Chapter 12
Management of Astigmatism in Conjunction with Lens Surgery
LOUIS D. NICHAMIN
Main Menu   Table Of Contents

Search

INTRODUCTION
PATIENT SELECTION AND CONSIDERATIONS
TREATMENT OPTIONS
LIMBAL RELAXING INCISIONS
CASE STUDIES
REFERENCES

INTRODUCTION
When assessing recent changes in modern cataract and intraocular lens implant (IOL) surgery, arguably the single most pressing challenge facing today's phacoemulsification (phaco) surgeon is the need to achieve predictable and accurate refractive outcomes. Surgeons and patients alike have come to largely measure the success of their surgery by the refractive outcome, and one of the leading causes for litigation in this field is the “refractive surprise.”1 In addition, the refractive lens exchange has become an important component of the refractive surgeon's armamentarium.2 As such, the fields of cataract and refractive surgery have merged to form an amalgam without distinct borders. Improved refractive results have come about by way of improvements in both surgical technique and advances in technology. Spherical results, for example, have become more predictable because of increased attention to biometry technique, as well as breakthrough technology such as partial coherence interferometry.3

No less important is the astigmatic component of the refractive equation. At one time during the evolution of small incision surgery, it was the surgeon's goal to not induce astigmatism.4 Today, in order to fully embrace the concept of “refractive cataract surgery,” one must be able to address and reduce significant preexisting cylinder.

Back to Top
PATIENT SELECTION AND CONSIDERATIONS
Estimates of the incidence of significant, naturally-occurring astigmatism vary widely from 7.5% to 75%.5 It is thought that 3% to 15% of eyes may have two or more diopters (D) of astigmatism.6 In light of recent experience gained in the field of refractive surgery, many surgeons would agree that astigmatism of greater than 0.5 D will lead to symptoms of ghosting and shadows. Although the older cataract patient may be more tolerant of cylinder, the ambitious refractive cataract surgeon should likely approach an implant patient with the same high goals that he or she might with a younger keratorefractive candidate. Indeed, successful cataract practices are now aiming for both spherical and astigmatic outcomes ± 0.5 D.7

When considering astigmatism correction, one must take into account the location of the cylinder, age of the patient, and status of the fellow eye. Because most patients will drift against-the-rule (ATR) over their lifetime—for example, toward plus cylinder at 180 degrees—many surgeons advocate a less aggressive approach to the reduction of with-the-rule (WTR) cylinder. Some authors have suggested that residual WTR astigmatism may favor better uncorrected distance acuity, given that most visual stimuli are of a vertical nature.8 Similarly, it has been contended that ATR cylinder may improve uncorrected near vision.9 The tenet that residual (myopic) WTR astigmatism is a desirable goal in order to enlarge the conoid of Sturm and hence optimize depth perception has, however, recently been called into question .10 Currently, with recent refinements in surgical technique, a spherical goal may be most desirable for the majority of patients undergoing implant surgery.

Back to Top
TREATMENT OPTIONS
The first decision faced by the surgeon is whether to address preexisting astigmatism at the time of cataract and IOL surgery, or to defer and treat the cylinder separately. One could reasonably argue that for optimal accuracy, sufficient time for wound healing should be allotted and a stable refraction ought to be documented prior to astigmatic correction. This consideration is more germane with the use of rigid implants and larger incisions. Currently, most surgeons are utilizing foldable IOLs and studies have well documented the nearly neutral astigmatic effect that these incisions bear when kept at or near 3.0 mm, as well as their early refractive stability.11,12 As such, many surgeons feel that concomitant treatment of preexisting astigmatism is a more efficient approach and is favored because it will likely save the patient from having to undergo a second procedure.

The next major decision is whether to treat the astigmatism through a lenticular approach (that is, to employ a toric IOL) or to utilize a keratorefractive technique. From a theoretical perspective, it is hard to argue against the use of a toric implant and their effectiveness has been widely reported.13 This option has the potential to avoid induced irregular astigmatism from corneal manipulation and provides the option of reversibility. In the United States, only one toric IOL has been approved, a single-piece plate haptic design manufactured by Staar Surgical (Fig. 1). The implant is available in two toric powers of 2.0 and 3.5 D. Propitious outcomes have been obtained with this device even with minimal experience by community-based surgeons.14 For surgeons using this particular toric implant, lens rotation is a recognized problem; Sun and co-workers reported a need to return to the operating room for repositioning in 9.2% of cases.13 Ruhswurm further reported axis rotation of at least 25 degrees in 18.9% in their series.15 According to Euler's theorem, an axis deviation of 5, 10, or 15 degrees will result in respective 17%, 33%, and 50% reductions, in effect.5 Optimal timing of the IOL repositioning would appear to be between 1 and 2 weeks following implantation as capsular fibrosis is underway, and may serve to permanently fixate the toric device in the proper meridian. Additionally, some surgeons have avoided this particular implant because of its plate haptic design and for the first-generation silicone elastomer from which it is comprised. Additional designs are available internationally and are also expected to be approved soon by the Food and Drug Administration.16 These newer designs may offer better rotational stability and therefore may see increased use.

Fig. 1. Staar Surgical Toric IOL Model #AA4203.

The notion of reducing astigmatism by way of adjunctive keratorefractive surgery, specifically astigmatic keratotomy, dates back to the mid-1980s.17–19 Throughout the 1990s, a number of authors recognized the advantages of moving corneal astigmatic relaxing incisions peripherally toward the limbus.20–22 These so-called limbal relaxing incisions (LRIs) have become the most popular way to manage astigmatism at the time of cataract surgery and will be addressed in detail below.

Another viable option to decrease astigmatism is to manipulate the cataract incision by first placing it upon the steep corneal meridian, and then by varying its size and design, affect a desired amount of wound flattening, and hence a decrease in cylinder.23 Specifically, one can increase or decrease the amount of wound flattening by increasing or decreasing the size of the incision. Similarly, wound flattening may be enhanced by moving closer to the visual axis, or by creating a more circum-parallel incision to the limbus. Also, a perpendicular component, or groove, may be added to the incision to further increase wound flattening and “against-the- wound” astigmatic drift (Fig. 2).24 This approach, however, presents logistical challenges including movement around the surgical table, often producing awkward hand positions. In addition, varying surgical instrumentation may be needed along with a dynamic mindset. For these reasons, this technique has largely been supplanted by the use of a consistent and essentially neutral phaco incision, typically located temporally for astigmatic stability, and then adding supplemental relaxing incisions (LRIs).

Fig. 2. (A)The incision is a beveled, single plane clear corneal incision. (B) A three-plane “grooved” incision. (C) A deep groove as would be seen with a superimposed LRI. The amount of wound flattening and against-the-wound drift increases from left to right.

Several other options to reduce astigmatism deserve mention. Lever and Dahan have suggested the novel use of opposing clear corneal incisions to address preexisting cylinders.25 In this technique, a second opposite penetrating clear corneal incision is placed over the steep meridian, 180 degrees away from the main incision. This approach is technically simple and requires no additional instrumentation; however, a second substantial penetrating incision is now present, possibly increasing the risk of wound leak or even infection. In addition, single-plane beveled incisions are known not to be as effective for a given arc length at flattening the cornea as more conventional perpendicular relaxing incisions.24,26 Another recently described alternative, “bioptics,” is gradually gaining in popularity, particularly with refractive lens exchange patients. With this technique, one intentionally takes a staged approach using excimer laser technology to reduce both residual astigmatic as well as spherical refractive error.27,28 Finally, conductive keratoplasty used in an off-label fashion has also recently been described as a means by which hyperopic astigmatism may be effectively reduced.29

Back to Top
LIMBAL RELAXING INCISIONS
The first description of the astigmatic effect of nonpenetrating incisions placed near the limbus dates back to 1898 and is credited to the Dutch ophthalmologist L.J. Lans.30 As noted, LRIs have become the most popular technique employed today to reduce pre-existing astigmatism at the time of implant surgery. Although our preference is to use a temporal single-plane clear-corneal phaco incision, one may utilize LRIs with any type of cataract incision as long as the astigmatic effect is known and factored into the surgical plan. LRIs offer several advantages over astigmatic incisions placed within the cornea at smaller optical zones. These would include less chance of causing a shift in the resultant cylinder axis. This presumably is due to a diminished need for precise centration upon the steep meridian. More importantly, there is less of a tendency to cause irregular corneal flattening, and hence less chance of inducing irregular astigmatism. Technically, LRIs are easier to perform and more forgiving than shorter and more central corneal astigmatic incisions, and patients generally report less discomfort. Another important advantage gained by moving out to the limbus involves the “coupling ratio,” which describes the amount of flattening that occurs in the incised meridian relative to the amount of steepening that results 90 degrees away. It has been our experience that paired LRIs (when kept at or under 90 degrees of arc length) exhibit a very consistent 1:1 ratio, and therefore elicit little change in spheroequivalence, obviating the need to make any change in implant power.

Admittedly, these more peripheral incisions are less powerful, but are still capable of correcting up to 3 to 4 diopters of astigmatism in the cataract-age population. One must keep in mind that the goal is to reduce the patient's cylinder, without overcorrecting or shifting the resultant axis. To achieve a given amount of correction, these peripheral intralimbal incisions must be longer in total arc length than more centrally-placed corneal astigmatic incisions; however, unlike longer radial keratotomy incisions, they appear to be stable with regard to refractive effect and show little sign of inducing problems such as dry-eye syndrome or other pejorative effects from corneal denervation.22 Their stability may be due to the proximity of well-vascularized limbal tissue. There are, of course, potential complications with any surgical technique and these are addressed below.

THE PLAN

Perhaps the most challenging aspect of astigmatism surgery involves the determination of the quantity and exact location of the cylinder that is to be corrected, and thereby formulating a surgical plan. Unfortunately, preoperative measurements—keratometry, refraction, and corneal topography—do not always correlate. Lenticular astigmatism may account for some of this disparity, particularly in cases where there is a wide variance between refraction and corneal measurements; however, some discrepancies are likely due to the inherent shortcomings of traditional measurements of astigmatism. Standard keratometry, for example, measures only two points in each meridian at a single optical zone of approximately 3 mm.

When confounding measurements do arise, one may compromise and average the disparate readings; for example, if refraction shows 2 D of astigmatism and keratometry reveals only 1 D, it would be reasonable to correct for 1.5 D. Alternatively, if preoperative calculations vary widely, one may defer placing the relaxing incisions until a stable refraction postimplantation is obtained, and then correct any remaining astigmatism as needed. LRIs may be safely performed in the office in an appropriate treatment-room setting. Corneal topography can be very helpful when refraction and keratometry do not agree, and it is increasingly becoming the overall guiding measurement upon which the surgical plan is based. Topography is also helpful in detecting subtle corneal pathology such as keratoconus fruste, which would likely negate the use of LRIs, or subtle irregular astigmatism such as that caused by epithelial basement membrane dystrophy.

NOMOGRAMS

Once the amount of astigmatism to be corrected has been determined, a nomogram must be consulted to determine the appropriate arc length of the incisions. A number of popular nomograms are currently available.31 Our nomogram of choice originated from the work of Dr. Stephen Hollis and incorporates concepts taught by Spencer Thornton, M.D., particularly his age modifiers.24 As seen in the nomogram, a patient is considered to be “spherical” if they have up to 0.75 D of with-the-rule or 0.50 D of against-the-rule astigmatism, in which case a single plane temporal clear corneal incision is used without additional wound manipulation (Table 1). If the patient has more than this amount of cylinder, one determines whether it is WTR (45 to 135 degrees) or ATR (0 to 44 or 136 to 180 degrees) and then consults the appropriate section of the nomogram. One aligns the patient's age with the amount of preoperative cylinder to be corrected and finds the suggested arc length that the incisions should subtend.

TABLE 1. Intralimbal Relaxing Incision Nomogram for Modern Phaco Surgery


SurgeryPre-op CylinderPaired Incisions in Degrees of Arc*Incision design
30 to 40 years old41 to 50 years old51 to 60 years old61 to 70 years old71 to 80 years old81 to 90 years old91+ years old
Sphericala--------“Neutral” temporal clear corneal incision (i.e., ≤3.5 mm, single plane, just anterior to vascular arcade)
Against-the-ruleb+0.75 to +1.2555°50°45°40°35°35° The temporal incision, if greater than 40 degrees of arc, is made by first creating a two-plane, grooved phaco incision (600 μm depth), which is then extended to the appropriate arc length at the conclusion of surgery.
+1.50 to +2.0070°65°60°55°45°40°35°
+2.25 to +2.7590°80°70°60°50°45°40°
+3.00 to +3.7590°90°85°70°60°50°45°
With-the-rulec+1.00 to +1.5050°45°40°35°30°  “Neutral” temporal clear corneal along with the following peripheral arcuate incisions
+1.75 to +2.2560°55°50°45°40°35°30°
+2.50 to +3.0070°65°60°55°50°45°40°
+3.25 to +3.7580°75°70°65°60°55°45°

Empiric blade-depth setting is 600 microns. When placing intralimbal relaxing incisions following or concomitant with radial relaxing incisions, total arc length is decreased by 50%.
*Nasal limbal arc only.
aUp to +0.75 × 90 or +0.50 × 180.
bSteep Axis 0 to 44 degrees or 136 to 180 degrees.
cSteep Axis 45 to 135 degrees.

 

All incisions are paired, except in the case of very low ATR astigmatism wherein a single 35-degree nasal LRI is placed opposite to the single-plane temporal clear-corneal phaco incision. Paired incisions are preferred to optimize symmetric corneal flattening and are expressed in degrees of arc rather than chord length. This is done in order to diminish over- and undercorrections for unusually small or large corneas, because corneal diameter may significantly impact the relative length of the arcuate incision and its resultant effect (Fig. 3). This nomogram, which has been designed specifically for the cataract patient, is based upon the use of an empiric blade depth setting of 600 microns. Individual surgeon technique and blade style may impact results, and thereby require adjustment of the nomogram. A second, slightly more aggressive nomogram is used with younger patients, particularly in the setting of refractive lens exchange surgery or in conjunction with LASIK for the correction of higher levels of astigmatism (Table 2). In this setting where optimal precision is mandated, pachymetry is performed over the entire arc length of the intended incision site, and a diamond blade with an adjustable micrometer is set to 90% of the thinnest reading obtained. The NAPA nomogram, pachymetry, and adjusted blade depth settings may certainly be used with the cataract patient, but the small compromise that is made in using an empiric blade depth setting is felt to be acceptable in this older patient population in light of increased OR efficiency.

Fig. 3. Nomogram design. Note relative disparity in incision length between a large and small corneal diameter if measured in millimeters. Degrees of arc lend consistency irrespective of corneal size. (Reprinted from Hardten DR, Lindstrom RL, Davis EA. Phakic Intraocular Lenses: Principles and Practice. Thorofare, NJ: SLACK Incorporated, 2004, with permission.)

TABLE 2. Nichamin Age & Pachymetry-Adjusted (NAPA) Intralimbal Arcuate Astigmatic Nomogram


SurgeryPre-op cylinder (diopters)Paired Incisions in Degrees of Arc
20 to 30 years old31 to 40 years old41 to 50 years old51 to 60 years old
With-the-rulea0.7540°35°35°30°
1.0045°40°40°35°
1.2555°50°45°40°
1.5060°55°50°45°
1.7565°60°55°50°
2.0070°65°60°55°
2.2575°70°65°60°
2.5080°75°70°65°
2.7585°80°75°70°
3.0090°90°85°80°
Against-the-ruleb0.7545°40°40°35°
1.0050°45°45°40°
1.2555°55°50°45°
1.5060°60°55°50°
1.7565°65°60°55°
2.0070°70°65°60°
2.2575°75°70°65°
2.5080°80°75°70°
2.7585°85°80°75°
3.0090°90°85°80°

When placing intralimbal relaxing incisions following or concomitant with radial relaxing incisions, total arc length is decreased by 50%.
aSteep axis 45 to 135 degrees.
bSteep axis 0 to 44 degrees or 136 to 180 degrees.

 

SURGICAL TECHNIQUE

Some surgeons prefer to perform LRIs at the conclusion of surgery in the event that a complication occurs necessitating a modification to the phaco incision. For routine cases, however, our preference is to place these relaxing incisions at the outset of surgery in order to minimize epithelial disruption. The one exception to this rule occurs in the case of high ATR astigmatism wherein the nomogram calls for a temporal arcuate incision greater than 40 degrees of arc. Because the temporal arc will be superimposed upon the phaco incision, if it is extended to its full arc length at the start of surgery, significant gaping and edema may result secondary to intraoperative wound manipulation. In this setting, the temporal incision is first made by creating a two-plane grooved phaco incision (at 600 micron depth). Following IOL implantation and prior to viscoelastic removal, while the globe is still firm, the relaxing incision is extended to its full arc length as dictated by the nomogram. When an LRI is superimposed upon the phaco tunnel, the keratome entry is first accomplished by pressing the bottom surface of the keratome blade downward upon the outer or posterior edge of the LRI. The keratome is then advanced into the LRI at an iris-parallel plane. This angulation will promote a dissection that takes place at midstromal depth, which will help assure adequate tunnel length and a self-sealing closure.

Proper centration of the incisions over the steep corneal meridian is of utmost importance. Increasing evidence supports the notion that significant cyclotorsion may occur when assuming a supine position.32 As previously noted, an axis deviation of only 15 degrees may result in a 50% reduction of surgical effect.5 For this reason, most surgeons advocate placing an orientation mark at the 12:00 or 6:00 limbus while the patient is in an upright position. This is particularly important when employing injection anesthesia wherein unpredictable ocular rotation may occur. An additional measure that may be employed to help center the relaxing incisions is to identify the steep meridian (plus cylinder axis) intraoperatively using some form of keratoscopy. The steep meridian over which the incisions are to be placed corresponds to the shorter axis of the reflected corneal mire. A simple handheld device such as the Maloney (Storz, Katena) or Nichamin (Mastel Precision) keratoscope works well, or a more robust and well-defined mire may be obtained through an elaborate microscope-mounted instrument such as the Mastel Ring of Light (Mastel Precision). Another common way in which the steep meridian is marked utilizes a Mendez Ring or similar degree gauge that is aligned with the previously placed limbal orientation mark, and the cylinder axis is then located on the 360-degree gauge.

The LRI should be placed at the most peripheral extent of clear corneal tissue, just inside of the true surgical limbus. This holds true irrespective of the presence of pannus or blood vessels. If bleeding occurs, it may be ignored and will cease spontaneously. One must avoid placing the incisions further out at the true surgical limbus in that a significant reduction of effect will likely occur due to both increased tissue thickness and a variation in tissue composition; these incisions are, therefore, really intralimbal in nature. In creating the incision, it is important to hold the knife perpendicular to the corneal surface in order to achieve consistent depth and effect. Good hand and wrist support is important, and the blade ought to be held as if one were throwing a dart such that the instrument may be rotated between thumb and index finger as it is being advanced, thus leading to smooth arcuate incisions. Typically, the right hand is used to create incisions on the right side of the globe, and the left hand for incisions on the left side. In most cases, it is more efficient to pull the blade toward oneself, as opposed to pushing it away. A lightly moistened corneal surface will help to prevent epithelial disruption, but may mask an unintentional perforation.

The extent of arc to be incised may be demarcated in several different ways. Our preferred method makes use of a modified Fine-Thornton fixation ring (Nichamin Fixation Ring and Gauge; Mastel Precision, Storz, Rhein Medical). This instrument serves to fixate and position the globe in order to optimize incision placement, as well as to delineate the extent of arc to be incised. One visually extrapolates from the limbus to marks on the surface of the ring. Each incremental mark is 10 degrees apart, and bold hash marks (180 degrees) opposite to each other serve to align and center the incision over the steep meridian. This approach obviates the need to ink and physically mark the cornea. If one desires, particularly when first gaining experience with LRIs, a two-cut RK marker may be used to place ink marks upon the cornea to show the exact extent of arc that is to be incised, in conjunction with the fixation ring/gauge (Fig. 4). Alternatively, various press-on markers are available, such as those made by Rhein Medical (Dell-Nichamin Marker, Nichamin-Kershner Marker, or the Ruminson Marker) (Fig. 5). ASICO and other instrument companies offer a full line of dedicated markers, rings, and blades for performing LRIs.

Fig. 4. The Nichamin Fixation Ring and Gauge serves to both fixate the globe and delineate the extent of arc to be incised; a two-cut radial marker may be used to mark the extent of arc to be incised, and the Mastel Nichamin Force AK Diamond Blade with preset depth of 600 microns.

Fig. 5. (A) Dell- Nichamin Marker. (B) Nichamin-Kershner Marker. (C) The Ruminson Astigmatic Gauge and Marker.

As noted, in the setting of concomitant cataract surgery, an empiric blade depth setting of 600 microns is commonly employed. Various knives have been designed specifically for this application, ranging from disposable steel blades to exquisite gemstone diamond knives. Synthetic (and less expensive) diamond materials are also available and are intended for limited reuse. Our preference is for diamond blade technology that incorporates a single small and arced footplate for enhanced visualization at the limbus (Mastel Precision). Two models are available, one with a preset depth of 600 microns and the other with an adjustable micrometer handle (Fig. 6). Similar designs are available from Rhein Medical, Storz, ASICO, and other manufacturers.

Fig. 6. (A)A diamond blade with a preset depth of 600 microns is used to perform LRIs for routine cataract surgery. (B) An adjustable depth micrometer blade is used in conjunction with the NAPA nomogram when treating younger patients.

Another less common method of creating peripheral relaxing incisions is to use a device such as the Terry/Schanzlin Astigmatome (Oasis Medical), which circumvents the need to make a “free-hand” incision. This trephine-like device has been designed to create consistent and symmetric peripheral arcuate corneal relaxing incisions. It uses a vacuum speculum that mates with various reusable templates that are selected based upon the amount of astigmatic correction that is desired. The incision is created by simply rotating a disposable steel blade unit that fits inside of the template (Fig. 7).

Fig. 7. The Terry/Schanzlin Astigmatome.

COMPLICATIONS

As discussed, LRIs are proving to be a safer and more forgiving approach to managing astigmatism as compared to more central corneal incisions. Nonetheless, as with any surgical technique, potential complications exist, and several are listed in Table 3. Of these, the most likely to be encountered is the placement of incisions upon the wrong axis. When this occurs, it typically takes the form of a 90-degree error with positioning upon the opposite, flat meridian. This, of course, results in an increase and likely doubling of the patient's preexisting cylinder. Compulsive attention is required in this regard. The surgeon ought to consider employing safety checks to prevent this frustrating complication from occurring, such as having a written plan that is brought into the operating room, kept visible and properly oriented. Incisions are always placed upon the plus (+) cylinder axis and opposite to the minus (−) cylinder axis.

TABLE 3. Potential Problems


Infection
Weakening of the globe
Perforation
Decreased corneal sensation
Induced irregular astigmatism
Misalignment/axis shift
Wound gape and discomfort
Operating upon the wrong (opposite) axis!

 

Although very rare when utilizing a blade depth setting of 600 microns, corneal perforation is possible. This may be due to improper setting of the blade depth or as a result of a defect in the micrometer mechanism. This latter problem may arise after repeated autoclaving and many sterilization runs. Periodic inspection and calibration is therefore warranted, even with preset single depth knives. When encountered, unlike radial microperforations, these circumferential perforations will rarely self-seal and will likely require placement of temporary sutures.

ENHANCEMENT TECHNIQUES

As mentioned, LRIs lend themselves well to in-office “touch-ups.” Although some surgeons will place or extend incisions at the slit-lamp, it is our preference to use a small operating microscope and to perform the procedure within a dedicated treatment room. It has been our experience that this provides far better surgical control as well as patient comfort. In the case of residual astigmatism without prior incisional correction, one uses the same technique and nomogram as described above.

In the case of an undercorrection following previous LRIs, one should inspect the length and positioning of the incisions. As indicated, placement of the incisions too far out into the true surgical limbus and beyond clear cornea will often lead to undercorrection. If the arc length and location appear to be adequate, one ought to suspect that the patient has an unusually thick cornea. This occurs most frequently in hyperopic eyes. In this situation, pachymetry should be performed and the incisions may be redeepened or extended. When faced with an overcorrection, one should resist the temptation to place additional incisions in the opposite meridian. This can lead to an unstable cornea with unpredictable refractive results, or worse, induce irregular astigmatism. Rather, one should consider nonincisional modalities such as PRK or LASIK. We also have had good results in this setting using conductive keratoplasty off-label, particularly if the overcorrection involves hyperopic astigmatism.29

To correct unusually high levels of astigmatism, LRIs may be used in conjunction with a toric IOL or excimer laser surgery (bioptics). In several rare cases, we have combined all three modalities and safely corrected up to 9 D of preexisting astigmatism!

Back to Top
CASE STUDIES
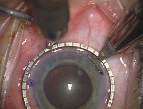
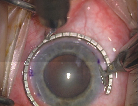
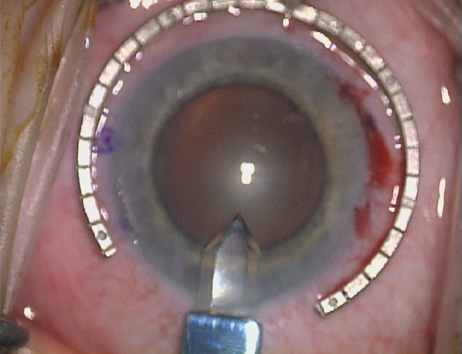
Case 1 is a 68-year-old male who presented for right cataract surgery. His refraction was −1.00 +2.25 × 80 and was recorded as reliable, consistent with his modest cataract density. Keratometry readings were 44.75 × 75 and 43.00 × 165. Corneal topography confirmed slightly more than 2.00 D of regular and slightly oblique cylinder. Consulting the nomogram, a plan was devised for a pair of LRIs to be centered over the 75-degree axis, with each incision delineating 45 degrees of arc. A single plane phaco incision was used and maintained at a size of less than 3.2 mm (Figs. 811).

Fig. 8. Steep meridian is confirmed intraoperatively by keratoscopy. In this left eye viewed from the temporal side, the “short axis” of the corneal mire is seen to be at the 75-degree meridian. (Reprinted from Hardten DR, Lindstrom RL, Davis EA. Phakic Intraocular Lenses: Principles and Practice. Thorofare, NJ: SLACK Incorporated, 2004, with permission.)

Fig. 9. The broad hash marks of the fixation ring/gauge are centered over the 75-degree meridian, using the 6:00 limbal mark for orientation. Alternatively, a Mendez gauge may be used. (Reprinted from Hardten DR, Lindstrom RL, Davis EA. Phakic Intraocular Lenses: Principles and Practice. Thorofare, NJ: SLACK Incorporated, 2004, with permission.)

Fig. 10. The single footplate diamond blade is inserted perpendicular to the corneal surface and at the peripheral most extent of clear corneal tissue. In this case, the nomogram calls for arcuate incisions of 45 degrees. Therefore, the incision is begun approximately 22.5 degrees to one side of the broad hash mark. (Reprinted from Hardten DR, Lindstrom RL, Davis EA. Phakic Intraocular Lenses: Principles and Practice. Thorofare, NJ: SLACK Incorporated, 2004, with permission.)

Fig. 11. Opposite relaxing incision is completed. (Reprinted from Hardten DR, Lindstrom RL, Davis EA. Phakic Intraocular Lenses: Principles and Practice. Thorofare, NJ: SLACK Incorporated, 2004, with permission.)

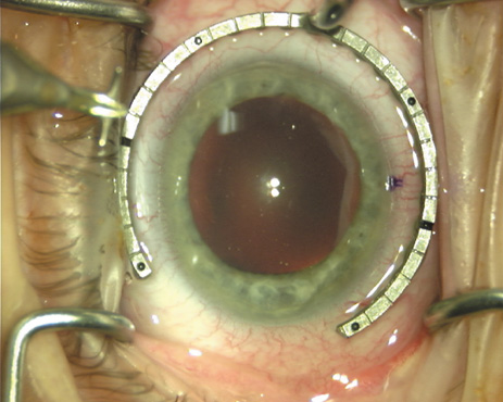
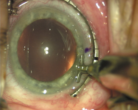
Case 2 is a 79-year-old woman who presented with a very dense left cataract. Her refraction was recorded at −2.25 +2.75 × 125 with a difficult end point. Her manual keratometry and topography measurements were consistent and revealed slightly less than 1.75 D at 120 degrees. Because of the questionable refraction, greater value was placed on the corneal measurements. Based upon the cataract nomogram, the plan was for paired LRIs of 40 degrees to be placed over the steep 120-degree axis (Figs. 1219).

Fig. 12. In this left eye, the steep meridian is at the 120-degree axis and has been delineated by opposing limbal marks. The upper left hand ink mark represents the 6:00 position for orientation. (Reprinted from Hardten DR, Lindstrom RL, Davis EA. Phakic Intraocular Lenses: Principles and Practice. Thorofare, NJ: SLACK Incorporated, 2004, with permission.)

Fig. 13. The incision is begun 20-degrees to one side of the centering mark. (Reprinted from Hardten DR, Lindstrom RL, Davis EA. Phakic Intraocular Lenses: Principles and Practice. Thorofare, NJ: SLACK Incorporated, 2004, with permission.)

Fig. 14. The incision is completed. (Reprinted from Hardten DR, Lindstrom RL, Davis EA. Phakic Intraocular Lenses: Principles and Practice. Thorofare, NJ: SLACK Incorporated, 2004, with permission.)

Fig. 15. Total arc length equals 40 degrees. (Reprinted from Hardten DR, Lindstrom RL, Davis EA. Phakic Intraocular Lenses: Principles and Practice. Thorofare, NJ: SLACK Incorporated, 2004, with permission.)

Fig. 16. The starting point of the opposing incision is determined. (Reprinted from Hardten DR, Lindstrom RL, Davis EA. Phakic Intraocular Lenses: Principles and Practice. Thorofare, NJ: SLACK Incorporated, 2004, with permission.)

Fig. 17. The opposing incision is begun. (Reprinted from Hardten DR, Lindstrom RL, Davis EA. Phakic Intraocular Lenses: Principles and Practice. Thorofare, NJ: SLACK Incorporated, 2004, with permission.)

Fig. 18. The incision is completed. (Reprinted from Hardten DR, Lindstrom RL, Davis EA. Phakic Intraocular Lenses: Principles and Practice. Thorofare, NJ: SLACK Incorporated, 2004, with permission.)

Fig. 19. The temporal single-plane clear corneal incision is placed independent of the LRIs. (Reprinted from Hardten DR, Lindstrom RL, Davis EA. Phakic Intraocular Lenses: Principles and Practice. Thorofare, NJ: SLACK Incorporated, 2004, with permission.)

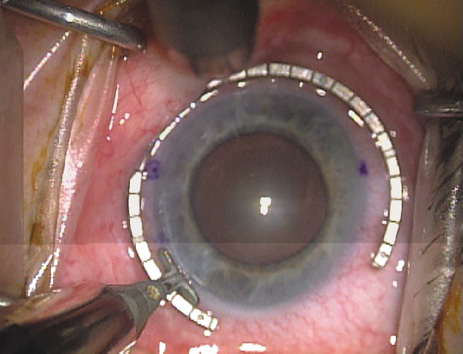
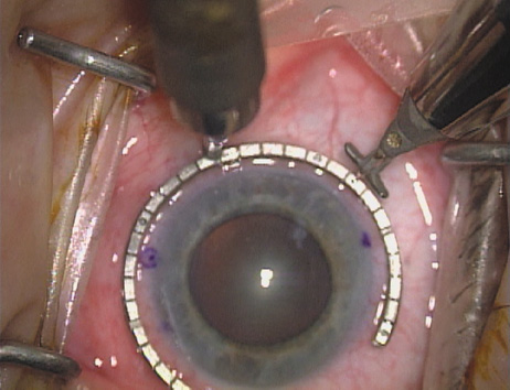
Case 3 is a 48-year-old bilateral hyperope who presented for a refractive surgical consultation. The refraction in his left eye was found to be +3.25 +1.75 × 85. Keratometry was somewhat flat but confirmed WTR cylinder as did corneal topography. Based upon the patient's age, refraction, and somewhat shallow anterior chambers, the decision was made to proceed with a refractive lens exchange. The NAPA nomogram called for LRIs of 55 to 60 degrees with intraoperative pachymetry. Intraoperative keratoscopy confirmed the steep 85-degree meridian (Figs. 2029).

Fig. 20. Keratoscopy, after lifting of the speculum to relieve induced pressure and distortion of the corneal mires, confirms the steep axis of 85 degrees.

Fig. 21. The broad hash marks of the fixation ring are centered just off of the 6:00 limbal orientation mark, over the 85 degree meridian in this left eye. The two cut RK marker is positioned at one extent of the LRI, just under 30 degrees from the central steep meridian and the cornea is marked.

Fig. 22. A second mark is made delineating the opposite extent for a total arc length of just under 60 degrees.

Fig. 23. Following pachymetry measurement over the entire arc length of the incision, an adjustable micrometer diamond knife is set to 90% of the thinnest reading obtained.

Fig. 24. The inferior incision is begun.

Fig. 25. The incision is completed for a total arc length of just under 60 degrees.

Fig. 26. The opposing superior LRI is begun.

Fig. 27. The incision is completed at the corneal mark.

Fig. 28. 6A side-port incision is created for the surgeon's non-dominant right hand, taking care not to intersect the LRI.

Fig. 29. The single-plane RLE incision is completed.

Back to Top
REFERENCES

1. Brick DC: Risk management lessons from a review of 168 cataract surgery claims. Surv Ophthal 43:356, 1999

2. Practice styles and preferences of ASCRS members—2003 survey. J Cataract Refract Surg 30:892, 2004

3. Findl O, Drexler W, Menapace R, et al: High precision biometry of pseudophakic eyes using partial coherence interferometry. J Cataract Surg 24:1087, 1998

4. Small incision surgery: wound construction and closure. J Cataract and Refract Surg 17(suppl):653, 1991

5. Abrams D: Ophthalmic optics and refraction. In System of Ophthalmology. Duke-Elder SS, Ed. St. Louis, MO: Mosby, 1970:671

6. Buzard K, Shearing S, Relyea R: Incidence of astigmatism in a cataract practice. J Refract Surg 4:173, 1988

7. Wallace RB: Refractive cataract surgery and multifocal IOLs. Thorofare, NJ: SLACK Incorporated, 2000

8. Novis C: Astigmatism and toric intraocular lenses. Curr Opin Ophthalmol 11:47, 2000

9. Trindade F, Oliveira A, Frasso M: Benefit of against-the-rule astigmatism to uncorrected near acuity. J Cataract Refract Surg 23:82, 1997

10. Savage H, Rothstein M, Davuluri G, et al: Myopic astigmatism and presbyopia trial. Am J Ophthalmol 135:628, 2003

11. Lyle WA, Jin G: Prospective evaluation of early visual and refractive effects with small clear corneal incisions for cataract surgery. J Cat Refract Surg 22:1456, 1996

12. Masket S, Tennen DG: Astigmatic stabilization of 3.0mm temporal clear corneal cataract incisions. J Cataract Refract Surg 22:1451, 1996

13. Sun XY, Vicary D, Montgomery P, et al: Toric intraocular lenses for correcting astigmatism in 130 eyes. Ophthalmology 107:1776, 2000

14. Till JS, Yoder PR, Wilcox TK, et al: Toric intraocular lens implantation: 100 consecutive cases. J Cat Refract Surg 28:295, 2002

15. Ruhswurm I, Scholz U, Zehetmayer M, et al: Astigmatism correction with a foldable toric intraocular lens in cataract patients. J Cat Refract Surg 26:1022, 2000

16. Dick HB, Alio JA, Bianchetti M, et al: Toric phakic intraocular lens european multicenter study. Ophthalmology 110:150, 2003

17. Osher RH: Combining phacoemulsification with corneal relaxing incisions for reduction of preexisting astigmatism. Paper presented at Annual meeting of the American Intraocular Implant Society, Los Angeles, CA, 1984

18. Maloney WF: Refractive cataract replacement: a comprehensive approach to maximize refractive benefits of cataract extraction. Paper presented at Annual Meeting of the American Society of Cataract and Refractive Surgery, Los Angeles, CA, 1986

19. Osher RH: Transverse astigmatic keratotomy combined with cataract surgery. In Contemporary Refractive Surgery-Ophthalmology Clinics of North America. Thompson K, Waring G, Eds. Philadelphia, PA: WB Saunders, 1992:717

20. Budak K, Friedman NF, Koch DD: Limbal relaxing incisions with cataract surgery. J Cat Refract Surg 24:503, 1998

21. Muller-Jensen K, Fischer P, Siepe U: Limbal relaxing incisions to correct astigmatism in clear corneal cataract surgery. J Refract Surg 15:586, 1999

22. Nichamin LD: Changing approach to astigmatism management during phacoemulsification: Peripheral arcuate astigmatic relaxing incisions. Paper presented at Annual Meeting of the American Society of Cataract and Refractive Surgery, Boston, MA, 2000

23. Koch MJ, Kohnen T: Refractive cataract surgery. Curr Opin Ophthalmol 10:10, 1999

24. Thornton SP: Radial and Astigmatic Keratotomy: The American System of Precise, Predictable Refractive Surgery. Thorofare, NJ: SLACK Incorporated, 1994.

25. Lever J, Dahan E: Opposite clear corneal incisions to correct preexisting astigmatism in cataract surgery. J Cat Refract Surg 26:803, 2000

26. Nichamin LD: Opposite clear corneal incisions. J Cat Refract Surg 27:7, 2001

27. Nichamin LD: Bioptics: Expanding its role to pseudophakia. Paper presented at Annual Meeting of the American Society of Cataract and Refractive Surgery, Philadelphia, PA, 2002

28. Nichamin LD: Bioptics for the pseudophakic patient. In A Complete Guide to Astigmatism Management: An Ophthalmic Manifesto. Gills JP, Ed. Thorofare, NJ: SLACK Incorporated, 2003:37

29. Nichamin LD: Results of CK after cataract surgery. Paper presented at Annual Meeting of the American Society of Cataract and Refractive Surgery, San Diego, CA, 2004

30. Schimmelpfenning BH, Waring GO: Development of radial keratotomy in the nineteenth century. In Refractive keratotomy for myopia and astigmatism. Waring GO, ed. St. Louis, MO: Mosby-Year Book, 1992:174

31. Gills JP: A complete guide to astigmatism management. Thorofare, NJ: SLACK Incorporated, 2003

32. Swami AU, Steinert RF, Osborne WE, et al: Rotational malposition during laser in situ keratomileusis. Am J Ophthalmol 133:561, 2002

Back to Top