Chapter 87
Management of Orbital Trauma
Mami Aiello Iwamoto and Nicholas T. Iliff
Main Menu   Table Of Contents

Search

INITIAL ASSESSMENT
TRAUMATIC OPTIC NEUROPATHY
MANAGEMENT OF TRAUMATIC OPTIC NEUROPATHIES
ORBITAL HEMORRHAGE
MANAGEMENT OF ORBITAL HEMORRHAGE
ORBITAL BLOWOUT FRACTURES
MEDIAL WALL FRACTURES
ROOF FRACTURES
COMPLEX ORBITAL FRACTURES
ORBITAL FOREIGN BODIES
REFERENCES

Trauma to the orbits may be blunt or penetrating in nature and can result in injury to the bone or soft tissue. The size, composition, and velocity of the object inflicting trauma, the direction, and point of impact affect the severity and type of injury. This chapter discusses a method for evaluating a patient with orbital trauma and the specific diagnosis and management of traumatic optic neuropathy, orbital hematoma, bony orbital injury, and orbital foreign bodies.
Back to Top
INITIAL ASSESSMENT
Intraocular injuries occur in up to 67% of patients with maxillofacial trauma.1 In the United States, perforating globe injury occurs in 35% of patients with ocular trauma that requires hospitalization.2 Therefore, in evaluating orbital trauma, one should have a high index of suspicion for concomitant vision-threatening ocular complications, such as globe rupture, or indirect structural damage to the anterior segment, posterior segment, or optic nerve. The history and examination should be directed to identifying the extent of injury. Inquiry into the circumstances of the trauma will elucidate the mechanism of injury and help to direct the examination and diagnostic procedures toward the establishment of a diagnosis and formulation of a management plan. Depending upon the size of an object relative to the bony orbit, the force from the impact may be dissipated more over the orbital soft tissue or along the bone. Smaller objects traveling at relatively high velocity may result in penetrating injury and potentially a retained orbital foreign body. Denser, less forgiving objects will not absorb an impact's kinetic force, which will then be transmitted more directly to the orbital structures. Trajectory of the object and point of impact will predict the structure that will most likely incur the brunt of the impact. Although generally well protected by the bony orbit, the globe may be injured, and coexisting intraocular injuries must be identified and managed accordingly.

Knowledge of orbital and periorbital anatomy is the basis for appreciating the significance of symptoms and clinical findings. If there is a report of decreased vision, ocular injury must be ruled out. If there is no evidence of intraocular injury, trauma to the optic nerve must be considered. Diplopia following orbital fracture may result from direct injury to, or incarceration of, an extraocular muscle, nerve injury to the extraocular muscle, or from the mass effect of orbital hemorrhage causing globe dystopia. Acute proptosis may be indicative of mass effect, such as with a hemorrhage, edema, or emphysema, or due to bone displacement into the orbit associated with fractures. Infraorbital hypesthesia suggests infraorbital nerve trauma as with some orbital floor fractures. Acute epiphora may indicate injury to the lacrimal system with medial canthal or nasoethmoidal trauma. Rhinorrhea should raise suspicion for cerebrospinal fluid leak in roof fractures.

The eye should be examined with minimal manipulation until the integrity of the globe is established. Visual acuity, pupillary examination, and color vision testing using Hardy-Rand-Rittler (HRR) or Ishihara pseudoisochromatic plates help to determine the optic nerve function. The adnexal and periocular structures should be examined carefully for potentially subtle foreign body penetration sites that may leave only minor external wounds. The orbital rims should be palpated to detect bone contour deformities, such as a step-off. Hyphema needs to be identified because this represents a relative contraindication for orbital surgery due to the potentially increased risk of complications from rebleeding. A delay of at least 1 week after the clearing of the anterior chamber should be considered. A dilated fundus examination can determine presence of lenticular trauma, retinal detachment, or intraocular foreign bodies. Such findings as sector retinal contusion or retinitis sclopeteria may indicate an occult intraorbital foreign body.

Computed tomographic (CT) scan of the orbits is the radiologic study of choice for further evaluating orbital trauma and detecting foreign bodies. High quality axial and coronal views are recommended. The newer spiral multi-detector CT scans provide more rapid image acquisition, improved image resolution, and flexibility to reformat coronal or sagittal views without having to reposition the patient. Three-dimensional reconstructions of digitized CT scan images may facilitate the assessment of complex orbital fractures but are limitedin evaluating isolated orbital floor fractures, since image artifact from reconstructing relatively thin bone of the orbital floor may obscure the detail of the actual bony defect. CT scans, in general, are more helpful than magnetic resonance imaging (MRI) for visualizing bone. In addition, MRI is contraindicated if a ferromagnetic metallic foreign body is suspected.

Back to Top
TRAUMATIC OPTIC NEUROPATHY
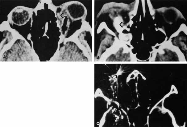
Traumatic optic neuropathy is estimated to occur in 4% of midfacial, supraorbital, or frontal sinus fractures1 and, therefore, should be suspected when there is decreased vision following orbital trauma in absence of globe injury. There will be a relative afferent papillary defect and evidence of orbital soft tissue injury. Visual acuity, afferent pupillary defects, visual fields, and color vision should be ascertained when possible. When damage occurs in the intraorbital portion of the optic nerve, the appearance of the fundus may resemble a central retinal artery or vein occlusion and vitreous, subhyaloid, or retinal hemorrhages may be found radiating from the optic disc.3,4 However, with more posterior damage, the optic disc acutely may appear normal. An orbital CT scan should be obtained with axial and coronal views to assess the integrity of the optic nerve and the presence of an optic nerve sheath hematoma, orbital hemorrhage, or fracture (Fig. 1). The radiologic finding of optic canal fractures may be subtle, and blood in the posterior ethmoid sinus may be the only indication of a fracture with intracanalicular extension.

Fig. 1 CT scan of a fragment of bone extending into the optic canal (arrow).

The optic nerve is susceptible to damage from three different mechanisms. Direct damage to the nerve from penetrating wounds causing avulsion, laceration, or impingement, such as by a fracture fragment, may present with immediate visual loss and carries a relatively poor prognosis for visual recovery.5–9 Perfusion of the optic nerve may be compromised in a type of “compartment syndrome,” where the confined intracanalicular portion of the optic nerve develops edema or hemorrhage.10 Onset of vision loss relative to the trauma may be slightly delayed, reflecting a progressive compressive etiology. The latter mechanism is most commonly found with injuries involving a blow to the frontal region.5,11 Holographic studies have suggested that force applied to the facial eminences can be transmitted to the optic foramen, with subsequent traction and shearing forces applied to the optic nerve and small nutrient vessels.6 A third mechanism of optic nerve injury is from rapid deceleration. The orbital portion of the optic nerve can sustain forward movement, but the intracanalicular portion is relatively fixed at the optic canal foramen, and the traction may result in hemorrhage from feeder vessel shearing, edema, or contusion necrosis.8 If traumatic optic neuropathy is suspected in the setting of coexisting orbital wall fracture, treatment of the latter should be delayed until after the optic nerve injury has been addressed.

Back to Top
MANAGEMENT OF TRAUMATIC OPTIC NEUROPATHIES
Management of traumatic optic neuropathy remains controversial. Intervention is advocated in suspected optic nerve trauma, unless there is clear evidence of an irreversible condition, such as optic nerve avulsion. Although spontaneous visual recovery has been reported,3,12,13 treatment with high-dose corticosteroids or surgical decompression represent viable options. Intravenous corticosteroids may be beneficial in treating traumatic optic neuropathy.10,14–16 The recommendations are based upon spinal cord injury treatment studies. The rationale for high-dose steroid use is based on the hypothesis that significant central nervous system trauma initiates free radial damage, which is inhibited by the corticosteroids.17,18 In spinal cord injuries, steroids should be administered within 8 hours of injury to be efficacious.19 A loading dose of methylprednisolone 30 mg/kg intravenously, followed by 15 mg/kg administered 2 hours later, and then 15 mg/kg every 6 hours is recommended.7 If visual function improves within 24 hours, the steroid doses are continued for an additional 5 days, then tapered rapidly. When no improvement occurs within 48 to 72 hours, steroid administration is discontinued without a tapering dose.14 Some authors advocate decompression of the optic canal if a trial of high-dose steroids does not produce a favorable response.14,20,21 Surgery has been advocated based on the rationale that decompression may reduce the compressive effect of hemorrhage, edema, or bone fragments. Transantral-ethmoidal,5,22 transethmoidal,23–25 transorbital,26 and modified frontal craniotomy27 approaches have been described. The relative benefits of steroid therapy and surgery for traumatic optic neuropathy are still quite controversial, and randomized, controlled clinical trials comparing no treatment, high-dose steroids, and specific surgical decompression are still needed to determine the best course of treatment.
Back to Top
ORBITAL HEMORRHAGE
Hemorrhage can be localized to the subperiosteal potential space, extraconally, or intraconally within the orbital soft tissue, or within the belly of extraocular muscles. The condition can be associated with pain, nausea, diplopia, or decreased vision. The more obvious finding might be lid ecchymosis and edema but requires further examination for retroseptal signs. There may be conjunctival chemosis or expanding ecchymosis. Clinical findings reflect the mass effect of accumulating blood within the confines of the bony orbit and orbital septum (Fig. 2). Subperiosteal hematomas are usually restricted by the tight adherence of the periosteum to the orbital bone except in areas, such as suture sites, where this association is weakest. Hemorrhage localized to the muscle sheath may cause selective extraocular muscle restriction that requires radiologic studies to distinguish it from incarceration into a fracture site (Fig. 3). Localized bleeds within the orbital soft tissue can produce proptosis or dystopia. Diffuse hemorrhage may limit eye movement globally and increase retropulsive resistance. Increased intraorbital pressure on the globe and optic nerve may cause elevated intraocular pressure, choroidal folds, compressive retinal vascular compromise, or optic neuropathy, so maintaining vigilance for progressive, potential, vision-threatening situations is important.

Fig. 2 Proptosis, ecchymosis, and chemosis resulting from orbital hemorrhage.

Fig. 3 CT scan of inferior orbital hematoma (X) involving the inferior rectus muscle and causing severe upgaze and moderate downgaze limitation.

Back to Top
MANAGEMENT OF ORBITAL HEMORRHAGE
Orbital hemorrhages often resolve spontaneously without sequelae. However, if the hemorrhage is severe or progressive, it is important to identify the potential for vision-threatening central retinal artery occlusion by closely monitoring visual acuity, pupillary response, color vision, intraocular pressure, and retinal perfusion. The retinal perfusion may be inadequate if spontaneous pulsations of retinal arteries are present or are induced by applying minimal external globe pressure. Since perfusion compromise can result from either excessive elevation in intraorbital or intraocular pressures, both aspects are addressed. Intraocular pressure-lowering topical agents can be administered to lessen resistance to retinal arteriolar filling. If this is inadequate, the restriction and mechanical compression of the orbit from tight eyelids can be relieved by performing a lateral canthotomy, advancing to cantholysis if necessary. Intraocular pressure can be further diminished with an anterior chamber paracentesis, if vascular compromise remains imminent in spite of the other interventions.

Lateral canthotomy and cantholysis can be performed in a treatment room. Local anesthesia of 2% xylocaine with 1:100,000 epinephrine is injected in the lateral canthal area. The proposed incision extends horizontally from the lateral canthal angle, beyond the lateral fornix, to the level of the lateral orbital rim. This can be performed with a Stevens scissors alone, or, if cautery is not readily available, a straight clamp can be positioned in the proposed area and clamped for 10 seconds to provide hemostasis prior to making the incision with the scissors. Often this maneuver allows enough widening of the palpebral fissure to relieve orbital pressure. When this maneuver alone is ineffective, a lateral cantholysis is performed by positioning the Stevens scissors perpendicular to the canthotomy incision and releasing the lateral canthal ligament fibers in the lateral aspect of the upper and lower lids along their attachments to the rim (Fig. 4).28 Additional decompression of the orbit rarely becomes necessary and would best be managed under general anesthesia with the intent to explore the orbit for the mechanism of active bleeding with possible bony decompression of the lateral wall.

Fig. 4 Lateral cantholysis is accomplished by making a vertical incision through the lateral canthal ligament.

Back to Top
ORBITAL BLOWOUT FRACTURES
Orbital floor, or blowout, fractures are common sequelae of blunt trauma and refer to fractures of the orbital floor that are not associated with fractures of the orbital rim. These fractures are induced by two possible mechanisms. The hydraulic theory suggests that blunt impact causes an increase in orbital pressure and the compression force is transmitted to the orbital walls, resulting in fracture of the weaker posterior floor region.29 The buckling theory suggests a direct impact onto the inferior orbital rim transmits force and results in a compressive fracture of the floor.30

This type of injury should be suspected when there is a blunt impact by an object usually larger than the span of the orbital rims. There is often pain at the impact site, enophthalmos, diplopia on upgaze, or infraorbital nerve dysesthesia. Often there is lid edema and ecchymosis, but a relatively atraumatic “white-eyed” appearance may be a more typical presentation in children.31 A CT scan with coronal views delineates the fracture size and degree of displacement as well as the associated soft tissue damage, such as prolapse of orbital fat or injury to the inferior rectus muscle.

MANAGEMENT OF BLOWOUT FRACTURES

Over the last 4 decades, the two issues central to management controversies have been the indications and the ideal timing for surgical intervention. Current guidelines are derived from reviews of numerous retrospective and noncomparative reports in the literature.32–35 A 1982 survey conducted among members of the American Society of Ophthalmic Plastic and Reconstructive Surgery reflects the absence of consensus in management approaches.36 Two-thirds of the 102 respondents were operating within 2 weeks of injury, one-third were operating 2 to 6 weeks after injury, and 2% were observing for 4 to 6 months. In brief, the advocates of early surgery37 (within 2 weeks after injury) claim that in the acute setting, less scarring is encountered and dissection and repositioning of the prolapsed tissue is easier. Indeed, others believe that with even earlier surgery (within days of injury), almost no scarring is noted. However, advocates of the conservative approach argue that waiting for spontaneous resolution of symptoms might obviate the need for surgery, which has potential morbidity.38 There is mounting evidence that early surgery gives better results than late. It has been demonstrated in a randomized prospective study that in patients with strabismus following blowout fracture, surgery within 72 hours produces a better extraocular motility outcome than if the surgery is performed after 10 days.39 A waiting period of up to 14 days may no longer be appropriate. The decision, based on CT scan and clinical findings as to whether or not to operate, can be made within day 1 or 2 of injury in nearly all cases.

Fractures resulting in trapdoor incarceration of soft tissue and those generating an oculocardiac reflex are conditions warranting urgent surgical intervention, ideally within hours of injury. Trapdoor entrapment fractures occur more often in children, as their more flexible bone will fracture then bend back and incarcerate soft tissue and risk ischemic damage (Fig. 5 and 6). Morbidity results if there is a muscular or perimuscular soft tissue entrapment and earlier repair appears to yield better outcomes.40 Urgent intervention is also indicated if there is persistent oculocardiac reflex40,41 or when soft tissue entrapment in the fracture induces vagal symptoms of nausea, vomiting, syncope and possibly heart block.

Fig. 5 Right blowout fracture with prolapse of tissue into the fracture, causing limitation of upgaze.

Fig. 6 CT scan of trapdoor floor fracture. The inferior rectus is seen in the maxillary sinus (arrow). The fractured portion of the orbital floor has returned nearly to its original position.

In general, surgical intervention is intended to minimize the development of enophthalmos and to maximize the improvement in extraocular motility (Fig. 7). Early intervention is advocated if there is significant globe displacement from large fractures. One extreme scenario is that of globe prolapse into the maxillary sinus.42,43 Surgery should be strongly considered for fractures occupying greater than 50% of the floor or if a fracture less than 50% of the floor is associated with a concomitant medial wall fracture.44–47 Such fractures have a high potential for inducing enophthalmos or causing diplopia. Fractures located along the posterior floor and greater than 20 mm from the rim may be more likely to result in residual diplopia and may also be indications for earlier repair.48

Fig. 7 An untreated blowout fracture resulting in significant right enophthalmos and hypophthalmos.

TREATMENT OF ORBITAL BLOWOUT FRACTURES

General anesthesia is recommended. Forced ductions are performed to delineate the degree of restriction. The globe should be protected with a scleral shell. A transconjunctival forniceal incision, subciliary incision, or preexisting lacerations can be used. A transconjunctival incision can be created in the fornix on to the rim or in the infratarsal region. An infratarsal incision with dissection directed anterior to the septum then inferiorly onto the rim will keep the orbital fat out of the operative field. However, risk of midlamellar scarring with resultant lid position problems is higher with this approach than with the forniceal approach. The infratarsal incision is also more time-consuming. A broad malleable retractor is placed in the cul-de-sac while the lid is retracted anteriorly with a Desmarres retractor. This maneuver stretches the conjunctiva over the inferior rim. A monopolar cautery with a fine needle tip allows a rapid dissection through the conjunctiva and periosteum of the rim. The periosteum is then elevated with a Freer periosteal elevator, moving posteriorly along the orbital floor to expose the anterior fracture site, then the medial and lateral extent of the injury, before attempts are made to reposition herniated tissue. The location of the infraorbital nerve and fissure along the orbital floor should be identified to avoid damage (Fig. 8). Prolapsed tissue is lifted gently from the fracture in a hand-over-hand manner with the use of periosteal elevator to free the soft tissue and a malleable retractor to hold the tissue. Loose bone fragments may be removed. If the fracture must be expanded to facilitate tissue release, a needle holder, sphenoid punch, or small rongeurs can be used to remove additional bone. After the tissue has been re-placed into the orbit, a floor implant is cut to cover the defect. The distance from the orbital rim to the optic foramen can vary from 45 to 55 mm. In designing and positioning the implant, the posterior extent of the material must be considered. After the implant is placed over the defect, tissue must be freed from around the edges of the implant to avoid incarceration. The implant is secured to the floor with a single titanium screw (Fig. 9). A variety of implant materials are available, such as silicone, nylon, porous polyethylene, gelatin film, bioactive glass, fascia lata, polygalactate-absorbable implants or bone. Thickness, rigidity, biocompatibility, accessibility, and cost may influence the choice of materials. Nylon sheets of 0.6 mm thickness provide excellent support with minimal risk of vertical overcorrection. Thin porous polyethylene plate is also an excellent implant for floor and medial wall defects (Fig. 10). If the entire orbital floor is absent, a titanium plate may be customized to the orbit and secured to the orbital rim with titanium screws. Forced ductions are repeated following implant placement to check that there is no incarceration of tissue at the edges of the implant. Before closure, the operative site is irrigated with antibiotic solution.

Fig. 8 Infraorbital nerve (arrow) spanning a fracture of the orbital floor.

Fig. 9 A titanium microscrew secures the orbital floor plate.

Fig. 10 Medpor (Porex, Inc.) Barrier Plate is high density porous polyethylene that has gained popularity as an implant material for floor and medial wall fractures. A smooth “barrier” surface limits restrictive fibrosis.

Patients are routinely admitted and tested periodically for brisk light perception through the closed lid under the patch. Visual acuity, pupillary reaction, and color vision are tested before discharge. Systemic antibiotics are administered for 5 to 7 days. Perioperative steroids may reduce post-surgical soft tissue swelling and intravenous solumedrol 250 mg administered every 6 hours for three doses can be given in the absence of contraindications.49 Activity is restricted for at least 1 week postoperatively.

Back to Top
MEDIAL WALL FRACTURES
Fracture of the lamina papyracea may occur in association with orbital floor fractures. Isolated medial wall fractures rarely result in complications. Significant enophthalmos may occur in large medial wall fractures, depending on the amount of tissue prolapsed into the sinuses.50 The medial rectus muscle may become incarcerated in the fracture site, resulting in pain and limitation with attempted abduction (Fig. 11).50–52

Fig. 11 CT scan demonstrates the left medial rectus displaced medially into the fracture site (arrow).

Orbital emphysema results from air forced from the sinus into the orbit. This condition can occur with nose blowing or when orbital fat functions as a ball-valve over the fracture site.53 Emphysema of the soft tissue is appreciated by crepitus that can be palpated in the inflated eyelids. When the orbital septum remains intact, air is confined in the orbital space and can result in proptosis or reduction in motility (Fig. 12). Elevation of intraocular and intraorbital pressure can potentially compromise the retinal or posterior ciliary vasculature. Vision loss from this mechanism has been described,50,54,55 and this loss is considered an ophthalmic emergency. Intervention may include aspiration of air from an accessible site, such as the conjunctiva,50 or lateral canthotomy, with or without cantholysis, to decompress the orbit.52,54 More often, the condition is not sight-threatening and is self-limited. To avoid further inflation, the patient should be advised to not blow the nose or generate a Valsalva maneuver.

Fig. 12 In this patient (A) with right medial wall and tripod fracture, the mass effect of orbital air (B) (arrow) causes exophthalmos and contributes to hypophthalmos.

Indications for medial wall fracture repair include medial rectus entrapment or risk of enophthalmos. Transconjunctival,56 transcutaneous,57 and transcaruncular58 approaches have been described. The transcaruncular approach has gained considerable popularity. A monopolar cautery with a needle tip is used to make an incision through the conjunctiva from point just above the caruncle through the lateral aspect of the caruncle and then down into the medial aspect of the inferior fornix. If an inferior fracture is present, the inferior forniceal incision is made initially. Dissection is carried through the periosteum just posterior to the lacrimal sac and just medial to the origin of the inferior oblique muscle. The periorbita is then reflected laterally. The orbital contents that have prolapsed into the ethmoid sinus are elevated into the orbit and an implant placed to cover the defect. Occasionally, the anterior ethmoidal artery must be cauterized and divided. Great care must be exercised with the posterior extent of the dissection as the optic foramen is in closer proximity to medial wall fractures. Separate implants can be used to cover a medial wall and floor fracture, each secured with a small titanium screw.

Back to Top
ROOF FRACTURES
Roof fractures are potentially life threatening from neurologic sequelae and should be evaluated in conjunction with a neurosurgeon. Intracranial injury, pneumocephalus, and cerebrospinal fluid rhinorrhea may be associated findings in roof fractures, and they carry the risk for infections, such as meningitis or brain abscess. Fractures that occur posteriorly at the superior orbital fissure or optic foramen may cause multiple cranial nerve injuries. Optic neuropathy is suggested by vision loss, afferent pupillary defect, acquired achromatopsia, and possible disc abnormalities. Oculomotor and abducens nerve injuries affect extraocular movements. Trigeminal nerve damage results in anesthesia or hypesthesia in the distribution of the first or second divisions. Limitation of supraduction also may result from direct damage to the superior rectus muscle from hemorrhage, contusion, or impingement by fracture fragments.59 Ptosis may result from edema, hemorrhage, or direct injury to the levator muscle that is in close proximity of the superior rectus muscle. Repair of traumatic ptosis is delayed for at least 6 months to allow for the possibility that nerve function may be restored spontaneously.

Isolated roof fractures are rare and do not always require treatment. Incarceration or impingement of the rectus muscles or dystopia of the globe caused by displaced bone fragments are indications for surgical intervention (Fig. 13). Because it is difficult to determine whether limitation of supraduction is due to hemorrhage, contusion, or mechanical restriction by fracture fragments, some advocate waiting 7 to 10 days to allow orbital edema to subside.60 Simple roof fractures that do not involve the inner table of the skull may be repaired by experienced ophthalmologists through a brow or lid crease incision or through a preexisting laceration. However, roof fractures are more often repaired by a neurosurgeon or craniofacial surgeon. The procedure is described elsewhere.61

Fig. 13 Unrepaired orbital roof fracture, resulting in significant inferior displacement of the right globe.

Back to Top
COMPLEX ORBITAL FRACTURES
Complex orbital fractures include LeFort, naso–orbital–ethmoidal, zygomatic–maxillary–complex (ZMC or trimalar) and rim fractures. Generally, these fractures are repaired with a multidisciplinary approach provided by plastic surgeons, otolaryngologists, or maxillofacial surgeons. Fractures of the zygoma usually produce a ZMC fracture at three articulation sites: the frontozygomatic suture, the zygomaticotemporal suture, and the zygomaticomaxillary suture. The fracture may cause palpable step-offs of the orbital rim, flattening of the malar eminence, inferior displacement of the lateral canthus, and enophthalmos. The LeFort I (Guerin's) fracture occurs horizontally across the maxilla at the base of the nasal septum, is caused by trauma to the lower midface, results in malocclusion, and does not involve the orbit. The LeFort II (pyramidal) fracture extends from the nasofrontal suture along the nasal bridge to the medial wall at the level of the cribriform plate, posteriorly onto the orbital floor, and through the maxillary sinus (Fig. 14). This fracture results from trauma to the anterior mid-face, which causes a disarticulation of the body of the maxilla and mid-face from the zygomatic arch and cranium. In these injuries, the mid-face often has a sunk-in appearance.61 Epistaxis is a common associated finding. The more ominous cerebrospinal fluid rhinorrhea also occurs frequently, and it requires consultation of a neurosurgeon. A palpable inferior orbital rim step-off may be associated with infraorbital hypesthesia. Optic nerve trauma must be suspected. The globe may be enophthalmic and vertically displaced, and it may demonstrate extraocular motility disturbances.

Fig. 14 LeFort II fracture. (From Iliff NT: The ophthalmic implications of the correction of late enophthalmos following severe midfacial trauma. Trans Am Ophthalmol Soc 89:477–548, 1991)

The LeFort III fracture (craniofacial dysjunction) is a disarticulation of the facial skeleton from the base of the skull (Fig. 15). The fracture extends from the nasofrontal suture to the medial orbital wall at the level of the cribriform plate, along the orbital floor, following the inferior border of the greater wing of the sphenoid, and across the lateral wall, through the zygomatic arch and pterygoid plates. Because of the more posterior extent of this fracture, structures in the optic foramen and superior orbital fissure are highly susceptible to injury.

Fig. 15 LeFort III fracture. (From Iliff NT: The ophthalmic implications of the correction of late enophthalmos following severe midfacial trauma. Trans Am Ophthalmol Soc 89:477–548, 1991)

Naso–orbital–ethmoidal fractures involve the nasal bones, ethmoid sinuses, and medial orbital wall. These comminuted fractures may be characterized by collapse of the sinuses and flattening and widening of the nasal bridge, with lateralization of the medial canthi, enophthalmos, and medial rectus entrapment. The assessment of bony relationships of such complex fractures can be facilitated by three-dimensional reconstructions of conventional CT scans (Fig. 16).

Fig. 16 Three-dimensional CT reconstruction of the right roof fracture in the patient shown in Figure 15.

The indications for repair and the method of fixation vary widely and are reviewed elsewhere.62,63 Treatment algorithms consider the extent of fracture and degree of displacement. The orbital floor can be exposed through a subciliary or transconjunctival incision, and the medial orbital wall from a bicoronal approach to perform open reduction and rigid internal fixation with miniplates63 or microplates.64–66

The lacrimal canaliculi are located immediately posterior to the medial canthal ligament. In most cases, they join to form the common canaliculus, which opens into the lacrimal sac. The sac is situated in the lacrimal fossa and extends inferiorly through a narrow bony canal that comprises the frontal process of the maxilla and the lacrimal bone. Naso–orbital–ethmoidal, maxillary, LeFort, and complex inferior orbital rim fractures cause comminution and displacement of bone fragments that have the potential to affect the course of the lacrimal system. The prevalence of posttraumatic nasolacrimal obstruction is 17.4%67 to 25%68 in mid-face trauma.

To address this potential problem, some surgeons advocate acute intubation of the lacrimal system with silicone tubes when there is radiographic or intraoperative evidence of damage to the lacrimal sac or canal.69 Others argue that the development of posttraumatic nasolacrimal obstruction is not inevitable, and during repair of a mid-facial injury, it may be difficult to determine whether the lacrimal system is blocked secondary to shifted bone, hemorrhage, edema, or actual laceration. Moreover, silicone intubation is not a benign procedure. Latrogenic stricture or laceration of the lacrimal system may result from excessive manipulation during probing. False passages may result from probing through edematous or friable traumatized tissues.70 We recommend later repair of nasolacrimal obstruction if tearing or dacryocystitis develops after repair of the mid-facial fractures. Punctal stenosis with a patent nasolacrimal duct may be ameliorated successfully with silicone tubes.

Back to Top
ORBITAL FOREIGN BODIES
Many orbital foreign bodies have been reported in the literature, including BB gun pellets, nails, pens, pencils, twigs, stone, glass, and a variety of other more unusual objects. This type of injury is uncommon. Surveys from Pakistan71 and Israel72 indicated that 0.6% to 4% of eye injuries that required hospitalization involved orbital foreign bodies. These injuries occur most often in young men, during recreation in school-aged children and at the workplace in working-age men.72

The diagnosis of orbital foreign bodies may be elusive, and clinical signs often are minimal. A detailed history about the circumstances of the injury is important, and it is especially important to suspect the diagnosis. Often, the clinical signs appear trivial. Reconstructing the circumstances of the injury may provide information about the foreign material and size of the body. The relative velocity of the object may help to predict the extent of the injury. Small objects traveling at high speeds are more likely to penetrate the globe before entering the orbit, whereas objects of slower velocity, such as sticks or twigs, are more likely to spare the globe (Fig. 17).21

Fig. 17 Piece of a sled embedded in the orbit. The globe was not injured.

Potential orbital entry sites may appear as self-sealing lid puncture wounds, conjunctival lacerations, or focal subconjunctival hemorrhage and must be scrutinized. In the absence of an overt entry site or a visible foreign body fragment, other signs of occult foreign bodies, such as pain, disturbances of vision or extraocular movements, proptosis, chronically draining fistulas, or evidence of intraocular contusion, such as retinitis sclopeteria or vitreous hemorrhage, should be sought. Examination should determine the extent of ocular and extraocular injury, including intracranial extension, manifested by neurologic signs or cerebrospinal fluid rhinorrhea. Infectious complications of intracranial wooden foreign bodies carry up to a 25% mortality rate.73 Sinus involvement may be associated with epistaxis or crepitus.

Of the adjunctive tests available, CT scan is the most useful in providing information about the presence and position of a foreign body relative to other structures in the orbit. Steel fragments 0.5 mm in diameter or larger74 and steel particles as small as 0.06 mm3 can be detected.75 Density measurements can be analyzed to distinguish metal, wood, glass, and air from surrounding tissue (Fig. 18). The appearance of wood may vary with the length of time in the orbit and the degree of hydration.76 In some cases, CT has not been able to detect wooden foreign bodies.77 Localization can best be achieved with the evaluation of axial and coronal views. Additional sagittal interpretations and three-dimensional reconstructions can be generated with available software.74 The diagnostic limitations of CT scans must be recognized; in some situations, accurate localization may be obscured by scatter artifact caused by metals or false-negative findings of radiolucent materials.

Fig. 18 A, Wood foreign body (arrow). B, Glass foreign body (arrow). C, Metal foreign body (arrow).

Ultrasound, although recognized as an excellent localizing tool for intraocular foreign bodies, loses resolution deep in the orbit. Likewise, plain X-ray is unnecessary if CT is available. MRI should not be used if the foreign body is suspected to be ferromagnetic because such material will shift in the magnetic field; however, wood may be more readily visualized by MRI.78

MANAGEMENT OF ORBITAL FOREIGN BODIES

In most situations, where retrieval itself may contribute to morbidity, three main considerations should guide management decisions: (1) the composition of the foreign body, (2) the mechanical effect of the retained foreign body, and (3) the presence of infection. Foreign bodies can be divided into three types of materials: inorganic nonmetallic, metallic, and organic. Glass,79 stone,80 and certain metals81,82 have been well tolerated, remaining asymptomatic for decades. Plastics and some metals, such as titanium, vitallium (cobalt alloy), and stainless steel, are used as permanent implant materials for orbital reconstructive surgery. Thus, inorganic, nonmetallic, and certain nonreactive metallic materials need not be removed.

Generally, metallic foreign bodies are considered sterile, and the primary consideration is the potential for metal toxicity. Steel and aluminum are nontoxic to soft tissue and are well tolerated; copper, iron, and lead are not. Copper causes a sterile suppurative inflammatory reaction80 and, therefore, should be removed. Copper-coated steel BB pellets and copper alloys, such as brass and bronze, are less reactive and better tolerated.82

Iron-containing foreign bodies cause severe intraocular complications as a result of free radical toxicity. However, numerous examples of well-tolerated iron materials in the orbit have been reported.80 The only evidence of transscleral penetration from iron implanted in the orbit has been described in rat83 and rabbit models84–86; however, no histologic damage was identified in the ocular tissue.85 The potential for ocular toxicity is only theoretic. These foreign bodies may therefore be observed. However, because the presence of iron is a contraindication for MRI, if need for such radiologic studies is anticipated, attempts at removal may be indicated.

Pure lead shotgun pellets retained elsewhere in the body have rarely caused increased levels of lead in the blood87 or clinical signs of lead toxicity.88 However, a survey of orbital lead airgun pellets retained for up to 26 years showed no ocular complications and no abnormal lead levels.89 Therefore, lead foreign bodies need not be removed.

Wood is the most common organic material retrieved from the orbit.90 Wood causes an acute suppurative inflammation and often an infection as a result of fungus or bacteria. An abscess can occur within 1 to 3 days after the introduction of wood into the orbit.91 Long-standing retained organic matter can lead to chronically draining fistulas92 or enlarging granulomas.80 Prompt removal and culture is advised at the time of retrieval.

In general, all patients with orbital penetration should receive tetanus toxoid. Cultures of the wound and foreign bodies are recommended at the time of retrieval. Although infection is a greater concern with organic foreign bodies than it is with metallic foreign bodies, prophylaxis with broad-spectrum antibiotics is recommended in all instances. Infection is not readily eradicated with antibiotic treatment alone, and exploration of the wound and removal of the foreign body may be necessary.

SURGICAL MANAGEMENT OF ORBITAL FOREIGN BODIES

A practitioner who is deciding whether to retrieve a foreign body must weigh the potential morbidity of extraction against the potential complications of toxic components, infections, or mechanical effects. The surgical approach depends on the location of the foreign body. In the acute setting, the entry wound should be the route of exploration. Fistulous tracts may also be used in this manner. If no entry site is apparent, the approach is determined by the location of the foreign body, using the same strategies as are used in planning orbital tumor exploration.93 An anterior orbitotomy performed through a transconjunctival, transseptal, or extraperiosteal approach is recommended for the removal of intraconal foreign bodies. A lateral orbitotomy is recommended for the removal of foreign bodies located in the lateral orbit, within the muscle cone, or posteriorly in the apex.94 Intraoperatively, electromagnetic localizers,95 orbital endoscopes,96 and combined fiberoptic lighting, suction, and irrigation units92 may be useful tools for locating and visualizing foreign bodies. The preoperative radiologic study should provide information about the size of the foreign body, allowing assessment of the completeness of the retrieval. Irrigation may facilitate loosening of small fragments.

Before the wound is closed, antibiotic solution should be irrigated in the operative site. If the lateral wall has been removed, the bone fragment should be replaced and secured with microplates. Conjunctival incisions may be left open or closed with a buried 7–0 chromic gut suture. Skin incisions can be closed with a fine suture such as 8–0 nylon or silk. Postoperatively, examination should assess visual function and as well as any evidence of infectious complications.

Back to Top
REFERENCES

1. Holt JE, Holt GR, Blodgett JM: Ocular injuries sustained during blunt facial trauma. Ophthalmology 90:14, 1983

2. Klopfer J, Tielsch M, Vitale S, et al: Ocular trauma in the United States: Eye injuries resulting in hospitalization, 1984 through 1987. Arch Ophthalmol 110:838, 1992

3. Hughes B: Indirect injury of the optic nerves and chiasm. Bull Johns Hopkins Hosp 111:98, 1962

4. Miller NR: The management of traumatic optic neuropathy. Arch Ophthalmol 108:1086, 1990

5. Kennerdell JA, Amsbaugh CA, Myers EN: Transantral-ethmoidal decompression of optic canal fracture. Arch Ophthalmol 94:1040, 1976

6. Anderson RL, Panje WR, Gross CE: Optic nerve blindness following blunt forehead trauma. Ophthalmology 89:445, 1982

7. Gross C, DeKock J, Panje W, et al: Evidence for orbital deformation that may contribute to monocular blindness following minor frontal head trauma. J Neurosurg 55:963, 1981

8. Frenkel REP, Spoor TC: Diagnosis and management of traumatic optic neuropathies. Adv Ophthal Plast Reconstr Surg 6:71, 1987

9. Kline LB, Morawetz RB, Swaid NS: Indirect injury of the optic nerve. Neurosurgery 14:756, 1984

10. Steinsapir KG, Goldberg RA: Traumatic optic neuropathy. Surv Ophthalmol 38:487, 1994

11. Wolin MJ, Lavin PJM: Spontaneous visual recovery from traumatic optic neuropathy after blunt head injury. Am J Ophthalmol 109:430, 1990

12. Lessell S: Indirect optic nerve trauma. Arch Ophthalmol 107:382, 1989

13. Spoor TC, Hartel WC, Lensink DB, Wilkinson MJ: Treatment of traumatic optic neuropathy with corticosteroids. Am J Ophthalmol 110:665, 1990

14. Sieff SR: High dose corticosteroids for treatment of vision loss due to indirect injury to the optic nerve. Ophthalmic Surg 21:389–395, 1990

15. Seiff SR: Trauma and the optic nerve. Ophthalmol Clin N Am 5:389–394, 1992

16. Demopoulos HB, Flamm ES, Pietronigro DD, et al: The free radical pathology and the microcirculation in the major central nervous system disorders. Acta Physiol Scand 492:91–119, 1980

17. Demopoulos HB, Flamm ES, Seligman ML, et al: Further studies on free-radical pathology in the major central nervous system disorders: Effect of very high doses of methylprednisolone on the functional outcome, morphology, and chemistry of experimental spinal cord impact injury. Can J Physiol Pharmacol 60:1415–1424, 1982

18. Bracken MB, Holford TR: Effects of timing of methylprednisolone or naloxone administration on recovery of segmental and long-tract neurological function in NASCIS2. J Neurosurg 79:500–503, 1993

19. Fujitani T, Inoue K, Takahashi T, et al: Indirect traumatic optic neuropathy: Visual outcome of operative and non-operative cases. Jpn J Ophthalmol 30:125, 1986

20. Spoor TC: Penetrating orbital injuries. Adv Ophthal Plast Reconstr Surg 7:193, 1988

21. Niho S, Niho M, Niho K: Decompression of the optic canal by the transethmoidal route and decompression of the superior orbital fissure. Can J Ophthalmol 5:22, 1970

22. Fukado Y: Results of 350 cases of surgical decompression of the optic nerve. Trans Ophthalmol Soc N Z 25:96, 1975

23. Fukado Y: Results in 400 cases of surgical decompression of the optic nerve. Mod Probl Ophthalmol 14:474, 1975

24. Joseph MP, Lessell S, Rizzo J, Momose KJ: Extracranial optic nerve decompression for traumatic optic neuropathy. Arch Ophthalmol 108:1091, 1990

25. Call NB: Decompression of the optic nerve in the optic canal. Ophthal Plast Reconstr Surg 2:133, 1986

26. Maroon JC, Kennerdell JS: Surgical approaches to the orbit: Indications and techniques. J Neurosurg 60:1226, 1984

27. Gioia VM, Linberg JV, McCormick SA: Anatomy of the lateral canthal tendon. Arch Ophthalmol 105:529, 1987

28. Smith B, Eegan WFJr : Blow-out fracture of the orbit: Mechanism and correction of internal orbital fracture. Am J Ophthalmol 44:733, 1957

29. Fujino T, Makino K: Entrapment mechanisms and ocular injury in orbital blow-out fractures. Plast Reconstr Surg 65:571, 1980

30. Jordan DR, Allen LH, White J, et al: Intervention within days for some orbital floor fractures: The white-eyed blowout. Ophthal Plast Reconstr Surg 14:379–390, 1998

31. Burstine MA: Clinical recommendations for repair of isolated orbital floor fractures. An evidence-based analysis. Ophthalmol 109:1207, 2002

32. Dutton JJ: Management of blow-out fractures of the orbital floor. I. Editorial. Surv Ophthalmol 35:279, 1991

33. Manson PN, Iliff NT: Management of blow-out fractures of the orbital floor. II. Early repair of selected injuries. Surv Ophthalmol 35:280, 2991

34. Putterman AM: Management of blow-out fractures of the orbital floor. III A conservative approach. Surv Ophthalmol 35: 292, 1991

35. Wilkins RB, Havins WE: Current treatment of blow-out fractures. Ophthalmol 89:464, 1982

36. Manson PN, Iliff NT: Management of blow-out fractures of the orbital floor: II. Early repair of selected injuries. Surv Ophthalmol 35:280, 1991

37. Putterman AM: Management of blow-out fractures of the orbital floor: III. The conservative approach. Surv Ophthalmol 35:292, 1991

38. Grant MP, Keenum D, Iwamoto M, et al: Orbital Blowout treatment trial: A controlled randomized trial comparing early surgery versus late surgery for selected orbital fractures. American Association of Plastic Surgeons, 81st Annual Meeting. Seattle, Washington. April 26–29, 2002

39. Bansagi ZC, Meyer DR: Internal orbital fractures in the pediatric age group: Characterization and management. Ophthalmol 107:829, 2000

40. Sires BS, Stanley RBJr , Levine LM: Oculocardiac reflex caused by orbital floor trapdoor fracture: An indication for urgent repair (Letter). Arch Ophthalmol 116:955, 1998

41. Berkowitz RA, Putterman AM, Patel DB: Prolapse of the globe into the maxillary sinus after orbital floor fracture. Am J Ophthalmol 91:253, 1981

42. Smit TJ, Koornneef L, Zonneveld FW: A total orbital floor fracture with prolapse of the globe into the maxillary sinus manifesting as postenucleation socket syndrome (Letter). Am J Ophthalmol 110:569, 1990

43. Yab K, Tajima S, Ohba S: Displacements of the eyeball inorbital blowout fractures. Plast Reconstr Surg 100:1409, 1997

44. Jin HR, Shin SO, Choo MJ, Choi YS: Relationship between the extent of fracture and the degree of enophthalmos in isolated blowout fractures of the medial orbital wall. J Oral Maxillofac Surg 58:617, 2000

45. Raskin EM, Millman AL, Lubkin V: Prediction of late enophthalmos y volumetric analysis of orbital fractures 14:19, 1998

46. Burm JS, Chung CH, Oh SJ: Pure orbital blowout fractures. Influence of time of repair and fracture size. Plast Reconstr Surg 103:1839, 1999

47. Biesman BS, Hornblass A, Lisman R, Kazlas M: Diplopia after surgical repair of orbital floor fractures. Ophthal Plast Reconstr Surg 12:9, 1996

48. Flood TR, McManners J, el-Attar A, Moos KF: Randomized prospective study of the influence of steroids in postoperative eye-opening after exploration of the orbital floor. Br J Oral Maxillofac Surg 37:312–315, 1999

49. Segrest DR, Dortzbach RK: Medial orbital wall fractures: Complications and management. Ophthal Plast Reconstr Surg 5:75, 1989

50. Miller GR, Glaser JS: The retraction syndrome and trauma. Arch Ophthalmol 76:662, 1966

51. Edwards WC, Eidley RW: Blowout fracture of medial orbital wall. Am J Ophthalmol 65:248, 1968

52. Linberg JV: Orbital compartment syndromes following trauma. Adv Ophthal Plast Reconstr Surg 6:51, 1987

53. Linberg JV: Orbital emphysema complicated by acute central retinal artery occlusion: Case report and treatment. Ann Ophthalmol 14:747, 1982

54. Fleishman JA, Beck RW, Hoffman RO: Orbital emphysema as an ophthalmologic emergency. Ophthalmology 91:1389, 1984

55. Schonder AA, Salz JJ, Magnus WW, Castner DVJr : A conjunctival approach to repair of fracture of medial wall of orbit: Case report. Ann Ophthalmol 4:297, 1971

56. Rumelt MB, Ernest JT: Isolated blowout fracture of medial orbital wall with medial rectus muscle entrapment. Am J Ophthalmol 73:451, 1972

57. Shorr N, Baylis HI, Goldberg R:

58. McLachlan DL, Flanagan JC, Shannon GM: Complications of orbital roof fractures. Ophthalmology 89:1274, 1982

59. Wesley RE, Anderson SR, Weiss MR, Smith HP: Management of orbital-cranial trauma. Adv Ophthal Plast Reconstr Surg 7:3, 1988

60. Converse JM, Smith B, Wood-Smith D: Deformities of the midface resulting from malunited orbital and naso-orbital fractures. Clin Plast Surg 2:107, 1975

61. Manson PN: Dimensional analysis of the facial skeleton: Avoiding complications in the management of facial fractures by improved organization of treatment based on CT scans. Probl Plast Reconstr Surg 1:213, 1991

62. Watamull D, Rohrich RJ: Zygoma fracture fixation: A graduated anatomic approach to management based on recent clinical and biomechanical studies. Probl Plast Reconstr Surg 1:350, 1991

63. Mayer MH, Manson PN: Plate and screw fixation in craniomaxillofacial skeletal fractures. Probl Plast Reconstr Surg 1:290, 1991

64. Ellis DS, Toth BA, Stewart WB: A micro system for rigid bony fixation in orbital surgery. Ophthal Plast Reconstr Surg 7:144, 1991

65. Iliff NT: The ophthalmic implications of the correction of late enophthalmos following severe midfacial trauma. Trans Am Ophthalmol Soc 89:477–548, 1991

66. Gruss JS, Hurwitz JJ, Nik NA, et al: The pattern and incidence of nasolacrimal injury in naso-orbital-ethmoidal fractures: The role of delayed assessment and dacryocystorhinostomy. Br J Plast Surg 38:116, 1985

67. Stranc MF: The pattern of lacrimal injuries in nasoethmoid fractures. Br J Plast Surg 12:339, 1970

68. Harris GJ, Fuerste FH: Lacrimal intubation in the primary repair of midfacial fractures. Ophthalmology 94:242, 1987

69. Iliff NT: The management of lacrimal trauma occurring with midfacial fractures. Probl Plast Reconstr Surg 1:420, 1991

70. Khan MD, Kundi N, Mohammed Z, Nazeer A: A 6½ years survey of intraocular and intraorbital foreign bodies in the North-West frontier province, Pakistan. Br J Ophthalmol 71:716, 1987

71. Koval R, Teller J, Belkin M, et al: The Israeli ocular injuries study: A nationwide collaborative study. Arch Ophthalmol 106:776, 1988

72. Miller CF II, Brodkey JS, Colombi BJ: The danger of intracranial wood. Surg Neurol 7:95, 1977

73. Zinreich SJ, Miller NR, Aguayo JB, et al: Computed tomographic three-dimensional localization and composition evaluation of intraocular and orbital foreign bodies. Arch Ophthalmol 104:1477, 1986

74. Tate E, Cupples H: Detection of orbital foreign bodies with computed tomography: Current limits. Am J Roentgenol 137:493, 1981

75. Hansen JE, Gudeman SK, Holgate RC, Saunders RA: Penetrating intracranial wood wounds: Clinical limitations of computerized tomography. J Neurosurg 68:752, 1988

76. Reshef DS, Ossoinig KC, Nerad JA: Diagnosis and intraoperative localization of a deep orbital organic foreign body. Orbit 6:3, 1987

77. Green BF, Kraft SP, Carter KD, et al: Intraorbital wood: Detection by magnetic resonance imaging. Ophthalmology 97:608, 1990

78. Ewart JH: Large piece of glass imbedded in the orbit for 20 years without causing symptoms: Removal. Lancet 2:315, 1903

79. Duke-Elder S, MacFaul PA: Foreign bodies in the orbit. In Duke-Elder S (ed): System of Ophthalmology, vol 14. St Louis: CV Mosby, 1972:655–669

80. Higgins C: Foreign body lodged in the orbit for forty-six years: Removal. Lancet 1:82, 1891

81. Cooper WC, Haik BG: Management of orbital foreign bodies. In Della Rocca RC, Nesi FA, Lisman RD (eds): BC Smith Ophthalmic Plastic and Reconstructive Surgery, vol 1. St. Louis: CV Mosby, 1987:523–531

82. Sinovich VA, Gudkova EV: The effect of foreign metal bodies in the orbit on the eyeball coats. Vestn Oftalmol 82:10, 1969

83. Burch PG, Albert DM: Transscleral ocular siderosis. Am J Ophthalmol 84:90, 1977

84. Gerkowicz K, Prost M: Experimental investigations on the penetration into the eyeball of iron administered intraorbitally. Ophthalmologica 188:239, 1984

85. Gerkowicz K, Prost M, Wawrzyniak M: Experimental ocular siderosis after extrabulbar administration of iron. Br J Ophthalmol 69:149, 1985

86. Horiuchi K, Horiguchi S, Utsunomiya T: Laboratory studies on the lead poisoning in six cases with lead shot lodged in the tissues. Osaka City Med J 15:7, 1969

87. Dillman RO, Crumb CK, Lidsky MJ: Lead poisoning from a gunshot wound: Report of a case and review of the literature. Am J Med 66:509, 1979

88. Jacobs NA, Morgan LH: On the management of retained airgun pellets: A survey of 11 orbital cases. Br J Ophthalmol 72:97, 1988

89. Bartkowski SB, Kurek M, Stypulkowska J, et al: Foreign bodies in the orbit: Review of 20 cases. J Maxillofac Surg 12:97, 1984

90. Orcutt JC: Orbital foreign bodies. In Linberg JV (ed): Oculoplastic and Orbital Emergencies. Norwalk, Conn.: Appleton & Lange, 1990:183–197

91. Ferguson EC: Deep, wooden foreign bodies of the orbit: A report of two cases. Trans Am Acad Ophthalmol Otolaryngol 74:778, 1970

92. Wright JE: Surgical exploration of the orbit. Trans Ophthalmol Soc U K 99:238, 1979

93. Simonton JT, Arthurs BP: Penetrating injuries to the orbit. Adv Ophthal Plast Reconstr Surg 7:217, 1988

94. Keeney AH: Orbital foreign body management. Trans New Orleans Acad Ophthalmol 22:14, 1974

95. Norris JL, Cleasby GW: Endoscopic orbital surgery. Am J Ophthalmol 91:249, 1981

96. Perry JD: Transcaruncular approach to the medial orbit and orbital apex. Ophthalmology 107:1459–1463, 2000

Back to Top