| Chapter 66 Degeneration and Atrophy of the Choroid Richard G. Weleber and Peter J. Francis Table Of Contents |
| The goal of this chapter is to present an overview of degeneration and atrophy of the choroid. As such, we present a differential diagnosis of the different types of degeneration and atrophy of the choroid and briefly discuss some disorders that will be covered more extensively in other chapters, such as gyrate atrophy, choroideremia, the inherited macular dystrophies, and retinitis pigmentosa. In this chapter, we will focus on the choroidal manifestations of these allied disorders and will leave the reader to refer to other chapters for more complete discussions. |
| DEFINITION |
| The term choroidal degeneration refers to a group of disorders that present with acquired, usually progressive
cellular or tissue dysfunction resulting eventually in cell death
and consequent structural changes involving the choroid. Atrophy of the choroid is a more specific term that applies to the anatomic changes
that arise from loss of cells and tissue subsequent to cell death. Atrophy
of the choroid can be either congenital or acquired and can
occur from any process that involves cell loss. Dystrophy is the term that applies to acquired cell or tissue degeneration with
subsequent atrophy that is the result of a genetic defect, such as a deficiency
of an enzyme (i.e., ornithine aminotransferase deficiency
in gyrate atrophy of the choroid and retina) or a mutated gene
product (i.e., atrophy that can be seen with patients who carry
mutations of the rhodopsin gene or the peripherin/RDS gene). One cannot assume that the basic underlying defect in choroidal atrophies and dystrophies resides in the choroid alone. Both gyrate atrophy and choroideremia are the result of defects of gene products that are widespread throughout the body but, for different reasons, produce pathology limited mostly to the eye. The choriocapillaris has an intimate association with the pigmented retinal epithelium, and any disorder, genetic or otherwise, that produces a loss of one will be expected to also eventually result in a loss of the other. The recent discoveries of peripherin/RDS mutations in patients with either diffuse or regional choroidal atrophy indicate that even defects of proteins limited in expression to the photoreceptors can result in pigment epithelial and choroidal atrophic changes. |
| RELATIONSHIP TO AGING MACULAR DEGENERATION |
| Degeneration and atrophy of the choroid can occur as part of age-related
macular degeneration. Often the end stage of specific disorders, such
as Best's macular dystrophy, Stargardt's macular dystrophy, pattern
dystrophy of the retinal pigment epithelium, Sorsby's
fundus dystrophy, North Carolina macular dystrophy, and juvenile
X-linked retinoschisis, will present with an atrophic fundus appearance
that is mistaken for that resulting from advanced typical aging
macular degeneration. Several investigators have suggested that many
common forms of aging macular degeneration are the result of genetic
disease.1,2 Stone and Sheffield have proposed that some forms of aging macular degeneration
may be mutations allelic to known macular dystrophies but differently
expressed with regard to age of onset because the mutations
involved affect a different portion of the gene product.3 One of the problems that has impeded searches for genes associated with age-related macular degenerations has been the lack of multigeneration families to study because of the late age of onset. Classical studies of linkage by descent are most productive in large families with three or more generations of individuals available for study. Newer genetic techniques, such as affected pedigree member analysis4 and sib pair analysis and association studies5 represent powerful tools to discover and map new genes that cause macular degeneration. In general, specificity of any degenerative or dystrophic process is reduced or lost as the disorder progresses. In the end stages, the fundus appearance may resemble that of any of a number of diseases. Seeing the range of various expression and stages of progression in multiple affected family members is very helpful in recognizing and differentiating one form of choroidal atrophy or degeneration from another. Special tests, such as the fluorescein angiogram, optical coherence tomography (OCT), the electrooculogram (EOG), and the electroretinogram (ERG), may give additional information that will help to define a precise diagnosis. For example, an older individual with Best's vitelliform macular dystrophy can present with an atrophic lesion of the macula involving marked loss of choriocapillaris or choroid. The EOG will disclose the subnormality of the slow oscillation of the resting potential of the eye that is characteristic of this disease.6–8 Males with X-linked juvenile retinoschisis may present with only marked macular atrophy as a result of long-standing foveomacular schisis. The ERG for these individuals will show the marked, selective loss of the scotopic b-wave of the ERG (the so-called electronegative ERG configuration) that is typical of this disorder.9,10 However, for most forms of choroidal atrophy or degeneration, accurate diagnosis depends not on electrophysiology alone but on the assimilation of information from history, fundus examination, visual fields, fluorescein angiograms, and other special tests, including plasma amino acids or tests on DNA for specific genetic mutations. Examination of other family members who may be similarly affected is often crucial for recognition of the disorder in its earlier or more specific stage and for appreciation of the range of expression. For those individuals who do not have a family history of others similarly affected, valuable information can be obtained from previous examination records, especially if photographs were taken or other specific tests were performed. Often, examining other family members or obtaining old records is the only way to arrive at the correct diagnosis. |
| PRIMARY ATROPHIES |
| In this chapter, we will discuss briefly all primary atrophies or dystrophies that include significant choroidal atrophy in at least one stage of the disease. Primary atrophies that can lead to choroidal atrophy include primary choroidal atrophies, retinal degenerations (retinitis pigmentosa group), end-stage macular dystrophies, mutations of the peripherin/RDS gene, and disorders that cause angioid streaks, such as pseudoxanthoma elasticum. |
| PRIMARY CHOROIDAL ATROPHIES | ||||
| Primary choroidal atrophies are those genetically determined degenerations
that involve prominent choroidal atrophy at an early stage in the
disease. Primary choroidal atrophies can be divided into regional choroidal
atrophies and diffuse choroidal atrophies, which, in turn, can be
further subdivided into choriocapillaris and total vascular choroidal
atrophies, depending on whether the atrophy involves predominantly the
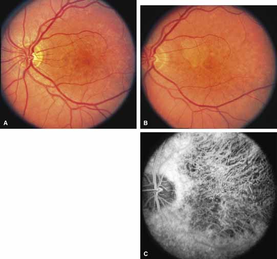
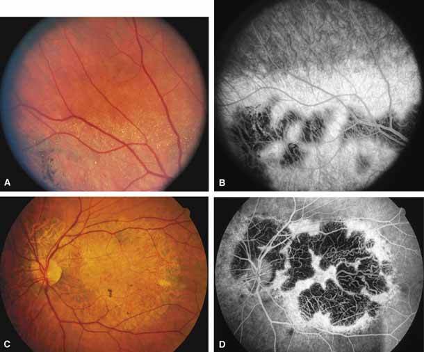
choriocapillaris or the entire choroid.11 REGIONAL CHOROIDAL ATROPHIES Regional Choriocapillaris Atrophies CENTRAL AREOLAR CHOROIDAL DYSTROPHY (CENTRAL AREOLAR CHOROIDAL SCLEROSIS). First described by Nettleship12 in 1884, central areolar choroidal dystrophy (CACD) (MIM No. 215500, Phenotype catalog number (MIM) from McKusick VA: Mendelian Inheritance in Man. Catalogs of Human Genes and Genetic Disorders. 12th ed. Baltimore: Johns Hopkins University Press, 1998 [http://www.ncbi.nlm.nih.gov/Omim/]), as it is most appropriately called,13 has been described under many names, including central areolar choroidal sclerosis, central areolar choroidal atrophy, central angiosclerosis, and central senile choroiditis.14,15 The disorder can be autosomal dominant or autosomal recessive, and phenocopies can occur from many other diseases, including mutations of peripherin/RDS16–19 and advanced stages of macular dystrophies (see later text). A locus for CACD has been identified on chromosome 17p.20 The earliest symptoms result from pericentral scotomas and include difficulty reading, poor dark adaptation, reduced visual acuity, and glare sensitivity. The earliest fundus findings are subtle and include pigment epithelial and choriocapillaris lesions in the macula (Fig. 1A) that enlarge and eventually form the punched-out central atrophic lesions typical of this disease (Fig. 1B). Histopathology shows fibrotic scarring with absence of choriocapillaris, retinal pigment epithelium, and overlying photoreceptors in the affected areas.21 The Ganzfeld electroretinogram is usually normal early in the course but may become mildly to moderately abnormal for cone and rod responses late in the course of disease when extensive atrophy of the choroid and secondarily the pigment epithelium and neurosensory retina occurs. Recent studies using the multifocal ERG have indicated that the abnormality of retinal function extends beyond the borders of the visible atrophy and is consistent with presynaptic photoreceptor dysfunction.22 The EOG can be normal or mildly abnormal depending on the extent of associated retinal pigment epithelial dysfunction. Other forms of central choroidal dystrophy exist that do not show the discrete oval lesions of typical central areolar choroidal sclerosis. These forms of central choroidal choriocapillaris atrophy often present with progressive pigment epithelial mottling and patchy choriocapillaris atrophy initially limited to the macula (Figs. 2A and 2B). With time, the atrophy enlarges and eventually encompasses the entire posterior pole (Fig. 2C). For this form of central choroidal atrophy, a gradual transition usually occurs from atrophic central pigment epithelium and choriocapillaris to essentially normal retina and choroid in the peripheral fundus. BIETTI'S CRYSTALLINE DYSTROPHY. Bietti's crystalline dystrophy (MIM No. 210370) of the cornea and retina is an autosomal recessive disorder that is characterized by the presence of crystals of unknown composition in the stroma of the peripheral cornea and at several layers of the retina (Figs. 3A and 3B).23 The disease can be subdivided into regional and diffuse forms, and the lack of any reports of the two patterns in the same family suggests genetic heterogeneity and not just variable expressivity.24,25 The regional form begins in midlife as pericentral scotomas that cause difficulty reading and reduced central visual acuity. Peripheral retinal function is retained and the electroretinogram and electrooculogram are normal or near normal even in moderately advanced disease. The fundus appearance and fluorescein angiogram reveal regional loss of pigment epithelium and choriocapillaris limited to the posterior pole (Figs. 3C and 3D). The finding of abnormal crystals in leukocytes indicates that this is a systemic metabolic disorder.24 The diffuse form presents with loss of peripheral visual field, symptoms of poor night vision as well as reduced visual acuity, and diffuse loss of pigment epithelium and choriocapillaris on funduscopy (Fig. 4) and on fluorescein angiogram. The ERG is profoundly abnormal early in the course of the disease, and visual impairment eventually becomes much more severe in the diffuse than in the regional form of the disease.
REGIONAL TOTAL VASCULAR CHOROIDAL ATROPHIES. Helicoidal peripapillary chorioretinal degeneration (also called atrophia areata and peripapillary chorioretinal degeneration, Iceland type). First described in Iceland by Sveinsson26 in 1939 as choroiditis areata and renamed as helicoidal peripapillary chorioretinal degeneration (MIM No. 108985),27,28 this autosomal dominant disorder is characterized by peripapillary tongue-shaped patches of total vascular choroidal atrophy that extend radially away from the disc. Signs of edema or inflammation have not been described, distinguishing this disorder from serpiginous choroidopathy. Brazitikos and Safran29 believe that the peculiar fundus lesions are the result of tearing and retraction of the retinal pigment epithelium, and possibly Bruch's membrane, followed by atrophy of the choroid and retina. The areas of atrophy bear no relation to the pattern of the retinal vessels. The ERG suggests focal rather than diffuse retinal dysfunction initially at the level of the RPE and later affecting the sensory retina.30 Magnússon,31 who used the term atrophia areata, studied a large pedigree of 26 affected individuals in whom the disorder was inherited as an autosomal dominant trait (Fig. 5). Myopia and astigmatism were usually present, and the visual acuity was extremely poor in later years. Occasionally, the disorder has been called central gyrate atrophy, but this name should be discouraged because of the confusion with gyrate atrophy of the choroid and retina with hyperornithinemia. Serum amino acid levels are normal in helicoidal peripapillary chorioretinal degeneration.31 This clearly dominantly inherited disorder should not be confused with the nonfamilial condition called serpiginous choroidopathy, which has unfortunately been reported in the past (and in some reviews is still classified) under the name geographic helicoid peripapillary choroidopathy.32 PROGRESSIVE BIFOCAL CHORIORETINAL ATROPHY. Progressive bifocal chorioretinal atrophy is a rare autosomal dominant disorder mapped to chromosome 6q33,34 that was first described by Douglas, Waheed, and Wyse35 in a large Scottish family in 1968. Thirty-three of 91 family members were affected. The authors classified the disease into three stages (Fig. 6). Stage 1, which lasts from birth to age 14 years, involves a temporal focus of atrophy of retinal and choroidal tissue in the macula that continues to slowly enlarge with time. The upper, nasal, and lower edges of the temporal lesion are well defined, whereas the temporal edge is serrated and indistinct. Stage 2, which lasts from age 15 years to age 45 years, is associated with a second focus of atrophy nasal to the disc, hence the term bifocal in the name. At the end of this stage, the nasal focus is about three disc diameters in size. Stage 3, which occurs after 45 years of age, is associated with further expansion of the temporal and, especially, the nasal focus, leaving only a vertically oriented one- to two-disc-diameter swath or band of intact retina and choroid extending from the disc to each equator superiorly and inferiorly. Visual acuity was markedly subnormal compared with early years, but no patients lost all vision. All patients had coarse nystagmoid eye movements that precluded measurement of visual fields. Most patients were myopic. The ERG b-wave amplitude was subnormal but not unrecordable by a non-Ganzfeld single-flash technique. SORSBY'S FUNDUS DYSTROPHY. Sorsby's fundus dystrophy (MIM No. 136900), previously called Sorsby's pseudoinflammatory macular dystrophy, is a highly penetrant, autosomal dominantly inherited disorder characterized by a tritan color vision defect, drusen-like subretinal deposits, and pigment epithelial atrophy in younger individuals followed by choroidal neovascularization, hemorrhage, subretinal fibrosis, and choroidal atrophy in later years (Fig. 7).14,36–38 Loss of vision usually commences after the age of 50 years. The disease in late stages progresses to involve the peripheral retina. More recent studies of members of Sorsby's original family demonstrated angioid streaks and yellow plaque-like subretinal deposits, features distinguishing this disorder from dominant drusen.39,40 Visual prognosis is poor because of the tendency of the disease process to involve the macula. The ERG is generally normal except in the most advanced stages when extensive areas of the retina are involved.41 Linkage studies assigned the gene for Sorsby's dystrophy to 22q13-qter.42 Weber et al.43 found mutations in the gene for the tissue inhibitor of metalloproteinase-3 (TIMP3), which is located on the long arm of chromosome 22, in patients with Sorsby's fundus dystrophy. This finding suggests that a defect in maintenance and renewal of Bruch's membrane by the altered gene product is an important underlying pathologic event in Sorsby's fundus dystrophy. SERPIGINOUS CHOROIDOPATHY. Serpiginous choroidopathy, also called serpiginous choroiditis, is a recurrent, progressive, destructive chronic degeneration of the choroid and retinal pigment epithelium that begins around the optic nerve and extends through the posterior pole.44 Unfortunately, some cases of this disorder have been reported under the name geographic helicoid peripapillary choroidopathy, and this has led to confusion with the clearly dominantly inherited genetic disorder first described in Iceland by Sveinsson26 in 1939 as choroiditis areata and subsequently renamed helicoidal peripapillary chorioretinal degeneration.27,28 The etiology of serpiginous choroidopathy is unknown, but the disease is not thought to be genetic. The disease starts as a gray, cream, or greenish discoloration and edema of the retinal pigment epithelium, followed by extension of the lesion, usually away from the disc, in a stepwise fashion (Figs. 8A and 8B). Vitritis is present in one-third of cases. Periods of quiescence or activity can be separated by months to years. Subretinal fibrous scarring, atrophy of the choroid, and hyperpigmentation in adjacent tissues can be prominent features (Figs. 8C and 8D). The prognosis for retention of central vision is poor because the disease process will often involve the macula. Systemic immunosuppression may be effective in prolonging remission and improving the visual outcome.45 Although originally described as separate disorders, serpiginous choroidopathy and geographic choroidopathy are believed by most authors to be variations of a single disease process.32,46–48 Thus, there appear to be two distinct conditions only—serpiginous choroidopathy, which is an acquired nongenetic disorder, and helicoidal peripapillary chorioretinal degeneration (MIM No. 108985), which is a dominantly inherited disorder. CENTRAL GYRATE ATROPHY. Some clinicians have used the term central gyrate atrophy as a label for the fundus appearance of marked total vascular choroidal atrophy in the posterior pole. Central gyrate atrophy appears to not be a distinct entity but probably represents the atrophic changes that can occur in the posterior pole in advanced malignant myopic degeneration, the end stage of serpiginous choroidopathy, or the end stage of helicoidal peripapillary chorioretinal degeneration. Use of the term central gyrate atrophy for such fundus appearances should be avoided because it leads to confusion with the metabolic disorder gyrate atrophy with hyperornithinemia. DIFFUSE CHOROIDAL ATROPHIES Diffuse choriocapillaris atrophies DIFFUSE CHORIOCAPILLARIS ATROPHY. Diffuse choriocapillaris atrophy, also called diffuse choroidal sclerosis and diffuse choroidal angiosclerosis, can be inherited either as an autosomal dominant or, less commonly, as a recessive trait. Certain mutations of the peripherin/RDS gene have also been associated with diffuse choriocapillaris atrophy.18 The disorder is characterized by progressive thinning and loss of choriocapillaris beginning in midlife and resulting in severe loss of vision by later years (Fig. 9). Although the disease in most families is quite consistent among affected individuals, both diffuse and regional central choriocapillaris atrophy have been reported in the same family, suggesting that these two disorders are interrelated.11 Symptoms may include night blindness, loss of central vision, and loss of peripheral vision—the latter feature distinguishing this disorder from the regional form of central choriocapillaris atrophy. Fluorescein angiograms show thinned or absent choriocapillaris with prominent medium and large choroidal vessels throughout the retina. Eventually, mild pigment dispersion and clumping occur in the peripheral retina as the retinal pigment epithelium and overlying retina become affected, but the picture is still dominated by the atrophy of the choroid. The electroretinogram, except in the earliest stages, is usually severely abnormal and eventually becomes unrecordable. The EOG is abnormal early in the disease. DIFFUSE TOTAL VASCULAR CHOROIDAL ATROPHIES. Gyrate atrophy of the choroid and retina with hyperornithinemia from ornithine aminotransferase deficiency. Gyrate atrophy of the choroid and retina (MIM No. 258870) is an autosomal recessive disease that is associated with a 10- to 20-fold elevation of plasma and tissue levels of ornithine.49–52 Vitamin B6 responsive and nonresponsive forms exist. Although the disease is found worldwide, the greatest number of patients, nearly 50% of those reported (all B6 nonresponsive), are of Finnish descent.52 In the first or second decade of life, patients experience night blindness and begin to develop irregular round areas of total vascular choroidal atrophy (Fig. 10A).50 These lesions enlarge and coalesce with time, forming extensive atrophy in the periphery that is associated with constriction of the peripheral visual field (Figs. 10B and 10C). The classic appearance of the fundus is that of a sharp transition from more normal retina to nearly complete atrophy of the choroid and retina (Figs. 11A and 11B).50,53 Central vision may be lost from cystoid macular edema, epiretinal proliferation, or macular involvement in the atrophic process (Figs. 11C and 11D).50 Many patients will develop clinically significant posterior subcapsular cataracts. The ERG and EOG are markedly abnormal from early in the course of the disease.54
The underlying defect of gyrate atrophy involves ornithine aminotransferase (OAT), which is a mitochondrial matrix enzyme that is pyridoxal phosphate dependent. The OAT gene is located at chromosome 10q26. Although the majority of patients have the form of gyrate atrophy that does not respond to vitamin B6 or pyridoxine, some individuals (less than 5%) show partial vitamin B6 responsiveness. This is shown in vitro by an increase in enzyme activity when assayed with additional pyridoxine and in vivo with a 50% reduction of plasma ornithine levels with oral vitamin B6 supplementation.55,56 Histologic abnormalities occur also in muscle (subsarcolemmal deposits in type II muscle fibers) and other tissues (abnormal-appearing mitochondria in liver and iris).57–59 However, the predominant pathology and clinical symptoms occur in the choroid and retina (see elsewhere in these volumes).50,52 The exact mechanism of pathology for the ocular lesions in gyrate atrophy is unknown, but the three major theories are that, secondary to the OAT deficiency: (1) intracellular proline in the retina may be deficient; (2) creatine phosphate stores in the retina and choroid may be deficient, leading to cell dysfunction and cell death; and/or (3) elevated levels of ornithine may be toxic to the retinal pigment epithelium.60 The abnormal muscle inclusions appear to be the result of deficiency of creatine phosphate, but the role of creatine phosphate as an energy store in the eye is currently undefined. The molecular basis of ornithine aminotransferase deficiency has been defined for many patients with gyrate atrophy.61–68 Two mutations of the OAT gene (Leu402-Pro and Arg180Thr) account for nearly all of the Finnish patients with nonpyridoxine-responsive gyrate atrophy.66 Loss of gene function occurs from deletions, insertions, splice site base-pair changes, and missense mutations. The rare pyridoxine-responsive patients with gyrate atrophy are homozygous for the Glu318SLys mutation or heterozygous for either the Val332Met mutation or the Glu318Lys mutation of the OAT gene, with the other allele inactivated by another mutation that may or may not be pyridoxine responsive.62,63,69 CHOROIDEREMIA (CHM)—TAPETOCHOROIDAL DYSTROPHY (TCD). Choroideremia (gene symbol CHM; MIM No. 303100) is an X-linked disorder that is characterized by the onset of night blindness in the first or second decade of life followed by slowly progressive atrophy of the choroid and retina that usually results in legal blindness by midlife and near virtual blindness in later years. The disorder begins with a diffuse atrophic process involving retinal pigment epithelium and choriocapillaris (Figs. 12A, 12B, 12C, and 12D) but eventually results in near total vascular choroidal atrophy (Fig. 13A). The fundus does not show the sharp border or transition area that is characteristically seen with gyrate atrophy. The peripheral visual field is depressed and eventually becomes severely constricted. The ERG and EOG are abnormal early in the course of the disease.
Women who are carriers for choroideremia will nearly always show evidence of this on examination with patchy mottling and atrophy of the fundus with hyperpigmentation (Figs. 13B, 13C, and 13D). Random inactivation of one of the two X chromosomes, also called lyonization, results in the expression of the defect in a certain population of a carrier woman's retinal and choroidal cells, causing the carrier manifestations. These changes can occur in a patchy distribution throughout the fundus. Usually, carrier women are asymptomatic or, at most, experience only mild symptoms of poor night vision or pericentral scotomas, if the changes affect the posterior pole. Uncommonly, the carrier manifestations may cause considerable visual impairment, if the macular regions are involved. Histology has showed patchy loss of choroid, pigment epithelium, and photoreceptor outer segments, with abrupt transition from normal to abnormal areas.70 More diffuse abnormalities of the retinal pigment epithelium have been found throughout the fundus, suggesting that the defect may have a primary effect on this tissue. The gene for choroideremia had been localized by linkage studies to Xq21.2 and has been found to encode a gene product, Rab escort protein-1 (REP-1),71 previously referred to as component A of Rab geranylgeranyl transferase (also called the CHM protein).72–74 REP-1 is involved in geranylgeranylation, which is the post-translational process of insertion of hydrophobic lipid side chains onto proteins to help them attach to membranes and to help them interact with other proteins.71,75 The gene for another similar protein, REP-2 (also called CHML protein), was subsequently found to be on the long arm of chromosome 1.76,77 The gene products of both are widespread throughout the body, but REP-1 appears necessary for the prenylation of a specific subset of Rab proteins essential for the retina and is the protein that is defective in choroideremia. Exactly how deficiency of REP-1 results in degeneration of the choroid is unknown, but loss of this protein would be expected to disrupt intracellular cycling of proteins between cytosol and membranes.71,75 A single point mutation (insertion of a T within a splice donor site of the intron downstream of exon C, changing the normal sequence of AGgtaag to AGgttaag) accounts for one-fifth of the world's population of patients with choroideremia.78 Five other point mutations have been reported, each of which results in the occurrence of a stop codon that leads to a truncated gene product.79 Deletions of the CHM gene account for approximately 12% of cases.78 LONG-CHAIN 3-HYDROXYACYL-COA DEHYDROGENASE (LCHAD) DEFICIENCY. LCHAD deficiency is a recently described autosomal recessive disorder of mitochondrial fatty acid β-oxidation in which neonates or infants present with a Reye-like syndrome, cardiomyopathy, life-threatening episodes of hypoketotic hypoglycemia and cardiorespiratory arrest.80 Up to 90% of individuals share the same G1528C allele in the LCHAD gene.81 Patients can have recurrent muscle cramps with rhabdomyolysis during acute illnesses and can develop peripheral neuropathy. At least half, if not the majority, of the patients who survive infancy develop a severe, debilitating atrophy of the choroid and retina.82 The fundus and ERG may be normal at birth (Stage 1). Soon, however, pigment dispersion occurs in the RPE (Stage 2), followed by circumscribed chorioretinal atrophy, occlusion of choroidal vessels with accompanying reductions in acuity, visual field, and ERG amplitudes (Stage 3). Eventually, the posterior pole undergoes near total vascular choroidal atrophy (Fig. 14); however, the peripheral fundus is usually relatively spared. Finally, posterior staphylomas may develop (Stage 4). Cataract and progressive axial myopia are also features.82,83 Histopathologically, diffuse choroidal atrophy with loss of the choriocapillaris is seen, suggesting a primary fault at the level of the RPE and choriocapillaris with a secondary macrophage response.84 Dietary management of the disease involves avoidance of fasting, a high-carbohydrate diet, limitation of dietary long chain fatty acid intake, and supplementation of the diet with medium-chain triglycerides.85 The cause of the chorioretinal atrophy is unknown but may be the result of chronic damage to the retinal pigment epithelium and subsequently the choroid by the accumulation of toxic long-chain 3-hydroxyl fatty acids and/or acylcarnitines.85
|
| ADVANCED-STAGE RETINAL DEGENERATIONS |
RETINITIS PIGMENTOSA Advanced retinitis pigmentosa can lead to secondary atrophy of the choroid similar to that seen with primary choroidal dystrophies, such as choroideremia. Although many forms of retinitis pigmentosa can show such choroidal atrophy in older years, a specific form that can result in such a fundus appearance is advanced disease from the Pro→His mutation of the 23rd codon of the rhodopsin gene (Fig. 15).86–91 CONE AND CONE-ROD DYSTROPHIES Cone and cone-rod retinal dystrophies usually present with a normal-appearing macula, macular pigment epithelial defects, or a bull's-eye maculopathy.92–94 Advanced cone or cone-rod dystrophies can produce an atrophic appearance to the macula and posterior pole.92 Bardet-Biedl syndrome is associated with a cone-rod retinal dystrophy that often leads to marked atrophic lesions within the macular region (Fig. 16).91,93,95–99 |
| END-STAGE MACULAR DYSTROPHIES | ||
STARGARDT'S MACULAR DYSTROPHY Stargardt's macular dystrophy (MIM No. 248200, 153900) is a heritable disease that usually presents within the first 2 decades of life as a reduction of visual acuity followed by the appearance of typical pisciform yellow-white deep-retinal lesions surrounding the macula. Although the inheritance is usually autosomal recessive, rare families have been reported with autosomal dominant inheritance,100–102 and the phenotype can even be seen with mutations of peripherin/RDS103,104 and mitochondrial DNA.105 Mutations in at least four genes are associated with the Stargardt's phenotype.103 The autosomal recessive form has been linked to markers on the short arm of chromosome 1.106 In 1997, the gene for autosomal recessive Stargardt's dystrophy was found to be ABCA4,107 the product of which is essential for transport of a reactive metabolite of retinal out of the rod photoreceptor outer segments, leading to accumulation of toxic levels of A2-E within the retinal pigment epithelium.108,109 The phenotype of ABCA4 mutations can be Stargardt's macular dystrophy, fundus flavimaculatus, cone-rod dystrophy, or retinitis pigmentosa, depending upon the mutations involved.110,111 Also, mutations in ABCA4 may contribute to the risk of age-related macular degeneration.112 Autosomal dominant Stargardt's macular dystrophy was linked to chromosome 6q102,113 and results from mutation of the gene ELOVL4.114 The advanced stages of Stargardt's macular dystrophy can appear as a regional partial atrophy of choroid and retina in the posterior pole (Fig. 17).93 Although the ERG is usually normal in the early to middle course of typical autosomal recessive Stargardt's macular dystrophy, the ERG is often abnormal by the advanced stage of disease, as shown in Figure 17. BEST'S VITELLIFORM MACULAR DYSTROPHY Best's vitelliform macular dystrophy (VMD2; MIM No. 153700) is an autosomal macular dystrophy that usually presents early in life with dome-shaped yellowish macular lesions that eventually partially resorb, develop scarring, or are replaced by choroidal atrophy, which, if extensive, can simulate choroidal sclerosis (Fig. 18).6,115–117 The ERG in Best's macular dystrophy is normal, but the EOG shows a diagnostic pattern of subnormal, slow oscillations and normal, fast oscillations of the resting potential.8 The gene for Best's disease has been linked to chromosome 11q13.118 The gene, VMD2, has been discovered119 and its product, bestrophin, appears to be a member of a new family of chloride channels that is important for generation of the light rise of the electrooculogram.120,121
PATTERN MACULAR DYSTROPHY Pattern macular dystrophy (MIM No. 169150) is an autosomal dominant, extremely variable disorder that involves presumed accumulation of lipofuscin within retinal pigment epithelium with subsequent cell degeneration and secondary choriocapillaris loss. The lesions often begin in middle life and can be associated with mild to moderate visual acuity loss.116,122–124 Pattern dystrophy can, in late stages, produce an atrophic macular lesion that resembles central areolar choroidal atrophy (Fig. 19).122 Juvenile X-Linked Retinoschisis X-linked retinoschisis (MIM No. 312700) is believed to be a disorder of Müller's cells that results in a splitting of the retina with either flat or bullous elevation of the inner layer. Outer layer retinal holes or breaks can occur, predisposing to retinal detachment. Virtually all patients have macular or foveal retinoschisis, even in the absence of peripheral schisis. After several decades, the typical cartwheel appearance of the foveal schisis fades and is replaced by a more atrophic, nondistinct macular appearance. In late stages, atrophic lesions of the central macula can occur that mimic central choroidal atrophy.125 The electroretinogram is markedly abnormal, showing a normal a-wave and markedly subnormal b-wave, the so-called electronegative ERG configuration.9,10,126,127 Although the electroretinogram is a key test for the condition, a normal scotopic b-wave has been noted in molecularly confirmed X-linked retinoschisis, suggesting that an ERG cannot be relied upon solely to exclude the diagnosis.128 The gene for X-linked retinoschisis, RS1, resides at Xp22.13.129 Although its expression is limited to the photoreceptors, the gene product, retinoschisin, is secreted into the inner retina.130 North Carolina Macular Dystrophy North Carolina macular dystrophy (MCDR1; MIM No. 136550) is an autosomal dominantly inherited dystrophy that has been recently mapped to the long arm of chromosome 6.131 The expression varies considerably and ranges from only central drusen or confluent drusen to macular atrophy and staphyloma. Choroidal neovascularization is a rare complication (Fig. 20). Although termed dystrophy, the lesions are present at birth and appear nonprogressive.132 This dystrophy has been reported under several names, including dominant macular dystrophy of Lefler-Wadsworth-Sidbury,133 dominant progressive foveal dystrophy,134 and central areolar pigment epithelial dystrophy.135 Gass136 renamed the disorder North Carolina macular dystrophy because of the strong founder effect linking many of the North American families. Recently, an identical ocular phenotype associated with sensorineural hearing loss has been mapped to chromosome 14.137
|
| PERIPHERIN/RDS |
| The mouse model of retinal degeneration slow (RDS) is caused by a defect involving the gene for an outer segment photoreceptor glycoprotein called peripherin/RDS (MIM No. 179605),138 which is involved as an adhesion molecule in the formation and stability of photoreceptor outer segment discs.139 The human homologue of this gene is located on the short arm of chromosome 6.140 Mutations of the peripherin/RDS gene cause autosomal dominant disease that can be expressed as retinitis pigmentosa,141,142 pattern macular dystrophy,16,143 or a fundus flavimaculatus-like picture.104 In the late stage of disease, extensive atrophy of the pigment epithelium and choriocapillaris has been observed in association with several mutations of the peripherin/RDS gene. Central choriocapillaris atrophy similar to central areolar choroidal dystrophy has been reported with the Arg172Trp mutation (Fig. 21)16,17 and the Lys193-del mutation18 of peripherin/RDS (latter mutation designation revised to codon 193[2 bp del]→FS216ter).144 Diffuse choriocapillaris atrophy (Fig. 22) similar to diffuse choroidal sclerosis was reported with the Met67del mutation of peripherin/RDS18 (mutation later revised to codons 67–69[5 bp del/8 bp ins]→Met67Arg, Gly68His, and Arg ins at position 69).144 Extensive regional partial atrophy of the choroid of the posterior pole was seen in a woman with adult-onset retinitis pigmentosa from deletion of either codon 153 or 154 of the peripherin/RDS gene (Fig. 23).104 |
| DISORDERS WITH ANGIOID STREAKS |
PSEUDOXANTHOMA ELASTICUM Pseudoxanthoma elasticum (PXE; MIM No. 177850, 264800) is a genetic disorder of elastin characterized by skin, ocular, and systemic findings. Both autosomal recessive and autosomal dominant forms exist, both of which can be caused by mutations of the ABC transporter gene ABCC6.145–147 The term peau d'orange has been used to describe both the skin lesions, which appear like the skin of a plucked chicken and the early ocular fundus appearance, which demonstrates irregular patches (usually temporal to the macula) of mottled retinal pigment epithelium with a myriad of tiny orange dots deep within the retina. Breaks in Bruch's membrane occur and expand, forming the characteristic angioid streak.148,149 Systemic hypertension, intestinal bleeding, and significant cardiovascular disease can develop. Patients may experience metamorphopsia in the fourth to fifth decades from development of angioid streaks that run through the macular regions. Loss of vision can occur from the development of subretinal neovascularization with pigment epithelial detachment or hemorrhage or secondary atrophy. In later years, the angioid streaks become less distinct and the posterior pole becomes involved in diffuse atrophy of pigment epithelium and choriocapillaris (Fig. 24). OTHER DISEASES WITH ANGIOID STREAKS Although PXE is by far the most common system disorder associated with angioid streaks, these streaks can be seen with Paget's disease (osteitis deformans), hemochromatosis, thalassemia, sickle hemoglobinopathies, and a host of less common entities.148–150 Myopic Choroidal Atrophy High myopic degeneration is associated with stretching and thinning of the retinal pigment epithelium.151 Lacquer cracks may occur and appear similar to angioid streaks (Fig. 25A). Round atrophic “coin” lesions develop, enlarge, and coalesce. Degenerative high myopia can produce atrophic macular lesions in later years with secondary atrophy of the choroid and retina in the posterior pole (Figs. 25B and 25C).
|
| SECONDARY ATROPHIES | |
TRAUMATIC CHOROIDAL ATROPHY Blunt trauma to the globe may produce rupture of the choroid resulting in distinctive crescent-shaped choroidal atrophy (Fig. 26). Unfortunately, these lesions often transect the macular region, destroying central acuity.152 Subretinal neovascularization and chorioretinal anastomosis may occur as sequelae.153,154 Photocoagulation for such neovascularization is controversial but has been successful in some cases.155 Another hallmark of severe ocular contusion is traumatic chorioretinal rupture, also called chorioretinitis sclopetaria, which is characterized by extensive rupture or tearing of choroid and retina.156–158 Sclopetaria occurs most frequently when a high-velocity missile strikes or passes adjacent to, but does not penetrate, the globe. Repair often involves the formation of proliferative scar tissue within the region of injury with surrounding hyperpigmentation. INFECTION Rubella Rubella retinitis is occasionally associated with significant secondary chorioretinal atrophy (Fig. 27).
Usually, the other features of congenital rubella (deafness, cataracts, and “salt and pepper” retinopathy) are present and aid in the diagnosis.159 Juvenile-onset glaucoma can develop.160 Rubella retinopathy is believed to be an ongoing disease capable of developing subretinal neovascularization, greater pigment epithelial mottling, and progressive retinal changes, including choroidal atrophy.161–163 Other Infectious or Inflammatory Diseases Herpes and cytomegalovirus infections of the retina, after resolution of the inflammatory stage, can result in marked loss of retina and choroid. Here the appearance early in the course of the disease is diagnostic. Syphilitic retinal infections, both congenital and acquired, can include significant components of atrophy of the choroid and retina (Fig. 28).91,164–166 |
| GLAUCOMA |
| Peripapillary chorioretinal atrophy can occur in glaucoma but it remains controversial whether it is more frequent in those with normal tension glaucoma.167 Because of the history of chronic glaucoma and advanced disc cupping, differentiation from other causes of choroidal atrophy is usually not difficult. |
| DRUG TOXICITY |
THIORIDAZINE (MELLARIL) Thioridazine (Mellaril) is a phenothiazine that, because of the presence of a piperidyl group on the molecule, has a distinct retinal toxicity in high doses given over prolonged periods. Early, the retina is mottled and the toxic changes can be confused with retinitis pigmentosa and other pigmentary retinopathies. Late in the stage of the disorder, marked choroidal atrophy results in a fundus appearance that resembles a widespread, if not patchy, choroidal atrophy, at times similar to choroideremia (Fig. 29).91,168–171 |
| TREATMENT |
ANGIOID STREAKS Pseudoxanthoma elasticum (PXE) may be associated with the growth of new choroidal vessels through cracks in Bruch's membrane, known as angioid streaks. Because of the tendency of Bruch's membrane in PXE to fragment, laser photocoagulation of choroidal neovascularization may be followed by recurrence. Nevertheless, successful laser can eradicate the subretinal neovascularization in some patients.172 Treatment close to the fovea is to be avoided because the growth of treatment scars will envelop the macula, resulting in further loss of vision. DEGENERATIVE MYOPIA Many treatments have been advocated for degenerative or high myopia, including various surgical procedures, the most notable of which are scleral or fascial slings. Although atropinization during childhood has advocates who believe that this form of therapy may slow down the progression of simple myopia,173 this treatment is far from universally accepted, and most would agree that it has no role to play in the management of degenerative or high degrees of myopia. Scleral reinforcement with strips of tendon, fascia lata, or sclera has been claimed to slow or halt progression and actually improve myopia and acuity in some.174–178 However, this form of therapy is extremely controversial and benefit has yet to be proved by an appropriately designed prospective, randomized, controlled study. GYRATE ATROPHY OF CHOROID AND RETINA B6-Responsive Gyrate Atrophy The defective enzyme, ornithine aminotransferase, in gyrate atrophy of the choroid and retina uses pyridoxal phosphate as its cofactor. Moderately large doses of supplemental vitamin B6 have been associated with reductions of serum or plasma ornithine levels by half.55,56,179 Whether such incomplete improvement is beneficial in the long term is unknown, but short-term improvement has been noted in a few patients.180 There is no rational basis to give vitamin B6 to patients with gyrate atrophy who have not been shown to respond to pyridoxine in vivo or in vitro. B6-Nonresponsive Gyrate Atrophy Extreme reduction of dietary arginine, the precursor of ornithine, through protein restriction has resulted in normal or near normal ornithine levels in B6-nonresponsive patients with gyrate atrophy. Short-term improvement and long-term slowing of progression have been reported when the ornithine level is returned to normal or near normal.181,182 Berson et al.183 have documented continued progression when lesser degrees of reduction of ornithine levels are achieved. Achievement of such low levels requires such extreme reduction of dietary protein that negative nitrogen balance is a major concern, and these diets should be used only under close metabolic monitoring. Creatine supplementation decreases the tubular aggregates in type II muscle fibers but does not appear to slow or halt the chorioretinal disease.184,185 |
| CONCLUSION |
| Many disease processes, both primary and secondary, can result in degeneration
and atrophy of choroidal structures. The determination of as specific
a diagnosis as possible is essential for optimal patient care. Many
forms of acquired choroidal atrophy, such as those due to thioridazine
toxicity and atrophies secondary to infectious processes, such
as syphilis, can often be prevented or successfully managed with specific
treatment. The correct specific diagnosis for the inherited types
of choroidal atrophy allows for better prognostic and genetic counseling. Gene
therapy offers hope for successful treatment of hereditary forms
of choroidal atrophy. Such genetic therapies may involve replacement
of defective genes (for recessive and X-linked null mutations), production
of antisense messages that block translation
of missense RNA (for dominant mutations and mutations
where the gene product is damaging to cell function or health), modification
of gene expression and regulation, and alteration of the metabolic
defects through diet or supplementation. Funded in part by research grants from The National Foundation Fighting Blindness and from Research to Prevent Blindness. |