages occur in a wide variety of shapes and sizes; they are usually concentrated in the posterior pole, but may be seen throughout the retina. Hemorrhages in the superficial retina may be so prominent about the posterior pole that the underlying retina is obscured. Many hemorrhages are flame shaped, reflecting the orientation of the nerve fibers. Dot and punctate hemorrhages are interspersed and indicate involvement of the deeper retinal layers. Bleeding may be extensive, erupting through the internal limiting membrane to form a preretinal hemorrhage or extending into the vitreous. Small dot hemorrhages may be seen either isolated or clustered around small venules. The entire venous tree is tortuous, engorged, dilated, and dark. The retina is edematous, particularly in the posterior pole; some of this edema may obscure portions of the retinal vessels. Cotton-wool patches (soft exudates) are often present. The disc margin is blurred or obscured, and the precapillary arterioles appear engorged. Splinter hemorrhages and edema are present on the disc surface and extend into the surrounding retina. The physiologic cup is filled, and the venous pulse is absent. The arterioles, often overlooked because of the other more striking pathologic features, are frequently narrowed. Sometimes in central retinal vein occlusion of acute onset, the fundus picture is less dramatic, and all the findings previously discussed may be present, but to a lesser degree. Vision depends primarily on the extent of macular involvement. The intravenous fluorescein angiogram pattern of an ischemic central retinal vein occlusion is usually characterized by a delayed filling time of the venous tree of the retina, capillary and venous dilation, and extensive leaking of fluorescein into the retina, particularly in the macular area and in the area adjacent to the larger venous trunks and capillary nonperfusion (see Fig. 3C and 3D; Figs. 4 and 5). Microaneurysms may not be noted at the time of initial occlusion, but are usually manifest shortly thereafter. Late-phase photographs show patchy extravascular areas of fluorescence and staining of the retinal veins. Fluorescence in the macula indicates capillary leakage and edema; this not only may account for much of the initial visual loss in the acute phase, but may also eventually result in permanent structural changes. Intravenous indocyanine green videoangiography may also be helpful in showing the arterial and venous flow alterations in this condition.322
The prognosis for ischemic central retinal vein occlusion is generally poor because of decreased visual acuity and neovascularization. Visual loss occurs because of macular edema, capillary nonperfusion, overlying hemorrhage (either retinal or vitreal), or a combination of all these. Retinal edema usually gradually subsides except in the macula, where it may persist for many months or years. Macular holes or cysts may form.83,84 Pigment clumping or fine pigment stippling and pigment atrophy are not uncommon, and persistent macular hemorrhage, even years after the occlusion, has been noted.83 Hard exudates often form an irregular circinate configuration around the macula and become more prominent months later. Occasionally an epiretinal membrane may form. In the chronic phase, most hemorrhages gradually disappear over many months; however, scattered, flame-shaped hemorrhages and dot hemorrhages, particularly in the periphery, may be seen for years. Cotton-wool patches and microaneurysms likewise tend to disappear after several months, although in some cases the latter may persist. The venous tree becomes less tortuous and dilated. Prominent venous loops, which are collateral communications, may be observed on the surface of the disc (Fig. 6).85 These loops develop within 3 to 14 months after occlusion from the existing retinal vasculature and are collateral vessels between the obstructed disc capillaries and the unobstructed choroidal or pial capillaries.323 These retinochoroidal collateral veins, if they develop, may protect against anterior segment neovascularization,328 but may not be associated with a better visual prognosis.105 Collaterals between the central retinal vein within the globe and the patent central retinal vein behind the occlusion have not been observed.86 The extent and speed of retinal recovery probably depends to some degree on how quickly collateral vessels form, how rapidly recanalization occurs, and how adequately these compensatory mechanisms restore normal outflow. However, the exact nature and course of the collateral vessels are disputed. Anastomotic channels may develop within the retinal vasculature if pressure differentials develop between its major venous trunks. Changes in the retinal arterioles include both segmental and generalized narrowing as well as sclerosis, which is evidenced by both sheathing and widening of the light reflex. Sheathing of the veins is also common. The disc may appear nearly normal except for sheathing of the vessels in and around the papilla, and some blurring of the margins may persist. Sometimes optic atrophy is present. The fluorescein angiographic appearance varies greatly, depending on the extent of recovery. All the findings in the acute phase, consisting of venous and capillary engorgement, microaneurysms, staining of the veins, patchy extravascular fluorescence, and capillary nonperfusion, may persist indefinitely. In most instances, these findings eventually diminish so that few significant features are present on the angiogram; collateral vessels, if present, may be the only pathognomonic feature. The most serious complication of central retinal vein occlusion is neovascularization (Table 2). Neovascularization elsewhere (NVE) occurs less frequently than neovascularization of the iris (NVI), and usually only in ischemic occlusions.66 The low incidence of retinal surface neovascularization in ischemic central retinal vein occlusion is thought to be due to the destruction of endothelial cells, which provide the source for endothelial proliferation and neovascularization.87
TABLE 2. Percentage of Ocular Neovascularization in Venous Occlusion*
*This table is for comparison of neovascularization between the types of vein occlusion. Most of the neovascularization occurs in patients with the ischemic form of the listed occlusion. CRVO, central retinal vein occlusion; HRVO, hemispheric retinal vein occlusion; BRVO, branch retinal vein occlusion; NVD, neovascularization of the disc; NVE, neovascularization elsewhere; NVI, neovascularization of the iris; NVG, neovascular glaucoma.
Neovascularization of the iris and frequently neovascular glaucoma occurs in approximately 8%62 to 25%65,66,73,88 of all central retinal vein occlusions and generally only in those eyes that exhibit an ischemic pattern of occlusion.63,65,66,68,89 Magargal and co-workers70 have shown that the incidence of neovascularization increases dramatically above approximately 50% capillary nonperfusion. The incidence of anterior segment neovascularization in nonischemic central retinal vein occlusion is approximately 1%, compared with approximately 35% to 45% for ischemic central retinal vein occlusion.63,69,70,89 Neovascularization of the iris or angle is significantly correlated with the extent of capillary nonperfusion on the fluorescein angiogram.73,89 In the series of Sinclair and Gragoudas,73 rubeosis developed in 80% to 86% of the eyes with severe nonperfusion of three to four quadrants of the posterior pole or the periphery, but in only 3% to 9% of those with less capillary nonperfusion. Abnormalities on fluorescein angiography of the iris appear not to be correlated with the development of secondary glaucoma in ischemic central retinal vein occlusion.325 Neovascularization of the iris may develop as early as 2 weeks after central retinal vein occlusion or as late as 2½years.2,65,89 Neovascularization of the iris, when it does occur, will develop in almost all patients within the first year, but usually in the first 3 months.89 Symptomatically, patients complain of tearing, irritation, pain, and further blurring of vision as the intraocular pressure in the affected eye begins to rise. The pain may become excruciating. The cornea is hazy and the pupil dilated, and a network of fine vessels is seen over the surface of the iris (rubeosis iridis) on slit-lamp examination. By the time gonioscopy reveals extension of this neovascular membrane into the trabecular network and throughout the angle, the intraocular pressure is usually markedly elevated. The angle is initially open, but later in the disease, peripheral anterior synechiae develop and the angle may become irreversibly closed, resulting in neovascular glaucoma. Large, extremely irritating bullae may form on the surface of the cornea and then break down. Dense cataracts eventually form, obscuring the fundus. Nonperfusion in central retinal vein occlusion is also correlated with a relative afferent pupil defect.76,90,91 Servais and colleagues90 found that 100% of a group of patients with unilateral ischemic central retinal vein occlusion had a relative afferent pupil defect, whereas only 31% of patients with nonischemic occlusion had such a defect. Hayreh and associates76 believe that relative afferent pupil defect is the most reliable test for ischemic central vein occlusion in patients with unilateral disease (i.e., fellow eye is normal). Hikichi and co-workers examined eyes with a central retinal vein occlusion and the presence or absence of a posterior vitreous detachment.350 They found that a complete posterior vitreous detachment appears to protect against retinal or disc neovascularization, although not iris neovascularization, and that vitreomacular attachment contributed to persistent macular edema in nonischemic central retinal vein occlusion.350 Besides having the complications already discussed, patients with central retinal vein occlusion are also at risk for vascular occlusion in the contralateral eye. Approximately 6% to 17% of patients can be expected to have a bilateral nonsimultaneous central retinal vein occlusion.92–95 Mieler and Blumenkranz95 followed 79 patients with central retinal vein occlusion for a minimum of 5 years. In 25% of these patients, the contralateral eye developed a vascular occlusion within 5 years; of these, 50% were branch retinal vein occlusions, 30% were central retinal vein occlusions, 10% were central retinal artery occlusions, and 10% were branch retinal artery occlusions. There is some doubt as to whether the life expectancy of patients with a central vein occlusion is shortened96 or not97 compared with an age-matched population. Occasionally a patient will have a simultaneous occlusion of both the central retinal vein and the central retinal artery.98,99 Unlike patients with only a central retinal vein occlusion, these patients often have some retrobulbar pain, and vision may be decreased to no light perception. The retina appears pale, with a cherry-red spot in the macula. Disc edema and retinal hemorrhage may be present. Fluorescein angiography will demonstrate occlusion of both the central retinal vein and the central retinal artery. In the recovery phase, optic atrophy develops, and extreme narrowing of the retinal arterioles occurs.98 Although rare, an occlusion of the cilioretinal artery may also be seen in conjunction with central retinal vein occlusion.18,100–103 Patients with this occurrence have a pallor typical of ischemia in the distribution of the cilioretinal artery; fluorescein angiography will confirm occlusion of the cilioretinal artery. Occlusion of the cilioretinal artery may be due to a relative hypoperfusion caused by the increased venous pressure.103 The visual acuity, in general, is no worse than in a pure central retinal vein occlusion.99 Simultaneous occlusion of the central retinal vein and a branch retinal artery has been reported in a few patients.104 The electroretinogram is abnormal in patients with central retinal vein occlusion, and one or more of the electroretinographic parameters can be used to group patients in terms of having either an ischemic or a nonischemic vein occlusion.77,106 Some investigators believe that the initial electroretinogram can be used as a predictor of anterior segment neovascularization in patients with central retinal vein occlusion,107–110 whereas others do not consider it useful in this regard.106 In a large study of patients with unilateral central retinal vein occlusion and an apparently normal contralateral eye, 36% of patients had an abnormal electroretinogram in the uninvolved fellow eye,111 which is suggestive of a retinal circulatory disturbance in the clinically normal eye. The multifocal electroretinogram has also been studied in patients with a central retinal vein occlusion and compared to standard electroretinography.378 The electrooculogram is also abnormal in most patients with central retinal vein occlusion.112,113 It is correlated with the degree of ischemia112 and may serve as a predictor of the development of rubeosis iridis.113 | ||||||||||||||||||||||||||||||||||||||||||||||
| PAPILLOPHLEBITIS |
| In 1961, Lyle and Wybar114 described six young, healthy patients with a unilateral, relatively benign
condition characterized by mild blurring of vision, essentially normal
visual acuity, dilated and tortuous retinal vessels, a varying amount
of retinal hemorrhage, and optic disc edema (see Fig. 2). All six patients improved spontaneously, but were left with sheathing
of retinal vessels and the formation of vessels on the optic disc. Lyle
and Wybar called this condition “retinal vasculitis” and
believed it to be due to a central retinal vein occlusion secondary
to an inflammatory vasculitis of the venous system.114 Lonn and Hoyt115 agreed with this etiology, but felt that “papillophlebitis” was
a more appropriate descriptive term. Others have reported similar
cases.116–122 Hart and co-workers,117 however, pointed out that an inflammatory etiology for this disease is
tenuous, and no well-documented cases have been studied histopathologically.10 Chew and associates123 studied the diurnal intraocular pressure of seven patients younger than 36 years of age who had central retinal vein occlusion and found abnormal intraocular pressures in the affected and/or unaffected fellow eye. They surmised that such patients may have elevated intraocular pressure when studied with diurnal measurements. However, only two or possibly three of these patients had a nonischemic central retinal vein occlusion; the rest had the ischemic type. Papillophlebitis appears to be a form of nonischemic central retinal vein occlusion, having identical ophthalmoscopic and fluorescein angiographic characteristics and a similar clinical course. Our clinical impression is that it is found much more commonly in young patients, and this may account for its relatively benign course. Until evidence that inflammation is the cause of some recognizable cases of central retinal vein occlusion, it might be best not to use the term papillophlebitis. TREATMENT Treatment of an underlying systemic condition, if one is found, is indicated, although only rarely will this reverse the vein occlusion.48 However, treatment of an underlying systemic medical condition might help to prevent the opposite eye from developing a vascular occlusion. A wide variety of therapeutic agents have been used to treat central retinal vein occlusion. The following therapies are no longer widely used today: topical administration of potassium iodide and pilocarpine,124 anticoagulants,125–132 fibrinolytic agents,133–136 hyperosmotic agents,137–139 carbogen inhalation,140 cholesterol-lowering agents (clofibrate),141 vitamins,131 corticosteroids,61,63,142 prostacyclin,143 aspirin,144 ticlopidine (an inhibitor of platelet aggregation),145 isovolemic hemodilution,146 traditional Chinese medicine,147 x-rays,148,149 and a surgical procedure that involves cutting both the scleral ring and the dura of the optic nerve.150,151 In 1938, Holmin and Ploman126 introduced anticoagulant therapy. Some investigators have found that either heparin or warfarin, or a combination, is effective in improving visual acuity after a central retinal vein occlusion;130–132 others have found no beneficial effect.125,129 Anticoagulants act by preventing fibrin formation, but there is no reason to believe that they would be effective in dissolving the thrombosis once it has occurred. They may, however, prevent propagation of the thrombus and indirectly facilitate spontaneous thrombolysis.152 Although some studies have suggested that anticoagulation does reduce the incidence of neovascular glaucoma,128,132 as yet a randomized prospective clinical trial of anticoagulation has not been performed. The disadvantages of anticoagulation include the fact that heparin, at least, must be administered on an inpatient basis, and there are bleeding complications associated with anticoagulation therapy. In a small, randomized clinical trial, streptokinase (a fibrinolytic agent) has been shown to have a beneficial effect on visual outcome in central retinal vein occlusion.133 Unfortunately, vitreous hemorrhage is a serious complication of this method of treatment and therefore limits its usefulness.133,134 Whether the hemorrhage associated with this treatment is due to the dosage used is not known, although experimentally it has been shown that a lower dose of streptokinase can be used to open thrombosed veins in combination with pulsed low energy ultrasound.366 A small pilot study of thrombolytic therapy of central retinal vein occlusion with intravenous tissue plasminogen activator (TPA) has been performed.326 Although the results of the study appeared promising, there was neither a prospective control group nor randomization; of the 96 patients enrolled, one suffered a fatal stroke.326 Hattenbach and co-workers treated patients with an ischemic central retinal vein occlusion with intravenous recombinant tissue plasminogen activator (rt-PA) and heparin and reported a favorable outcome in some patients.330,331 Their study was retrospective, used multiple treatment groups, was not randomized, and had no control.330,331 Troxerutin, a rheologic drug that reduces blood viscosity and improves microcirculatory flow, has been studied in a randomized, controlled clinical trial in patients with both central retinal vein occlusion and branch retinal vein occlusion.153 Patients treated with troxerutin showed significant improvement in visual acuity and macular edema and diminished progression of ischemia compared with controls. Although the authors of this study randomly assigned treatment to one of four groups (nonischemic and ischemic central retinal vein occlusion and nonischemic and ischemic branch retinal vein occlusion), they combined the results of treatment for all four groups and did not report the results by type of occlusion or ischemia.153 It seems unlikely that all types of vein occlusion will respond equally to troxerutin; thus, there is no way to determine whether the drug is useful for patients with central retinal vein occlusion (or which types of occlusion) on the basis of this study. Spoor and colleagues154,155 have reported that optic nerve sheath decompression is of value in central retinal vein occlusion. Standardized echography, however, shows that intrathecal fluid accumulation is not a consistent finding in the optic nerve sheaths of patients with either nonischemic or ischemic central retinal vein occlusion;156 therefore the rationale for optic nerve sheath decompression in central retinal vein occlusion is unclear. Dev and Buckley reported on this procedure in eight patients, five with a nonischemic occlusion and three with an ischemic occlusion; six eyes developed improved visual acuity, and two became worse.172 Sergott157 feels that the procedure is not of long-term value for patients with central retinal vein occlusion, although he has not published any study results. Some type of photocoagulation is the accepted method of treatment of some forms of ischemic central retinal vein occlusion. Clinical trials in the past have shown that it does not affect the final visual acuity outcome, but is effective in both the prevention and the regression of neovascularization.158 It is effective in causing the regression of neovascularization of the disc (NVD), neovascularization elsewhere, and neovascularization of the iris, as long as they are not already in an advanced state.159–161 Prophylactic panretinal photocoagulation in high-risk eyes has been reported to be effective in preventing neovascular glaucoma.65,100,158,162,163 Magargal and co-workers69 used panretinal photocoagulation prophylactically in a nonrandomized series of 100 consecutive patients with ischemic central retinal vein occlusion. Neovascular glaucoma developed in only two patients in this group after treatment, and both patients had another ischemic event that occurred after treatment. With no treatment, approximately 45% of these patients would be expected to have developed neovascular glaucoma.63,69 A randomized, prospective, controlled clinical trial has been performed by the Central Vein Occlusion Study Group to determine whether prophylactic panretinal photocoagulation in ischemic central retinal vein occlusion prevents the development of iris or angle neovascularization, or whether it is more appropriate to apply panretinal photocoagulation only when such neovascularization develops.89 In this study, eyes with central retinal vein occlusion and at least 10 disc diameters of nonperfusion were randomly assigned to either an immediate prophylactic panretinal photocoagulation group (early treatment) or to a delayed panretinal photocoagulation group (no early treatment) that received photocoagulation only if neovascularization subsequently developed. Neovascularization developed in 20% of the eyes in the early-treatment group compared with 35% in the no-early-treatment group, a difference that was not statistically significant. Most patients had regression within the first 3 months of neovascularization after panretinal photocoagulation was administered when the rubeosis was detected. but 11% had persistent neovascularization that regressed over many months. The most important risk factor for predicting the occurrence and extent of anterior segment neovascularization in this study was the amount of nonperfused retina.89 Other risk factors that correlated individually with neovascularization were visual acuity, duration of occlusion of less than 1 month, moderate or severe venous tortuosity, and retinal hemorrhages greater than a standard photograph. No other variable, not even nonperfusion, was statistically significant after adjusting for the effect of visual acuity.412 Neovascularization, when it developed, usually did so within the first 3 months after randomization into the study. For some time to come, this will likely be the definitive study on panretinal photocoagulation for central retinal vein occlusion;89 however, it has generated a few criticisms. As Wald164 pointed out, of the 181 eyes enrolled, only 87 of the eyes were recruited in the first 3 months after the occurrence of central retinal vein occlusion, and only 29 eyes were recruited within the first month after occlusion. Therefore, this study included many eyes (i.e., the 94 eyes enrolled sometime between 3 months and 1 year after occlusion) with little risk of developing anterior segment neovascularization and neovascular glaucoma. There are two reasons for this:
Thus the data on the study is very likely skewed toward a lack of treatment effect.164 In addition, of the eyes in the early-treatment group, three received only 500 to 600 spots (size not specified), even though the protocol called for at least 1,000 spots,89 and the median number of spots in the entire treatment group was only 1,203.89 Would more complete treatment have reduced the incidence of anterior segment ischemia in the early-treatment group, therefore producing a significant treatment effect? There was a significant correlation between the amount of nonperfused retina at baseline and the development of anterior segment neovascularization.89 Although only 16% of the eyes with 10 to 29 disc areas of capillary nonperfusion at baseline developed anterior segment neovascularization, 52% of the eyes with more than 75 disc areas of neovascularization developed neovascularization.89 Would eyes with the greatest number of risk factors (i.e., greater than 30 disc areas of nonperfusion, retinal hemorrhages greater than the standard photograph, duration of central retinal vein occlusion less than 1 month, and male sex) have benefited from prophylactic panretinal photocoagulation? Hayreh and associates163 conducted a prospective nonrandomized study of panretinal photocoagulation in ischemic central retinal vein occlusion. They found no statistically significant difference between the treated and untreated groups in the incidence of angle neovascularization, neovascular glaucoma, retinal or optic nerve neovascularization, vitreous hemorrhage, or visual acuity. The only significant finding was that fewer patients in the treated group had neovascularization of the iris compared with nontreated controls, but only if the panretinal photocoagulation was applied within the first 3 months after the onset of central retinal vein occlusion163 and panretinal photocoagulation resulted in a significant loss of the peripheral field. However, the patient selection for treatment in this study was not based on a random assignment, but the decision as to whether to perform laser or not was “left entirely to the patient,”320 and this may been a source of bias in terms of the results of the study.265 Once neovascularization in the anterior segment is detected, panretinal photocoagulation should be instituted promptly. This will often result in regression of the iris vessels and prevent complete angle closure; this is also true in patients with some increase in intraocular pressure but in whom the angle is not occluded for 360°. Once developed, neovascular glaucoma responds poorly to any type of treatment. Cycloplegics, topical pressure-lowering agents, carbonic anhydrase inhibitors, and corticosteroids, though failing to lower the intraocular pressure significantly, may make the patient more comfortable. Panretinal photocoagulation often cannot be applied in cases of advanced neovascular glaucoma in which the angle has been substantially occluded and the cornea may be too cloudy to allow treatment. Transscleral cyclocryotherapy or transscleral laser cyclodestruction, sometimes combined with 360° of transscleral panretinal cryoablation,165,166 has also been used to preserve the globe. In some cases in which visibility is poor and the angle is closed, we have had some success combining pars plana vitrectomy and endophotocoagulation with a drainage implant (e.g., Molteno, Ahmed) inserted through the pars plana. Macular edema, a frequent complication and cause of loss of visual acuity in patients with nonischemic central retinal vein occlusion, has been treated with macular grid photocoagulation.167 The rationale is that grid photocoagulation of the macula is effective in reducing macular edema in branch retinal vein occlusion168 and diabetes mellitus.169 The Central Retinal Vein Occlusion Study Group performed a randomized, prospective clinical trial on the effect of macular grid photocoagulation compared with no treatment on eyes with 20/50 or worse visual acuity due to macular edema with no capillary nonperfusion on fluorescein angiography.170 Although grid photocoagulation lessens macular edema both angiographically and clinically, there was no difference in visual acuity between the treated and untreated patients. For treated patients, there was a trend toward decreased visual acuity in patients older than 60 years and visual improvement in patients younger than this; this effect was not seen in untreated patients. Although this study suggests a possible benefit to visual acuity in younger patients with macular edema who are treated compared with untreated controls, the number of patients in this subgroup is too small for a statistically valid comparison of treated versus untreated eyes. Unfortunately, a study with an adequate number of patients has not been performed to determine whether photocoagulation would be of benefit for younger patients with macular edema in nonischemic central retinal vein occlusion. McAllister and Constable171 reported a surgical technique to create a chorioretinal anastomosis in patients with nonischemic central retinal vein occlusion. The technique is to rupture Bruch's membrane first in an area adjacent to the edge of a vein located at least three disc diameters from the optic disc with the argon laser; they then use a YAG laser to create a small opening in the sidewall of the adjacent vein. In their original report there was an average of 2.1 attempts to create an anastomosis, which was successful in only 42% of the patients in the first series171 and 54% in a subsequent report.332 In the first series, ischemic central vein occlusion did not develop in any of the patients in whom a successful anastomosis was produced, but it did develop in 31% of patients in whom such an anastomosis could not be created.171 All the patients with a successful anastomosis had an improvement in final visual acuity compared with pretreatment visual acuity. In the group of patients with an unsuccessful anastomosis, 38% had an improvement in visual acuity, 44% had a worse visual acuity, and 19% had no change. Others have reported small numbers of cases of laser-induced anastomosis using this technique for nonischemic central retinal vein occlusion with varying degrees of success.280,281,334,335 One report has appeared that suggests that the procedure is not of value in patients with an ischemic central retinal vein occlusion. 285 When a laser-induced anastomosis is functioning, it may prevent the conversion from a nonischemic occlusion to an ischemic one.332,334 McAllister et al. have examined the histological effect on the human eye of this procedure.333 They found that a spot size of 50 —m with an argon green laser and an energy level of 1.5 W was required to reliably break Bruch's membrane.333 Even with relatively high energies, the retinal vein is difficult to rupture with the argon laser, and the YAG laser, at 1064 nm, is more often successful at rupturing the vein wall.333 Browning has reported on the angiographic signs that indicate a successful amastomosis.282 The earliest sign of a successful anastomosis on fluorescein angiography is a hyperfluorescent spindle-shaped lesion at the anastomosis site, which occurs within one or two weeks after treatment. However, this sign should prompt a closer follow-up as it may be followed within 2 weeks by retinal neovascularization, which can be treated with laser photocoagulation.282 The earliest sign on seen on indocyanine green angiography is a direct connection between the retinal vein and the choroid.282 When successful, the anastomosis does not appear to provide drainage for the entire fundus, but usually only a sector or half of the fundus.281,282 Leonard and co-workers have developed a modified technique to produce a chorioretinal anastomosis by avoiding the vein wall and medium intensity longer-duration argon laser applications adjacent to the vein to rupture Bruch's membrane.279 They were able to produce a patent anastomosis in all 19 eyes treated with a maximum number of attempts on a single eye of four. With a mean follow-up of 48 months, 84% of eyes improved in terms of visual acuity, whereas 16% were unchanged. The only treatment complication in their series was localized preretinal fibrosis.279 The technique is associated with some minor complications, such as vitreous and retinal hemorrhages, that tended to clear fairly well. However, there have been some major complications as well, including choroidal neovascular membranes, fibrovascular proliferation at the site of the anastomosis, and traction retinal detachment.173,174,280,281,283,284,332 Creating an anastomosis without rupturing the wall of the vein279 may be associated with fewer complications than the original procedure. To date, the results of this technique have not been reported from a prospective, randomized clinical trial, and it is not known whether the results of treatment are different than the nature history of this disease. Peyman and co-workers have reported a surgical technique for the treatment of ischemic central retinal vein occlusion where a pars plana vitrectomy is performed under hypotensive general anesthesia, and then slitlike incisions are made through Bruch's membrane adjacent to a major branch of a retinal vein in each quadrant, and small pieces of Mersilene suture inserted into these incision sites.286 Five patients were operated on with no controls. Visual acuity improved in three eyes, was stable in one eye, and deteriorated in one eye.282 Koizumi and co-workers reported on a surgical technique in this condition where a pars plana vitrectomy is performed on patients with what appears to have been an ischemic central retinal vein occlusion and then cut several retinal veins by cutting full thickness through the neurosensory retina, the retinal pigment epithelium, and Bruch's membrane in several sites.287 Laser photocoagulation is then placed around these incisions followed by a fluid-gas exchange. All patients showed at least two or more lines of improved visual acuity 6 months postoperatively; there were no control patients.287 There is some suggestion that pars plana vitrectomy with removal of the posterior vitreous cortex may improve macular edema in central retinal vein occlusion.337,350,351 One group has published the results of pars plana vitrectomy, perforation of the retina at the edge of the serous detachment, and irrigation with balanced salt solution into the subretinal space on macular edema in patients with a central retinal vein occlusion.337 All patients had been previously treated with oral warfarin, intravenous urokinase, or both and panretinal laser photocoagulation. In the five patients treated, all five had reduction of retinal thickness postoperatively on optical coherence tomography, and the visual acuity improved by two or more lines in three of the eyes.337 Several reports have appeared of a technique to treat central retina vein occlusion by decompressing the optic nerve with a pars plana vitrectomy and then cutting the nasal portion of the optic disc, a procedure termed radial optic neurotomy,338–341 or lamina puncture.342 In the initial report of the procedure on 11 patients, performed 1 to 7 months after the occlusion, 82% of the patients had an improvement of visual acuity of between three and seven lines of vision without significant complications of the surgery.338 One study of 14 patients who underwent this procedure showed that six eyes developed postoperative chorioretinal collaterals at the site of the neurotomy, and those eyes had better postoperative visual acuity than the eyes that did not develop collaterals.387 However, there have been questions about the basic rationale for the surgery343 and the study design of the initial report.344,345 Small numbers, mixing of ischemic, nonischemic, and indeterminate patients in the same study,340 and lack of a randomized prospective clinical trial make it difficult to know whether the results of this procedure are better than the natural history of central retinal vein occlusion. A peripapillary retinal detachment has been reported following this procedure.383 Weiss has developed a technique to cannulate a branch retinal vein and inject tissue plasminogen activator toward the optic disc following pars plana vitrectomy.347–340 In their largest report of 30 eyes treated, 50% had improvement of at least three lines compared to baseline.349 This study included patients with ischemic, nonischemic, and indeterminate occlusions, and the surgery was performed on patients from 1 week after occlusion to 30 months, and almost 30% had undergone other procedures prior to this surgery.349 A few questions as to the basic rationale for this procedure have been raised.320,364 Any treatment with the infusion of therapeutic fibrinolytic agents will only be effective for a short period of time, as with time thrombi undergo extensive fibrin polymerization, which renders them resistant to proteolysis, and lysis is ineffective.352,364 Weiss and Bynoe have modified their inclusion criteria to allow surgery on patients within 1 week of onset of occlusion if it is associated with at least five lines of visual loss.349 This treatment has also been combined with intravitreal triamcinolone acetonide.360 Several groups have reported treating central retinal vein occlusion with pars plana vitrectomy and injection of tissue plasminogen activator into the vitreous cavity,353–355 or under the retina.356 The early results of these pilot studies appear slightly promising, but without a controlled clinical trial no conclusions can be reached on the efficacy of this treatment. Oral steroids,320 intravenous steroids, and immunosuppressive therapy357 have been used in some cases to treat the macular edema in patients with this condition. Hayreh feels that steroids are of benefit in some patients with macular edema due to nonischemic central retinal vein occlusion and that treatment may be required for some time,320 although there is no published clinical study proving they are of value. Recently, intravitreal injection of triamcinolone acetonide has been performed to treat macular edema in central retinal vein occlusion.358–361 In the largest series reported to date,359 all 10 eyes were treated responded with improvement in cystoid macular edema measured by volumetric optical coherence tomography (OCT); 9 eyes reported better Early Treatment of Diabetic Retinopathy (ETDRS) acuity, and 1 eye remained stable.359 Three eyes without a previous history of open-angle glaucoma required topical aqueous suppressant therapy for elevated intraocular pressure, and one patient with a history of glaucoma required glaucoma filtering surgery.359 The technique appears to be relatively safe, although some patients will develop postoperatively an inflammatory syndrome,385,389 and endophthalmitis is a rare but devastating complication.365,389 It seems to be a promising therapy for macular edema in patients with a nonischemic central retinal vein occlusion. The following are guidelines for evaluating and treating patients with a central retinal vein occlusion:89,412
|
| HEMICENTRAL AND HEMISPHERIC RETINAL VEIN OCCLUSION | |
The terms hemicentral, hemiretinal, and hemispheric retinal vein occlusion refer to eyes in which approximately half the venous outflow from the
retina, either the superior or the inferior, has been occluded. In approximately 20% of
eyes, the branch retinal veins draining the superior
and inferior halves of the retina enter the lamina cribrosa separately
before joining to form a single central retinal vein.175 Hemicentral retinal vein occlusion is an occlusion of one of these dual
trunks of the central retinal vein within the nerve.176,177 Hemispheric retinal vein occlusion is an occlusion involving the venous
drainage from approximately half of the retina, either the superior
or the inferior retina (Fig. 7; see Fig. 11).75,178 This has also been referred to as a hemiretinal occlusion.362,363 In some eyes, the occlusion occurs in one of the dual trunks of the central
retinal vein in which such a pattern exists (and then would
qualify as a hemicentral retinal vein occlusion); the term hemispheric retinal vein occlusion actually includes the term hemicentral retinal vein occlusion.
In some eyes, the nasal retina is not drained by a separate vein, but by a branch of either the superior or the inferior temporal vein.179 It is the occlusion of one of these veins draining both the nasal retina and the superior or inferior retina near the optic disc that accounts for the majority of hemispheric retinal vein occlusions.75 In some eyes, however, it is impossible to determine the site of occlusion even with a good-quality fluorescein angiogram,75 and that is why we prefer the term hemispheric to describe this type of occlusion. The retinal area involved, appearance, clinical course, and complications from neovascularization are similar for both entities (see Table 2). The treatment and classification are similar to that of branch retinal vein occlusion. The Eye Disease Case-Control Study reported the risk factors for a hemispheric or hemiretinal vein occlusion in a prospective study at five eye care centers.362 The three factors that were significantly associated with this type of occlusion compared to control were systemic hypertension, diabetes mellitus, and glaucoma. A reduction in risk with moderate alcohol consumption was noted, but it was not statistically significant, possibly because of the small number of cases (79) in this series.362 The study felt that there were more similarities than dissimilarities in the risk factor profiles for central retinal vein occlusion, branch retinal vein occlusion, and hemispheric or hemiretinal vein occlusion.362,363 We have seen one patient in whom a superotemporal branch retinal vein occlusion developed in the same eye with an inferior hemispheric retinal vein occlusion, producing the appearance of a three-quarter retinal vein occlusion. |
| BRANCH RETINAL VEIN OCCLUSION | |||||||||||||
| Branch retinal vein occlusion involves one of the branch retinal veins
and generally is less visually disabling than either a central or hemispheric
retinal vein occlusion. The occlusion may involve either a small, localized
area of the retina or as much as an entire quadrant (Fig. 8).179,180 Its incidence in an outpatient referral setting is roughly the same as
that of central retinal vein occlusion.181 The occlusion of a macular vein is a distinct entity that is discussed
separately.182 Most branch retinal vein occlusions involve veins located temporal to the optic disc; it is rare for a branch retinal vein occlusion to occur in the nasal retina. Whether this is because the incidence is truly rare or because these occlusions are generally asymptomatic and discovered only incidentally is unknown. There are significantly more vein-posterior than vein-anterior crossings in the superotemporal than the inferotemporal quadrant, and vein-posterior crossings are more likely to be obstructed than vein-anterior crossings.413 Occasionally a branch retinal vein occlusion occurs nasally and involves the entire nasal retina. PATHOLOGY Leber183 was probably the first investigator to note the connection between branch retinal vein occlusion and the arteriovenous intersection. Koyanagi184 found that the majority (77.7%) of his cases of temporal vein occlusion involved the superior retina. He attributed this to the preponderance of arteriovenous crossings in this region compared with other quadrants.184 Others later confirmed this anatomic observation, noting that branch retinal vein occlusion always occurs at an arteriovenous intersection.184,185 Both fluorescein186,187,367 and indocyanine green392,393 angiography and histopathologic examination confirm that most occlusions occur at an arteriovenous crossing and that the few that do not are in the vicinity of a retinal artery.188 Histologically, where the vein and artery cross, they share a common adventitial sheath, and the venous lumen may be diminished by as much as a third at this crossing.189,190 An anterior location of the artery (vein-posterior crossing) in relation to the vein at the arteriovenous crossing is an important risk factor for a branch retinal vein occlusion. The artery is located anterior to the vein (toward the vitreous) in more arteriovenous crossings where a branch retinal vein occlusion exists than in unobstructed arteriovenous crossings,191–195 although the risk seems to apply only to second-order arteriovenous crossings.196 Frangieh and co-workers188 histopathologically studied nine eyes with branch retinal vein occlusion and hypothesized that the primary event was a thrombosis of the venous system, followed by secondary capillary and arterial changes, and eventually by neovascularization. A series of experiments on monkeys has shown what happens histopathologically after a branch retinal vein occlusion.19–21 The occlusion is divided into three stages: First stage (1 to 6 hours after occlusion): As a result of outflow occlusion, there
is a rise in the intravascular pressure with capillary leakage
and retinal edema and probably leakage from endothelial junctions
that have been temporarily disturbed. The experimental work of Hamilton and associates19 demonstrates that progressive capillary nonperfusion can result from isolated outflow occlusion and does not require an arterial occlusion. Other investigators have been able to reproduce the clinical appearance of branch retinal vein occlusion, including neovascularization, in animal models.197–201,368–370 ETIOLOGY Branch retinal vein occlusion is caused by an obstruction of one of the branch retinal veins in the retina. The largest study to address the risk factors associated with branch retinal vein occlusion was undertaken by the Eye Disease Case-Control Study Group; they studied 270 patients with branch retinal vein occlusion compared with 1,142 control patients with standardized ocular, systemic, and laboratory examinations.202 They found that an increased risk of branch retinal vein occlusion in persons with a history of the following: systemic hypertension, cardiovascular disease, increased body mass index at 20 years of age, glaucoma, and higher serum levels of a2-globulin (Table 3).202 Almost 50% of the causes of branch retinal vein occlusion are associated with hypertension.202 Although diabetes mellitus is more common in patients with branch retinal vein occlusion than in controls, it is not a strong independent risk factor for branch retinal vein occlusion.202 It is not known whether serum levels of a2-globulin are a true marker for persons at increased risk, are a chance finding, or are a response to the occlusion itself.202
TABLE 3. Risk Factors for Branch Retinal Vein Occlusion
(Data from The Eye Disease Case-Control Study Group: Risk factors for branch retinal vein occlusion. Am J Ophthalmol 116:286, 1993)
The risk of branch retinal vein occlusion decreases with increased alcohol consumption and higher levels of high-density lipoprotein cholesterol.202 There have been a few reports of hematological abnormalities in branch retinal vein occlusion.371–373 Cahill and associates have performed a meta-analysis of the published literature on total plasma homocysteine levels, serum folate and vitamin B12 levels, and homozygosity for thermolabile methylenetetrahydrofolate reductase genotype as risk factors for retinal vascular disease.390 They found that branch retinal vein occlusion was statistically associated with elevated plasma total homocysteine levels and low serum folate levels.390 For those patients with elevated plasma total homocysteine and a low serum folate, they recommend folate supplementation in conjunction with the patient's primary care physician.390 There is conflicting information in published studies on whether the refractive state of the eye is significantly associated with branch retinal vein occlusion.374–376 There are also a number of purely retinal causes of branch retinal vein occlusion, including Von Hippel's disease,203–205 Coats' disease,203 Eales' disease,203 Behçet's syndrome,206 and toxoplasmosis. CLASSIFICATION Several authors have proposed systems of classification of branch retinal vein occlusion. Some of these were proposed before the introduction of the fluorescein angiogram.6 Archer and colleagues207 were among the first to base a classification system on a number of circulatory factors determined by fluorescein angiography. Their classification showed that the spectrum of occlusion ranges from very mild and nonischemic occlusion, with good visual outcome and few complications; to severe ischemia, poor visual outcome, and major complications.207 Based on the amount of capillary nonperfusion (ischemic index) present on the fluorescein angiogram, Magargal and co-workers180 classified branch retinal vein occlusion, in a manner similar to that for central retinal vein occlusion, into three types: (1) hyperpermeable (nonischemic), (2) indeterminate, and (3) ischemic. The ischemic index is the percentage of nonperfused retina based on the amount of retina that is obstructed, rather than the entire retina. Hayreh and co-workers66 categorized branch retinal vein occlusion as mild, moderate, and marked, based on the degree of capillary nonperfusion seen angiographically. As in central retinal vein occlusion, there is a spectrum of capillary nonperfusion in branch retinal vein occlusion, ranging from little, if any, nonperfusion to extensive or almost complete nonperfusion. It is probably most clinically useful to classify eyes as nonischemic and ischemic because neovascularization generally occurs only in the ischemic cases. Some eyes will be difficult to categorize definitively at the time of initial presentation because of the amount of retinal hemorrhage present. In addition, some eyes will develop increased ischemia similar to the situation in central retinal vein occlusion. CLINICAL CHARACTERISTICS There is usually little difficulty in diagnosing acute branch retinal vein occlusion. The key to the diagnosis lies in the unilateral and segmental distribution of the ophthalmoscopic findings. This distribution of findings distinguishes branch retinal vein occlusion from other disorders involving hemorrhage, cotton-wool spots, and retinal edema. The difference between involved and uninvolved retina is usually quite striking. If the vein occlusion is of insidious onset, the ophthalmoscopic findings may be more subtle, but still occur only in the distribution of the affected branch retinal vein. The patient is usually aware of a painless decrease in visual acuity that can occur suddenly or over a period of several days to several months. Patients often describe this as misty or distorted vision. The visual decrease is acute in 75% of patients.207 Visual acuity in branch retinal vein occlusion is not as severely affected, as it is in central retinal vein occlusion. Forty-one percent of eyes will have an initial visual acuity of 20/20 to 20/50, 25% will have 20/60 to 20/200, and 32% will have 20/200 or worse.180 However, if the macula is not involved, there may be no visual symptoms unless the patient notices a visual field defect. The right and left eyes are equally involved, and bilateral branch retinal vein occlusion can be found in approximately 3% to 9% of patients94,181 Field defects range from relative to absolute scotomata and peripheral depression in the involved corresponding segment.208 The clinical picture of branch retinal vein occlusion is retinal hemorrhages that are segmental or pie shaped in distribution (see Fig. 8; Fig. 9). The apex of the obstructed tributary vein almost always lies at an arteriovenous crossing. Usually some degree of pathologic arteriovenous nicking is present.188 The occlusion is commonly located one or two disc diameters away from the optic disc. However, the occlusion may lie at a point near the disc edge or, less frequently, may involve one of the smaller, more peripheral tertiary or macular branches. The veins in the occluded segment are distended, tortuous, and dark. That portion of the main trunk proximal to the blockage is narrower than the distal segment. Smaller venules are visibly engorged. Flame hemorrhages are the predominant ophthalmoscopic finding, although dot hemorrhages may be seen in the macular area or in the more peripheral retina. In some patients, these hemorrhages may be so dense that they obscure the underlying retinal anatomy. Occasionally, blood lodges between the internal limiting membrane and the hyaloid membrane and forms a boat-shaped preretinal hemorrhage. Occasionally the hemorrhage breaks through the hyaloid face into the vitreous, accounting for the “floaters” patients report. Ophthalmoscopically, these findings are worse in ischemic occlusions than in nonischemic occlusions. Cotton-wool patches are often seen in ischemic occlusions. Later, microaneurysms may also be noted. Edema is common throughout the involved segment, proportionally affecting vision when it extends into the macula. Dilated capillaries in the vicinity of the occlusion or temporal to the macula appear early and represent collateral channels between obstructed and patent portions of the venous tree.85,209 Branch vein occlusion may also have an insidious onset. Bonnet210 described “prethrombosis signs” consisting of small, flame-shaped hemorrhages and localized edema surrounding the arteriovenous crossing point. As the occlusion progresses, small, round hemorrhages develop in the periphery, and gradually signs of more acute onset appear. In acute branch retinal vein occlusion, the venous return is usually slowed but not completely occluded on fluorescein angiography (see Fig. 9).211 The veins are distended and tortuous, and the capillaries are engorged. There is a spectrum from minimal capillary nonperfusion (nonischemic branch retinal vein occlusion) to severe capillary nonperfusion (ischemic branch retinal vein occlusion). There is a correlation between the extent and location of capillary nonperfusion and visual outcome.180 Increased permeability of the capillary system and associated retinal edema are manifest by patchy extravascular areas of fluorescence in the involved segment.212 Patchy fluorescence, sometimes having a cystoid appearance, on the delayed films indicates increased capillary permeability with resultant macular edema. Between 60% to 100% of patients will have macular edema at some point in their clinical course,212,213 and approximately one-third of the patients followed for more than 1 year will exhibit persistent macular edema.214 Optical coherence tomography (OCT) is extremely helpful in not only diagnosis of macular edema in this condition, but in following patients. This has been very helpful on a few occasions after focal laser photocoagulation where the color change in the perimacular area after laser photocoagulation may make the evaluation of edema on fluorescein angiography difficult in subtle cases. Spade and co-workers have found a serous retinal detachment to be not uncommon when evaluating patients with a branch retinal vein occlusion with optical coherence tomography. 394 Several of the eyes studied also had subretinal hemorrhage that the authors postulate gravitates through the subretinal fluid to settle behind the retina.394 Finkelstein215 studied macular edema in a group of patients with branch retinal vein occlusion who had a visual acuity of 20/40 or worse because of macular edema; the quality of intravenous fluorescein angiography was good, and follow-up was available. He found that eyes with macular ischemia (incomplete macular perfusion or capillary dropout) showed a relatively greater frequency of spontaneous improvement in visual acuity than eyes with good macular perfusion. It appears that ischemic macular edema is a transient phenomenon, with visual improvement occurring as the edema resolves; in contrast, perfused edema frequently persists, resulting in a persistent decrease in visual acuity. The majority of patients with branch retinal vein occlusion will have a slightly lower intraocular pressure in the affected eye than in the contralateral eye.216–218 Such changes persist during long-term follow-up.217 Unlike normal patients, these patients have trouble maintaining rigid control over intraocular pressure with changes in position; such control is also lacking in the uninvolved eye.216 The mechanism causing this lack of control is unknown. Trempe and associates219,220 studied the vitreous in patients with a branch retinal vein occlusion. They found that these patients were more likely to have a partial vitreous detachment than were age-matched controls, and that preretinal neovascularization did not occur in eyes with complete posterior vitreous detachment. A partial vitreous detachment poses the greatest risk for vitreous hemorrhage; this risk decreases with complete detachment.219 Depending on the extent of the pathology, old branch retinal vein occlusions usually present a greater challenge to the ophthalmologist. The ophthalmologist must distinguish scattered hard exudates, hemorrhages, microaneurysms, macular edema, neovascularization, retinal fibrosis, and vascular sheathing from diabetes, hypertension, old inflammatory conditions, and peripheral retinal neovascular conditions—chiefly by noting the distribution of the lesions. Occasionally, asymptomatic patients will be found on routine examination to have a collateral vessel or vessels crossing the horizontal raphe temporal to the macula as a result of an old branch retinal vein occlusion. The electroretinogram, electrooculogram, and electroretinogram oscillatory potentials have been studied in patients with branch retinal vein occlusion compared with controls. None of the conventional electroretinographic variables are abnormal in eyes with branch retinal vein occlusion, but both the oscillatory potential and the electrooculogram are abnormal in these eyes.221 The oscillatory potential and electrooculogram reflect activity of the inner retina and are more sensitive indicators of branch retinal vein occlusion than the electroretinogram.221 The multifocal electroretinogram has been studied in patients with a branch retinal vein occlusion; there is a statistically significant difference between the mean amplitude and mean latency of the involved retina compared to the same areas in the normal eye.395 The hemorrhages and venous tortuosity in the obstructed tributary system gradually decrease over a 6- to 12-month period. Microaneurysms are characteristic of the acute recovery phase, and occasionally hemorrhages may persist. Large capillary and venous macroaneurysms can occur after a branch retinal vein oc-clusion.222–225,377 The arterioles may be narrowed secondary to the venous occlusion and will have the appearance of copper and silver wire arteries.224 Sheathing of both veins and arteries is common. The following are among the macular changes that occur after a branch retinal vein occlusion:84 pigment proliferation, residual macular edema, macular cysts and holes, persistent macular hemorrhages, microaneurysms, fibrosis, retinal folds, intraretinal neovascularization, and circinate changes (Fig. 10). These circinate lesions form a ring or a partial ring with a central cluster of microaneurysms.83 At times, a serous retinal detachment appears with a circinate ring on the periphery of the detachment.226,394 Macular edema persists in many eyes and is the complication most frequently responsible for permanently decreased visual acuity.227 Pigment clumping may be noted after the edema has cleared. Surface wrinkling of the retina may appear in the macula, and the small-vessel anatomy may be distorted in the presence of a grayish membrane on the retinal surface. Retinal detachment can be a complication of branch retinal vein occlusion.223,228–233,396,397 Some of these detachments are serous retinal detachments that respond to photocoagulation,228,229 others are rhegmatogenous, some are tractional, and some occur secondary to the development of neovascular tissue.230–233 Posterior traction retinal breaks and traction retinal detachments occasionally occur and require treatment by vitrectomy.223,234 An important complication of branch retinal vein occlusion is neovascularization (Fig. 11).235,236 Neovascularization of the iris and neovascular glaucoma are uncommon and occur in only approximately l% of affected eyes (see Table 2). Branch retinal vein occlusion accounted for only 1.5% of a series of 208 eyes with neovascular glaucoma.236 More commonly, neovascularization of the disc occurs in approximately 10% of eyes, and neovascularization elsewhere occurs in approximately 20% of eyes (see Table 2). Generally, retinal neovascularization occurs within the retinal area served by the occluded vessel, but it has been reported to occur outside in presumably normal retina.237
Vitreous hemorrhage due to neovascularization occurs in approximately half of the eyes with neovascularization.180,238 Butner and McPherson239 found that 11.3% of spontaneous vitreous hemorrhages were due to a branch retinal vein occlusion, an incidence second only to proliferative diabetic retinopathy as a cause of vitreous hemorrhage. Oyakawa and co-workers found that in 38.3% of eyes undergoing a vitrectomy for a nondiabetic vitreous hemorrhage, the hemorrhaging was due to a branch retinal vein occlusion.240 There is a correlation between capillary nonperfusion and neovascularization. Shilling and Kohner235 studied the relationship between neovascularization and capillary nonperfusion in 68 eyes with branch retinal vein occlusion. They divided the eyes into those with more than four disc diameters of capillary nonperfusion and those with less than that amount of nonperfusion. Of the eyes with capillary nonperfusion of more than four disc diameters, 62% developed neovascularization; none of the eyes in the other group developed any new vessels.235 In a series of 246 eyes with temporal branch retinal vein occlusion, Magargal and associates180 found that only 1 of 99 eyes with nonischemic occlusion developed neovascularization. Of eyes with an ischemic pattern, 17.5% developed neovascularization of the disc, 34% developed neovascularization elsewhere, 3% developed neovascularization of the iris, and 1.6% developed neovascular glaucoma.180 Although neovascularization usually occurs within 2 years after occlusion,241 vitreous hemorrhage can occur at any time, even many years later.180 TREATMENT Treatment is indicated for the underlying systemic disorders that contribute to the branch retinal vein occlusion. Once the occlusion has occurred, however, medical therapy has not been shown to be of value in ameliorating the clinical course. Photocoagulation, however, introduced by Krill and co-workers in 1971,242 is useful in the treatment of branch retinal vein occlusion. Other investigators have also observed that photocoagulation improves the visual outcome of macular edema.243–246,398–400 The results of a multicenter, randomized, controlled clinical trial have confirmed that photocoagulation is effective in the treatment of macular edema.168 The Branch Vein Occlusion Study Group set out to answer three questions regarding the complications of branch vein occlusion. The first of their published results answered the first question: Can photocoagulation improve visual acuity in eyes with macular edema reducing vision to 20/40 or worse?168 Eyes with branch vein occlusion occurring 3 to 18 months earlier with 20/40 vision or worse because of macular edema (but not hemorrhage in the fovea or foveal capillary nonperfusion) were treated with the argon laser in a “grid” pattern in the area of capillary leakage (Fig. 12). The treatment did not extend closer to the fovea than the avascular zone and did not extend outside the peripheral arcade. At the 3-year follow-up, there was a statistically significant improvement in the visual acuity of treated eyes compared with untreated eyes. This study did not show that the benefit of photocoagulation varies with the duration of disease and thus has no evidence to recommend early treatment, but the study was not designed to determine the optimum treatment time.168 Finkelstein,215 on the basis of his finding that eyes with macular nonperfusion frequently have spontaneous improvement in visual acuity, recommended that eyes be followed until high-quality intravenous fluorescein angiography can be performed. Laser photocoagulation should not be considered if macular ischemia is present with macular edema unless the visual acuity is not improving; photocoagulation should be considered in those eyes with good macular perfusion and macular edema without spontaneous improvement in visual acuity. Magargal and colleagues,180 in a nonrandomized series of 161 eyes photocoagulated for macular edema, found that eyes treated after 1 year of the onset of occlusion improved less than those treated within 1 year. A modification of the laser technique has been suggested where at the time the standard grid laser is placed that the branch retinal artery of the affected area be “crimped” with the laser, 399 although no clinical trial has evaluated this technique against the standard grid. There have been very few reports of complications secondary to laser photocoagulation in branch retinal vein occlusion. A few patients have been reported with choroidal neovascularization following laser photocoagulation for macular edema in branch retinal vein occlusion.401,402 A number of nonrandomized studies have shown that argon laser photocoagulation is effective in both the treatment and the prevention of neovascularization.180,238,247–250 This has now been confirmed in a second published report on the multicenter, randomized, controlled clinical trial by the Branch Vein Occlusion Study Group.251 This report answers the remaining two questions: Can argon laser photocoagulation prevent the development of neovascularization, and will argon laser photocoagulation prevent vitreous hemorrhage in eyes with retinal neovascularization? To answer the question of whether prophylactic treatment is effective in preventing neovascularization, eyes with a recent branch vein occlusion involving at least five disc diameters but no neovascularization were randomized into two groups: (1) those receiving peripheral scatter argon laser photocoagulation and (2) those receiving no photocoagulation. Argon laser scatter photocoagulation was applied to the entire involved segment, extending no closer than two disc diameters from the center of the fovea. Of the eyes in the treated group, 12% developed neovascularization versus 22% in the control group, a difference that is statistically significant. The development of neovascularization was also compared for both nonischemic and ischemic occlusions.251 An ischemic occlusion was defined as one with more than five disc diameters of capillary nonperfusion. The majority of eyes in both the treated and control groups had an ischemic vein occlusion at the time of the initial evaluation. Evaluation of several variables showed that only capillary nonperfusion had an effect on the development of neovascularization. With regard to the last question (i.e., whether peripheral scatter argon laser photocoagulation will prevent vitreous hemorrhage in eyes with neovascularization),251 the following results were reported: Of the eyes treated after neovascularization occurred, 22% developed a vitreous hemorrhage, compared with 61% of untreated eyes; this was a statistically significant difference. Of patients with ischemic vein occlusion who were treated before neovascularization occurred, 12% developed a subsequent vitreous hemorrhage, whereas only 9% of ischemic eyes treated after neovascularization occurred developed a vitreous hemorrhage. Although the study was not designed to determine the optimal time for treatment, the data suggest (but do not prove) that there may be no advantage to treatment before the development of neovascularization. The study was not able to draw conclusions about the effect of photocoagulation on the prevention of visual loss. Treatment with isovolemic hemodilution in patients with macular edema secondary to a branch retinal vein occlusion has been studied in a small randomized, prospective clinical trial.403 At the 3-month follow-up if the visual acuity was worse than 20/40 and macular edema was present on fluorescein angiography, the patients were treated with laser photocoagulation. At 1-year follow-up the treated group had significantly better visual acuity than the control group.403 A surgical procedure has been reported that involves pars plana vitrectomy and sectioning or decompressing the common sheath connecting the artery and vein at the crossing where the branch retinal vein occlusion occurs.252,404–409 Experiments on this surgical procedure in animal and cadaver eyes has been performed.410 Most reports have shown a benefit after the procedure in terms of visual acuity. The results of this surgery are difficult to evaluate because of small numbers and lack of analysis between time after onset of the occlusion and the perfusion status prior to the surgery. Based on experimental studies in animals, which may or may not be applicable to humans, it would seem unlikely that surgery performed more than 1 week after the occlusion would be expected to result in improved perfusion of the a branch vein.19–21 Without a clinical trial of this technique there is no way to determine if the results of surgery are better than the natural history of this disease. A few patients with macular edema due to a branch retinal vein occlusion have been treated with an intravitreal injection of triamcinolone acetonide.389 No studies of large numbers of patients treated with intravitreal injection of steroids have been reported. The one situation in which steroids might be an advantage would be in those eyes with macular edema and large amounts of hemorrhage that do not clear over a long period of time. In those patients with complications of a branch retinal vein occlusion, vitreoretinal surgery is frequently indicated and improves the visual acuity in the majority of eyes treated.411 |
| MACULAR BRANCH RETINA VEIN OCCLUSION | |
| An occlusion limited to a small venous tributary draining a section of
the macula and located between the superior and inferior temporal arcades
is considered a subgroup of branch retinal vein occlusion (Fig. 13).182 Most patients with macular branch vein occlusion complain of blurring
or distortion of vision. Superior macular vein occlusions are more common
than inferior macular vein occlusions, and some degree of macular
edema is present in approximately 85% of these eyes.182 Although small areas of capillary nonperfusion are present in approximately 20% of
eyes, neovascularization is not seen (see Table 2). This type of macular vein occlusion can be remarkably subtle at
times. Joffe and associates182 pointed out that clues such as small collateral channels and microaneurysms
often suggest the diagnosis. Treatment of macular edema in macular
vein occlusion by photocoagulation is identical to the treatment of
other branch retinal vein occlusion.398 The current guidelines management for the evaluation and of branch retinal vein occlusion based on a review of the literature and our experience is
|