| Chapter 25 Anatomy and Embryology of the Optic Nerve JIE ZHANG, RICHARD M. RUBIN and NARSING A. RAO Table Of Contents |
|
ANATOMY HISTOLOGY BLOOD SUPPLY EMBRYOLOGY AND HISTOGENESIS REFERENCES |
| ANATOMY |
| The optic nerve is a unique part of the central nervous system (CNS). It
lacks neuronal cell bodies and is isolated from the rest of the brain. The
optic nerve consists of unbranched axons of the retinal ganglion
cells and the glial cells. The number of axons can be considered a constant, whereas
glia and myelin are present in variable amounts relative
to the axons and the surrounding microenvironment. The human optic nerve is approximately 50 mm long from the back of the eye to the optic chiasm and consists of four portions. The intraocular portion (optic nerve head) is approximately 1 to 1.5 mm long and 1.5 mm in diameter and traverses the sclera. The intraorbital portion, approximately 30 to 40 mm long and 3 to 4 mm in diameter, has a sinuous course that allows for considerable excursion as the globe moves. Approximately 8 to 15 mm behind the globe, the central retinal artery penetrates and reaches the axia of the optic nerve (Fig. 1). The intracanalicular portion, which is approximately 5 to 8 mm long, passes through the optic canal and is tightly fixed within the canal. The intracranial portion is approximately 10 mm long and joins with the contralateral nerve to form the optic chiasm. All of the CNS sheaths, including the pia mater, arachnoid, and dura mater, surround the intraorbital portion of the optic nerve. Several important structures are situated close to the intracranial portion of the optic nerve. The frontal lobe of the brain lies above each optic nerve. The anterior cerebral and anterior communicating arteries separate the optic nerve from the olfactory tract. Laterally, the ophthalmic artery arises from the internal carotid artery and is located beneath the optic nerve near the optic canal. Because of the close anatomic relationship that exists between the proximal optic nerve, the chiasm, and the internal carotid artery and its branches, any space-occupying lesions that occur in this area may compress the optic nerve or chiasm, resulting in vision loss and visual field defects. Also, diseases of the sphenoid and posterior ethmoid cells, which are usually situated either inferiorly or inferomedially, may also affect the optic nerve and chiasm. |
| HISTOLOGY | ||
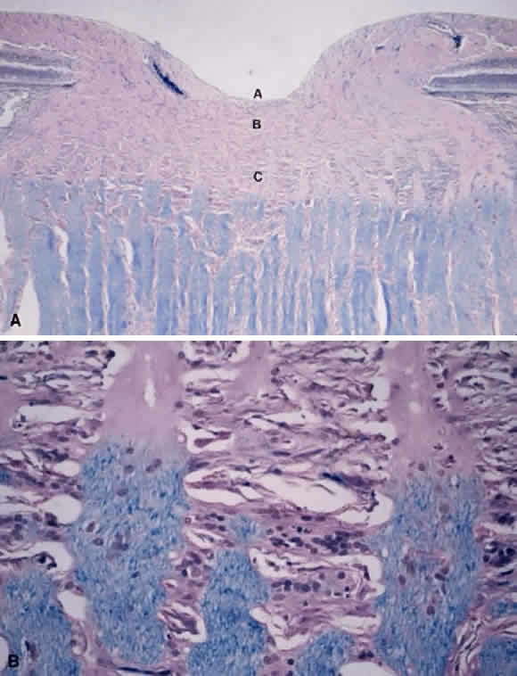
OPTIC NERVE HEAD The optic nerve head extends from the surface of the optic disc to the posterior scleral surface,1 where the axons of the retinal ganglion cells form bundles that emerge from the nerve fiber layer and turn to exit from the globe. For the purposes of discussion, the optic nerve head is divided into three regions: (1) the surface nerve fiber layer, (2) the prelaminar region, and (3) the lamina cribrosa region.2
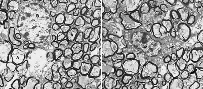
Immunohistochemical analysis reveals two subtypes of astrocytes, types 1A and 1B, in the optic nerve head.5 Type 1A astrocytes, located at the edges of the cribriform plates, form the glial limiting membrane that supports the axons. Type 1B astrocytes form the glial columns, line the cribriform plates, and may interface between blood vessels and other connective tissue surfaces.5 Both astrocyte subtypes, 1A and 1B, are positive forglial fibrillary acidic protein (GFAP) and negative for A2B5, an antibody that recognizes an epitope common to sialogangliosides and sulfatides in the plasma membrane of neurons and neuroendocrine and glial cells.6,7 The major difference between the two subtypes is that type 1A astrocytes are negative for both HNK-1 and N-CAM (antibodies associated with the HNK-1 epitope and the neural cell adhesion molecule, respectively), whereas type 1B cells are positive for both of these antibodies.8–10 In contrast to the other portions of the optic nerve, there are no oligodendrocytes in the optic nerve head. INTRAORBITAL, INTRACANALICULAR, AND INTRACRANIAL PORTIONS OF THE OPTIC NERVE These three portions of the optic nerve are composed of myelinated axons; neuroglial cells, including astrocytes, microglia, and oligodendrocytes; and fibrovascular septa, consisting of the blood vessels, fibroblasts, and pial meningothelial cells. The axons are grouped into bundles by astrocyte columns and vascular connective tissue septa. Within a group, axons are separated from each other by myelin sheaths, interspaced with the cytoplasmic processes of glial cells. Axons The axons, also called nerve fibers, are the major component of the optic nerve. The nonmyelinated axons of the retinal ganglion cells converge toward and turn sharply on the optic disc. Once they penetrate the lamina cribrosa, the axons immediately become myelinated (see Fig. 2). In cross-section using hematoxylin and eosin (H&E) stain, the principal myelinated optic nerve fibers appear as small, faintly stained, eosinophilic dots surrounded by relatively clear halos. These clear halos, representing the myelin sheaths, are the result of lipid dissolution during processing. Special stains can be used to enhance the appearance of axons (e.g., Bodian's method and Luxol fast blue staining). Under electron microscopy, the nerve fibers are identified as cytoplasm with mitochondria enveloped by multilaminar myelin sheaths. The myelin sheaths of the optic nerve are formed by oligodendrocytes (Fig. 3). A distinct arrangement of axons is found in the optic nerve: the peripheral retinal axons are located in the peripheral portion of the optic nerve, and the central area of the nerve contains fibers from the posterior retina. Macular fibers form the papillomacular bundle and enter the disc temporally; they remain temporal for a short distance behind the eye, but as they proceed further posteriorly these fibers become diffusely distributed. Nerve fibers arising in the nasal half of the retina cross in the chiasm; axons arising in the temporal half are uncrossed.11 It is believed that most optic nerve fibers carry afferent visual and pupillomotor impulses. A few fibers project to the hypothalamus or superior colliculus, where they may provide afferent information affecting the body's circadian rhythm or a rudimentary representation of the visual space (blindsight), respectively.12,13 Efferent (centrifugal) fibers of the optic nerve, presumed to be vasomotor in function, were identified in the human optic nerve after enucleation of the globe. Silver staining of these axons showed retrograde degeneration, whereas the remaining axons in the orbital portion of the optic nerve showed little or no retrograde degeneration. In uninterrupted optic nerve, efferent axons could not be differentiated from those of the afferent type.14
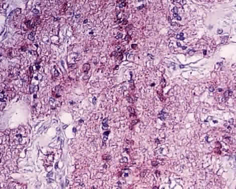
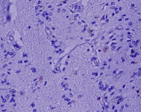
Glial Elements As in the CNS, the glial elements of the optic nerve include astrocytes, oligodendrocytes, and microglia. The astrocytes and oligodendrocytes are derived from the neuroectoderm15; the origin of the micro-glia is controversial. Most studies support their origin from mesoderm rather than ectoderm.16,17 ASTROCYTES. All of the astrocytes in the optic nerve and optic nerve head appear to be fibrous, with a large cell body and many long, coarse processes. Astrocytes line the borders between axons and other tissues of the area, in particular the vitreous interface, choroid, sclera, and capillaries. With H&E staining, the cell processes are not demonstrable; their nuclei appear to be naked, and the cell bodies are likewise arranged into longitudinal rows with interspersed astrocytes and oligodendrocytes. Under electron microscopy, the astrocytes are characterized by rich processes, extensively lobulated nuclei, numerous intermediate glial filaments, glycogen granules and a wide type of granular endoplasmic reticulum. In the optic nerve there are two subtypes of astrocytes, types 1 and 2, based on differences in the intensity of staining with anti-GFAP and A2B5 antibodies. Type 1 astrocytes, which are GFAP positive and A2B5 negative, are located at the periphery of the nerve and form the glial limitans.18–20 Type 2 astrocytes are positive for GFAP and A2B5. These are primarily located in the interior of the nerve and form transversely oriented processes that end on blood vessels (Fig. 4). Functionally, astrocytes provide a scaffolding that supports the axons and maintains a stable biochemical environment around the nerve fibers. At the site of axonal loss, astrocytes can form scar tissue, known as gliosis. OLIGODENDROCYTES. Oligodendrocytes can make and maintain myelin sheaths of the optic nerve axons, similar to the function of Schwann cells in the peripheral nerves, but without forming a basement membrane around the myelin sheaths.21 Oligodendrocytes are normally absent in the retina and optic nerve head, appearing posterior to the lamina cribrosa. Morphologically, they show small, round or oval nuclei, a granular cytoplasm, and delicate branching processes that terminate in loops. Oligodendrocytes are located in groups between the axons, usually near the center of the axonal bundles, with their processes running parallel to the axons. In contrast to the astrocytes, oligodendrocytes are devoid of footplates; they do not exhibit any connection with connective tissue septa, and they lack the ability to regenerate once injured. When viewed by electron microscopy, oligodendrocytes appear moderately electron dense compared with astrocytes. The nucleus is round or oval and is usually eccentrically located, leaving a large mass of cytoplasm at one pole of the cell. The nuclear content exhibits a slight clumping of chromatin that appears as a rim beneath the nuclear envelope. The cytoplasm is rich in ribosomes, either free or associated with the endoplasmic reticulum. The Golgi complex is well developed. The oligodendrocytes have neither glycogen granules nor bundles of intermediate filaments (see Fig. 3). When analyzed by immunohistochemical methods, oligodendrocytes stain negative for GFAP but positive for galactocerebroside, myelin basic protein, and neural cell marker HNK-1/N-CAM.5 MICROGLIA. Microglia are the phagocytes of the CNS. In the normal optic nerve, these cells are ordinarily present in small numbers, and most are found within bundles of axons, with some situated adjacent to the glial septa and to blood vessels.17 Normally, these cells are irregularly oval, containing small nuclei and many long and slender branching processes. Under electron microscopy, microglial cells have small, heterochromatic nuclei. The cytoplasm shows vacuoles, granular endoplasmic reticulum arranged in long, narrow strands, and various inclusions, including large dense bodies, lamellar bodies, myelin bodies, and other forms of cellular debris (see Fig. 3).17 Immunohistochemical studies reveal that microglia in the retina are positive for Griffonia simplicifolia B4-isolectin, CR3 complement receptor, leukocyte common antigen (CD45), and antimacrophage marker CD68 (Fig. 5).22,23 These cells do not contain glial filaments.
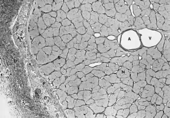
Microglia usually reside quietly in the optic nerve, but they can be easily activated by trauma, inflammation, edema, or degenerative conditions. The activated microglia become oval or rod-shaped, their small nuclei enlarge and become elongated, and the complicated cytoplasmic processes are withdrawn. Activated cells can phagocytize a variety of materials and can express major histocompatibility complex class I and II molecules (see Fig. 5).22,23 Optic Nerve Sheaths and Their Spaces The intraorbital portion of the optic nerve is enclosed by three sheaths that are continuous with the meninges of the CNS: the dura mater, arachnoid, and pia mater (Fig. 6). The outermost of these is the dura mater, a dense collagenous and elastic tissue. Anteriorly, the dura mater frays and inserts into the sclera and rectus muscle sheaths along with the ciliary arteries and nerves. Posteriorly, the dura mater divides into two layers. One of these layers fuses with the periosteum of the bony canal and with Zinn's annulus at the apex of the orbit; the remaining layer is tightly adherent to the bone of the canal and the optic nerve. When the optic nerve passes the cranial foramen of the canal, the dura mater becomes the periosteum of the sphenoid bone. Therefore, even small lesions that occur within the canal or at its openings will compress and damage the optic nerve. The arachnoid is composed of trabeculae of collagenous and elastic fibers lined by meningothelia. It contains numerous vessels, along with some fibroblasts and histiocytes. The meningothelia often proliferate in a concentric pattern and form onion-like structures, with or without calcification, known as the psammoma bodies or corpora arenacea, respectively. The pia mater lies tightly on the surface of the nerve and consists of collagenous fibers, elastic fibers, and a fused glial layer. The pia mater invests the nerve and sends fibers into it to form the characteristic septa. The septa are separated from the surrounding nervous tissue by the foot processes of the astrocytes, but they are continuous with the collagenous adventitial sheaths of the central retinal artery and vein within the optic nerve. The pia mater joins the sclera and choroid anteriorly; posteriorly, it continues through the optic foramen to form the single sheath around the intracranial portion of the optic nerve. The potential space between the dura mater and the arachnoid, known as the subdural space, does not communicate with the corresponding intracranial space and has little clinical significance. The subarachnoid space, between the arachnoid and the pia mater, is continuous with the corresponding intracranial space. It transmits cerebrospinal fluid, which provides a pathway for the spread of blood, infectious agents, and tumor cells between the eye and the CNS. |
| BLOOD SUPPLY |
OPTIC NERVE HEAD The blood supply to the optic nerve head comes from an extensive network of arterioles and capillaries originating from the short posterior ciliary arteries, the central retinal vessels, the pia mater, and the choroid. The surface nerve fiber layer is primarily supplied, in a centripetal pattern, by branches of the central retinal artery arising in peripapillary retina. Direct choroidal contribution is not demonstrated in this layer. Anteriorly, the capillaries in this region are continuous with the retinal capillary bed atthe disc margin; posteriorly, they connect with the capillary bed of the prelaminar region.2,24–27 When the cilioretinal artery is present, its precapillary branches may contribute to the temporal sector of this layer.2,26 The major blood supply to the prelaminar region is the short posterior ciliary arteries. The central retinal artery does not directly contribute to this portion. In fact, there is some controversy regarding the precise blood supply to this region. The Zinn-Haller circle is an arterial anastomotic circle made up of the short posterior ciliary arteries, but some investigators report that this circle is uncommon and incomplete when it exists.2,28 Others point out the many anatomic variations of this circle and its location approximately 200 to 300 mm posterior to the superchoroidal space surrounding the optic nerve head.25–27,29 The short posterior ciliary arteries supply the prelaminar region, both through direct branches and via the Zinn-Haller circle. Another debate concerns whether the peripapillary choroidal vessels supply the optic nerve head. Some reports have emphasized the contributions of the centripetal branches from the peripapillary choroidal vessels to this region.2,28,30,31 Other studies have shown that branches from the short posterior ciliary arteries, passing through the sclera rather than through the choroid, supply most of the optic nerve head.25,27,32 However, 10% of the vessels entering the prelaminar region originate from choroidal vessels.26 The capillaries in this region are complex, randomly arranged, and continuous with the capillary bed of the surface nerve fiber layer and laminar region. Because of the capillary network, the central retinal artery and the short posterior ciliary artery can communicate and contribute to the prelaminar region.26,33 Infrequently, the branches of cilioretinal arteries also supply this region.26 The laminar region is entirely supplied by branches from the short posterior ciliary arteries and the Zinn-Haller circle.2,26 The peripapillary choroid may contribute occasional small arterioles.25 The capillaries in the laminar region form striated layers following the pattern of the connective tissue septa of this region and are continuous with the capillaries of the retrolaminar region. The retrolaminar region is considered an integral part of the optic nerve head on the basis of blood supply. The blood to this region comes mainly from the pial vessels on the periphery of the optic nerve and branches arising from the short posterior ciliary arteries.2,25 The central retinal artery also contributes centrifugal branches during its intraneural course in the optic nerve.2 Hayreh2 reported contribution to this region from the peripapillary choroid, but the same was not noted by Onda and colleagues.25 This region also receives blood from the laminar region through a continuous capillary network. The capillaries become sparse in this region in comparison to the surface nerve fiber layer and the prelaminar and laminar regions.34–36 The blood supply to the optic nerve head is demonstrated in Figure 7. The venous drainage of the optic nerve head is mainly through centripetal tributaries to the central retinal vein. Smaller venules also drain from the superficial nerve fiber layer to the choroid (opticociliary veins).26 The arteries, veins, and capillaries in the optic nerve head and the nerve are similar to the vessels of the CNS. The endothelia are nonfenestrated and have tight junctions. Pericytes and their processes are found on the outside of the endothelia in some capillaries. The blood vessels in the optic nerve head do not leak fluorescein or other tracers. The capillary network of the optic nerve head is separate from that of choroid. A vascular cuff is noted at the boundary of the peripapillary choroid and the optic disc head, which also has nonfenestrated endothelia.27 Although the capillary bed of the choroid similarly derives from the posterior ciliary arteries, it has a fenestrated endothelium with few pericytes, and it leaks fluorescein. OPTIC NERVE It is generally agreed that the main blood supply to the intraorbital portion of the optic nerve is directly or indirectly derived from the ophthalmic artery via the vessels of the pia mater. Ophthalmic artery branches cross the dural sheath 10 to 12 mm behind the eye to contribute to the pial system. Recurrent branches from the posterior ciliary arteries and juxtapapillary choroid add to the anterior pial supply. The centripetal branches from the central retinal artery may cosupply the intraorbital optic nerve. The central retinal artery, also a branch of the ophthalmic artery, passes directly through the subarachnoid space to enter the nerve, whereas the accompanying vein has a variable course that is more oblique. The intracranial portion of the optic nerve is supplied by the vessels derived from the internal carotid, anterior cerebral, anterior communicating, and ophthalmic arteries. The pial arterioles become capillaries as they pass through the pial septa into the axial portion of the nerve. Capillaries in the retrolaminar optic nerve are continuous with those of the laminar region but are decreased in number.34–36 The pathway of the ophthalmic artery branches to the central retinal vessels through the sheaths and into the nerve is of clinical importance. Neoplasms and inflammatory processes originating in the eye or the optic nerve may follow their course and gain access to the subarachnoid space and hence to the brain. |
| EMBRYOLOGY AND HISTOGENESIS | ||||||||||||||||||||||||||||||||||||||||||||||||||||||
OPTIC NERVE HEAD The optic nerve head is formed late in the embryonic period as the optic stalk encloses the hyaloid artery (the eighth week, 20-mm stage). At this stage, the hyaloid artery is inside the hyaloid canal, which communicates with the primary vitreous. Bergmeister's papilla consists of a cone-shaped mass of glial cells at the mouth of the hyaloid canal (23- to 32-mm stage), where the hyaloid artery exits from the disc. From the hyaloid artery, the vascular buds develop (the 13th week, 96-mm stage) within Bergmeister's papilla and through it into the nerve fiber layer of the retina. The glial cells form the sheaths of these vessels. Eventually, the hyaloid artery disappears before birth, Bergmeister's papilla becomes atrophic, and the physiologic cup of the optic disc develops at the 15th week of gestation. OPTIC NERVE Axons The optic nerve develops from the embryonic optic stalk, which appears at the fourth week and connects the optic vesicle to the forebrain (Table 1). As the stalk lengthens, it becomes thinner and the lumen is progressively occupied by the axons growing from the ganglion cells of the retina (the seventh week, 15-mm stage). In the meantime, the embryonic cleft closes at the sixth week of gestation. At the eighth week, axons fully occupy the stalk and reach the brain, and a rudimentary optic chiasm is established. The mechanism by which the embryonic retinal ganglion cell axons reach the optic disc remains unclear. Many factors, such as the paired box containing the Pax2 gene,37 the axon guidance molecule netrin-1,38 and other cell surface or extracellular matrix components39 may be involved in axon pathfinding mechanisms. Expression errors of these molecules lead to optic nerve hypoplasia. The axons of the optic nerve are surrounded by myelin sheaths. Myelinization begins centrally, progresses in a centrifugal direction toward the eye, and terminates at the level of the lamina cribrosa. The myelin sheath is produced by oligodendrocytes, and myelinization is usually complete shortly after birth.
TABLE ONE. Development of the Optic Nerve 24,41,42
Optic Nerve Sheaths The sheaths of the optic nerve begin to appear at the end of the seventh week. Thin, elongated mesenchymal cells surround the optic nerve (10-mm stage) and become a single compact layer by the 17-mm stage. The pia mater can be identified by the ninth to tenth week of gestation (45- to 50-mm stage), followed by the dura mater at the fifth month of gestation and the arachnoid sheath by the sixth and seventh months of gestation. Both the pia mater and the arachnoid are derived from the neural crest. Glial Element At the ninth week (45-mm stage), the glial cells in the optic nerve are oriented in rows between the fascicles of axons. A peripheral layer of glial cells forms a glial limitans made up of immature astrocytes with glial filaments under the thin meningeal sheath. The glial limitans is separated from the pia mater by a complete basement membrane. Astrocytes line the connective tissue septa and capillaries. They are distributed among the axons at the 200-mm stage. It has been suggested that optic nerve oligodendrocytes may originate from the astrocytes that occupy the optic nerve before myelinization rather than exclusively from glioblasts. The glial cells in the optic nerve and retina may differentiate into astrocytes and oligodendrocytes.14,16,40,41 It is not clear whether microglia originate from mesoderm or ectoderm, although most studies support a mesodermal origin.17 Under the electron microscope, microglia are identified in the optic nerve at the eighth week of gestation. Most microglia are found within bundles of axons, and there is no preferential distribution in relation to blood vessels or to the pial surface at any stage of development. The percentage of microglia present increases from 1.3% at 8 weeks to 2.7% at 18 weeks.14 Vasculature The development of capillaries in the optic nerve and the CNS is similar. At the 11th week (65- to 73-mm stage), vessels and connective tissue from the pia mater begin to enter the proximal optic nerve and slowly enlarge the connective tissue septa during the next few months.3 The capillaries within the optic nerve are separated from the axons by a relatively complete astrocyte sheet and perivascular space. In the 18th week (160-mm stage), vascularization of the optic nerve is completed, and there may be anastomoses anteriorly by this stage with the arterial circle of Zinn-Haller. The capillaries within the neural tissue are surrounded by astrocytes and by a partially fused double basement membrane of both endothelial and glial cell origin. The basement membrane along the astrocytic foot processes defines the limits of the connective tissue septa along the neural tissue.41,42 |