| Chapter 21 Macular Hole ALLEN C. HO and HENRY C. LEE Table Of Contents |
|
EPIDEMIOLOGY PATHOGENESIS HISTOPATHOLOGY DIAGNOSIS DIFFERENTIAL DIAGNOSIS NATURAL HISTORY MANAGEMENT SUMMARY REFERENCES |
| A macular hole is a full-thickness defect or tear of retinal tissue involving
the anatomic fovea of the eye. It was first described by Knapp1 in 1869, in a patient with a history of ocular trauma. Early case descriptions
of macular holes focused on young traumatized eyes, but it is
now known that “idiopathic” age-related macular holes in
older adults comprise most of these lesions. Therapeutic treatment of macular holes has become possible only relatively recently, as a result of advances and refinements of vitreoretinal surgical techniques. The optimal management and treatment of macular holes continues to be a source of active research. |
| EPIDEMIOLOGY |
| Macular holes are uncommon, affecting approximately 3.3 per 1000 people.2 The etiology of macular hole varies, but the most common origin is idiopathic. In
a series from 1982, 83% of macular holes were classified as
idiopathic, and only 15% were secondary to trauma (usually blunt).3 Full-thickness macular holes have also rarely been associated with other
conditions, including proliferative diabetic retinopathy, optic disc
coloboma, high myopia, choroidal neovascularization, Best's disease, adult
vitelliform macular degeneration, retinal arteriovenous communication, scleral
buckling for retinal reattachment, pneumatic retinopexy
for retinal reattachment, perforating retrobulbar injections, and
topical pilocarpine. The Eye Disease Case-Control Study Group4 attempted to identify possible risk factors for idiopathic macular holes. Of 198 study patients who were identified with macular holes, 143 (72%) were women. The only other statistically significant risk factors for macular holes identified by this study were high plasma fibrinogen levels (greater than 2.95 g/L) and a prior history of glaucoma. Estrogen use was negatively associated with risk of macular hole. The explanations for these findings are speculative. The Eye Disease Case-Control Study Group did not examine two ocular characteristics that have previously been associated with macular hole formation: macular retinal pigment epithelial changes (involutional macular thinning) and macular vitreous attachment.5 |
| PATHOGENESIS | ||||
| The pathogenesis of macular holes has been the subject of much debate and
controversy. Historically, three basic theories on the origin of macular
holes have been proposed: the traumatic theory, the cystoid degeneration
and vascular theory, and the vitreous theory.6 Knapp's1 original description of a macular hole described a patient with ocular trauma. Two years later Noyes7 provided the first accurate and detailed ophthalmoscopic description of a macular hole that was secondary to blunt trauma in a 13-year-old girl (Fig. 1). These and other early case studies led most observers to attribute macular holes to ocular trauma. Presumably, blunt ocular trauma could cause immediate macular hole formation from mechanical energy created by vitreous fluid waves and contrecoup macular necrosis or laceration.
The first histopathologic descriptions of full-thickness macular holes were provided by Fuchs (1901)8 and Coats (1907)9 and supported a cystic degeneration theory of macular hole formation. Coats noted cystic intraretinal changes adjacent to the macular hole and surmised that it was the coalescence of these intraretinal cysts that led to the formation of the macular hole. He further recognized that this macular cystoid degeneration did not occur exclusively in patients with a history of ocular trauma. The recognition of atraumatic macular cystoid degeneration and atraumatic macular holes led to the theory that cystoid degeneration was the final common pathway toward macular hole formation. Both Coats and Kuhnt10 believed that age-related changes in the retinal vasculature led to cystoid degeneration and were responsible for the atraumatic macular hole. This vascular theory of idiopathic macular hole was sometimes characterized as ocular angiospasm.11 The vitreous theory of macular hole formation was initially proposed by Lister12 in 1912. Lister theorized that anteroposterior fibrous vitreous traction bands were the cause of macular holes. Beginning in the 1960s, clinical and histopathologic studies began to highlight the relationship of the vitreous and macula in eyes with macular holes. Current theories of macular hole pathogenesis continue to be altered and refined, but nearly all continue to recognize the predominant role of the vitreous in macular hole formation. In 1988, Gass13 proposed a classification system for idiopathic macular holes, as well as a new hypothesis concerning their pathogenesis, suggesting that tangential vitreoretinal traction is responsible for hole formation. In 1995, Gass14 provided an updated biomicroscopic classification and anatomic interpretation of macular hole formation (Fig. 2). Spontaneous tangential contraction of prefoveolar cortical vitreous detaches the foveolar retina, creating a yellow spot approximately 100 to 200 μm in diameter (stage 1A impending hole). The yellow color is felt to represent foveal intraretinal xanthophyll pigment (Fig. 3). As the foveal retina is elevated to the level of the surrounding perifoveal retina, the retinal receptor layer is stretched, and the yellow spot changes into a small donut-shaped yellow ring (stage 1B impending hole). Eventually, this thinned foveolar retina breaks at the umbo, and the surrounding retinal receptors, nerve fibers, and xanthophyll retract centrifugally, enlarging the ring (stage 1B occult hole, Fig. 4).
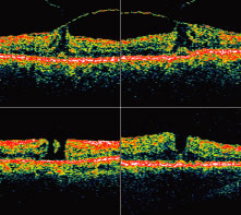
Soon after, spontaneous vitreofoveal separation may occur. The contracted prefoveolar vitreous cortex (now detached from the underlying retina) may become visible as a semitranslucent prehole opacity (pseudo-operculum) lying anterior to a small foveolar hole. This condition is classified as a stage 2 full-thickness macular hole (Fig. 5). Centrifugal retraction of foveolar retinal receptors continues to enlarge the diameter of the hole; Gass suggested that any hole 400 μm or larger should be classified as a stage 3 macular hole (Fig. 6). After separation of the vitreous from the entire macula and optic disc, the hole is classified as stage 4, regardless of its diameter. Recently, the introduction of optical coherence tomography (OCT) has allowed researchers to study the exact relationship between the vitreous and fovea in the development of macular holes. OCT is analogous to ultrasound but measures optical, rather than acoustic, reflectivity (Fig. 7). The higher frequency of light waves compared with acoustic waves allows for a much higher longitudinal resolution (10 μm vs. 150 μm). OCT evidence suggests that in most macular holes, the first step is actually the formation of a foveal pseudocyst (splitting of the retina at the fovea). It is postulated that anterior tractional forces from the prefoveal vitreous cortex cause this pseudocyst to form. The anterior wall of this cyst serves as a flap in stage 2 holes and as an operculum in stage 3 holes.15,16 |
| HISTOPATHOLOGY |
| Two large histopathologic series have been reported on macular holes.17,18 Histopathologic examination of full-thickness macular holes demonstrates
round or oval retinal defects surrounded by rounded retinal edges and
a cuff of detached neurosensory retina with subretinal fluid (Fig. 8). In the most recent series, 79% demonstrated cystoid macular edema and 68% had
epiretinal membranes. Photoreceptor atrophy was variable (200 to 750 μm, mean 480 μm, from the edge of the retinal margin) in
this group of globes, some of which had long-standing macular holes. In
some of the eyes, a thin tapered layer of cortical vitreous was
noted that may have caused traction on the edges of the macular hole. The histopathology of lamellar macular holes has also been described.19 Lamellar holes are characterized by a partial loss of neurosensory retina, which looks like a sharply circumscribed round or petal-shaped red depression in the inner retinal surface. In half of these eyes, there was evidence of a thin layer of epicortical vitreous membrane causing tangential traction. |
| DIAGNOSIS |
| Many macular lesions simulate macular holes or macular hole precursor lesions (stage 1A
and 1B). In differentiating between the different entities, the
most valuable clinical tool remains a careful contact lens
biomicroscopic evaluation of the lesion.20 Clinical diagnostic tests for discriminating full-thickness macular holes
from other lesions include the Watzke-Allen slit beam test and the
laser aiming-beam test. The Watzke-Allen test is performed at the slit-lamp biomicroscope by using a macular lens and placing a narrow vertical slit beam through the fovea. A positive test is noted when the patient detects a break in the bar of light. Most patients with a full-thickness macular hole report a positive Watzke-Allen test.21 The laser aiming-beam test is performed similarly using a macular lens and placing a 50 μm laser-photocoagulator aiming beam within the presumed macular hole. A positive test is observed when the patient cannot detect the aiming beam within the lesion but is able to detect it in surrounding intact tissue. This test is possibly more sensitive and more specific for full-thickness macular holes.22 Recently, OCT has shown great potential in the diagnosis of macular disease, including macular hole.23,24 OCT may be even more sensitive than contact lens biomicroscopy in detecting certain macular lesions.25 Other diagnostic tests are generally less useful in detecting macular holes or distinguishing between macular holes and other simulating lesions. Amsler grid abnormalities are sensitive to macular lesions but are not specific to macular hole lesions. Macular holes do not cause absolute scotomas detectable by Amsler grid testing.26 Fluorescein angiography may demonstrate early central hyperfluorescence in both true holes (79%)27 and pseudomacular holes (63%),28 and therefore is generally not a useful adjunct in distinguishing these lesions. Likewise, B-scan ultrasonography is generally not sensitive enough to distinguish macular holes from masquerading lesions. |
| DIFFERENTIAL DIAGNOSIS |
| Several conditions may clinically resemble macular hole lesions and premacular
hole lesions (Table 1). The most common lesions simulating a full-thickness macular hole are
epiretinal membranes with pseudomacular hole, impending macular holes, and
lamellar macular holes.29–33 Pseudomacular holes associated with epiretinal membranes have a median
visual acuity of 20/30 and retinal vascular tortuosity and compression.34 They are not associated with a rim of subretinal fluid. Lamellar macular
holes are sharply circumscribed, partial-thickness defects of the macula
representing either aborted full-thickness lesions or a complication
of chronic cystoid macular edema.35,36 They are characterized by a flat, reddish hue-type lesion with intact
outer retinal tissue. Careful evaluation will reveal retinal tissue in
the base of the lesion and no evidence of subretinal fluid. Lamellar
macular holes do not progress to full-thickness lesions. Distinguishing
features of true macular holes are drusen-like yellowish deposits in
the base of the hole, a cuff of subretinal fluid, a distinct margin around
the hole, and an overlying pseudo-operculum.37 Patients with pseudomacular holes report a negative Watzke-Allen sign
and can see a laser aiming beam when it is directed within the lesion.
TABLE 1. Differential Diagnosis of Macular Hole and Premacular Hole Macular Hole
Premacular hole lesions (stage 1A) are also simulated by a wide variety of other macular lesions. Simulating yellow macular lesions are observed in pseudo-opercula,38 vitreomacular traction, cystoid macular edema, macular neurosensory elevations such as in central serous retinopathy, degenerations of the retinal pigment epithelium demonstrating drusen, vitelliform and pattern dystrophy lesions, acute solar maculopathy, posttraumatic maculopathy,39 and occasional inflammatory or infectious chorioretinopathies. Macular yellow rings (stage 1B) are rarely simulated by any disorder other than a stage 2 hole. Key clinical features of true stage 1 macular hole lesions are a yellow intraretinal spot or ring, loss of the foveal depression without significant elevation above the surrounding tissue, and an absence of vitreofoveal separation. Vitreomacular traction often demonstrates elevation of foveal tissue above the plane of the retina. Lesions of stages 1A and 1B are not accompanied by extrafoveal serous macular elevation, as is observed in central serous retinopathy. Central drusen and pattern lesions are at the level of the retinal pigment epithelium, whereas the yellow lesions of stages 1A and 1B are intraretinal. The only yellow lesions that evolve from a yellow foveal cystic lesion to a yellow ring are stage 1 premacular holes.20 |
| NATURAL HISTORY |
| The natural history of macular holes is important in determining patient
prognosis, as well as in the timing of macular hole repair. Early macular
holes and premacular hole lesions often regress or abort spontaneously
but larger full-thickness holes rarely do so. The visual acuity in stage 1 lesions ranges between 20/25 and 20/80. The Vitrectomy for Prevention of Macular Hole Study Group reported that only 14 (40%) of 35 patients with stage 1 holes progressed to a full-thickness macular hole over a 2-year follow-up period.40 Furthermore, subgroup analysis of this data showed that this risk was inversely proportional to the initial visual acuity. Patients with best-corrected visual acuity between 20/25 and 20/40 had a 30% risk of progression during the follow-up period, whereas patients with best-corrected visual acuity between 20/50 and 20/80 had a 66% risk.41 Stage 2 full-thickness macular holes are far less likely to resolve spontaneously; indeed most eventually progress to stage 3 or 4 macular holes. The most optimistic study reported a 33% resolution rate, with 67% progressing to larger stage 3 and 4 lesions.42 Hikichi and colleagues43 reported a series of 48 eyes with stage 2 macular holes and found that only 4% of the lesions remained in stage 2; 96% of the eyes progressed to stages 3 or 4. No eye demonstrated resolution during a mean follow-up period of 4 years (range: 2 to 8 years). Worsening of best-corrected visual acuity of two or more Snellen lines occurred in 71% of eyes. Most stage 2 holes progress and enlarge to stage 3 or 4 within 6 months. Most full-thickness macular holes greater than 400 μm (stages 3 and 4) retain peripheral vision but suffer loss of central vision to the level of 20/100 or worse, typically 20/100 to 20/400.44 A minority of these will continue to undergo progressive loss of central visual acuity.45 Continuing visual deterioration may be related to chronic subretinal fluid, cystoid retinal changes, or photoreceptor atrophy. Less commonly, progressive loss of central and then peripheral vision is related to a progressive retinal detachment. This is most commonly associated with myopia of 6 diopters (D) or greater.46–48 Occasionally, spontaneous retinal reattachment and visual improvement may occur. The mechanism of spontaneous reattachment is unclear, although it may be associated with formation of an epiretinal membrane.49,50 The mechanism of visual recovery after spontaneous reattachment may be similar to that after successful surgical repair.51 Patients with a unilateral macular hole are understandably concerned about the prognosis of their fellow eye. The risk of development of idiopathic macular holes in fellow eyes has been reported to be from 3% to 22%.52,53 The Eye Disease Case-Control Study found that 7.1% of patients had new macular holes in their fellow eyes after 6 or more years of follow-up.4 However, a recent prospective analysis conducted at Moorfields Eye Hospital, London, England, estimated the risk of fellow eye involvement to be 15.6% at 5 years.54 |
| MANAGEMENT | |
| In July 2001, the American Academy of Ophthalmology released an Ophthalmology
Technology Assessment specifically addressing the surgical management
of macular holes.55 The Academy concluded that evidence from randomized, prospective clinical
trials supports surgery for patients with full-thickness macular holes
in stages 2,56 3, or 4.57 The report does not recommend surgery for patients with stage 1 macular
holes40, nor does it recommend the use of adjuvant therapy during surgery. The standard surgery for repair of macular hole was described by Kelly and Wendel58 in 1991 and involves a standard three-port pars plana vitrectomy, with removal of cortical vitreous and any epiretinal membrane. The surgical goal is to remove enough of the surrounding membrane, when present, to relieve traction that could prevent flattening of the edges of the macular hole. A total air-fluid gas exchange is performed to desiccate the vitreous cavity; this is followed by a gas-air exchange using a nonexpansile concentration of a long-acting gas (e.g., 16% C3F8).59 Strict face-down positioning to encourage contact of the gas bubble against the macular hole for at least 1 week (and as long as 3 or 4 weeks) is as important as the technical components of the procedure. This requirement may be difficult or impossible for some patients to comply with and may be a consideration in determining surgical candidacy. One pilot study, however, has suggested that comparable anatomic success may be achieved without such rigorous positioning.60 There is considerable debate regarding adjunctive therapy in macular hole repair. Additives applied to the site of the macular hole in hopes of stimulating a cellular reparative response have included autologous serum,61 autologous platelet concentrate (APC),62 thrombin-activated fibrinogen,63 thrombin,64 transforming growth factor beta-2 (TGFΒ2),65 and tissue glue.66 Of these, well-designed controlled trials, or cohort or case-control analytic studies, have been reported only for TGFΒ2,67,68 and APC.69 Though promising, the data on these adjuvants are sometimes conflicting, and it is too early to make specific recommendations regarding their use. Another potentially helpful adjunct to the repair of macular holes is peeling of the internal limiting membrane (ILM) at the time of surgery.63 The ILM can be removed using a microbarbed microvitreoretinal blade or diamond-dusted silicone cannula to create a surgical plane, which is then stripped with fine end-gripping tissue forceps. The evidence regarding the potential benefit from this procedure, however, remains equivocal. Some studies suggest that ILM peeling improves both anatomic and visual success rates.70,71 In contrast, Margherio and colleagues72 used a large retrospective cohort study to compare patients with and without preretinal/ILM peeling and concluded that there was no statistically significant difference between the two cohorts. In addition, complications from ILM peeling include longer surgery time (and thus greater phototoxicity), perifoveal capillary bleeding, and retinal whitening.71 Intraocular indocyanine green (ICG) dye has recently been used to facilitate the visualization of the ILM during peeling procedures. ICG staining improves the visibility and, thus, the ease of stripping of the ILM, but recent studies suggest that it may also cause retinal damage.73,74 The long-term sequelae of ICG staining remain unknown. The success rate of macular hole surgery has improved dramatically since the landmark pilot study reported by Kelly and Wendel58 in 1991. This initial article reported a 58% anatomic success rate, with 73% of these patients showing an improvement in visual acuity of two lines or better (42% overall). Recent reports on acute (less than 6 months) idiopathic macular holes are showing anatomic success rates from 89% to 100% and improvement in visual acuity of two or more lines in 72% to 95% of patients.71,72,75 There are several well-described complications that may occur after macular hole repair. Acute complications include retinal tears76 and endophthalmitis.77,78 Long-term complications include nuclear sclerotic cataract in the vast majority of phakic patients,79 and retinal detachment in 1% to 3% of patients.77,78 In addition, there is a 2% to 10% risk of a repaired macular hole reopening at a later date.80–82 Less frequent surgical complications that have been reported include enlargement of the hole,77 photic toxicity or retinal pigment epithelial alterations,83,84 exudative retinal detachment,85 glaucoma,86 proliferative vitreoretinopathy,87 and dense wedge-shaped temporal visual field defects (likely resulting from dehydration injury during fluid-air exchange, Fig. 9).88,89
|
| SUMMARY |
| A macular hole is a full-thickness defect of retinal tissue involving the
anatomic fovea and, primarily, the foveola of the eye. It may be associated
with trauma in young eyes, but age-related idiopathic macular
holes in older adults compose most of these lesions. There is a strong
female predominance (roughly 3:1). The pathogenesis of macular holes remains controversial but likely involves tangential and/or anteroposterior vitreous traction on the fovea. Diagnosis continues to rely largely on clinical examination with contact lens biomicroscopy. New imaging modalities such as OCT hold great promise in helping to confirm the diagnosis of macular holes and other macular lesions. The natural history of macular hole lesions varies by stage. Stage 1 lesions have a reasonably good chance of remaining stable or aborting (60%). This risk is inversely related to initial visual acuity; patients with worse initial visual acuity (less than 20/40) have an increased chance of progressing to stage 2 holes. The majority of stage 2 holes (67% to 98%) progress to stage 3 or 4 macular holes. Uncommonly (5% to 12%) full-thickness macular holes demonstrate spontaneous flattening, with subsequent improvement in vision. Fellow eyes of patients with macular holes are also at increased risk of developing macular holes (probably 7% to 15%). The management of macular hole has evolved from an untreatable condition to a microsurgical procedure with considerable potential success. The American Academy of Ophthalmology has recently released guidelines regarding the timing and surgical management of macular holes, but the report leaves open questions regarding the potential benefit of adjuvant therapies and ILM peeling. Future studies will be necessary to elucidate the potential role of these additional treatment measures, if any. |