| Chapter 52 Ciliochoroidal Effusion SHARON FEKRAT and W. RICHARD GREEN Table Of Contents |
|
ANATOMIC FEATURES CLINICAL FEATURES DIFFERENTIAL DIAGNOSES ETIOLOGIC CLASSIFICATION PATHOPHYSIOLOGY MANAGEMENT FUTURE INVESTIGATIONS REFERENCES |
| A ciliochoroidal effusion is an accumulation of fluid in the potential space between the sclera externally and the choroid and ciliary body internally.1–3 The terms edema, effusion, and detachment are often used interchangeably in describing this uveal disorder. In most cases, however, the fluid is located between the fibrous strands that connect the choroid and ciliary body to the sclera and is therefore within the uvea. Thus, edema and effusion are more accurate descriptive terms. |
| ANATOMIC FEATURES |
| The suprachoroidal space forms a transition zone and potential space between
the choroid and sclera and is composed of fibrous connective tissue. In
its physiologic dehydrated state, the suprachoroidal space is
approximately 30 μm thick. Because there are virtually no capillaries
or lymphatic spaces to drain fluid that collects in this area, the
fluid must reenter the vascular channels in the choroid and exit through
the vortex veins,4 the sclera itself,5 or through perivascular and perineural spaces in scleral emissary channels.6 Anteriorly, the connective tissue fibers that attach the ciliary body and anterior choroid to the sclera are long and oriented tangentially. A tangential arrangement permits movement of the choroid during accommodation7; however, it also readily allows for the accumulation of fluid. The anatomic arrangement of the fibers anteriorly is analogous to the tangential fibers in the outer plexiform layer in the macula, another location where fluid selectively accumulates. Posteriorly, the choroid is more firmly connected to the sclera by fibers that are short and oriented perpendicularly between the choroid and sclera.8 The choroid is also firmly anchored to the sclera at the optic disc, at the ampullae of the four vortex veins, and by the ciliary body at the scleral spur. The attachments at the disc and four ampullae account for the characteristic four-lobed structure of a large ciliochoroidal effusion. The term detachment is often used clinically to describe a ciliochoroidal effusion. Indeed, in some cases there is an actual cleavage of the fibers that connect the ciliary body and choroid to the sclera. Moses8 showed that a force of about 5 g/cm is required to break these connecting fibers. In such cases, the fluid is located between the ciliary body and choroid and the sclera and is properly referred to as a detachment. |
| CLINICAL FEATURES | |||
| The presence of certain clinical characteristics may assist in the diagnosis
of a ciliochoroidal effusion (Table 1). One clinical feature is choroidal edema. Choroidal edema may resemble
a retinal detachment to a hasty observer; however, darkness of the uvea, lack
of tremulousness, and normal retinal vessels indicate a probable
uveal process (Fig. 1). The effusion may extend under the pars plana, allowing visualization
of the ora serrata without scleral depression (Fig. 2).9 As shown in Figure 2, the surface of the elevation is convex and smooth, with a solid appearance
and a homogeneous grayish color. A shallow anterior chamber and
a low intraocular pressure may also suggest the diagnosis. Myopia in the
presence of anterior displacement of the lens-iris diaphragm may be
another diagnostic clue.10,11
TABLE 1. Characteristic Clinical Features of a Ciliochoroidal Effusion Choroidal edema
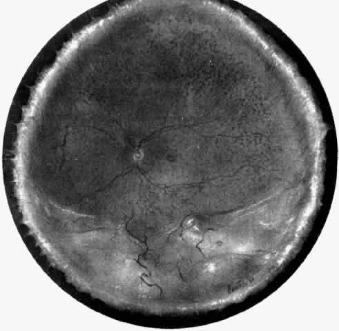
Although a ciliochoroidal effusion is usually associated with low intraocular pressure, it may sometimes result in anterior rotation of the ciliary body, secondary angle-closure glaucoma, and elevated intraocular pressure in some cases.12–20 A ciliochoroidal effusion presenting as secondary angle-closure glaucoma has been reported in several patients with acquired immunodeficiency syndrome (AIDS).16–18 The etiologic and pathophysiologic mechanisms of ciliochoroidal effusion formation in HIV-positive patients have not yet been elucidated. In a chronic ciliochoroidal effusion, breakdown of the blood-ocular barrier at the level of the retinal pigment epithelium (RPE) may occur, leading to a nonrhegmatogenous retinal detachment characterized by shifting subretinal fluid. The protein content of this fluid may be more than three times greater than that of plasma, causing it to shift to a dependent position as the eye and head move.21 The amount of subretinal fluid increases as the chronicity of the effusion increases. A total retinal detachment may result, making the detection of shifting fluid difficult. Linear areas of RPE hypertrophy and hyperplasia may also be observed in chronic effusions (Fig. 3). These streaks, noted by Verhoeff,22 suggest a chronic and recurrent process.
Ciliochoroidal effusions may have an annular, lobular (Fig. 4), or flat (Fig. 5) ophthalmoscopic appearance. Annular effusions occur around the ciliary body and peripheral choroid. Lobular effusions are large hemispheric detachments that bulge toward the center of the globe. Flat effusions are most often apparent in isolated peripheral choroidal areas, where local structures limit fluid extension. A local stimulus, such as a limbal incision, can lead to suprachoroidal edema, even in remote areas, by way of free dissection of fluid. Occasionally, patients will present with coexisting ciliochoroidal effusion and rhegmatogenous retinal detachment.23–25 The retinal hole may be hidden in the choroidal mounds. Such detachments tend to occur in older patients who have a history of previous ocular surgery.
|
| DIFFERENTIAL DIAGNOSES |
| A ciliochoroidal effusion may be mistaken for a malignant melanoma in the
ciliary body or choroid.26 Transillumination, fluorescein angiography, ultrasonography, and computed
tomography may assist in distinguishing an effusion from a melanoma. Increased
transillumination may be observed with a serous ciliochoroidal
effusion and has been referred to as Hagen's sign.27 Pigmented choroidal melanomas may not transilluminate; however, in some
cases of ciliary body melanoma, particularly nonpigmented tumors, transillumination
may not be defective. In fact, in some cases the tumor
may even transilluminate. A rare case of coexisting ciliochoroidal detachment
and choroidal melanoma was reported.28 The eye had a typical postoperative ciliochoroidal detachment that masked
a multilobed uveal melanoma that was not appreciated preoperatively. A ciliochoroidal effusion and other benign processes may be accurately differentiated from choroidal tumors with B-scan ultrasonography, as reported by Coleman29 in more than 60% of cases. Ultrasonography can distinguish a ciliochoroidal effusion from a retinal detachment by the acute anterior angle of the acoustic shadow of an effusion and its extension anterior to the ora serrata (Fig. 6). The ultrasonic finding of a diffusely thickened choroid posteriorly should alert the ultrasonographer and ophthalmologist to the possibility of a ciliochoroidal detachment more anteriorly. If posterior choroidal thickening is not associated with a peripheral ciliochoroidal detachment, other clinical entities should be excluded, such as posterior scleritis, choroidal inflammation, and intraocular tumors.30 Scleral infolding may ophthalmoscopically simulate a ciliochoroidal effusion in a hypotonous eye, and B-scan ultrasonography may assist in the diagnosis.31 These adjunctive tests can also differentiate a serous from a hemorrhagic ciliochoroidal effusion. In a serous ciliochoroidal effusion, fluorescein angiography demonstrates characteristic background fluorescence, RPE abnormalities, and leakage from the large choroidal vessels, whereas a hemorrhagic ciliochoroidal effusion blocks these angiographic patterns.12,32 Peyman and co-workers31 demonstrated the usefulness of computed tomography in differentiating a serous effusion from a hemorrhagic choroidal detachment. |
| ETIOLOGIC CLASSIFICATION | |||||||
| A ciliochoroidal effusion may be idiopathic, or it may be due to a systemic
or ocular abnormality (Table 2).
TABLE 2. Etiologic Classification of Ciliochoroidal Effusion Iatrogenic Injury Cataract extraction1,9,32–34,36,38–46 Glaucoma surgery in patients with prominent episcleral vessels (Sturge-Weber syndrome)35 Panretinal photocoagulation55,56 Retinal detachment surgery50–54,58 Traumatic Injury Accidental ocular perforation1 Blunt trauma59 Inflammation Episcleritis74–76 Nonspecific vasculitisOcclusive vasculitis65 Orbital pseudotumor73 Pars planitis69,70 Polyarteritis nodosa80,81 Rheumatoid arthritis68 Scleritis9,65,68,77,78 Subconjunctival abscess72 Sympathetic uveitis65–67 Syphilitic posterior uveitis64 Toxoplasmosis retinochoroiditis65 Uveitis60–63 Vogt-Koyanagi-Harada syndrome71 Wegener's granulomatosis:0.0416667>795Y :0.0416667>795Ý Vascular Causes9,50,82–86 Valsalva maneuver Carotid-cavernous sinus fistula84–86 Dural-sinus fistula Hypertension Eclampsia Hypoproteinemia9,50 Malignancy Metastatic carcinoma to the choroid87 Leukemia9 Multiple myeloma65 Primary Scleral Abnormality Nanophthalmos88–93 Uveal effusion syndrome12,13,69,70,92,94 Idiopathic ciliochoroidal effusion9,65
IATROGENIC AND TRAUMATIC INJURY A ciliochoroidal effusion may result from iatrogenic medical or surgical intervention or ocular trauma. Soylev and colleagues11 described a patient who developed a ciliochoroidal effusion after a 4-day course of a hydrochlorothiazide-triamterene combination. Other causes of an effusion had been excluded. Various surgical procedures may be complicated by a ciliochoroidal effusion during or after the procedure. An expulsive effusion can mimic an expulsive hemorrhage during cataract extraction33–36 or glaucoma surgery, especially in patients with prominent preoperative episcleral vessels, as in Sturge-Weber syndrome.37 Varying degrees of postoperative suprachoroidal edema may develop after cataract extraction (Figs. 7 and 8),1,9,32–34,38–46 iridectomy (Fig. 9), filtering procedures (Fig. 10),1,9,32,37,47–49 retinal detachment surgery (Fig. 11),50–54 panretinal photocoagulation,55,56,56a or cryotherapy. A postoperative ciliochoroidal effusion can occur weeks, months, or even years after surgery.40,57 Between 1 and 18 months after filtration surgery, hypotony and ciliochoroidal detachment developed in four patients when timolol or acetazolamide therapy was instituted.57
Intraoperative hypotony combined with intrinsic vascular disease may lead to a serous or hemorrhagic ciliochoroidal effusion during or after retinal detachment surgery.50–54 The hypotony that occurs during the drainage of subretinal fluid is usually of relatively short duration. Diathermy, cryotherapy, and vortex vein compromise due to buckle placement58 may further disturb the choroidal vasculature and contribute to the leakage of fluid into the suprachoroidal space. The incidence of effusion formation correlates with the circumferential length and posterior position of the scleral buckle.51 Scleral suture placement up to 14 mm posterior to the limbus decreases the risk of an effusion. The formation of suprachoroidal edema and secondary shallowing of the anterior chamber angle has been documented after panretinal photocoagulation.55,56 The mechanism may be leakage from thermally affected vessels, resulting in increased permeability of the choriocapillaris. Serous fluid may then collect in the suprachoroidal space and form an effusion.56 This may be prevented by staging the laser treatment so that less than 1000 laser burns are applied during one treatment session, or by limiting cryotherapy to less than two rows for no more than 180°. If an effusion develops despite these measures, treatment with corticosteroids may be beneficial. Blunt and penetrating ocular trauma and perforated corneal ulcers may also be associated with choroidal edema.1,59 Trauma that causes prolonged hypotony or severe inflammation is likely to produce ciliochoroidal edema. INFLAMMATION Intraocular inflammation may lead to ciliochoroidal effusion. Inflammation is accompanied by vasodilation, which could lead to leakage and accumulation of serous fluid within the suprachoroidal space. Involvement of the ciliary body may produce symptoms of myopia and blurred vision. Various uveitides,60–63 including syphilitic uveitis,64 sympathetic ophthalmia (Fig. 12),65–67 toxoplasmosis (Fig. 13),65 rheumatoid arthritis,68 pars planitis,69,70 and Vogt-Koyanagi-Harada syndrome,71 may be associated with the collection of suprachoroidal fluid. In Vogt-Koyanagi-Harada syndrome, a diffuse, bilateral uveitis may lead to an exudative choroidal effusion and secondary nonrhegmatogenous retinal detachment. In addition to associated extraocular clinical features (e.g., vitiligo, poliosis, dysacousia), the presence of pleocytosis in the cerebrospinal fluid (CSF) may help differentiate Vogt-Koyanagi-Harada syndrome from uveal effusion syndrome, which characteristically lacks pleocytosis. A subconjunctival abscess,72 orbital pseudotumor,73 episcleritis,74–76 scleritis (Fig. 14),9,19,20,65,68,77,78 and vasculitides (Figs. 15 and 16)79–81 such as Wegener's granulomatosis79 (see Fig. 16), polyarteritis nodosa,80,81 occlusive vasculitis,65 or nonspecific vasculitis (see Fig. 15) can produce suprachoroidal edema even without overt signs of inflammation. Scleritis, however, may sometimes produce choroidal inflammation with secondary vasodilation and serous effusion into the suprachoroidal and subretinal space. An infected scleral buckle may also produce a ciliochoroidal effusion months to years after its placement. Removal of sutures and all implanted material is necessary to promote resolution of the effusion.
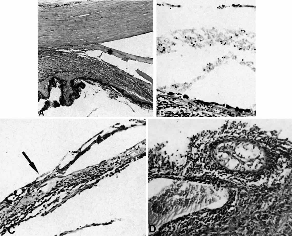
VASCULAR CAUSES Vascular causes of ciliochoroidal edema include the Valsalva maneuver, local arteriovenous fistula formation, hypertension, eclampsia, and hypoproteinemia.9,82,83 During protracted emesis, repeated Valsalva may result in a ciliochoroidal effusion.82 In the presence of a carotid-cavernous sinus fistula or dural arteriovenous fistula, the elevated venous pressure resulting from the abnormal communication between the arterial and venous systems is transmitted from the cavernous sinus to the orbital and vortex veins and to the choriocapillaris, resulting in uveal engorgement. Congestion of the choriocapillaris may promote serous fluid leakage and accumulation in the suprachoroidal space.84–86 Patients with this clinical finding may also have one or more of the following: conjunctival injection and chemosis, extraocular muscle palsies, pain, proptosis, and a bruit. These findings can assist in determining the etiology of the effusion. Intravascular abnormalities such as hypoproteinemia associated with liver dysfunction, chronic nephritis, and other types of renal dysfunction may lead to the formation of a ciliochoroidal effusion.9,50 Low serum protein promotes fluid egress into extracellular spaces, including the suprachoroidal space. MALIGNANCY Intraocular malignancies, such as leukemia9 or metastatic carcinoma to the choroid,87 may uncommonly produce a ciliochoroidal effusion. Multiple myeloma has been associated with highly proteinaceous ciliochoroidal effusions (Fig. 17).65 PRIMARY SCLERAL ABNORMALITY Nanophthalmos Derived from the Greek term nanos, meaning “dwarf,” nanophthalmos is a developmental anomaly characterized by failure of the eye to achieve a normal size. Associated ocular findings may include thickened sclera, a shallow anterior chamber, and the propensity to develop a spontaneous or postoperative uveal effusion.88–90 The first reported association between nanophthalmos and uveal effusion was reported by Brockhurst89 in five patients with thickened sclera. The thickened sclera in nanophthalmic eyes may lead to decreased transscleral protein outflow through the sclera itself and the vortex veins, resulting in a ciliochoroidal effusion.91–93 Uveal Effusion Syndrome The pathogenesis of uveal effusion syndrome (Fig. 18), also referred to as idiopathic ciliochoroidal effusion, has not been clearly defined, but it is now thought to be primarily due to an abnormality in scleral thickness.92 It is usually unassociated with any other ocular or systemic abnormalities and occurs in the noninflamed eyes of middle-aged men as an insidious, progressive, usually bilateral non-rhegmatogenous retinal detachment with shifting fluid. This detachment can occur before there is any detectable ciliochoroidal elevation. Other findings include flat peripheral ciliochoroidal effusion, scattered retinal exudates, and localized areas of RPE hypertrophy and hyperplasia (“leopard spots”) (see Fig. 1).12,13,69,70,92,94 Evidence of uveal, retinal, or vitreous inflammation is minor or absent (see Fig. 18). Concurrent systemic conditions may be present in some patients, but not uniformly. Rheumatic disorders, indistinct collagen vascular complaints, and peptic ulcer disease have been associated with uveal effusion syndrome.32,69,70,75 Richardson and Walsh95 reported a patient in whom myxedema was present. These scattered reports do not substantiate a causal relationship. The CSF may have a normal or elevated protein content without pleocytosis.13 The CSF opening pressure may also be elevated. The use of CSF measurements to differentiate between uveal effusion syndrome and idiopathic ciliochoroidal effusion is problematic because the CSF has not been evaluated in many cases. Moreover, the elevation of CSF pressure and protein may be transient and thus not identified even in true cases of uveal effusion syndrome. Additionally, many studies of uveal effusion syndrome predate ultrasonography and computed tomography. Some prior cases of presumed uveal effusion actually may have been posterior scleritis or nanophthalmos. Idiopathic Ciliochoroidal Effusion The literature does not clearly distinguish between uveal effusion syndrome and idiopathic ciliochoroidal effusion.9,65 They may most likely represent the same entity. In fact, findings similar to those for uveal effusion syndrome have been described in eyes with idiopathic ciliochoroidal effusion (Figs. 19B and 20C and D). An idiopathic ciliochoroidal effusion, however, is considered clinically and pathogenetically different from an effusion in a nanophthalmic eye, which is small and chronically hypotonous.89
Histopathologically, there is a variable lymphocytic infiltrate in the ciliary body and choroid (see Figs. 19 and 20; Fig. 21).96 |
| PATHOPHYSIOLOGY |
| The intraocular pressure is normally approximately 2 mmHg greater than
the physiologic pressure in the suprachoroidal space.8 A decrease in the intraocular pressure is transmitted to the choroid and
may promote vascular engorgement and transudation. Such mechanical
factors partly explain the suprachoroidal edema that results when the
intraocular pressure is precipitously decreased at the time of surgery
or trauma.5,8,97 With inflammation or vascular incompetence, however, transudation may
occur at normal or even elevated intraocular pressures. Increased permeability
of the choroidal vasculature reduces the intravascular colloid
osmotic force that normally facilitates fluid reabsorption and increases
protein leakage into the suprachoroidal space. If lymphatics were
present in the choroid, a route for reabsorption of fluid and protein
would be available; however, lymphatics are normally not present. The
longer the fluid is present, the larger the protein molecules that contribute
to the fluid osmolarity of the effusion.98 Thus, a cycle is created that sustains the effusion.99,100 The relative hypotony that may accompany a ciliochoroidal effusion had been attributed to decreased aqueous production.101 However, aqueous flow rates in patients with a ciliochoroidal effusion may be normal.102 Experimental evidence47 suggests that there is increased uveoscleral outflow in eyes with a ciliochoroidal effusion and that this may account for the relative hypotony commonly seen in these eyes despite normal aqueous flow rates. is1eÝIn addition to aqueous egress through the trabecular meshwork, a small percentage of aqueous normally escapes from the eye by an accessory route via the ciliary body, suprachoroid, and sclera.6,103–105 Using a perfusion technique in enucleated monkey eyes, Bill103 found that 20% of labeled fluid passed out of the eye by this uveoscleral route. Using tracer study techniques, Inomata and co-workers6 concluded that aqueous humor has access to the entire surface of the sclera via the suprachoroid and can leave the eye through the porous sclera in substantial quantities. Suguro and colleagues104 found that an experimental cyclodialysis in monkeys resulted in a four-fold increase in uveoscleral outflow, contributing to hypotony. Brubaker and Pederson105 reviewed the pathophysiologic fluid dynamics that lead to ciliochoroidal effusion and ocular hypotony. UVEAL EFFUSION SYNDROME The pathogenesis of uveal effusion syndrome may involve a primary scleral abnormality that predisposes the eye to vortex vein obstruction and acts as a barrier to diffusion of extravascular protein out of the eye. The precise scleral abnormality, however, has not yet been elucidated. Certain scleral characteristics that may influence protein and fluid egress from the eye include scleral thickness, scleral composition, and the number of scleral emissary channels.106 Increased scleral thickness (see Figs. 19 and 20) may hamper the escape of aqueous by the uveo-scleral route. Thickened sclera may cause secondary vortex vein compression and has been implicated in the pathogenesis of uveal effusion syndrome95 and in nanophthalmic effusions.12,88,89 Since inflammation and hypotony are absent in uveal effusion syndrome, choroidal fluid dynamics are intrinsically unaltered. Therefore, the accumulation of proteinaceous fluid in the suprachoroidal space may be due to increased resistance to transscleral outflow.106 Impaired venous drainage from the eye, such as may eventuate from thickened sclera and secondary vortex vein compression,58,59 may force transudate into perivascular spaces. In patients with uveal effusion syndrome, Schlemm's canal may fill with blood, indicating elevated venous pressure and delayed choroidal flow as demonstrated by fluorescein angiography.95,99 In one study, the number or caliber of vortex veins was decreased in 68% of uveal effusion syndrome cases during surgery.106 The resultant elevation in tissue colloid osmotic pressure may lead to the accumulation of suprachoroidal fluid, and subsequent RPE decompensation may lead to the development of an exudative retinal detachment.107 Vortex vein compression alone would not be sufficient to produce an effusion: occlusion of all vortex veins in Rhesus monkey eyes was not found to result in clinical or histologic evidence of ciliochoroidal effusion.58 Therefore, decreased transscleral outflow due to diffusely thickened sclera, with secondary vortex vein compression in some cases, may be the primary abnormality. The increased scleral thickness may be due to abnormal scleral composition in eyes with uveal effusion syndrome. Normally, the sclera consists of small, low-molecular-weight or large, highmolecular-weight glycosaminoglycans, with each form containing some chondroitin sulfate and dermatan sulfate. These substances are hydrophilic and bind water, providing some resistance to the bulk flow of fluid and diffusion of water through the sclera. The increased amount of scleral proteoglycans in uveal effusion syndrome may result from increased production or decreased degradation of normally present proteoglycans. The accumulation of protein-rich fluid within the choroid and suprachoroidal space may result from increased resistance to the bulk transfer of protein across the sclera.108 The elevated intrascleral swelling pressure may hamper vortex venous drainage and perpetuate further uveal engorgement. This may fluctuate with the hydrodynamic volume of the constituent glycosaminoglycans and may be reflected in the swelling pressure of the sclera. Enzyme histochemistry in four cases of uveal effusion syndrome has confirmed that the majority of excess glycosaminoglycan is dermatan sulfate with some elevation in chondroitin sulfate composition.108 Increased scleral quantities of dermatan sulfate may alter collagen fibril diameter.108 Increased scleral glycosaminoglycans and abnormalities of collagen fibril size and arrangement have been reported in a patient with uveal effusion syndrome.109 The abnormal scleral composition may contribute to the increased scleral thickness. Abnormal scleral composition and thickness have been documented in patients with known systemic disease who have developed a ciliochoroidal effusion. Histopathologic examination of the scleral tissue in a patient with Hunter's syndrome, also known as systemic mucopolysaccharidosis type II, demonstrated abnormal sclera with mucopolysaccharide deposition,110 supporting the theory that increased resistance to transscleral outflow may lead to a ciliochoroidal effusion.106 The effusion in this patient resolved after sclerectomies and sclerostomies.110 The number of scleral emissary channels may also influence protein and fluid egress from the eye.106 Investigations using labeled proteins have demonstrated that colloids injected into the suprachoroidal space normally exit the eye through the sclera itself as well as through perivascular and perineural spaces in scleral emissary channels.6,111,112 A small size or number of these channels may contribute to the reduced exit of transscleral protein in uveal effusion syndrome.106 Gass92 suggested that aging and hormonal changes in the collagen and ground substance of congenitally abnormal sclera may also prevent adequate transscleral protein transport and culminate in uveal effusion syndrome. NANOPHTHALMOS The pathophysiology of ciliochoroidal effusion formation in nanophthalmic eyes may also be due to a scleral abnormality that predisposes these eyes to vortex vein obstruction and acts as a barrier to the diffusion of extravascular protein out of the eye. The sclera in these eyes is known to be abnormally thickened; however, the precise scleral abnormality has not yet been elucidated. The collagenous and glycosaminoglycan composition of the sclera in nanophthalmic eyes reported in the literature provides conflicting information.113–115 Trelstad and associates113 noted that the scleral collagen in these eyes was similar to that in normal eyes with the exception of a fibrogranular material between the collagen bundles. Yue and co-workers,114 however, described a variable collagen fibril diameter along with twisted fibrils. Stewart and colleagues described abnormal collagen in 7 of 10 patients with nanophthalmos; the 3 patients who lacked any collagen abnormality had the largest eyes.115 Of the 7 patients with abnormal collagen, 4 had marked fraying of the fibrils into fine filaments that were only approximately 3 mm in diameter. Nevertheless, all 10 patients had a greater range of collagen fibril diameters than normals, as had been suggested in the earlier study by Yue and associates.14 A defect in glycosaminoglycan metabolism may be partly responsible for abnormal scleral thickness or permeability in nanophthalmic eyes, since the size and organization of collagen fibers may be controlled by the glycosaminoglycan composition of the surrounding matrix.109,113,114,116–119 It has been suggested that increased levels of glycosaminoglycans, such as dermatan sulfate and chondroitin sulfate, present in the sclera of nanophthalmic eyes may contribute to abnormalities of collagen fibrillogenesis.117 Trelstad and co-workers113 studied small portions of sclera removed from nanophthalmic eyes at the time of vortex vein decompression and found an accumulation of glycosaminoglycans and coarse, irregular bundles of collagen. However, Yue and associates114 noted decreased in vitro production of glycosaminoglycans from the sclera cells of a patient with nanophthalmos. The decreased glycosaminoglycan concentration has been postulated to result in abnormal packing of collagen into irregularly interlacing bundles and variable fibril size.114,116,118 In nanophthalmic sclera, there is an increased production of fibronectin.120 Further investigation will be necessary for better elucidation of the precise interaction of these substances and their relationship to ciliochoroidal effusion formation in nanophthalmic eyes. |
| MANAGEMENT |
| The management of a patient with a ciliochoroidal effusion varies in accordance
with the etiology of the effusion. IATROGENIC AND TRAUMATIC INJURY If a ciliochoroidal effusion results from the administration of an oral agent, discontinuation of the offending agent is necessary.11 Certain patients, such as those with nanophthalmos or increased episcleral venous pressure, may be predisposed to intraoperative ciliochoroidal effusion.37 Bellows and co-workers37 have proposed using a prophylactic sclerotomy before surgically opening the eye in these high-risk patients. Intraoperatively, the surgeon can reduce the risk of ciliochoroidal effusion by avoiding rapid decompression of the eye, closing the wound tightly at the end of the procedure, assessing aqueous leakage from a filtering bleb before leaving the operating room, and avoiding manipulation of the vortex veins as much as possible. If an effusion forms intraoperatively, the management is the same as for an expulsive hemorrhage.62 The first objective is the immediate closure of the wound with forceps or preferably preplaced sutures. Often, closure of the eye is all that is required to allow the intraocular pressure to rise and tamponade the effusion. After wound closure, management preferences vary. According to Maumenee and Schwartz,36 the intraocular pressure will frequently normalize after 15 to 30 minutes. The wound can then be reopened, and a vitrectomy can be performed, if necessary, with reformation of the anterior chamber. Verhoeff121 advocated immediate sclerotomy and drainage in eyes with an intraoperative expulsive hemorrhage. If the intraocular contents are similarly prolapsed and cannot be reposited in an eye with an intraoperative ciliochoroidal effusion, immediate sclerotomy and drainage of the suprachoroidal fluid may be necessary. In cases of postoperative ciliochoroidal effusion, conservative management is usually effective, since the postoperative hypotony usually resolves spontaneously within days. Anti-inflammatory agents, such as corticosteroids, have been administered; however, this treatment has not demonstrated a visual benefit.51,122 Nevertheless, an inadvertent cyclodialysis cleft, wound leak, or overly large filtering bleb should be ruled out. If there is no obvious wound leak but a flattened anterior chamber within 2 weeks of surgery, an inadvertent cyclodialysis cleft may be present. It is sometimes possible to visualize the cleft or clefts with gonioscopy.123 External pressure over the site of internal leakage may help the anterior chamber reform and restore its fluid dynamics.43 A cyclodialysis cleft may be closed with the following methods: argon laser photocoagulation,124,125 placement of a row of penetrating diathermy around the area of dialysis,126 or suturing of the ciliary body to the sclera.127 A small wound leak or an overly large filtering bleb may respond to pupillary dilation, aqueous suppressants, and firm patching. A steep bandage lens may be a useful adjunct, or in eyes with filtering blebs, the Simmons shell128 may be used. If an inadvertent cyclodialysis cleft, wound leak, or overly large filtering bleb have been excluded and 5 or 6 days have passed with no signs of improvement,129 surgery may be indicated. Early signs of macular involvement, pupillary block or lens-corneal touch, retinal-lens apposition, progressive corneal edema, or persistent retinal apposition in a “kissing” ciliochoroidal effusion may prompt surgical intervention (Table 3). Long-term flattening of the anterior chamber may result in peripheral anterior synechiae and secondary glaucoma,40 especially when there is a concurrent low-grade uveitis. A secondary cataract and cyclitic membrane may also form. Retinal adhesions from the apposition of kissing ciliochoroidals and secondary retinal detachment may also occur.130 A persistent ciliochoroidal effusion and hypotony eventually result in phthisis bulbi.
TABLE 3. Clinical Features That May Prompt Early Surgical Intervention
in Eyes with a Ciliochoroidal Effusion Progressive corneal edema
Surgical drainage of the effusion is suggested before these complications intervene. To perform a sclerotomy, a 3- to 4-mm radial scleral incision is made into the suprachoroidal space 6 to 8 mm behind the limbus at the site of maximal fluid accumulation. The scleral incision should be made perpendicular to the scleral surface to avoid shelving. The edges of the incision may be supported by a 5-0 nylon mattress suture that will be used to subsequently close the drainage site. Air, sodium hyaluronate, or saline may be added to the anterior chamber in phakic eyes and to the vitreous cavity in aphakic eyes to facilitate drainage through the sclerostomy site, maintain the intraocular pressure, and then tamponade the choroid and ciliary body against the sclera.39,131 If the pupil is dilated widely in phakic eyes, fluid in the anterior chamber may pass into the vitreous cavity as the suprachoroidal fluid drains. The slow, controlled release of fluid may prevent rebound hypotony and reaccumulation of fluid.127 Sufficient fluid is released to deepen the anterior chamber and to allow the ciliary body to assume a more normal position. Additional fluid can be released with insertion of an iris spatula into the wound and carefully probing the suprachoroidal space with its convex edge against the choroid. The scleral wound is left open, and the overlying conjunctiva is closed. INFLAMMATION Specific therapy may be instituted for ocular inflammatory disease. Resolution of the inflammatory stimulus with treatment often results in resorption of the effusion. The various etiologic disorders require individual treatment approaches. Collagen vascular diseases may require systemic corticosteroid therapy. Suprachoroidal and subretinal effusions related to an exacerbation of rheumatoid arthritis may be successfully treated with a combination of prednisolone and cyclophosphamide.68 In pars planitis, corticosteroids should be supplemented with short-acting mydriatics to prevent synechiae formation.70 Vogt-Koyanagi-Harada syndrome is usually self-limited; however, corticosteroids may be beneficial in decreasing the edema when administered early in the course. Despite the uncertain benefits, a course of corticosteroids may be warranted if uveitis is suspected. Nonsteroidal anti-inflammatory agents may be indicated in the treatment of scleritis. When inflammatory signs are present, treatment of scleritis with topical as well as systemic steroids may be helpful in reducing both inflammation and vascular leakage.25 VASCULAR CAUSES Correction of the underlying vascular etiology of the ciliochoroidal effusion is necessary to promote resorption of the effusion. Eclampsia132 may require induction of labor. Hepatic or renal disease must be identified and treated appropriately. Hypertension must be corrected pharmacologically. Carotid-cavernous sinus fistulas and dural arteriovenous fistulas may spontaneously thrombose in some patients, resulting in resolution of the effusion; other fistulas may require intervention such as surgical thrombosis or decompression of the cavernous sinus.53 PRIMARY SCLERAL ABNORMALITY: UVEAL EFFUSION SYNDROME AND NANOPHTHALMOS The natural history of eyes with uveal effusion syndrome, with or without an associated exudative retinal detachment, is unpredictable but often follows a course of gradual visual loss.13 In the face of a wide range of therapeutic efforts,95 apparent cures have been observed, but so have inexorable visual losses. The response of patients to systemic corticosteroids, antimetabolites, laser photocoagulation,13,92,95,133–135 and conventional retinal reattachment procedures75,95,135,136 generally has been unsatisfactory. It has been difficult to evaluate the efficacy of a medical treatment in uveal effusion syndrome, and no specific noninvasive therapy exists because the clinical course is characterized by remissions and exacerbations during the course of years. The surgical approach to a ciliochoroidal effusion in uveal effusion syndrome and nanophthalmic eyes varies among surgeons.89,91,92,94,95,134 Some perform vortex vein decompression alone, others perform quadrantic partial-thickness scleral resections alone, and others perform both procedures simultaneously. Vortex vein decompression alone was successful in 8 of 10 eyes with nanophthalmic uveal effusion.91 Gass and Jallow94 attempted vortex vein decompression in eyes with uveal effusion syndrome; however, the procedure was technically difficult and thus some veins were surgically transected. Despite transection, the effusion resolved. Gass concluded that it was the full-thickness scleral incision rather than any change in venous outflow that led to resolution. Confirming the validity of Gass's suggestion in92 that sclerectomies be performed in all four quadrants without concurrent vortex vein decompression, Vine110 found that a quadrantic partial-thickness scleral resection with sclerotomies alone was successful in resolving a ciliochoroidal effusion and nonrhegmatogenous detachment in a patient with thickened sclera and Hunter's syndrome. Moreover, quadrantic scleral resection without vortex vein decompression led to resolution of subretinal or ciliochoroidal fluid in 22 of 23 eyes with uveal effusion syndrome,106 in patients with nanophthalmic uveal effusion,90,134,137,138 and in a patient with uveal effusion syndrome.134 Quandrantic partial-thickness resection of thickened sclera may be used prophylactically to prevent effusion in predisposed eyes.15 Prophylactic scleral resection with vortex vein decompression in three patients with nanophthalmos at least 2 months before cataract surgery led to a decreased incidence of postoperative uveal effusion.139 Postoperatively, scar formation may obstruct transscleral outflow and result in a recurrent effusion.138 Repeat sclerectomies with sclerostomies in the same location may be technically challenging and therefore may need to be performed in a new site to achieve successful retreatment of the recurrent effusion.90 Small initial sclerectomies may provide virgin sclera in a previously operated eye requiring repeat sclerectomies.90 MALIGNANCY If the eye is the only location of any known metastasis, local radiation treatment may be sufficient. If extraocular metastases are also present, however, systemic treatment of the underlying malignancy is necessary. The radiation oncology or oncology divisions must be consulted. |
| FUTURE INVESTIGATIONS |
| Further investigation is necessary for better elucidation of the precise nature of the scleral composition in predisposed eyes and the potential mechanisms involved in order to prevent the development of a ciliochoroidal effusion. As more knowledge of this disorder is ascertained, a different classification system will likely evolve that may further clarify the epidemiology, pathophysiology, and management options in these patients. |