Chapter 32
Embryology and Anatomy of the Orbit and Lacrimal System
JURIJ R. BILYK and FREDERICK A. JAKOBIEC
Main Menu   Table Of Contents

Search

EMBRYOLOGY
ANATOMY
REFERENCES

EMBRYOLOGY
The optic cup and subsequent optic vesicle determine the formation of the surrounding orbital soft tissue contents and the bony orbital walls. A major discovery of experimental embryologists was the extensive contributions of the cranial neural crest to the connective tissues of the head and neck region,1–3 which are due to the local absence of paraxial somites. These connective tissue contributions of the neural crest are collectively referred to as mesectoderm or ectomesenchyme (Fig. 1). In the orbit, the fibrous and fibroadipose tissue, the meninges of the optic nerve, the sclera and episclera, the vascular pericytes and striated extraocular muscle satellite cells, the peripheral nerve cellular elements, and the osteocytes and cartilaginous elements are distinctive in being progeny of the neural crest anlage.

Fig. 1. Parasagittal and axial sections through the head of an embryo show the eventual ventral location of the migrated neural crest cells (dotted area) in relation to the paraxial mesoderm (crosshatched area) around the hindbrain. (Johnston MC, Bhakdinaronk A, Reid YC: An expanded role of the neural crest in oral and pharyngeal development. In Bosma JF [ed]: The Fourth Symposium on Oral Sensation and Perception, pp 37–52. HEW Pub No 73–546. Bethesda, National Institutes of Health, 1973)

Conversely, endothelial cells forming the inner lining of orbital vessels are believed to be an ingrowth into the orbital region of true mesoderm; whether the striated extraocular muscle cells are ingrowths from the preotic somites4 or whether they represent in situ differentiations of true mesectodermal rather than mesodermal cells is debatable. The latter possibility is more plausible if one remembers that neural tumors are well known to be able to produce heterologous striated muscle differentiations (e.g., in intraocular medulloepitheliomas and in peripheral nerve sheath malignancies [so-called triton tumors]).5–9 Further, certain smooth muscle tumors of the ciliary body and orbit may show unusual neural characteristics in their growth patterns; these have been referred to as mesectodermal tumors.10–12 Extremely unusual dysontogenetic tumor masses may occur around the orbit and can combine connective tissue and neural elements (ectomesenchymomas).13

The scaffolding of the orbital bones is laid down within the first 2 months of embryogenesis.4 Migration of the neural crest cells proceeds over the face along two routes, which meet in the area of the orbit.14 The maxillary wave of neural crest cells curves around the developing eye from below, while a frontonasal anlage migrates over the procencephalon and approaches the optic stalk from above (Fig. 2). Thus, the floor and lateral wall of the orbit are contributed by the maxillary process, whereas the lacrimal and ethmoidal bones are contributed by the frontonasal process. The significance of this migratory pattern cannot be overemphasized and is paramount for understanding the location of congenital orbital, eyelid, and lacrimal anomalies (Fig. 3). A failure of fusion between the neural crest waves results in clefting syndromes, at least 30 of which involve the orbit.15 Also, the typical location of dermoid cysts at the frontozygomatic and frontoethmoidal suture lines is the result of a sequestration of surface ectoderm in areas of neural crest cell fusion. Finally, it appears that the superficial spread and deep invasion of basal cell carcinoma on the midface may be at least partially due to the location of the embryonic fusion planes.16

Fig. 2. Neural crest cells arise along the dorsolateral part of the neural tube and migrate ventrally to fill in the upper facial process in two waves. (Johnston MC: A radioautographic study of the migration and fate of cranial neural crest cells in the chick embryo. Anat Rec 156:147, 1966)

Fig. 3. Stippled area of the face indicates the soft tissues and bones of the skull formed by neural crest cells. Note that a portion of the lateral orbital wall and sclera is not included. (Johnston MC, Bhakdinaronk A, Reid YC: An expanded role of the neural crest in oral and pharyngeal development. In Bosma JF [ed]: The Fourth Symposium on Oral Sensation and Perception, pp 37–52. HEW Pub No 73–546. Bethesda, National Institutes of Health, 1973)

The lesser wing of the sphenoid bone is initially cartilaginous, but the greater wing and the rest of the orbital bones are membranous in nature and ossify and fuse between the 6th and 7th months of gestation. As the orbital bones develop, the eyes converge from an initial 180° relation to their final position of 68°, achieved in infancy. However, the orbital axis remains somewhat divergent at birth (115° between the lateral orbital wall and the skull axis) when compared with that of adults (45°) (Fig. 4).15

Fig. 4. Angular separation of the globes at 2 months' gestation, 3 months' gestation, birth, and adulthood. (Fries PD, Katowitz JA: Congenital craniofacial anomalies of ophthalmic importance. Surv Ophthalmol 35:87, 1990)

The ethmoidal sinuses can be observed to begin to take shape between the 6th and 8th weeks of gestation and are fully developed at birth. The remaining paranasal sinuses develop much later, with the sphenoid and frontal sinuses continuing to pneumatize into adolescence or early adulthood (Fig. 5). This accounts for the high incidence of orbital cellulitis from adjacent ethmoiditis in children. The lamina papyracea separating the orbit from the ethmoidal air cells is thin and perforate in children, providing easy access for microbial spread. Because the remainder of the sinuses are rudimentary in children, they are rarely the source of orbital infectious processes. Most of the orbital bones are formed during the 3rd month, although their ossification ensues over the next several months. At term, the orbit is nearly hemispheric, and the bony perimeters closely hug the globe.17

Fig. 5. Axial CT of paranasal sinus development in a 2-year-old child. A. Note that the ethmoid air cells are pneumatized, but the future sphenoid sinus is seen only as a faint lucency (arrow) within surrounding bone. B. Rudimentary maxillary sinuses have already partially pneumatized.

The eye reaches adult size by about age 3 years, but the adult dimensions of the orbit (a volume of 30 ml, a lid skin to orbital apex depth of 5 cm, and an overall quadrangular pear shape sweeping toward the medially situated apex) sometimes may not be attained until as late as age 16 years. As the midface develops in puberty, the vertical dimensions of the orbit increase, achieving an adult configuration. The orbit will fail to reach its normal volume if the globe is micro-ophthalmic or if radiotherapy in large doses (as for retinoblastoma or rhabdomyosarcoma) is administered. Conformers of increasingly greater diameter and soft tissue expanders can be inserted into the conjunctival cul-de-sacs of pediatric patients with anophthalmic orbits to promote orbital enlargement.18–20

The extraocular muscles (EOMs, ultimately destined to be four rectus muscles and two oblique muscles) appear as three separate masses of mesenchyme at about 4 weeks' gestation. The oculomotor and abducens nerves grow into the muscle masses at about 31 to 33 days' gestation. The ciliary ganglion is identifiable at about 6 to 7 weeks' gestation. At 5 weeks' gestation, the muscle cone is apparent around the optic nerve, and thereafter the muscle mass grows posteriorly to insert onto the cartilaginous skeleton of the sphenoid bone. The shared apical tendinous origins of the rectus muscles ultimately become the annulus of Zinn surrounding the optic foramen and superior orbital fissure. Anteriorly, the muscles fuse at the end of the 3rd month through tendinous differentiations with the sclera in the vicinity of the equator of the globe. Condensation of periocular tissue, analogous to Tenon's fascia bulbi, is identifiable at 10 weeks' gestation. Myofibrils are identifiable in the anterior portions of the muscle masses during the 6th week of gestation. Sevel21 has demonstrated that EOM differentiation goes through the phases of indifferent mesenchymal cell, early myoblast cell, fused myoblast cells, myotube cells, and finally mature muscle cells. A fibrous trochlea, which later becomes cartilaginous, is initially seen just behind the superonasal orbital rim at the 37- to 40-mm stage of gestation; through it will run the tendon of the superior oblique muscle. The trochlea may rarely become idiopathically inflamed (“trochleitis”)22 and may spawn rare chondromas.23,24

The entire lacrimal drainage apparatus is of ectodermal origin, surrounded by muscles of mesodermal source.21 In utero, a solid cord of epithelium forms in the region of the medial lower eyelid, eventually sending projections temporally to form the canaliculi and inferiorly to form the nasolacrimal duct (Fig. 6). Thus, the puncta and the valve of Hasner are considered “embryologically distal”structures, explaining why most congenital abnormalities of tear drainage are found at these sites (Table 1).22 Canalization of the solid cord begins at 4 months of gestation and may continue after birth. Indeed, the most inferior portion of the nasolacrimal duct is imperforate at birth in 50% to 70% of individuals.23

Fig. 6. Lacrimal drainage system embryology. A. At 5.5 weeks' gestation, an ectodermal invagination forms between the lateral nasal process and maxillary process, which becomes pinched off from the surface. B. At 6 weeks' gestation, a solid cord of ectoderm is located between the primitive medial canthus and nose. C. At 12 weeks' gestation, proliferation of the cord occurs laterally toward the eyelid and inferiorly toward the inferior turbinate. The isolated cavities shown appear at 3 to 4 months. D. At 7 months, canalization is nearly complete, with only the puncta and valve of Henle remaining imperforate. (Doxanas MT, Anderson RL: Clinical Orbital Anatomy, p 9. Baltimore, Williams & Wilkins, 1984)

 

TABLE ONE. Congenital Anomalies of Tear Drainage

  Dacryostenosis
  Approximately 50% of infants are born without complete canalization of duct, and approximately 4% are symptomatic.
  Absence of Valves
  Pneumatoceles may form in the area of the lacrimal sac and may fill with fluid over time or at birth (amnioceles, blue-domed cysts).
  Diverticuli of Lacrimal Sac
  These blind sacs are a result of aberrant epithelial growth and canalization. The term fistula applies if a diverticulum opens onto skin.
  Punctal Anomalies
  Atresia results if epithelization or canalization fails to reach the puncta. Surgical exploration often reveals an intact canalicular system more proximally. Supernumerary puncta are a form of fistula.
  Congenital Nasolacrimal Duct Obstruction
  By far the most common congenital lacrimal abnormality. Usually due to an imperforate valve of Hasner.

 

The main lacrimal gland forms from solid epithelial cords of conjunctiva superolaterally.21 The lacrimal gland develops at the 25-mm stage as epithelial buds evaginating from the basal cells of the conjunctiva in the superotemporal portion of the embryonic fornix. Initially solid cords are formed, but by 3 months' gestation the central cells begin to vacuolate and lumina appear. The lateral horn of the aponeurosis of the levator palpebrae superioris muscle divides the lacrimal gland into a superficial palpebral and a deeper orbital lobe at the 5th month of gestation. Full differentiation of the lacrimal gland is achieved only during the 3rd and 4th years postnatally. Note that lacrimal gland tissue is composed of two embryologic anlagen; the ectodermal glandular units are surrounded by mesodermal muscular (myoepithelial) and fibrous tissue. An abnormal growth of both glandular and mesenchymal portions forms a pleomorphic adenoma (benign mixed tumor). Development of the lacrimal gland differs from that of the salivary glands in that the former, as already mentioned, is derived from surface ectoderm whereas the latter are embryologically related to stomodeal epithelium. This may at least in part account for the different incidence of specific tumor types in the lacrimal gland and the salivary glands, despite their similar histologic appearance.25

Back to Top
ANATOMY
This section will review the anatomy of the orbit and its surrounding structures: the cavernous sinus (CS), the paranasal sinuses, and the pterygopalatine fossa. Particular attention will be paid to the orbital apex (the superior and inferior orbital fissures, optic canal), the CS, and the pterygopalatine fossa because these areas are often difficult to understand but remain important in diagnosing orbital and neuro-ophthalmic disease as well as in interpreting radiologic studies (CT and MRI). Although anatomically the lacrimal drainage apparatus is preseptal (eyelid structure) whereas the main secretory unit (lacrimal gland) is partially postseptal (orbital structure), the entire lacrimal system is combined in this section to unify its discussion.

OSTEOLOGY

The orbit may be considered a pear-shaped, conical space with a volume of about 30 ml (Fig. 7A).1,2 Its maximum diameter occurs approximately 1 cm behind the arcus marginalis, an important consideration during surgical dissection around the orbital rim (Fig. 7B). Other essential measurements are summarized in Table 2. The orbit is composed of seven bones: the frontal, sphenoid, ethmoid, palatine, and lacrimal, as well as the zygoma and maxilla, with each wall containing different bones (Table 3). One mnemonic for remembering the number of bones contained within each wall is to begin medially and travel around the orbit counterclockwise, arriving at the sequence 4-3-2-2. Note that the orbital rim is not a continuous ovoid, but rather a spiral that is discontinuous medially to form the lacrimal sac fossa (see Fig. 7A). Other important facts regarding each orbital wall are noted in Table 4.

Fig. 7. Orbital osteology. A. Oblique frontal view. Note that the supraorbital foramen and infraorbital foramen usually lie in the same vertical plane. The supraorbital foramen may also occur as a notch. Note the discontinuity of the orbital rim medially, forming the lacrimal sac fossa. B. Parasagittal view. The largest diameter of the orbit occurs about 1 cm posterior to the orbital rim. Note the medial location of the optic foramen. The superior orbital fissure and CS lie in the same plane in the orbital apex. Note the vertical orientation of the pterygopalatine fossa located directly behind the maxillary sinus and communicating with the orbit through the inferior orbital fissure. C. Osteology of the orbital apex. GWS, greater wing of sphenoid; LWS, lesser wing; BS, body of sphenoid; P, palatine bone; MAX, maxillary bone; OF, optical foramen; SOF, superior orbital fissure; PEF, posterior ethmoidal foramen. (A and B modified from Dutton JJ: Atlas of Clinical and Surgical Orbital Anatomy, p 8. Philadelphia, WB Saunders, 1994. C modified from Zide BM, Jelks GW: Surgical Anatomy of the Orbit, p 8. New York, Raven Press, 1985)

 

TABLE TWO. Orbital Measurements


Volume30 ml
 Globe volume6.5 ml
Width45 mm
Height35 mm
Maximum circumference1 cm behind rim
Length: medial wall40–45 mm
Embryologic originNeural crest, except superotemporal orbit (mesoderm)

 

 

TABLE THREE. Bones Forming the Orbital Walls


Orbital WallBonesBorders
Superior (roof)FrontalAnterior cranial fossa
 Sphenoid (lesser wing)Frontal sinus
LateralZygomaTemporalis fossa
 Sphenoid (greater wing)Pterygopalatine fossa
Inferior (floor)Maxilla (medial), zygoma (lateral), palatine (posterior)Infraorbital canal
  Maxillary sinus
MedialMaxilla, lacrimal, ethmoid, sphenoid (anterior to posterior)Ethmoid, sphenoid sinuses
  Cribriform plate at level of frontoethmoidal suture

 

 

TABLE FOUR. Anatomic Findings of Each Orbital Wall

  Floor
  Slopes downward posterior to anterior 20°
  Does not reach orbital apex (ends at pterygopalatine fossa)
  Only wall without sphenoid bone contribution
  Roof
  Contains:

  Trochlea, 4 mm behind the orbital rim
  Lacrimal gland fossa (postseptal)
  Supraorbital notch


  Medial
  Medial walls parallel, 25 mm apart
  “Paper thin”(lamina papyracea)
  Lacrimal sac fossa (preseptal)
  Lateral
  Lateral walls are perpendicular to one another
  Strongest wall, but offers least protection to globe (only 50% of globe covered)
  Contains lateral orbital tubercle (of Whitnall)

 

A clear understanding of the relation of the bony orbit to the skull and the midface allows for a logical interpretation of the clinical and radiographic patterns of orbital disease. The bones of the face may be considered to hang from the skull, with attachments at the frontozygomatic and frontoethmoidal sutures, as well as the sphenoid bone. Craniofacial dysjunction occurs in these areas in Le Forte III fractures, and the sites of craniofacial articulation are also the basis for the Le Forte III osteotomies used for facial reconstruction in patients with craniofacial synostoses. The complex shape of the sphenoid wing provides for an intimate communication between the CS, the orbital apex, and the pterygopalatine fossa.

Radiographically, the spaces and foramina of the orbital apex may be considered to lie in three tiers (Fig. 8). The CS is found on the same level as the orbital apex, connecting directly with it via the superior orbital fissure (SOF) to form the middle tier. The inferior tier is formed by the inferior orbital fissure (IOF), which provides direct communication between the orbital apex and the pterygopalatine fossa, a vertically oriented space directly behind the maxillary sinus. Finally, the optic canal has no direct communication with any of the aforementioned spaces and should be considered to lie above the SOF and CS, exiting the orbit in a superomedial course through the body of the sphenoid as the superior tier.26 Orbital apical lesions can therefore gain ready access to the CS and pterygopalatine fossa (Fig. 9). Spread into the cranial vault through the optic canal is usually limited to lesions of the optic nerve (glioma) or nerve sheath (meningioma).

Fig. 8. Coronal CT image (bone window) of the orbital apex in a patient with facial trauma. Note the position of the posterior orbital foramina. The optic canal (A) is always seen in conjunction with the laterally adjacent anterior clinoid process (B) on both axial and coronal views. Slightly lower, the superior orbital fissure (C) communicates with the CS, found directly behind it. The inferior orbital fissure (D) provides communication through the orbital floor with the pterygopalatine fossa.

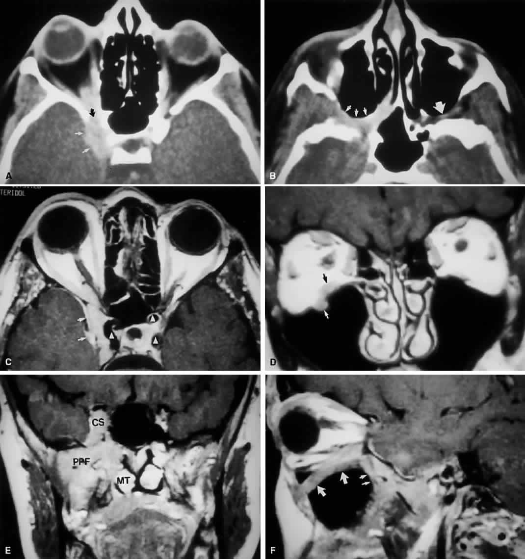
Fig. 9. An orbital lymphoma involving the skull base provides accentuation of the apical spaces of the orbit. A. On this axial CT, the lesion infiltrates the CS, causing bulging and local invasion of its lateral dural wall (small arrows). Invasion into the orbital apex through the superior orbital fissure (curved arrow) is seen. Note that the patient is slightly rotated in the scanner, because the anterior clinoid and optic canal are visualized on the uninvolved side. B. More inferiorly, the mass has invaded the pterygopalatine fossa (small arrows), located just posterior to the maxillary sinus. On the uninvolved side (large arrow), the fossa has areas of radiolucency, indicating the fat that normally occupies this space. C. Axial MRI, T1-weighted image with gadolinium but without fat suppression. The carotid siphon is seen within each CS as a flow void (arrowheads). Once again, note the inflamed lateral dural wall of the CS and local invasion of the brain parenchyma (small arrows).D. Coronal T1-weighted MR image. The inferior rectus muscle is labeled with a black arrow. The lymphoma has infiltrated the infraorbital canal (white arrow) within the orbital floor. E. Coronal MRI of the orbital apex shows infiltration from the CS to the pterygopalatine fossa (PPF). Because there is no direct communication between these spaces, the lesion must have spread through the superior orbital fissure into the orbital apex, then through the inferior orbital fissure. MT, middle turbinate. The lucency just above the CS is the anterior clinoid process, with the optic nerve within its canal seen as an opacity between the clinoid and the sphenoid sinus. F. Parasagittal MRI shows lymphomatous invasion of the pterygopalatine fossa just behind the posterior wall of the maxillary sinus (small arrows). Note the thickening of the infiltrated infraorbital canal (large arrows) as it travels anteriorly to exit about 1 cm below the inferior orbital rim.

PARANASAL SINUSES

The orbit is surrounded on three sides by the paranasal sinuses (see Fig. 5). The ethmoid sinus runs along the medial orbital wall and is divided into anterior, middle, and posterior air cells by a highly variable system of septa. It is the only sinus to be fully pneumatized at birth. The thin lamina papyracea of the medial orbital wall and the vascular foramina for the anterior and posterior ethmoidal arteries provide scant resistance to the extension of infections and tumors from the ethmoidal sinus to the orbit, even in the adult (Fig. 10).

Fig. 10. The thin lamina papyracea provides little resistance to infection spread from the adjacent paranasal sinus. In this axial CT image of a 2-year-old child, opacification is noted within the ethmoid air cells. Note the subperiosteal collection along the medial orbital wall. In this case, the collection proved to be a sterile inflammatory phlegmon.

The maxillary sinus borders the orbital floor and is fully pneumatized by 2 to 4 years of age. Unlike the ethmoid sinus, it contains no supporting septa. Although the lamina papyracea is the thinnest of the orbital walls, the network of septations within the ethmoid air cells acts as a supporting scaffolding to the medial orbital wall, much the same way that corrugations strengthen cardboard. Thus, the orbital floor, although not the thinnest wall, is the most frequently fractured, having no underlying support within the maxillary sinus. The posterior wall of the maxillary sinus forms the anterior wall of the pterygopalatine fossa.

Frontal sinus pneumatization is highly variable and may continue into the teenage years. Because it drains into the anterior ethmoid air cells, the frontal sinus is often concurrently involved in ethmoid sinus pathology. Supraorbital sinuses are defined as lateral extensions of the ethmoid sinus and span the orbital roof for variable lengths. On occasion, pneumatization to the level of the frontozygomatic suture may occur.

Finally, the sphenoid sinus abuts the orbital apex and is the last to pneumatize. Because of the proximity of the optic canal and CS (see Fig. 8), any sphenoid sinus pathology may manifest as a parasellar syndrome (discussed later). Pneumatization of the sphenoid sinus may extend into the anterior clinoid process, a variation of normal anatomy often encountered in orbital imaging studies.

FORAMINA AT THE ORBITAL APEX

The orbit is generally found to contain nine openings (Table 5). Only the optic foramen, SOF, and IOF will be discussed in detail (see Fig. 8). The optic foramen is located in the medial wall of the orbit in the body and lesser wing of the sphenoid bone. The optic canal is 4 to 10 mm long and 6.5 mm wide. On imaging studies, a 1-mm difference between canal diameters is considered clinically significant. The optic canal transmits the optic nerve, the ophthalmic artery, and the sympathetic innervation to the orbit. Note that sympathetic nerves also travel with the nasociliary nerve via the SOF.

 

TABLE FIVE. The Nine Canals and Fissures of the Orbit*


Orbital OpeningFeatures
Supraorbital notch (foramen)Frontal nerve (supraorbital nerve, V-1)
Anterior ethmoidal foramen20–24 mm behind orbital rim at fronto ethmoidal suture (level of cribriform plate)
Posterior ethmoidal foramen12 mm posterior to anterior ethmoidal foramen, 5–8 mm anterior to optic foramen
Zygomatic foraminaZygomaticofacial and zygomaticotemporal neurovascular bundles
Nasolacrimal ductBeginning at the lacrimal fossa and opening intranasally in the inferior meatus (beneath inferior turbinate)
Infraorbital foramenExits 4–10 mm below orbital rim; infraorbital neurovascular bundle (V-2)
Optic foramenOptic nerve, ophthalmic artery, sympathetic fibers. Diameter 6.5 mm, length 10 mm.
Superior orbital fissureLength: 22 mm
 Between greater & lesser wings of sphenoid
 Below and lateral to optic foramen
 Split in two portions by lateral rectus
 Lateral: lacrimal, frontal, trochlear nerves
 Medial: CN III (superior and inferior divisions), nasociliary, CN VI, superior ophthalmic vein, sympathetics/parasympathetics
Inferior orbital fissureSphenoid, maxillary, & palatine bones; V-2: infraorbital & zygomatic nerves; inferior ophthalmic vein
Frontosphenoid foraminaFrontosphenoidal suture of orbital roof: anastomosis of recurrent middle meningeal and lacrimal arteries (variable)

*The tenth opening, the frontosphenoid foramen, is not present in all cases.

 

The optic nerve is tethered on both ends of the canal by the annulus of Zinn intraorbitally and by a dural fold intracranially. The dura of the optic nerve also has strong attachments to the periosteum within the canal.26 Because the canal flares in diameter toward the cranial end, the tightest attachments of dura to the optic canal are at the proximal end (annulus of Zinn). The location of the optic canal and the tethering of the optic nerve within it may explain the etiology of posterior indirect traumatic optic neuropathy. Cadaver studies have shown that stress on the frontal bone is transferred in a reproducible pattern to the body of the sphenoid and the optic canal, potentially resulting in optic canal fracture.27 Further, the tethering of the optic nerve at the annulus of Zinn may cause an acute “stretch injury”at this site during deceleration: as the rigid facial skeleton simply stops on hitting any rigid structure (e.g., the steering wheel in a motor vehicle accident), the soft tissue of the orbit continues to moves forward until stopped by the tethered optic nerve. Both of these mechanisms may then result in edema of the optic nerve within the closed space of its bony canal, leading to traumatic optic neuropathy.

The SOF is 22 mm long and separates the greater and lesser wings of the sphenoid bone. Note in Figure 8 that it lies lateral and slightly below the optic foramen in radiographic studies. Also note that the (SOF, and not the optic foramen, is located at the apex of the orbit (Fig. 11). The SOF is split into two compartments by the lateral rectus muscle. The medial compartment contains the oculomotor (superior and inferior divisions) nerve, nasociliary nerve, abducens nerve, sympathetic and parasympathetic fibers, and superior ophthalmic vein. The lateral compartment transmits the lacrimal, frontal, and trochlear nerves. This extraconal location of the trochlear nerve is appreciated clinically after retrobulbar anesthesia. Although the anesthetic block effectively causes akinesia of the EOMs, the patient often can still intort the globe because of the intact innervation to the superior oblique muscle.

Fig. 11. Osteology. A. An axial view of the orbital roof demonstrates the parallel course of the medial orbital walls (green). The lateral orbital walls (green) lie at an angle of 90° from each other, or 45° from each medial wall. Remember that the superior orbital fissure, and not the medially placed optic canal, lies at the posterior aspect of the orbit. B. CT of a wooden foreign body within the orbit after trauma. Note that the tip has traveled through the superior orbital fissure and lies within the CS, not the optic canal. In this case, the greatest worry was not the patient's vision, but the possibility of lacerating injury of the carotid siphon, which was confirmed on subsequent arteriography (A modified from Zide BM, Jelks GW: Surgical Anatomy of the Orbit, p 9. New York, Raven Press, 1985. B courtesy John W. Shore, MD, Austin, TX)

The IOF separates the lateral and inferior orbital walls. It transmits the maxillary nerve (V-2), zygomatic nerve, and inferior ophthalmic vein (as well as the pterygopalatine nerve and the pterygopalatine ganglion nerve) and directly communicates with the pterygopalatine fossa, a vertically oriented space behind the maxillary sinus. The IOF varies in its distance from the orbital rim but may approach it quite closely (10 mm) before becoming the infraorbital canal. The location of the IOF and the slope of the orbital floor are two important points to keep in mind during surgical repair of an orbital floor fracture (see Fig. 7B). The tightly adherent periorbita at the IOF may be misinterpreted as entrapped orbital tissue. Aggressive dissection will result in severe bleeding from the infraorbital artery. The 15° to 20° upward slope of the orbital floor from anterior to posterior (see Fig. 7B) causes the bone to travel out of view as more posterior dissection is performed with the surgeon at the head of the operating table. If this slope is not recreated during reconstruction, posttraumatic enophthalmos may result because of an enlarged orbital space from a “flat”orbital floor.

ANNULUS OF ZINN

The annulus of Zinn represents a complex, dense, fibrous band of connective tissue with firm attachments to the periosteum of the orbital apex (Fig. 12). Medially, it is fused to the optic nerve sheath, which may account for the pain during eye movements experienced by patients with optic neuritis. All four rectus muscles arise directly from the annulus. Conversely, the levator and superior oblique muscles are not attached to the annulus, arising instead above the superior rectus muscle and the lesser wing/body of the sphenoid, respectively (Table 6). The final EOM, the inferior oblique, begins lateral to the nasolacrimal duct ostium in the anterior orbit.

Fig. 12. Annulus of Zinn. III-S, superior division of oculomotor nerve; III-I, inferior division of oculomotor nerve; IV, trochlear nerve; VI, abducens nerve; L, lacrimal nerve; F, frontal nerve; N, nasociliary nerve; SRM, superior rectus muscle; LEV, levator palpebris superioris muscle; SOM, superior oblique muscle; MRM, medial rectus muscle; IRM, inferior rectus muscle; LRM, lateral rectus muscle. (Modified from Zide BM, Jelks GW: Surgical Anatomy of the Orbit, p 8. New York, Raven Press, 1985)

 

TABLE SIX. Extraocular Muscle Pearls

  Levator Palpebrae Superioris
  One nucleus of CN III supplies both levators (Edinger-Westphal nucleus also has bilateral output)
  The lateral horn splits lacrimal gland into two lobes
  Lateral Rectus Muscle
  Only one ciliary artery, but also receives partial blood supply from lacrimal artery
  Inferior Rectus and Inferior Oblique Muscles
  Partial blood supply from infraorbital artery
  Inferior Oblique Muscle
  Has no tendon; bleeding is often encountered during surgical disinsertion
  Its nerve enters at the lateral border of the inferior rectus m. as they cross
  The condensation of the inferior rectus muscle sheath anterior to the inferior oblique muscle forms the suspensory ligament of Lockwood
  Superior Oblique Muscle
  Longest tendon (26 mm)
  Superior Rectus Muscle
  Inserts behind ora serrata—a full-thickness bridle suture will perforate retina
  Supplied by the contralateral CN II subnucleus

 

CAVERNOUS SINUS

The relation between the CS (Fig. 13) and the orbit is often misunderstood. Briefly, the CS is a venous space located directly behind the SOF and serves as a conduit for most of the motor, sensory, and autonomic nerves that supply the orbit. It is also the major venous drainage for the orbit.3,4

Fig. 13. The CS in parasagittal views. A. Osteology. OF, optic foramen; SOF, superior orbital fissure; FR, foramen rotundum; CC, carotid canal; Se, sella turcica; Ac, anterior clinoid process; Pc, posterior clinoid process. Note that the optic canal runs medial to the Ac. B. Venous plexus. The plexus consists of large-caliber fenestrated venous spaces that may communicate with the contralateral CS through foramina in the medial bony wall. II, optic nerve; PG, pituitary gland. C. The carotid siphon and sympathetic plexus. The ophthalmic artery is given off as the first major intracranial branch of the internal carotid artery just as it exits the roof of the CS. Smaller meningeal branches are not shown. The sympathetic nerve supply travels as a neural plexus (not shown) around the carotid artery, entering the orbit with the ophthalmic artery and through the superior orbital fissure. ICA, internal carotid artery (carotid siphon); OA, ophthalmic artery. D. Cranial nerve supply. All cranial nerves except the abducens travel through the CS tightly adherent to the lateral dural wall. The abducens nerve has an unpredictable course through the venous plexus but is usually adherent at least in part to the carotid siphon. Note how the abducens nerve travels vertically over the petrous ridge and becomes tethered by Gruber's ligament just before entering the CS. This tethering predisposes the abducens nerve to deceleration injury in head trauma. The maxillary division is closely associated, but outside, the CS. The parasympathetic nerve supply to the globe travels within the oculomotor nerve. III, oculomotor nerve; IV, trochlear nerve; V-1, ophthalmic division (trigeminal nerve); V-2, maxillary division; V-3, mandibular division; VI, abducens nerve. E. The lateral dural wall. (Modified from Zide BM, Jelks GW: Surgical Anatomy of the Orbit, p 8. New York, Raven Press, 1985)

The CS contains the carotid siphon (the S-shaped portion of the internal carotid artery [ICA]), sympathetic fibers closely associated with the carotid artery, cranial nerves III (oculomotor), IV (trochlear), V-1 (ophthalmic division of trigeminal), and VI (abducens), and, as already noted, a venous plexus. The venous plexus communicates with the contralateral CS through an ostium. Parasympathetic fibers also travel through the CS from the Edinger-Westphal nucleus as part of the oculomotor nerve. Remember that a second set of parasympathetics enters the orbit via the sphenopalatine ganglion (see below).

In most cases, the maxillary division of the trigeminal nerve (V-2) is closely related to, but not quite within, the posterior and inferior portion of the CS.3,5

SYMPATHETIC AND PARASYMPATHETIC INNERVATION, CILIARY GANGLION

Ciliary Ganglion

The ciliary ganglion is a flattened, quadrangular structure located deep in the orbit, temporal to the optic nerve and 1 cm anterior to the orbital apex (Fig. 14).28 True ganglion cells and sustentacular or satellite spindle cells, along with the axons of the entering and emerging nerve fibers, form the substance of the ganglion. Rare chemodectomas and primary orbital carcinoids possibly may arise from ciliary ganglion.29–32 Degeneration, trauma, inflammation, or viral infection of the ganglion can cause an efferent (Adie's tonic) pupil; the dissection of the short posterior ciliary nerves necessary to perform optic nerve sheath fenestration often results in a temporary sectoral tonic pupil.33

Fig. 14. Autonomic nerve supply of the orbit. A. Parasympathetic supply. Parasagittal view of the right orbit shows the position of the ciliary ganglion on the lateral aspect of the optic nerve. Parasympathetic fibers to the globe travel through the superior orbital fissure with the nerve to the inferior oblique muscle and synapse within this ganglion. Sympathetic and nasociliary fibers pass through the ciliary ganglion without synapse. Parasympathetic fibers to the lacrimal gland synapse outside the orbit in the pterygopalatine ganglion, which lies in the pterygopalatine fossa. Fibers then join the maxillary division of the trigeminal nerve to travel along the lateral orbit with the zygomaticotemporal nerve before finally joining the lacrimal nerve and entering the lacrimal gland. B. Sympathetic supply. First-order neurons travel from the hypothalamus inferiorly within the spinal cord to synapse at the ciliospinal center of Budge (C8 to T2). Second-order neurons travel over the apex of the lung and around the subclavian artery to enter the paravertebral sympathetic chain and then synapse at the superior ciliary ganglion. From there, a plexus of third-order neurons forms surrounding the external and internal carotid artery. The external carotid artery fibers are responsible for vasoconstriction and sweating of most of the face. Within the CS, internal carotid artery fibers destined for the globe travel for a short course with the abducens nerve, then join the nasociliary nerve and enter the orbit through the superior orbital fissure. Long posterior ciliary nerves synapse in the dilator muscle of the iris. A second group of fibers enters the orbit through the optic canal as a plexus around the ophthalmic artery. These fibers then travel diffusely through the orbital soft tissue to supply orbital vessels, the superior ( Müller's) and inferior tarsal muscles, the sweat glands of the forehead, and possibly the main lacrimal gland. (A modified from Doxanas MT, Anderson RL: Clinical Orbital Anatomy, p 149. Baltimore, Williams & Wilkins, 1984. B modified from Weinstein JM, Zweifel TJ, Thompson HS: Congenital Horner's syndrome, p 1076. Arch Ophthalmol 98:1074, 1980)

The ciliary ganglion contains three roots, only one of which actually synapses within the ganglion:

  1. Sensory: carries sensory fibers from the cornea, iris, and ciliary body to the nasociliary nerve (CN V-1)
  2. Parasympathetic: arrives via the nerve to the inferior oblique muscle (inferior division of CN III) to synapse in the ciliary ganglion, then exit as the short ciliary nerves to supply the iris sphincter and ciliary body (see Fig. 14A)
  3. Sympathetic: enters via the nasociliary nerve through ciliary ganglion to innervate blood vessels of the globe and iris dilator muscle as the long ciliary nerves (see Fig. 14B).

SYMPATHETIC INNERVATION OF THE ORBIT

The sympathetic chain travels into the calvarium as a plexus surrounding the ICA.6 Within the CS, nerve fibers leave the carotid siphon to enter the orbit through two routes (see Fig. 14B):

  1. Nerve fibers join the abducens nerve within the CS for a short course, then travel with the nasociliary nerve to enter the orbit through the SOF and pass through the ciliary ganglion as described6
  2. Nerve fibers join the ophthalmic artery to enter the orbit through the optic canal to supply Müller's muscle, the orbital vessels, and possibly the lacrimal gland.

Damage to any portion of the sympathetic chain results in Horner's syndrome (i.e., miosis and ptosis, possibly with anhydrosis depending on the location of the lesion). In general, a lesion of the sympathetics in the CS will at most result in anhydrosis of the forehead (the cheek and remainder of the face are supplied by a different sympathetic route).

PARASYMPATHETIC INNERVATION OF THE ORBIT

Parasympathetic fibers supply different structures in the orbit by two separate routes (see Fig. 14A):

  1. Ocular fibers travel with motor neurons from the Edinger-Westphal subnucleus of the oculomotor nerve (specifically, the inferior division of CN III) through the CS and then with the nerve of the inferior oblique before synapsing in the ciliary ganglion to supply the globe.
  2. Efferent secretory fibers to the lacrimal gland exit from the superior salivatory nucleus via the nervus intermedius to travel with the facial nerve (VII) to the level of the external genu. At the genu, the secretory fibers divide to supply the lacrimal gland and the salivary glands. The fibers to the lacrimal gland travel as the greater superficial petrosal nerve through the vidian canal to synapse in the sphenopalatine ganglion. From the sphenopalatine ganglion, postganglionic fibers then join with the infraorbital nerve (CN V-2) to join the zygomaticotemporal nerve, and finally join the lacrimal nerve (see Fig. 14A).

Thus, parasympathetic supply to the lacrimal gland is distinct from that of the globe and is more closely related to the innervation of the parotid and accessory salivary glands. Short-circuiting or misdirected innervation results in the gustolacrimal reflex (“crocodile tears”).34

The complex parasympathetic innervation of the orbit is summarized in Table 7.

 

TABLE SEVEN. Parasympathetic Pearls

  Parasympathetic fibers to the globe travel with CN III
  Fibers to the lacrimal gland never travel through the CS, superior orbital fissure, or ciliary ganglion
  Fibers to the lacrimal gland synapse outside the orbit
  Parasympathetic fibers to the lacrimal gland travel with CN VII, CN V-2 (zygomaticotemporal n.), and finally with CN V-1 (lacrimal n.)

 

CLINICAL PRESENTATIONS AT THE ORBITAL APEX

Before neuroimaging by CT and MRI, several clinical syndromes were used to describe lesions at specific sites of the cranio-orbital junction. Because of the widespread availability of neuroimaging today, these various clinical subtleties are less important. However, a clear understanding of cranio-orbital anatomy requires a knowledge of possible clinical manifestations.

In general, cranio-orbital syndromes may be described as superior orbital fissure syndrome, orbital apex syndrome, and cavernous sinus syndrome (Fig. 15).7,8 The distinction between these presentations depends on the involvement of CN V-2, the sympathetic nerves, and the optic nerve (Table 8). It is much easier simply to call the constellation of signs of cranio-orbital disease the parasellar or sphenocavernous syndrome, rather than attempting to be too specific in an area where the clinical presentations are seldom as distinct as described in Table 8.

Fig. 15. Parasellar syndrome. A. Composite photograph of an elderly patient with periorbital pain in the distribution of the right supraorbital nerve along with complete ptosis and absent levator function (upper left and upper right). When the eyelid was lifted, she complained of diplopia (center). Note the complete external ophthalmoplegia (remaining panels). MRI revealed a mass eroding the anterior clinoid process and extending into the CS and surrounding brain parenchyma. Given the bony erosion, a diagnosis of Tolosa-Hunt would be inappropriate in this case. A transorbital craniotomy for biopsy revealed metastatic adenocarcinoma. A systemic workup failed to reveal a primary site of involvement. The patient' orbital signs responded to radiation therapy. B and C. Axial and coronal MRI of a different patient who presented in an identical fashion. Note the enlargement of the right CS (arrows). Systemic workup was negative, and the patient responded rapidly to intravenous corticosteroids. The lesion disappeared on subsequent scans with no evidence of recurrence after 2 years. A diagnosis of “presumed Tolosa-Hunt syndrome”is acceptable in this case.

 

TABLE EIGHT. Parasellar Syndromes

  Superior Orbital Fissure Syndrome:
  Varying degrees of CNs III, IV, V-1, and VI palsies
  Varying degrees of proptosis and orbital congestion
  Note that CN II (visual function is normal) and CN V-2 are spared.
  Orbital Apex Syndrome:
  Superior orbital fissure syndrome + CN II involvement (vision is compromised)
  Cavernous Sinus Syndrome:
  Varying degrees of the aforementioned signs, with the following:

  Involvement of CN V-2 indicates posterior cavernous sinus location because of the proximity of V-2 to the posterior portion of the CS.
  Combination of sympathetic involvement (Horner's) and CN III or VI palsies is said to be a specific indicator of cavernous sinus lesions.


 

The differential diagnosis for parasellar syndrome is listed in Table 9, but two points are worth stressing. First, the most common neoplasias by far of this region are meningiomas and pituitary adenomas. Second, the diagnosis of Tolosa-Hunt syndrome is often misused. This specific entity is rigorously defined as granulomatous inflammation around the carotid siphon (resulting in the clinical findings of a painful parasellar syndrome).9,10 In general, Tolosa-Hunt syndrome is responsive to corticosteroid therapy11,12 but is not equivalent to orbital apical pseudotumor (nongranulomatous inflammation). Further, Tolosa-Hunt syndrome is a diagnosis of exclusion and should never be applied liberally.13 Remember that other entities, including meningiomas, aneurysms, and even infection, have been reported to respond to corticosteroids (i.e., misdiagnosed as Tolosa-Hunt syndrome).

 

TABLE NINE. Differential Diagnosis of Cranio-orbital Lesions

  Inflammatory, Noninfectious
  Thyroid-related orbitopathy
  Idiopathic inflammatory pseudotumor
  Adenoma/carcinoma
  Sarcoidosis
  Inflammatory, Infectious
  Bacterial

  Adjacent sinusitis
  Septic embolus
  Subperiosteal orbital abscess
  Orbital cellulitis
  Paranasal sinus pyocele


  Viral

  Herpes zoster (rarely, simplex)


  Fungal

  Mucor
  Aspergillus


  Vascular
  Carotid/ophthalmic artery aneurysms
  Arteriovenous malformations
  Carotid—cavernous fistulas
  Dural—sinus fistulas
  Aseptic cavernous sinus thrombosis
  Vasculitic
  Temporal arteritis
  Wegener's granulomatosis
  Neoplasia
  Meningioma
  Pituitary adenoma
  Lymphoma
  Craniopharyngioma
  Nasopharyngeal carcinoma
  Neurolemmoma
  Glioma
  Chordoma
  Chondroma/chondrosarcoma
  Multiple myeloma/leukemia
  Metastatic disease
  Carcinomatous meningitis
  Trauma
  Fractures
  Hematoma
  Tolosa-Hunt syndrome
  Miscellaneous/Systemic
  Fibrous dysplasia
  Diabetes/hypertension
  Rheumatoid arthritis/SLE
  Dermoid
  Mucocele

 

MOTOR AND SENSORY NERVES

Tables 10 and 11 summarize the important features of each of the cranial nerves supplying the orbit (Fig. 16, see Fig. 12). Several points are worth mentioning. First, the optic nerve assumes an S-shaped course within the orbit. Because the intraorbital nerve is about 25 mm long and the distance from the back of the globe to the optic foramen is 18 mm, 7 mm of slack remains. This degree of potential mobility allows the nerve to remain unaffected during ocular rotations and provides a cushion for axial proptosis (Fig. 17).

 

TABLE TEN. Cranial Nerve Features


NerveFeatures
Optic (II)Divided into three sections:
 · Intraorbital: 24–25 mm long
 · Canalicular: 8–10 mm long
 · Intracranial: 10–16 mm long
 Contains about 1.5 million fibers
 Diameter:
 · 1.5 mm at optic nerve head
 · 3.0 mm posterior to globe (acquires dural sheath)
Oculomotor (III)Divides into a superior and inferior division, usually within the cavernous sinus:
 · Superior division: levator, superior-rectus
 · Inferior division: medial, inferior, inferior oblique
 · Injury to the oculomotor nerve may result in miswiring between the divisions, manifesting as an “aberrant III regeneration syndrome”
 Enters orbit through the SOF and the annulus of Zinn
 Carries the parasympathetic fibers to the globe (Edinger-Westphal nucleus)
Trochlear (IV)Has the longest intracranial course (~75 mm)
 Contains the fewest fibers (1500)
 Commonly injured in closed head trauma
 Enters through SOF, but superolateral to annulus of Zinn
 · Usually not affected by retrobulbar anesthetic blocks
Abducens (VI)Arises in pons
 Tethered by petrosphenoidal (Gruber's) ligament within Dorello's canal
 · Commonly injured in closed head trauma
 The only CN not tethered to the lateral dural wall within the cavernous sinus
 · Partially tethered to the carotid siphon, but otherwise has an unpredictable central course through the CS
 Most inferior nerve to pass through the SOF
Facial (VII)The upper face has bilateral innervation.
 The lower face has contralateral innervation.
 Provides motor supply to the eyelid protractors (closes the eyelids):
 · Orbicularis oculi m.
 · Procerus m.
 · Corrugator supraciliaris m. and one eyelid retractor: frontalis m.
 Carries the parasympathetic fibers to the lacrimal gland (nervus intermedius)
 Most commonly affected CN in sarcoidosis (optic nerve is #2)
 Course over the face defines the locations of the Nadbath, O'Brien, and van Lindt blocks.

 

 

TABLE ELEVEN. The Trigeminal Nerve

  Ophthalmic Division (V-1)
  Enters the orbit through the SOF
  Provides the major sensory input from the upper face and orbit
  Divides into three nerves within the cavernous sinus or orbital apex
  Frontal nerve
  Supplies medial upper lid and conjunctiva, forehead, scalp, frontal sinuses, and side of nose
  Emerges from the orbit as the supraorbital and supratrochlear nerves
  Lacrimal nerve
  Supplies conjunctiva and skin in region of lacrimal gland + postganglionic parasympathetics for reflex tearing
  Nasociliary nerve
  Only portion of the ophthalmic division to enter the orbit through the annulus of Zinn
  Passes through ciliary ganglion (without synapsing)
  Sensory innervation from globe and cornea
  Joined by sympathetic vasomotor fibers and synapsing parasympathetic motor fibers in the ciliary ganglion.
  Branches:

  Long ciliary nerves (2)
  Anterior and posterior ethmoidal nerves: nasal mucosa, turbinates, lateral nasal wall, sphenoid and posterior ethmoid sinuses
  Infratrochlear nerve: tip of nose (Hutchinson's sign), canaliculi, medial canthus


  Maxillary Division (V-2)
  Travels just inferior to the cavernous sinus to enter the face through the foramen rotundum
  Enters the pterygopalatine fossa just inferior to the orbit
  Postganglionic secretory fibers to the lacrimal gland join from the sphenopalatine ganglion to travel with the zygomatic branches
  Zygomaticofacial and zygomaticotemporal nerves
  Enter the orbit from the pterygopalatine fossa through the inferior orbital fissure
  Carry sensory input from the skin overlying the lateral orbit
  Carry parasympathetic fibers to the lacrimal gland
  Infraorbital nerve
  Travels along the inferior orbital fissure to enter the infraorbital canal
  Exits from the infraorbital foramen 4–10 mm inferior to the orbital rim
  Mandibular Division (V-3)
  Enters the face through the foramen ovale
  Contains both sensory and motor fibers
  Supplies motor input to the muscles of mastication
  Sensory supply: jaw, anterior two thirds of tongue, external ear, tympanic membrane.
  Trigeminal Reflexes
  Corneal blink
  V to VII
  Oculocardiac
  V to XI (vagal)

  most notable with tension on medial rectus muscle
  always warn the anesthesiologist before you pull on extraocular muscles intraoperatively
  reflex extinguishes after repeated stimulations


  Corneolacrimal
  V to VII

  responsible for reflex tearing


 

Fig. 16. Sensory supply to the orbit. Parasagittal view shows the trigeminal nerve branches of the ophthalmic division (opn): ncn, nasociliary nerve; ln, lacrimal nerve; fn, frontal nerve; stn, supratrochlear nerve; son, supraorbital nerve; shown but not labeled: long ciliary nerve, anterior ethmoidal nerve. Branches of the maxillary division (mxn) are also shown: ion, infraorbital nerve; zyn, zygomatic nerve; ana, anastamosis with lacrimal nerve; zfn, zygomaticofacial nerve; ztn, zygomaticofrontal nerve. Note the sympathetic chain webbed around the carotid siphon. Gg, geniculate ganglion; mnn, mandibular division; pg, pterygoid (sphenopalatine) ganglion; abn, abducens nerve; trn, trochlear nerve; ocn, oculomotor nerve. (Modified from Rootman J, Stewart B, Goldberg RA: Orbital Surgery: A conceptual Approach, p. 117. Philadelphia, Lippincott-Raven, 1995)

Fig. 17. The optic nerve (ON). A parasagittal MR image demonstrates the 7-mm excess of intraorbital optic nerve, seen as an S shape. Also note the perpendicular relation of the inferior oblique muscle (IOM) to the inferior rectus muscle (IRM). Other findings of anatomic interest in this image include the levator (Lev), the superior rectus muscle (SRM), the orbital septum (OS) arising from the arcus marginalis, and the preaponeurotic fat pad (PF) between the septum and the levator. Note that the orbital floor (FL) is angled upward by 15° to 20° from anterior to posterior.

Second, the motor fibers to the EOMs usually enter the inner aspect of each muscle at the junction of the posterior one third and the anterior two thirds of the muscle's length. The exception is the nerve to the inferior oblique, which runs along the lateral aspect of the inferior rectus muscle to enter the inferior oblique muscle near the globe's equator (see Fig. 14). This nerve may be damaged with manipulation of inferior orbital soft tissue during repair of an orbital floor fracture. Because the parasympathetic fibers of the pupil also travel with the nerve to the inferior oblique at the orbital apex, any anterior traction may cause contusion to these more posterior fibers, resulting in a postoperative Adie's pupil.14

VASCULAR SUPPLY

Arteries

The tissues of the orbit and periorbital region derive their blood supply from two sources—the internal and external carotid arteries.15 Although the majority of orbital blood supply comes from the ICA, anastomoses with external carotid supply are numerous.

The ICA enters the calvarium through the foramen lacerum, runs near the posterior clinoid process, and then makes a sharp turn to enter the CS with the abducens nerve (see Fig. 13). As already noted, within the CS the ICA has an S-shaped course called the carotid siphon. As the ICA exits the CS, it gives off its first major intracranial branch, the ophthalmic artery.

Before giving off the ophthalmic artery, the ICA has several minor branches that supply the meninges, including the dura of the lateral wall of the CS. An abnormal communication between the arterial and venous supply of the CS results in either a carotid-cavernous fistula or a dural-sinus fistula (Fig. 18A). Because of the larger caliber of the ICA, a carotid-cavernous fistula is usually symptomatic secondary to a high flow state, possibly manifesting as orbital/ocular ischemia and increased intraocular pressure. This type of fistula is most commonly encountered in younger patients after blunt trauma and may require invasive neuroradiologic treatment (Fig. 18B). Conversely, a dural-sinus fistula is typically a low-flow state because the abnormal communication forms between the small-caliber dural arterial feeders of the lateral CS wall and the venous plexus of the CS. Such fistulas are usually seen in older individuals as a spontaneous event. Depending on the severity of symptoms, most dural sinus fistulas are simply followed by observation because of the high rate of spontaneous closure.

Fig. 18. Carotid-cavernous fistula. A. Clinical photograph demonstrating tortuosity of the arteriolized episcleral veins, extending up to the limbus (the vascular congestion of conjunctivitis usually ends 1 mm short of the limbus). B. Axial CT shows the difference in caliber between the uninvolved superior ophthalmic vein and the involved vein (arrows). C. Coronal image likewise shows the difference in venous size (arrows). Also note the enlargement of the extraocular muscle on the involved side, indicative of orbital congestion. The superior ophthalmic vein is always found beneath the superior rectus muscle, to which it is tethered by a hammock-like fascial slip. On the involved side, orbital congestion and enlargement of the vein cause distortion of this anatomic relation. D. Parasagittal arteriography image of a different patient shows abnormal arterial filling of the CS, extending anteriorly into the orbit through an engorged superior ophthalmic vein (SOV).

The ophthalmic artery enters the optic canal inferolateral to the optic nerve, carrying with it a sympathetic plexus from the ICA. The intraorbital course of the ophthalmic artery is highly variable. In about 83% of cases, the artery crosses over the optic canal from lateral to medial and continues to travel superomedially in the orbit to its terminal branches.

While still within the orbit, the ophthalmic artery gives off several branches.16 These are most easily subdivided into three groups: ocular, muscular, and extraorbital (Table 12, Fig. 19).

 

TABLE TWELVE. Three Arterial Groupings (Circles) of the Orbit

  Ocular (Posterior):
  Central retinal
  Short posterior ciliaries (15–20)
  Long posterior ciliaries (2)
  Orbital (Middle):
  Muscular or anterior ciliaries (7)
  Lacrimal
  Extraorbital (Anterior)
  Anterior & posterior ethmoidals
  Supraorbital
  Terminal branches of the ophthalmic artery (supratrochlear, infratrochlear, and dorsal nasal)

 

Fig. 19. Arterial supply of the orbit. A. The ophthalmic artery enters the orbit to give off its ocular supply, followed by branches to the extraocular muscles and lacrimal gland, finally ending superomedially as an extraorbital supply to the eyelids and glabella. B. Parasagittal arteriography view shows the ophthalmic artery (OA) branching from the internal carotid artery (ICA) just above the carotid siphon. Note that although the carotid siphon lies within the CS, the ophthalmic artery branches off just above the CS. The kink of the ophthalmic artery within the orbit indicates its course over the optic nerve from medial to lateral. C. Axial CT image. A fortuitous cut shows the ophthalmic artery looping over the optic nerve (large arrows). Small arrows indicate the ethmoidal arteries branching off the ophthalmic arteries to travel through the lamina papyracea. (A modified from Zide BM, Jelks GW: Surgical Anatomy of the Orbit, p 11. New York, Raven Press, 1985)

The optic nerve derives its blood supply from three sources: the central retinal artery, the pial perforators, and the short posterior ciliary arteries.17 Note that the two long posterior ciliary vessels do not supply the optic nerve. Instead, they travel anteriorly within their scleral canal to supply the major arterial circle of the globe located at the iris root. The major arterial circle is also supplied by the terminal branches of the seven muscular arteries, which enter each rectus muscle with the motor nerve at the posterior third of the muscle. Note that the lateral rectus muscle has only one muscular artery but derives an additional blood supply from the lacrimal artery.

The extraorbital or anterior arterial circle includes the ethmoidal arteries, which act to tether the ophthalmic artery to the medial wall of the orbit, and terminal branches which exit the orbit anteriorly to anastomose with the external carotid arterial supply of the face. The anterior and posterior ethmoidal vessels are important landmarks during medial orbitotomy. Because their ostia run through the frontoethmoidal suture, they are found at the level of the cribriform plate (skull base) (see Fig. 7). The anterior to posterior location of these arteries is also an important guide to the optic foramen: the anterior ethmoidal artery is located 24 mm posterior to the anterior lacrimal crest, the posterior ethmoidal artery is 12 mm posterior to the anterior ethmoidal artery, and the optic foramen is 6 mm posterior to the posterior ethmoidal artery. Thus, remembering the numbers 24-12-6 is helpful as a guide to the optic foramen.

The terminal branches of the ophthalmic artery are the supratrochlear, infratrochlear, and dorsal nasal arteries, which supply the glabella and medial canthus and form the medial half of the palpebral arcades (Fig. 20A). The dorsal nasal artery (ICA) anastomoses with the facial artery (external carotid artery) to form the angular artery, often encountered during dacryocystorhinostomy.

Fig. 20. The arterial supply of the eyelids and midface. A. The upper eyelid contains two arcades, whereas the lower typically has one main arcade with or without a more rudimentary secondary arcade. Note that the palpebral arteries pierce the orbital septum to communicate with the anterior orbit. B. Major anastomoses of the internal (green) and external (red) carotid arterial supplies include the transverse facial and dorsal nasal arteries; the zygomatic/superficial temporal and lacrimal/lateral palpebral arteries; and the frontal branch of the superficial temporal and supraorbital arteries. Note that the infraorbital artery is a branch of the external carotid artery, arising from the internal maxillary artery within the pterygopalatine fossa. (A from Dutton JJ: Atlas of Clinical and Surgical Orbital Anatomy, p 79. Philadelphia, WB Saunders, 1994)

The terminal arteries of the orbit exit around the orbital rim to form three main anastomoses with the external carotid arterial supply of the face, namely with the facial artery, the superficial temporal artery, and the maxillary artery (see Fig. 20B).

The eyelids are supplied chiefly by palpebral arcades that course across the lids from medial and lateral arteries. In most cases, the upper eyelid contains two arcades, the marginal and peripheral, whereas the lower eyelid contains only one arcade, the peripheral. The peripheral arcades are found at the peripheral border of each tarsal plate, lying between the eyelid retractors. In the upper eyelid, the peripheral arterial arcade is commonly encountered during levator surgery between the levator aponeurosis and Müller's muscle. The medial palpebral artery pierces the orbital septum and follows a tortuous course through the medial fat pad of the upper eyelid as it anastomoses with deeper orbital vessels.35 Clamping of the medial fat pad before excision is important in preventing excessive bleeding during upper eyelid surgery.

A summary of important vascular characteristics of the orbit is found in Table 13.

 

TABLE THIRTEEN. Vascular Pearls

  1. The first major branch of the internal carotid artery is the ophthalmic artery, and the first branch of the ophthalmic artery is the central retinal artery.
  2. The orbital arteries can be grouped into three circles: the posterior (supplying the eyeball), the middle (supplying the extraocular muscles), and the anterior (terminal branches supplying the face).
  3. The infraorbital artery is a branch of the internal maxillary artery, which is in turn a branch of the external carotid artery. The infraorbital artery is not a branch of the ophthalmic artery.
  4. The major drainage of the orbit is via the superior ophthalmic vein. The inferior ophthalmic vein plays a major role only in pathologic conditions (e.g., carotid—cavernous fistula).

 

Veins

Within the soft tissue of the orbit, venous drainage is distinctly separate from the arterial supply; a similar arrangement is found intracranially. Although the veins are found in a relatively reproducible pattern within the orbital septal system, the arteries travel more haphazardly within orbital fat.18 All orbital veins are valveless; this may facilitate more rapid posterior spread of infectious processes within the anterior orbit.

The major venous drainage of the orbit is the superior ophthalmic vein and the CS (Fig. 21). The superior ophthalmic vein follows a medial-to-lateral route posteriorly along the superior orbit, tethered beneath the superior rectus muscle by a fascial sling.19 At the orbital apex, it is usually joined by the inferior ophthalmic vein, which also communicates through more minor branches with the pterygopalatine plexus through the IOF. The central retinal vein typically drains directly into the CS without joining the superior ophthalmic vein. Anteriorly, the orbit also drains into the angular vein of the facial plexus.

Fig. 21. A. Venous drainage of the orbit. Major drainage is supplied by the superior ophthalmic vein, which drains into the CS. Note that the central retinal vein usually drains directly into the CS. Drainage through the pterygoid plexus is minor under normal conditions but becomes very important during outflow problems through the CS (carotid-cavernous or dural-cavernous fistulas). B. Axial CT reveals the course of the superior ophthalmic veins (closed arrows) beneath the superior rectus muscles (S). Also imaged are the superior orbital rims (arrowheads) and the superior oblique muscles (open arrows) as each passes through the trochlea. (A from Dutton JJ: Atlas of Clinical and Surgical Orbital Anatomy, p 79. Philadelphia, WB Saunders, 1994)

Lymphatics

To date, no lymphatic system has been identified within the human orbit, although recent studies that identified lymphatic drainage in primate orbits make this an intriguing possibility.20 In the eyelids, lymphatic drainage occurs through a deep (posterior lamellar) and superficial (anterior lamellar) system. The medial aspect of the eyelids drains into the submandibular lymph nodes, whereas the lateral aspect and most of the upper eyelid drain into the preauricular and parotid nodes.

EXTRAOCULAR MUSCLES AND ORBITAL FASCIAL SYSTEM

The EOMs insert 5.5 to 8 mm behind the limbus of the globe. Specific details regarding the dimensions and functions of each EOM are found elsewhere. Useful points are summarized in Table 6. The EOMs are striated and composed of aerobic, twitch-type Fibrillenstruktur fibers and anaerobic, tonic-type Felderstruktur fibers.36,37 The most common affliction of the EOMs is inflammatory myositis, which is seen most typically in thyroid-related orbitopathy and idiopathic inflammatory pseudotumor. Rhabdomyosarcoma, a tumor with focal striated muscle differentiation that generally occurs in children, appears to arise from indifferent orbital mesenchyme rather than from preformed and completely differentiated striated muscle fibers.

Landmark anatomic investigations by Koornneef38–40 have shown that there are highly elaborate and reproducible connections of the epimysium of the EOMs with the fibrous connective tissue system of the orbital fat, the epibulbar fascia of Tenon's capsule, and the periosteum (periorbita) (Fig. 22). This extensive yet reproducible network of connective tissue provides support for the delicate neurovascular structures traversing the orbit, both facilitates and restricts the movement of EOMs in a coordinated fashion, and compartmentalizes the orbit into various spaces. Because of the inherent complexity of the orbital connective tissue system, any disruption in one area of the orbit may cause significant dysfunction of more distant areas. For example, these connections become clinically important in the understanding of restricted motility after orbital wall fracture and orbital decompressions for Graves' orbitopathy, as well as the superior sulcus and lower eyelid deformities that follow enucleation and orbital implant placement.

Fig. 22. Fascial network of the orbit, oblique coronal views. A. Section through the equator of the globe. Note the diffuse attachments from the lateral rectus muscle sheath to the lateral retinaculum, collectively called the lateral rectus check ligament. Also shown are the complex attachments between each oblique muscle and its corresponding rectus muscle neighbor. B. Section through the posterior globe. The superior rectus-levator complex is clearly shown, with attachments to the orbital roof. C. Section at the lamina cribrosa. The superior ophthalmic vein begins to course more laterally, toward the superior rectus-levator complex. Attachments of the medial and lateral rectus muscle sheaths to their corresponding orbital walls are indicated. The lateral rectus attachments continue along the entire length of the lateral orbital wall. Note that the intraconal fat lies in discrete lobules separated by fascial sleeves. The orbital veins are contained within these sleeves, whereas the orbital arteries follow an independent course through the fat lobules. D. Section through the midorbit (anterior portion of the optic nerve). The superior ophthalmic vein is now shown in its fascial sling below the superior rectus muscle. More posteriorly, the orbital fascial system deteriorates, with a less defined intraconal space. (Dutton JJ: Atlas of Clinical and Surgical Orbital Anatomy, pp 103–105. Philadelphia, WB Saunders, 1994)

To promote a clearer understanding, Dutton has succinctly summarized the orbital connective tissue system by dividing it into three components: Tenon's capsule, the anterior orbital suspensory system, and the posterior orbital suspensory system.41 The three components should not be considered as distinct anatomic entities, because complex attachments unite this triad into one comprehensive unit.

Tenon's capsule begins anteriorly just posterior to the limbus with firm attachments to the underlying episclera, investing the globe in an elastic and vascular connective tissue cover. The capsule also encompasses the anterior portions of the EOMs. Posteriorly, Tenon's capsule surrounds the optic nerve, interdigitating with the dural sheath. Other than its anterior and posterior attachments to the globe, Tenon's capsule is only loosely adherent to the underlying sclera, thereby cushioning the movement of the globe.

An intermuscular fibrous membrane connects the four rectus muscles around the globe to create a distinct intraconal space, but in the deeper orbital tissues this membranous system is not complete, so that the distinction between a central and a peripheral orbital space is lost toward the orbital apex. Anteriorly, the intermuscular fibers also blend with Tenon's capsule, creating a sort of rotating sleeve around the globe during ocular rotations.

The anterior orbital suspensory system is primarily concerned with providing support for the globe and fixation for eyelid structures. In addition, fascial support exists for the lacrimal gland (Sommering's ligaments) and the superior oblique muscle in the area of the trochlea. The four main structures of the anterior system are Whitnall's suspensory ligament, Lockwood's ligament, and the medial and lateral canthal tendons. These structures are discussed in detail elsewhere. The anterior suspensory system also provides anchoring points for the check ligaments of the EOMs, limiting their overaction during ocular rotations.

As already noted, the orbital septal system becomes less defined more posteriorly. The well-defined intraconal space encountered anteriorly blends with the surrounding extraconal space as one approaches the orbital apex. The annulus of Zinn, discussed earlier, forms dense adhesions to the periosteum of the orbital apex around the optic canal and SOF (see Fig. 12). In addition, fibers pass inferiorly along the IOF to interdigitate with Müller's orbital muscle, which spans the fissure.

As the levator palpebrae superioris (levator) muscle and superior rectus muscle course anteriorly, diffuse connections form to the orbital roof, creating an effective suspensory system. Further, diffuse fascial connections form between the levator and superior rectus muscles, allowing precise coordination of upper eyelid retraction with upgaze. Note that on imaging studies, the close association of these two muscles often makes them look like a single anatomic unit; the term “levator-superior rectus complex”is often found in radiologic reports (see Fig. 17). A fascial sling forms beneath the superior rectus muscle to provide suspensory support for the superior ophthalmic vein.

The medial rectus muscle has few important attachments to the posterior medial orbital wall, in contrast to the lateral rectus muscle, which has diffuse attachments to the lateral orbital wall from the lateral canthal tendon anteriorly to the annulus of Zinn posteriorly. Presumably, the extensive fascial attachments of the lateral rectus muscle sheath provide a firm attachment sleeve within which the lateral rectus muscle can function while still subtending a significant arc around the globe.41

The orbital muscle of Müller spans the IOF, separating the orbit from the pterygopalatine fossa below. The function of this smooth muscle in humans is unclear. It may simply represent an anatomic relic of evolution: Dutton notes that the orbital floor in lower mammals is poorly defined posteriorly and in need of muscular support.41 Some anatomists also ascribe a vasculosympathetic function to the muscle, given its proximity to the inferior ophthalmic vein.

LACRIMAL SYSTEM

Drainage System

Drainage of tears from the eyelids into the nose requires a patent drainage system (Fig. 23) comprising the puncta, canaliculi, lacrimal sac, and nasolacrimal duct, proper positioning of the eyelids against the globe, and an intact lacrimal pump function.42,43 If any of these components fails, epiphora will result.

Fig. 23. Lacrimal drainage system. A. Measurements. B. Valves of the lacrimal sac and nasolacrimal duct. (A from Jones LT, Wobig JL: Surgery of the Eyelids and Lacrimal System. Birmingham, Aesculapius, 1976. B from Bergin DJ: Anatomy of the eyelids, lacrimal system, and orbit. In McCord CD, Tanenbaum M, Nunery WR [eds]: Oculoplastic Surgery [3rd ed]. New York, Raven Press, 1995).

The puncta are defined as the openings of the canaliculi onto the eyelid margin (see Fig. 6). Each punctum measures about 0.3 mm in diameter and is found 0.5 to 1.0 mm medial to the end of the tarsal plate. The upper punctum is usually found slightly nasal to the lower punctum, each measuring 6 mm and 6.5 mm from the medial commissure, respectively. Thus, the puncta do not overlap each other during eyelid blink. Peripunctal tissue is avascular and rich in elastic tissue. This last point is documented clinically when observing the rapid collapse of the puncta in younger patients immediately after probing.

The canaliculi begin anatomically at the puncta. The vertical portion measures about 2 mm, with an ampulla (2.5 mm in diameter) forming just beneath the punctal opening. The horizontal portion measures 8 mm in length, surrounded by the medial portions of the muscle of Riolan (also known as Horner's muscle, an extension of the pretarsal orbicularis) and traveling through the fiber network of the medial canthal tendon. The diameter of each canaliculus is only 1 mm. In more than 90% of individuals, the canaliculi join to form a common canaliculus known as the ampulla of Maier, which then enters the lacrimal sac at the common internal punctum. The common internal punctum forms the first major valve of the lacrimal system, the valve of Rosenmuller, and acts to prevent reflux of tears back into the canaliculi during lacrimal pump function.

The lacrimal sac is found within its bony fossa, formed by the anterior and posterior lacrimal crests (see Fig. 7A and B). It measures 12 to 15 mm in length and has strong attachments over its lateral surface from the medial canthal tendon and fibers of the orbicularis (Horner's and Jones' muscles). The portion of the sac found above the medial canthal tendon is defined as the fundus, measuring 3 to 5 mm in height. Inferiorly, the sac opens into the nasolacrimal duct at the lacrimal ostium. (Note the proximity of the inferior oblique muscle origin, an important consideration during surgery of the lacrimal sac.) The pseudostratified nonkeratinized columnar epithelium of the lacrimal sac is thrown into numerous folds that form a screwlike passageway for tear outflow. Although each fold has been given various eponyms (see Fig. 23B), these are not important to remember; rather, understand that the folds as a unit perform the important function of efficiently driving tear flow in a unilateral direction down the nasolacrimal duct. The walls of the sac are rich in elastic tissue, thereby allowing for the constant collapse and reformation of the sac during the blink reflex.

The nasolacrimal duct travels within its canal for 12 mm through the nasofrontal process of the maxillary bone, opening intranasally into the inferior meatus, found just beneath the inferior turbinate. The opening of the nasolacrimal duct is about 16 to 25 mm posterior to the tip of the nose in adults, and about half that distance in children. The duct travels in a posterior and lateral direction,24 angulating 15° and 5°, respectively. As already noted, the inferior opening of the duct is defined as the valve of Hasner.

The lacrimal pump mechanism is described elsewhere. In addition to the dynamic process of the pump, gravity also assists in tear outflow.

SECRETORY SYSTEM

The aqueous portion of the tear film is produced by several glandular units found within the eyelids and anterior orbit. Considerable controversy exists regarding the innervation and contribution of each set of glands.28 One theory put forth by Jones defines the main lacrimal gland as a “reflex”secretor (i.e., dependent on neural stimulation for tear production), whereas the accessory lacrimal glands found along the inner aspect of the eyelids are called “basic”secretors, producing tears at a constant, unchanging rate.29 This theory forms the basis for the Schirmer tests of tear production.

In the fully developed orbit, the lacrimal gland is normally impalpable and is situated in a small fossa behind the superotemporal orbital rim. It is not an encapsulated structure but rather is an aggregated collection of lobules of secretory tissue set in the superotemporal orbital fat, with interlobular ducts converging into the main excretory ducts in the superotemporal fornix. Within the secretory acini are located inner columnar to cuboidal zymogen-bearing cells, on the outer aspect of which are applied contractile myoepithelial cells. Mucus-producing elements are not present. Myoepithelial cells are not present in the terminal intralobular ductules or in the interlobular ducts. The acinar elements are not capable of regenerating after inflammatory insults, and the regenerative capacity of the gland resides in the terminal ductules.

Lymphoid tissue is present in the substantia propria of the conjunctiva, and lymphocytes and plasma cells are lightly dispersed among the secretory acini of the lacrimal gland, but the deep orbital tissue is devoid of a standing population of lymphoid cells. Based on a study of the immunoarchitecture of the lacrimal gland using monoclonal antibodies as markers, plasma cells are the predominant mononuclear cell type, making up 54%, and are located in the interstitium of the gland. Immunoglobulin A (IgA) vastly predominates over other immunoglobulin types; lymphocytes of the substantia propria of the conjunctiva and of the lacrimal gland secrete IgA, which has a secretory piece added to it as it moves across the ducts of the gland or the conjunctival epithelium. T cells make up 40% of all mononuclear cells, with T8 suppressor/cytotoxic cells outnumbering T4 helper cells. Occasional small lymphoid aggregates without germinal centers may also be seen at the juncture of intralobular and interlobular ducts, in which T4 helper cells predominate and a smattering of B cells are found. Lymphoid tumors, representing reactive hyperplasias and true lymphomas, consequently are derived from blood-borne lymphocytes that emigrate from the orbital vascular system into the orbital connective tissues, generally into the orbital fat. To date, there are no identifiable endothelial-lined lymphatics within the orbit, although the lacrimal gland itself contains lymphatic channels that drain to the preauricular and cervical nodes. The fact that the lacrimal gland has a standing population of lymphocytes and plasma cells—which are not, however, organized into lymph nodes (as may be seen in the parotid gland)—may explain the relative frequency of the development of idiopathic dacryoadenitis and lymphoid tumors of the gland. Inflammatory pseudotumors, lymphoid tumors, inflammations such as sarcoidosis and Sjögren syndrome, and epithelial tumors are the main types of pathology that arise from or involve the lacrimal gland.

The main lacrimal gland is split into two lobes, the palpebral and the orbital, by the lateral horn of the levator aponeurosis2 (Fig. 24). The palpebral lobe measures about one-third the volume of the orbital lobe, and its subconjunctival location is easily identified during slit-lamp examination. The orbital lobe lies within its fossa, a concavity found within the lateral portion of the orbital roof. Fibrous septa known as Sommering's ligaments run from the gland to attach it more firmly to the periosteum of the lacrimal gland fossa. Whitnall's ligament also adds support for lacrimal gland suspension.30 (The lacrimal sac fossa is distinctly separate from the lacrimal gland fossa; the term “lacrimal fossa”is discouraged because it is confusing in its nonspecificity.) The shape of the orbital lobe is rather like that of a pancake (see Fig. 21B). The orbital lobe is usually limited to its fossa, but it is not uncommon to encounter posterior tails of lacrimal gland tissue traveling toward the orbital apex on routine CT/MRI studies.1 Likewise, the palpebral lobe may extend as inferiorly as the lateral canthal tendon in some individuals.31

Fig. 24. The lateral horn of the levator aponeurosis splits the lacrimal gland into the orbital and palpebral lobes as it sweeps laterally to insert into the lateral canthal tendon of the eyelid. (Zide BM, Jelks GW: Surgical Anatomy of the Orbit, p 35. New York, Raven Press, 1985)

Tear outflow passes from the orbital to the palpebral lobe through the levator aponeurosis; aggressive dissection in this area during levator surgery can thus damage the outflow mechanism. The palpebral lobe opens into the superolateral conjunctival fornix through 10 to 12 ductules. Innervation to the lacrimal gland remains controversial32 but can be summarized succinctly as sensory innervation from the lacrimal nerve (V-1) and parasympathetic innervation from the pterygopalatine ganglion.23 The role of sympathetic innervation is not completely understood.

The accessory lacrimal glands or basic secretors are usually grouped as the glands of Krause, found along the conjunctival fornices, and the glands of Wolfring, found along the superior tarsal border of the upper eyelid. The glands of Wolfring may be injured during ptosis repair by a posterior approach. The glands of Popov are located within the substance of the caruncle.

Two additional components of the tear film are mentioned briefly. The outer lipid layer is produced by the meibomian glands, which form excavations within the tarsus and open at the eyelid margin (and by minor contributions from the glands of Zeis and Moll of the eyelash follicle). The inner mucin layer is made by the conjunctival goblet cells.

Back to Top
REFERENCES

1. Johnston MC: A radioautographic study of the migration and fate of cranial neural crest cells in the chick embryo. Anat Rec 156:143, 1966

2. Noden DM: Periocular mesenchyme: Neural crest and mesodermal interactions. In Jakobiec FA (ed): Ocular Anatomy, Embryology, and Teratology, pp 97–120. Philadelphia, Harper & Row, 1982

3. Johnston MC, Bhakdinaronk A, Reid YC: An expanded role of the neural crest in oral and pharyngeal development. In Bosma JF (ed): The Fourth Symposium on Oral Sensation and Perception, pp 37–52. HEW Pub No 73–546. Bethesda, National Institutes of Health, 1973

4. Ozanics V, Jakobiec FA: Prenatal development of the eye and its adnexa. In Jakobiec FA (ed): Ocular Anatomy, Embryology, and Teratology, pp 11–96. Philadelphia, Harper & Row, 1982

5. Woodruff JM, Chernik NL, Smith MC et al: Peripheral nerve tumors with rhabdomyosarcomatous differentiation (malignant “Triton”tumors). Cancer 32:426, 1973

6. Brooks JS, Freeman M, Enterline H: Malignant “triton”tumors: Natural history and immunohistochemistry of nine new cases. Cancer 55:2543, 1985

7. Shajrawi I, Podoshin L, Fradis M, Boss JH: Malignant triton tumor of the nose and paranasal sinuses: A case study. Hum Pathol 20:811, 1989

8. Bhatt S, Graeme-Cook F, Joseph MP, Pilch BZ: Malignant triton tumor of the head and neck. Otolaryngol Head Neck Surg 105:738, 1991

9. Nosaka S, Kao SCS: MRI of malignant “triton”tumor in a child. Clin Imaging 17:53, 1993

10. Jakobiec FA, Font RL, Tso MOM, Zimmerman LE: Mesectodermal leiomyoma of the ciliary body: A tumor of presumed neural crest origin. Cancer 39:2102, 1977

11. Jakobiec FA, Iwamoto T: Mesectodermal leiomyoma of the ciliary body associated with a nevus. Arch Ophthalmol 96:692, 1978

12. Jakobiec FA, Mitchell JP, Chauhan PM, Iwamoto T: Mesectodermal leiomyosarcoma of the antrum and orbit. Am J Ophthalmol 85:51, 1978

13. Karcioglu ZA, Someren A, Mathes SJ: Ectomesenchymoma: A malignant tumor of migratory neural crest (ectomesenchyme) remnants showing ganglionic, schwannian, melanocytic, and rhabdomyoblastic differentiation. Cancer 39: 2486, 1977

14. Torczynski E: Normal development of the eye and orbit before birth: the development of the eye. In Isenberg SJ (ed): The Eye in Infancy, Chapter 2. Chicago, Year Book Medical Publishers, 1989

15. Isenberg SJ: Physical and refractive characteristics of the eye at birth and during infancy. In Isenberg SJ (ed): The Eye in Infancy, chapter 3. Chicago, Year Book Medical Publishers, 1989

16. Panje WP, Ceilly RI: The influence of embryology of the mid-face on the spread of epithelial malignancies. Laryngoscope 89:1914, 1979

17. Whitnall SE: The Anatomy of the Human Orbit and Accessory Organs of Vision (2nd ed). London, Oxford Medical Publishers, 1932

18. Tessier P, Rougier J, Hervouet F: Microphthalmias and congenital anaophthalmias. In Plastic Surgery of Orbit and Eyelids: Report of French Society of Ophthalmology. New York, Masson Publishing, 1977

19. Cepela MA, Nunery WR: Stimulation of orbital growth by use of expandable implants in the anophthalmic cat orbit. Ophthal Plast Reconstr Surg 8:157, 1992

20. Berry FD: A modified tissue expander for socket enlargement in clinical anophthalmos. Ophthal Plast Reconstr Surg 7:41, 1991

21. Sevel D: Reappraisal of the origin of human extraocular muscles. Ophthalmology 88:1330, 1981

22. Tychsen L, Tse DT, Ossoinig K, Anderson RL: Trochleitis with superior oblique myositis. Ophthalmology 91:1075, 1984

23. Jepson CM, Wetzig PC: Pure chondroma of the trochlea. Surv Ophthalmol 11:656, 1966

24. Faber W, Kock E, Landau I, Tengroth B: Trochleanahes chondrom der orbita. Klin Mbl Augenheilk 200:138, 1992

25. Pulitzer DR, Eckert ER: Mucoepidermoid carcinoma of the lacrimal gland. An oxyphilic variant. Arch Ophthalmol 105:1406, 1987

26. Goldberg RA, Hannani K, Toga AW: Microanatomy of the orbital apex. Computed tomography and microcryoplaning of soft and hard tissue. Ophthalmology 99:1447, 1992

27. Anderson RL, Pange WR, Gross CE: Optic nerve blindness following blunt forehead trauma. Ophthalmology 89:445, 1982

28. Doxanas MT, Anderson RL: Clinical Orbital Anatomy. Baltimore, Williams & Wilkins, 1984

29. Fisher ER, Hazard JB: Nonchromaffin paraganglioma of the orbit. Cancer 5:521, 1952

30. Deutsch AR, Duckworth JK: Nonchromaffin paraganglioma of the orbit. Am J Ophthalmol 68:659, 1969

31. Kadoya M, Amemiya T: A case of orbital paraganglioma. Acta Soc Ophthalmol Jap 83:359, 1979

32. Zimmerman LE, Stangl R, Riddle PJ: Primary carcinoid tumor of the orbit. Arch Ophthalmol 101:1395, 1983

33. Shore JW, Bilyk JR: Optic nerve sheath fenestration in the management of pseudotumor cerebri. In Schmidek HH, Sweet WH (eds): Operative Neurosurgical Techniques, chapter 21. Philadelphia, WB Saunders, 1995

34. Miller NR: In Walsh and Hoyt's Clinical Neuro-Ophthalmology (Volume 2, 4th ed). Baltimore, Williams & Wilkins, 1985

35. Tucker SM, Linberg JV: Vascular anatomy of the eyelid. Ophthalmology 101:1118, 1994

36. Breinin G: The structure and function of extraocular muscle—an appraisal of the duality concept. Am J Ophthalmol 72:1, 1971

37. Jakobiec FA, Iwamoto T: The ocular adnexa: Lids, conjunctiva, and orbit. In Fine BS, Yanoff M (eds): Ocular Histology: A Text and Atlas (2nd ed). Hagerstown, Harper & Row, 1979

38. Koornneef L: New insights into human orbital connective tissue. Arch Ophthalmol 95:1269, 1977

39. Koornneef L: Orbital connective tissue. In Jakobiec FA (ed): Ocular Anatomy, Embryology, and Teratology. Philadelphia, Harper & Row, 1982

40. Koornneef L: Orbital septa: Anatomy and function. Ophthalmology 86:876, 1979

41. Dutton JJ: Atlas of Clinical and Surgical Orbital Anatomy. Philadelphia, WB Saunders, 1994

42. Jones L: Anatomy of the tear system. Int Ophthalmol Clin 13:3, 1973

43. Jones LT, Wobig JL: Surgery of the Eyelids and Lacrimal System. Birmingham, Aesculapius, 1976

44. Wieczorek R, Jakobiec FA, Sacks EH, Knowles DM: The immunoarchitecture of the normal human lacrimal gland. Relevancy for understanding pathologic conditions. Ophthalmology 95:100, 1988

45. Jakobiec FA, Leftkowitch J, Knowles DM: B- and T-lymphocytes in ocular disease. Ophthalmology 91:635, 1984

46. Bruce RA: Regional anesthetic techniques. In Bruce RA, McGoldrick KE, Oppenheimer P (eds): Anesthesia for Ophthalmology. Birmingham, Aesculapius, 1982

47. Callahan A: Reconstructive Surgery of the Eyelids and Ocular Adnexa, p 13. Birmingham: Aesculapius, 1966

48. Fries PD, Katowitz JA: Congenital craniofacial anomalies of ophthalmic importance. Surv Ophthalmol 35:87, 1990

49. Zide BM, Jelks GW: Surgical Anatomy of the Orbit. New York, Raven Press, 1985

50. Weinstein JM, Zweifel TJ, Thompson HS: Congenital Horner's syndrome. Arch Ophthalmol 98:1074, 1980

51. Bergin DJ: Anatomy of the eyelids, lacrimal system, and orbit. In McCord CD, Tanenbaum M, Nunery WR (eds): Oculoplastic Surgery (3rd ed). New York, Raven Press, 1995

Back to Top