Chapter 60
Actinomyces Organisms in Ocular Disease
MICHAEL P. VRABEC and GEORGE J. FLORAKIS
Main Menu   Table Of Contents

Search

TAXONOMY
DETECTION AND ISOLATION
TRANSPORT AND STORAGE OF SPECIMENS
CLINICAL SIGNIFICANCE
PATHOLOGY OF DISEASE
ANTIMICROBIC SUSCEPTIBILITIES
REFERENCES

TAXONOMY
Actinomyces species are facultative anaerobic non-spore-forming gram-positive rods that vary considerably in shape and size. DNA and 16 S rRNA relatedness studies have resulted in profound changes in the classification of gram-positive rods. The rRNA sequencing of actinomyces and related organisms has divided the gram-positive rods into two major taxonomic branches: the Actinomyces genera and the Corynebacterium genera.1 Bacteria in the Actinomyces genera include Propionibacterium, Eubacterium, and Lactobacillus. Important in the context of human disease are Actinomyces israelii, Actinomyces naeslundii, Actinomyces viscosus, Actinomyces odontolyticus, Actinomyces pyogenes, and Actinomyces meyeri.1 Actinomyces gerencseriae, Actinomyces israelii serotype II, and Actinomyces nevii represent newly discovered species.1

These genera are taxonomically diverse but share many phenotypic characteristics. Actinomyces DNA is characterized by a high content of guanine and cytosine (58 to 68 mole %). The cell walls of actinomyces organisms contain lysine, aspartic acid, and ornithine. Slender filaments with branching are noted in some species.1

Back to Top
DETECTION AND ISOLATION
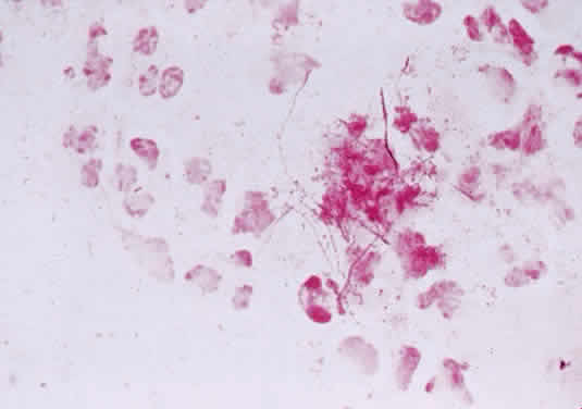
Direct microscopic examination of clinical specimens for gram-positive rods may permit a diagnosis of actinomyces (Fig. 1). Typically, extensive granulation tissue containing polymorphonuclear leukocytes, lymphocytes, plasma cells, and fibroblasts is noted. Specimens stained with the Brown-Brenn stain show sulfur granules, which are diagnostic for actinomycosis.1 With hematoxylin and eosin stain, the core of the granule is basophilic and the periphery is eosinophilic. Peripheral club-shaped filaments surround the central mass of filaments in a radial arrangement.2 The acid-fast Putt modification of the Ziehl-Neelsen stain (using a weaker decolorizer) makes Actinomyces species appear partially acid-fast (i.e., speckled red).1

Fig. 1. Gram stain of actinomyces; gram-positive, branching organisms are noted. (Courtesy of David Meisler, MD, Division of Ophthalmology, Cleveland Clinic, Cleveland, OH.)

Actinomyces are mobile or nonmotile chemo-organotrophs (requiring preformed organic compounds as a source of carbon and oxidizing organic compounds as a source of energy) and can be differentiated by their ability (saccharoclastic) or inability (nonsaccharoclastic) to cleave complex sugars. Some species are catalase-positive; others are catalase-negative. Energy is provided by fermentative glucose metabolism.1 The metabolic products include succinic acid, lactic acid, and small amounts of acetic acid. There is no indole production. Nitrate reduction is variable among species.1 Other traits that differentiate species of actinomyces include gelatin hydrolysis and H2S production on triple iron agar. It is, however, difficult to tell some of the species apart.

Actinomyces species can be divided into strict anaerobes (Actinomyces bovis, A. israelii, and A. meyeri) and facultative anaerobes (all others).1 As such, there is scant to no growth of most Actinomyces species after 48 hours of incubation on chocolate agar in 3% to 5% CO2.1

Back to Top
TRANSPORT AND STORAGE OF SPECIMENS
Samples obtained from sites of infection should be treated as anaerobic, although some species are aerotolerant. The most important parameter in the successful isolation of Actinomyces species is minimizing the time between specimen collection and the incubation of the inoculated media.1

Usually the specimen is collected from the punctum or canaliculus because this is the most common site of infection involving the eye. If the material can be expressed from the punctum to a cotton-tipped applicator, it is best directly placed in an anaerobic transfer media for plating in the laboratory. Sometimes the canaliculus must be cut open to obtain a sample.

Back to Top
CLINICAL SIGNIFICANCE
Anaerobes in general are involved in various infections at a higher rate than they are isolated in the laboratory.2 Finegold3 determined that Actinomyces species were isolated in 14% of anaerobic infection samples analyzed in his laboratory. The natural habitat of all Actinomyces species except Actinomyces humiferus is the mucous membranes of humans and animals. The organisms are commonly encountered in the respiratory tract and oropharynx, are less frequently found in the genitourinary tract, and are rarely encountered in the eye or adenexa.1 A. bovis and Actinomyces suis have not been found in humans.1

Because Actinomyces species are part of the normal flora of mucous membranes, infections are therefore opportunistic.1 Under low oxygen conditions, which favor their growth, infection ensues. Such circumstances include tooth extraction, aspiration of food, trauma, and surgery. Proteolytic enzymes digest surrounding tissue as colonies replicate.4 The most common etiologic agent in human infection is A. israelii, although most infections in humans are polymicrobic.1,5 A. viscosus and A. naeslundii play a significant role in dental caries and periodontal disease.6

Back to Top
PATHOLOGY OF DISEASE
Actinomycosis is the most common disease entity involving Actinomyces species. It is a noncontagious, chronic, suppurative and granulomatous infection. It occurs throughout the world. The exact incidence is unknown, but infection from this species seems to be disappearing as a result of the widespread use of antibiotics.7,8 It is observed twice as often in men as in women. Anatomic distribution of the infection is 60% cervicofacial, 20% abdominal, 15% thoracic, and 5% other sites.9 The disease can spread from one of the above locations by hematogenous spread and affect other organs.10,11 The infection is commonly associated with tooth extraction or dental surgery, especially in patients with poor oral hygiene.12

The common initial symptoms of cervicofacial actinomycosis include minimal pain and a subcutaneous swelling of the cheek or submandibular area. The swelling becomes firm, red, and hard. Nodules develop, giving a lumpy appearance—hence the name “lumpy jaw.”13 Thoracic actinomycosis presents as a subacute pulmonary infection similar to tuberculosis.14 Abdominal actinomycosis is rarely detected unless draining sinuses are seen on the skin.15

The most common site of infection involving the eye is the lacrimal system.16 Canaliculitis is more common in women. It usually is unilateral and more frequently involves the lower canaliculus (Fig. 2). Ocular actinomycosis is usually secondary to infection of the jaw and sinuses, but it may be primary.17,18 Epiphora, caused by obstruction, may be the only initial symptom, followed by localized swelling. Nodular abscesses, which are painless and mobile, form in the punctum, canaliculus, or lacrimal sac. Later the nodules may ulcerate or form fistulas into deeper tissue, discharging purulent exudate containing green or yellow discharge. Actinomycosis less frequently results in conjunctivitis, keratitis, corneal ulceration, pannus, iritis, endophthalmitis, or proptosis from orbital involvement.19,20

Fig. 2. Canaliculitis in the left lower lid caused by actinomyces. (Courtesy of David Meisler, MD, Division of Ophthalmology, Cleveland Clinic, Cleveland, OH.)

Back to Top
ANTIMICROBIC SUSCEPTIBILITIES
Penicillin G is usually the drug of choice in treating actinomyces infection. For lacrimal system infections, direct irrigation of the sac with penicillin solution as well as oral dosing is recommended. The organism may also be susceptible to amoxicillin. Erythromycin, tetracycline, or clindamycin may be substituted for patients allergic to penicillin.9 Long-term (up to months) treatment is required, often with surgical drainage of the affected site: the eradication of organisms may be difficult with antibiotics alone because of inadequate blood supply, abscess formation, and the impedance of drug penetration by surrounding granulation tissue.1 As a result, drainage of infections involving the lacrimal system is often required, along with dacryocystorhinostomy and topical natamycin 5% eye drops.17,21
Back to Top
REFERENCES

1. Murray PR, Baron EJ, Pfaller MA, Tenover FC, Yolken RH: Manual of Clinical Microbiology. 6th ed. Washington DC, ASM Press, 1995

2. Lever W, Schaumburg-Lever G: Actinomycosis. In Histopathology of the Skin, p 385. 7th ed. Philadelphia, WB Saunders, 1990

3. Finegold SM: General aspects of anaerobic infection. In Finegold SM, George WL (eds): Anaerobic Infections in Humans, p 135. San Diego, Academic Press, 1989

4. Yeager B, Hoxie J, Weisman R, Greenburg M, Bilaniuk L: Actinomycosis in the acquired immunodeficiency syndrome related complex. Arch Otolaryngol Head Neck Surg 112: 1293, 1986

5. Rippon J. Actinomycosis. In Medical Mycology: The Pathogenic Fungi and the Pathogenic Actinomycetes, p 30. 3d ed. Philadelphia, WB Saunders, 1988

6. Moore LVH, Moore WEC, Cato EP, Smibert RM, Burmeister JA, Best AM: Bacteriology of human gingivitis. J Dent Res 66:989, 1987

7. Slack JM, Gerencser MA: Actinomyces, Filamentous Bacteria, Biology and Pathogenicity. Minneapolis, Burgess Publishing Co., 1975

8. Milder B: Actinomycosis. In Fraunfelder F, Roy F, Meyer S (eds): Current Ocular Therapy 2, p 36. Philadelphia, WB Saunders, 1985

9. Bennhoff D: Actinomycosis: Diagnostic and therapeutic considerations and a review of 32 cases. Laryngoscope 94: 1198, 1984

10. Kuijper E, Wiggerts H, Jonker G, Schaal K, DE Gans J: Disseminated actinomycosis due to Actinomyces meyeri and Actinobacillus actinomycetem comitans. Scand J Infect Dis 24:667, 1992

11. Jani A, Casibang V, Mufarri J: Disseminated actinomycosis presenting as a testicular mass: A case report. J Urol 143:1012, 1990

12. Moschella S, Hurley H: Systemic bacterial and nonvenereal spirochetal infections. In Dermatology, p 760. 3d ed. Philadelphia, WB Saunders, 1992

13. Feder H: Actinomycosis manifesting as an acute painless lump of the jaw. Pediatrics 85:858, 1990

14. Tyrrell J, Noone P, Prichard J: Thoracic actinomycosis complicated by Actinobacillus actinomycetem comitans. Respir Med 86:341, 1992

15. Miyamoto M, Fang F: Pyogenic liver abscess involving Actinomycoses. Clin Infect Dis 16:303, 1993

16. Shauly Y, Nachum Z, Gdal OM et al: Adjunctive hyperbaric oxygen therapy for actinomycotic lacrimal canaliculitis. Graefes Arch Clin Exp Ophthalmol 231:429, 1993

17. Pine L, Hardin H, Turner L, Robert S: Actinomycotic lacrimal canaliculitis. Am J Ophthalmol 49:1278, 1960

18. Fedukowicz H: Bacteria. In External Infections of the Eye, p 41. Philadelphia, Appleton-Century-Crofts, 1985

19. Roussel T, Olson E, Rice T, Meisler D, Hall G, Miller D: Chronic postoperative endophthalmitis associated with Actinomyces species. Arch Ophthalmol 109:60, 1991

20. Blanksma L, Slijper J: Actinomycotic dacryocystitis. Ophthalmologica 176:145, 1977

21. Scheie HG, Albert DM: Textbook of Ophthalmology, p 376. 9th ed. Philadelphia, WB Saunders, 1977

Back to Top