Chapter 103
Electroretinography
RONALD E. CARR
Main Menu   Table Of Contents

Search

CLINICAL ELECTRORETINOGRAPHY
CLINICAL USES OF THE ERG
THE FOCAL ERG
THE PATTERN ERG (PERG)
REFERENCES

The standard clinical electroretinogram (ERG) is a recording of the electrical discharges from certain outer retinal layers elicited by a flash of light. The response occurs as a result of transient movements of ions in the extracellular space induced by the light stimulus.1
Back to Top
CLINICAL ELECTRORETINOGRAPHY
In the clinical setting only the early electrical responses of the retina (within the initial 200 msec) are measured because later responses are usually obliterated by eye blinks. Within this 200 msec time frame there are two predominant responses, the a-wave and the b-wave (Fig. 1).

Fig. 1. Schematic of a dark-adapted ERG in response to a high-intensity light flash (·). The a-wave amplitude is measured from the baseline to the lowest negative excursion of the trace. The b-wave amplitude is measured from the lowest point to the highest positive peak. (Carr RE, Siegel IM: Visual Electrodiagnostic Testing. Baltimore, Williams & Wilkins, 1982)

The a-wave is the initial downgoing deflection and arises from the photoreceptor cells.2 The b-wave is the upgoing deflection that follows the a-wave and arises from the Müller cells.3 While the derivation of the b-wave is from the Müller cells, it reflects such activity from the region of the bipolar cells.4

Under certain recording conditions small wavelets, called oscillations, may be seen riding on the downgoing and upgoing waves (Fig. 2). These oscillatory potentials arise from a number of cell types in the midretinal layers.4

Fig. 2. Left. Dark-adapted ERG demonstrating the oscillatory potentials riding the ascending limb of the b-wave. Right. By selective filtering, the slower components of the ERG, including the b-wave, can be eliminated leaving only the fast-frequency components, the a-wave, and the oscillatory potentials. (Carr RE, Siegel IM: Visual Electrodiagnostic Testing. Baltimore, Williams & Wilkins, 1982)

From the foregoing discussion it is clear that the ganglion cells play no role in the generation of the ERG. Therefore, diseases affecting only the inner retina or the optic nerve should not alter the ERG. It is also important to realize that the standard clinical ERG is a mass response reflecting activity from the entire retina. Thus, small localized lesions (e.g., macular degeneration) will not affect the ERG amplitude.

METHODS OF EXAMINATION

The electrical discharges elicited by the light stimulus are recorded directly from the eye via a contact lens placed on the cornea. The signal is then amplified and visualized on an oscilloscope or directly written out on any x-y plotter. To enhance the signal, the light is usually delivered via a ganz feld (full-field) bowl, a hemisphere used to scatter light throughout the entire retina. This method also avoids some of the problems associated with light scatter.

PARAMETERS

Two major parameters are used to evaluate the ERG response in the clinical setting. The first is the amplitude of the wave, which is measured in microvolts (μV). The amplitude of the a-wave is measured from the baseline to the trough of the a-wave, while the b-wave is measured from the trough of the a-wave to the peak of the b-wave (see Fig. 1).

The implicit time is the second major parameter. It is defined as the time from the stimulus onset to the peak of the response and is measured in milliseconds (msec). The easiest and most accurate measure of the implicit time is the b-wave under light-adapted or photopic conditions (Fig. 3).

Fig. 3. Implicit time of the ERG photopic b-wave. The implicit time is measured from the stimulus to the peak of the response. A. Normal. B. Patient with retinitis pigmentosa showing a reduced amplitude b-wave with an increased implicit time.

STIMULUS CONDITIONS

Certain stimulus conditions allow the isolation of either the cone or rod responses so that each receptor can be studied independently. Under photopic or light-adapted conditions with a bright background light the rods are sufficiently dampened so that the only response is from the cones. The cone response is rapid with a b-wave implicit time usually between 28 and 32 msec. The cone response can also be isolated by using a rapidly flickering light. The cones follow a flickering light up to 60 to 70 Hz whereas the rods follow a flickering light only up to 12 to 16 Hz. Therefore, a stimulus flickered at 30 Hz elicits a response only from the cone receptors (Fig. 4).

Fig. 4. Flicker ERG. A repetitive high-intensity flash (30/sec) produces this all-cone response. Calibration: 50 msec, 200 μV.

After sufficient dark adaptation (30 min) the rod responses are optimized under these scotopic conditions. A single bright flash gives a response that is a composite of the dark-adapted rods and the dark adapted cones. This response is much larger and has a longer implicit time than the pure cone response. How then does one look at the rods alone? Since the rods are very sensitive to light at the blue end of the spectrum, a weak blue light stimulus produces an essentially pure rod response (Fig. 5).

Fig. 5. ERG response of the dark-adapted eye to a dim blue flash. Calibration: 80 msec, 200 μV.

Finally, a red stimulus under scotopic conditions results in a biphasic response where the initial wave represents the more rapidly responding cones and the second response the slower responding rods (Fig. 6). This biphasic response occurs because the rods are relatively insensitive to light at this longer wavelength.

Fig. 6. ERG response of the dark-adapted eye to a dim red flash. Left. Rod and cone systems respond sufficiently different to allow separation of cone (initial positive response) and rod (second positive response) systems. Right. Patients with an absence of cones will show only the second (rod) portion of the ERG response.

STANDARDIZED PROTOCOL

Recently, a standardization of the clinial full-field ERG was established by an International Standardization Committee.5 The committee proposed standards for the following five commonly obtained responses:

  1. A maximal response in the dark-adapted eye
  2. A response developed by the rods (in the dark adapted eye)
  3. Oscillatory potentials
  4. A response developed by the cone
  5. Responses obtained to a rapidly repeated stimulus (flicker)

For the details of the basic technology and clinical protocol see reference 5.

Back to Top
CLINICAL USES OF THE ERG
The ERG is helpful in diagnosing a number of disorders. It can be used

  To aid in the diagnosis of a generalized degeneration of the retina or to avoid the mistaken diagnosis of a generalized retinal degeneration
  To assess family members where other individuals in the family have a known hereditary retinal degeneration
  To aid in the diagnosis of patients presenting with decreased vision and nystagmus from birth
  To assess retinal retinal function in the presence of vascular occlusions
  To assess retinal function with opaque media
  To aid in a diagnosis when subjective complaints outweigh objective findings

GENERALIZED DEGENERATION OF THE RETINA

Among the multitude of generalized degenerations of the retina, retinitis pigmentosa is the best known. While this term has been used generically to describe any generalized retinal degeneration, attention to a family history and evaluation of other family members, assessment of complaints that may indicate systemic disease, long-standing uveitis, or drug use, and careful evaluation of the ERG will help to clarify diagnosis of disorders in this group and place them into better-defined entities (Table 1). It will also help to avoid a mistaken diagnosis of a generalized retinal degeneration.

 

TABLE 1. Generalized Retinal Degenerations

  Retinitis pigmentosa
  Other heredoretinal degenerations

  Retinitis pigmentosa sine pigmento
  Retinitis punctata albescens
  Inverse retinitis pigmentosa (cone-rod dystrophy)
  Leber's congenital amaurosis
  Choroideremia
  Gyrate atrophy of retina and choroid
  Favre's disease
  Wagner's disease
  Associated with systemic abnormalities


  Pseudoretinitis pigmentosa (see Table 2)

 

Any patient with a generalized heredoretinal degeneration, of which retinitis pigmentosa may be considered the prototype, has an abnormal ERG. In most cases the ERG is extinguished or markedly reduced in amplitude, and in most instances it has prolonged implicit times.6 In a few cases, usually early in the course of the disease, the ERG is only slightly affected in terms of amplitude (usually reduction of the b-wave), but the prolonged photopic implicit time directs the examiner to the appropriate diagnosis7 (Fig. 7).

Fig. 7. ERG recordings from a 14-year-old boy with documented autosomal dominant retinitis pigmentosa. His ERG shows a reduced amplitude and prolonged photopic implicit time as compared with the normal.

CASE 1 (FIG. 8). A 49-year-old female had poor night vision from childhood and recent difficulty going down stairs. There was no family history of any similar disorder. Vision 20/25 OD, 20/20 OS. Both fundi showed slightly pale discs, attenuated arterioles, a motheaten appearance of the retina, and peripheral bone spicules. Visual fields were 10 degrees on a Goldmann perimeter (III-4E). The ERG was extinguished.

Fig. 8. Case I. See text for details.

This is a classic case of retinitis pigmentosa with the ERG providing confirmatory evidence to the typical history, clinical picture, and visual fields.

CASE 2 (FIG. 9). A 5-year-old boy was seen for evaluation because of a family history of choroideremia. His maternal grandfather had this disorder, but the patient and all other family members had no complaints. Vision 20/20 in each eye. Both fundi showed mild pigment granularity, but the discs and arterioles were normal. The ERG was markedly reduced in amplitude under all testing conditions.

Fig. 9. Case 2. See text for details.

This boy has electrophysiologic evidence of a generalized tapetoretinal degeneration. More definitive fundus changes will appear in the future and symptoms consistent with a widespread retinal degeneration will ensue. Evaluation of his mother showed funduscopic evidence of a choroideremia carrier state. All of her psychophysical and electrophysiologic tests were normal.

CASE 3 (FIG. 10). A 57-year-old female was referred because of increasing complaints of difficulty with her night vision and her side vision. She had a long history of low-grade uveitis and a progressive decrease in central vision. Visual acuity 20/100 OD, 20/80 OS. The vitreous showed multiple small cells. Both retinas showed narrowed arterioles and strands of pigment in the far periphery. Multiple areas of atrophy of the RPE were seen throughout. An ERG was extinguished.

Fig. 10. Case 3. Left. Posterior pole. Right. Peripheral retina. See text for details.

This patient had birdshot choroiditis, an inflammatory disorder of the choroid with severe secondary photoreceptor degeneration. The ERG gives evidence of widespread degeneration, but the history and clinical findings preclude the diagnosis of a generalized heredoretinal degeneration. This disorder of birdshot choroiditis may produce a “pseudo-retinitis pigmentosa” picture8 (Table 2).

 

TABLE 2. Pseudoretinitis Pigmentosa

  Infectious diseases

  Viral encephalitides (e.g., rubella); any of the childhood exanthematous disorders
  Disseminated chorioretinitis (e.g., syphilis; birdshot)


  Exudative disorders

  Harada's disease (after resolution of exudative detachments)


  Toxemia of pregnancy (after resolution of exudative detachments)
  Drug-induced retinal degenerations

  Phenothiazines
  4-amino quinolines
  Deferoxamine
  Retinoids


  Exogenous causes

  Ophthalmic artery occlusion
  Trauma
  Metallosis
  Cancer associated retinopathy (CAR syndrome)


  Miscellaneous

  Uniocular retinitis pigmentosa
  Sector retinitis pigmentosa
  Pericentral retinitis pigmentosa
  Paravenous chorioretinal dystrophy
  Fundus flavimaculatus
  Senile reticular degeneration


 

CASE 4 (FIG. 11). A schizophrenic 29-year-old female was seen for routine eye exam with vision of 20/20 in each eye and no ocular abnormalities noted. She was seen for the second time 6 months later with complaints of a rapid decrease in central vision. Vision was 20/100 OD and OS. Both fundi showed heavy clumping of pigment throughout the macular area and a scattering of pigment granules throughout the rest of the retina. The ERG was extinguished.

Fig. 11. Case 4. See text for details.

The ERG gives evidence of a widespread retinal degeneration. The clinical course and rapid change in the retinal picture is not found in retinitis pigmentosa. Further history revealed this patient to have been on high doses of Mellaril for the 5 months preceding her second evaluation. This known retinotoxic drug was indicted as the cause of the bilateral retinal degeneration.9

CASE 5 (FIG. 12). A 2-year-old deaf boy was referred with a diagnosis of Usher's syndrome (retinitis pigmentosa and deafness). His vision seemed good in both eyes and the parents were unsure as to his ability to see in darkness. Both fundi showed a generalized granularity throughout. The ERG was normal.

Fig. 12. Case 5. See text for details.

The normal ERG precludes a diagnosis of retinitis pigmentosa. While the mother denied rubella during pregnancy, the constellation of findings makes this the most likely diagnosis.

KNOWN HEREDITARY DEGENERATION

Aside from a careful family history, evaluation of other relatives of an individual with a known hereditary retinal problem may be necessary. For example, the autosomal dominant form of retinitis pigmentosa is usually the least severe of the genetic variants and young people with the problem may have no symptoms and minimal fundus changes.10 Therefore, the ERG becomes the primary objective test to diagnose such affected individuals. The importance of this also is noted in Case 2, where a young patient with choroideremia had no symptoms but the ERG provided the diagnosis.

The physician who deals with a hereditary problem becomes the first line in genetic counseling. Making the correct diagnosis is the initial step, but it is likewise important to ascertain, as far as possible, the hereditary mode of the disease. In the case of retinitis pigmentosa, where all three modes of inheritance are seen, the importance becomes obvious with regard to future generations. If an individual is seen without a positive family history, autosomal recessive is statistically the most likely mode of inheritance.11 But if one further considers an isolated case of a male presenting with such a problem, the possible diagnosis of X-linked recessive retinitis pigmentosa cannot be ruled out. In such a case it is important to examine any female who might be the carrier of the X-linked gene. In a large percentage of such cases the female carrier shows fundus changes in the absence of any subjective complaints.12 These may consist of an unusual scintillating reflex in the macular area or a clumping of pigment in the periphery (Fig. 13). However, these changes are not always seen. In such cases electrophysiologic studies provide the answer, for it has been found that certain electrophysiologic abnormalities also are seen in the majority of female carriers, even those with no fundus abnormalities. These consist of a prolonged photopic b-wave implicit time and/or a reduction in the amplitude of the scotopic b-wave in a fully dark-adapted eye.13

Fig. 13. Female carrier of X-linked retinitis pigmentosa. Fundus photographs of a 48-year-old female with vision of 20/20 OD and OS. Left. Macular area shows an unusual scintillating reflex around the entire parafoveal region. Right. Retinal periphery showing an isolated area of retinal pigment epithelial loss with associated clumps of pigment.

Other disorders may be diagnosed in an asymptomatic individual on the basis of ERG changes.

CASE 6. A 12-year-old female was seen because of a family history of late onset progressive cone dystrophy. She had no symptoms, vision was 20/30 in each eye, the fundus exam was normal, and color vision was normal. An ERG showed a markedly reduced photopic flicker response and a normal rod response (Fig. 14).

Fig. 14. Case 6. See text for details.

The ERG provides the diagnosis of a cone dystrophy in this as yet asymptomatic patient. This disorder appears to initially affect peripheral cones with gradual progression centrally. As long as the central cones are intact, vision will remain normal and color vision will likewise be good. The ultimate visual outcome is an acuity of 20/200.

DECREASED VISION AND NYSTAGMUS SINCE BIRTH

Patients with this problem are invariably infants, for whom diagnostic tests are limited to clinical evaluation and objective testing. A large number of disorders result in these findings and all have in common a bilateral decrease in central vision (Table 3).

 

TABLE 3. Nystagmus and Decreased Vision from Birth

  Disorders of the media (e.g., corneal opacities and cataracts)
  Optic nerve diseases

  Coloboma
  Hypoplasia
  Atrophy

  Developmental
  Hereditary



  Retinal diseases

  Ophthalmoscopically visible

  Macular disease

  Colobomas

  Hereditary
  Infectious

  Toxoplasmosis
  Inclusion cell disease



  Hypoplasia

  Albinism
  Aniridia
  Idiopathic



  Rare bilateral associations

  Retinopathy of prematurity (ROP)
  Persistent hyperplastic primary vitreous (PHPV)
  Retinal dysplasia



  Ophthalmoscopically variable

  Leber's congenital amaurosis
  Rod monochromatism (achromatopsia)
  CSNB with nystagmus and decreased vision



  Congenital nystagmus

 

Many such diagnoses may be made by clinical examination, but three disorders may have normal retinal evaluations and can be diagnosed only by the ERG.

CASE 7. An 11-month-old boy was evaluated under ketamine anesthesia because of poor vision and nystagmus from birth. The eye exam was normal. ERG revealed an absent photopic flicker response and a normal scotopic response.

The ERG indicates an absence of cone function and normal rod function. This congenital hereditary absence or near absence of cones, known as rod monochromatism or achromatopsia, is inherited as an autosomal recessive and is nonprogressive.14 The additional symptom of aversion to light and in older persons, poor color vision, may help in making the diagnosis.

CASE 8. A 6-month-old female was examined under ketamine anesthesia because of poor vision and nystagmus from birth. The parents noted irregular wandering eye movements and felt the vision to be extremely impaired. Examination showed mild granularity of the retina and an extinguished ERG.

The diagnosis of Leber's congenital amaurosis, a congenital form of retinitis pigmentosa that is inherited as an autosomal recessive, can be made on the basis of the ERG. The retina may look nearly normal in infancy but invariably shows progressive changes during life.15 Vision is usually profoundly impaired but in rare instances may range from 20/60 to 20/200. Associated somatic abnormalities may include cerebellar dysfunction, deafness, and mental retardation.16

CASE 9. A 6-year-old boy was evaluated because of nystagmus and poor vision from birth. The parents stated that the vision had seemed stable and the child was able to read. Recently they were aware their child had difficulty at night. Vision was 20/60 OD and OS with a -7.00 spherical equivalent. Fundus evaluation showed myopic discs but was otherwise normal. The ERG showed a deep normal a-wave but an absent b-wave under scotopic recording conditions (Fig. 15).

Fig. 15. Case 9. See text for details. Two scotopic recordings were made, one at 30 minutes dark adaptation and the second after 3 hours of dark adaptation. There is no change in the waveform in spite of the prolonged adaptation.

The ERG indicates normal photoreceptors as evidenced by the normal a-wave but an abnormality in the bipolar cell region as evidenced by the absent b-wave. In this instance the combination of clinical and ERG findings points to a diagnosis of congenital stationary nightblindness (CSNB), a stationary disorder and in this variety usually inherited as an X-linked recessive. This is one of several forms of CSNB (Table 4) and the typical ERG findings in such cases prevents confusion with more serious disorders, particularly when nightblindness is a presenting symptom.

 

TABLE 4. Types of Congenital Stationary Nightblindness (CSNB)

  CSNB with normal fundi

  Type I. Shubert-Bornschein

  Deep a-wave, absent b-wave


  Type II. Nougaret or Riggs

  Reduced a- and b-waves


  Type III. X-linked

  Associated with myopia, nystagmus, and decreased vision



  CSNB with abnormal fundi

  Oguchi's disease

  Normal a-wave, absent b-wave. Abnormal retinal color disappears with prolonged adaptation.


  Fundus albipunctatus


  ERG becomes normal only after prolonged adaptation.

  Abnormally slow regeneration of visual pigments.


 

VASCULAR OCCLUSIONS

ERG is useful to assess retinal function in the presence of vascular occlusions. Central retinal vein (CRV) occlusions can be differentiated into ischemic and nonischemic varieties with the former having a much more severe prognosis because of the poor visual outcome and the possibility of developing neovascular glaucoma.17 If the areas of nonperfusion are great enough the ERG b-wave will be affected since the capillary plexus that is ischemic supplies the midretinal layers. The ERG thus provides a reliable ancillary test to differentiate these two varieties of CRV occlusion, particularly if the hemorrhage is sufficiently widespread so that the capillaries are not visible on fluorescein angiography.

A central retinal artery (CRA) occlusion affects the b-wave if the ischemia is widespread enough. However, the clinical picture is usually sufficient to make the diagnosis without electrophysiologic tests. In cases of ophthalmic artery occlusion, however, where the clinical picture in the acute stage is similar to central retinal artery occlusion, the absent ERG can be the most helpful objective test to differentiate between these disorders.18

CASE 10 (FIG. 16). A 23-year-old female awoke after cesarean section and stated she had no vision in her right eye. Evaluation showed a normal left eye and a right eye with no light perception, a dilated pupil that did not react to light, and an edematous retina with a cherry red spot. The ERG was extinguished.

Fig. 16. Case 10. See text for details. Left. Fundus appearance 4 hours after cesarean section. Right. Fundus appearance 6 months later.

This patient's ERG indicates a complete loss of all photoreceptor function. Although the fundus picture resembles CRA occlusion, the ERG findings point to ophthalmic artery occlusion, presumably due to pressure on the eye from the face mask used for anesthesia.

OPAQUE MEDIA

Since the standard clinical ERG is a mass response reflecting overall viability of the retina, it is used to assess overall retinal function when the retina cannot be seen, either because of a cataract or due to corneal or vitreous opacities. In the former case the cataract acts as a diffuser of light and in some cases a “supernormal” ERG is seen. A normal ERG in no way indicates whether central vision is normal since macular degeneration or optic atrophy do not affect the ERG amplitude. Corneal opacities likewise tend to diffuse light so a normal ERG again gives information, but just regarding overall retinal function. If the cornea is thin or if there is a reason for not recording with a standard contact lens electrode a gold foil electrode that hooks over the lid may be used.

Vitreous opacities hinder the amount of light stimulating the retina so a “bright flash” ERG may be necessary.19 This very intense stimulus is usually sufficient to get enough light to the retina to generate a response and to assess overall retinal function.

WHEN SUBJECTIVE COMPLAINTS OUTWEIGH OBJECTIVE FINDINGS

As was noted previously, in children who cannot be tested subjectively the ERG may be one of the major objective tests to evaluate visual function. In some adults, either because there are no clinical findings to account for symptoms or because of the patient's inability to communicate, the ERG may be important for diagnosis.

CASE 11. A 40-year-old female complained of progressive loss of side vision. She had no prior eye problems. Vision was 20/30 OD and OS. Retinal exam was normal. Visual fields were 5 degrees to a 3/1000 W and did not change with distance or target size. The ERG was normal.

The ERG shows that there are no widespread abnormalities to account for the constricted fields. Since the ERG only measures outer retinal function, a visual evoked response (VER) was also performed which was likewise normal. The diagnosis was nonorganic visual loss. A change in the patient's job to a less-demanding position and more within her capabilities led to clearing of all symptoms.

CASE 12. A 36-year-old female was seen because of poor night vision all of her life. Her vision was 20/20 in each eye and visual fields and retinal evaluations were normal. The ERG showed a deep negative a-wave and an absent b-wave.

These changes, along with the history, are indicative of another form of CSNB (see Table 4).20 This group of disorders may show normal fundi with good vision. Other forms (Oguchi's disease; fundus albipunctatus) may show fundus changes and ERG abnormalities specific to the particular disorder. In Case 12 as well as Case 9 the abnormality in the bipolar cell region is probably a result of an abnormality in neural transmission.21

CASE 13. A 36-year-old male was seen because of difficulty seeing print over the past several years. He also experienced severe glare problems and poor color vision. Vision was 20/70 OD and 20/100 OS. Fundus exam was normal with a good foveal reflex. Color testing on the Farnsworth Panel D-15 was normal. Visual fields showed bilateral central scotoma. An ERG showed a markedly reduced cone response with a normal rod response.

The symptoms and the ERG findings are in keeping with the disorder of late onset progressive cone dystrophy.22 This disorder is inherited as an autosomal dominant or is seen sporadically. The disorder seems to start peripherally and gradually moves centrally until vision ultimately falls to a level of 20/200. As noted in Case 6, asymptomatic relatives of affected individuals should be checked because in the early stages, although the intact central cones keep visual acuity and color vision normal, the widespread loss of peripheral cones will severely affect the ERG.

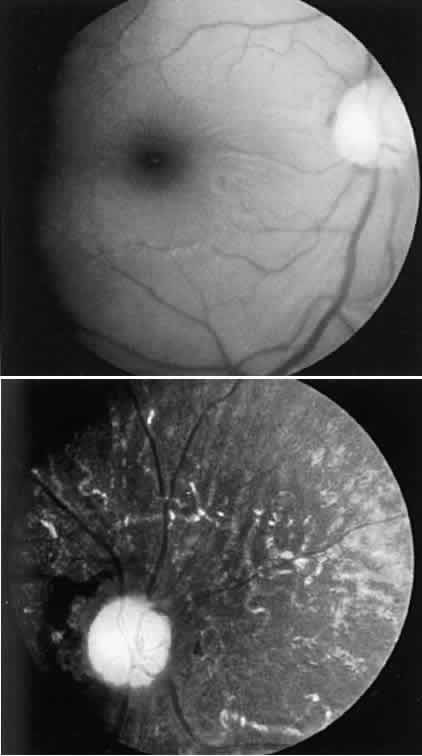
CASE 14 (FIG. 17). A 6-year-old boy was noted at school to have a visual acuity of 20/60 in each eye. The parents stated that he had no visual complaints. Both macular areas showed a glistening reflex, which on stereoscopic examination was found to represent cystic spaces in the foveal-parafoveal area. An ERG showed a deep negative a-wave but no b-wave (Fig. 18).

Fig. 17. Case 14. See text for details. Left. Macular area. Right. Peripheral retina of another patient with X-linked retinoschisis showing the diaphanous “veils” or inner layer retinoschisis.

Fig. 18. Case 14. ERG in patient with X-linked retinoschisis.

These findings are typical of X-linked juvenile retinoschisis. The abnormality of the ERG probably reflects widespread midretinal changes that in some cases result in the peripheral inner layer retinoschisis seen in 50% of such cases.23 In cases without the peripheral schisis vision usually remains in the 20/60 to 20/80 range. As the patient gets older the central areas of schisis may flatten leaving a nondescript central retinal pigment epithelium (RPE) change. In such cases the typical ERG gives the appropriate diagnosis.

Back to Top
THE FOCAL ERG
The previous section dealt with ERG responses to a diffuse flash of light that stimulates the entire retina—the full-field ERG. As has been noted, such a stimulus is not affected in either amplitude or implicit time if only small areas of the retina are damaged. Thus, if a patient has macular degeneration, the standard full-field ERG is normal.

The problems of recording the ERG from small areas of the retina, namely the macula, are difficult because of two problems: first, the detection of an ERG signal from such a small area of retina, and second, the indirect stimulation of remote areas by the light stimulus—the stray light effect.24 To counteract the first problem, signal-averaging machines are now commercially available which reduce background noise while enhancing the ERG so that with appropriate summation the electrical response becomes apparent. The second problem, that of stray light, has been overcome by using a background of light to desensitize the retina and then superimposing a stimulus within the illuminated area. Thus, the stray light from the stimulus does not effectively activate the surrounding desensitized retina since the intensity of the stimulus is less than the background light. Because of these restrictions the only area now able to be tested is the macular region and only the cone receptors in that region. Likewise, testing seems effective only for an area greater than 5 degrees.

The focal electroretinogram (FERG) can be recorded with a commercially available hand-held recording ophthalmoscope in which the observer places, under direct observation, the stimulus directly on the fovea.25 If there is any movement from the foveal area the machine is shut off and recording is only done when the stimulus is on the foveal area.

A second approach uses a remote stimulus centered within a surround of illumination—a ganz-feld bowl.24 Sinusoidal stimuli drive the central cones. The major drawback is that patient fixation cannot be closely monitored.

A normal FERG, as recorded over a range of frequencies, has its peak at a frequency between 30 Hz and 40 Hz (Fig. 19). Likewise, the latency of the FERG response (phase lag) varies with frequency24 (Fig. 20). Using these two parameters, amplitude and latency, helps to diagnose a patient with early macular degeneration or conversely, to demonstrate normalcy of the central cone system in a patient with reduced vision.

Fig. 19. Focal ERG recorded at various frequencies. At 10 Hz there is a notched response, while at faster frequencies the response becomes sinusoidal. Maximum amplitude occurs at 30 to 40 Hz. (Carr RE, Siegel IM: Visual Electrodiagnostic Testing. Baltimore, Williams & Wilkins, 1982)

Fig. 20. Focal ERG—phase lag. There is a change in the phase lag or latency with a change in frequency. (Carr RE, Siegel IM: Visual Electrodiagnostic Testing. Baltimore, Williams & Wilkins, 1982)

CASE 15. An 11-year-old girl was seen because a visual loss to a level of 20/50 in each eye was noted at school. She had no previous eye problem and the eye exam was otherwise normal. Visual fields were normal although Amsler grid testing showed some irregularity in both central areas. A full-field ERG was normal. The focal ERG showed a marked reduction in amplitude, particularly in the midtemporal frequencies (Fig. 21). A provisional diagnosis of early Stargardt's disease was made. A fluorescein angiogram performed two months later showed a small window defect in both foveal areas, corroborating the diagnosis.

Fig. 21. Case 15. See text for details. As is true in most cases of macular degeneration, the maximum amplitude loss (upper graph) occurs at the midtemporal frequencies (40 Hz) and there is an increase in the phase lag (lower graph), again most evident in the higher frequencies.

This case demonstrates the importance of such a test in cases where a pathologic defect may be diagnosed in the presence of a normal retina. Likewise, if the FERG is normal one may infer that the visual loss is not retinal in nature.

Sutter and Tran26 described a multifocal ERG system in which multiple retinal areas are stimulated simultaneously and each response is independently detected. Thus, a topographic ERG map may be constructed of the entire posterior pole (Fig. 22). The study of these responses is in its infancy so the clinical usefulness remains to be determined.

Fig. 22. ERG tracings from a multifocal ERG system. Top. Tracing array or topographic ERG map. Within a 47° × 39° area, 103 separate areas are represented. Stimulus frequency ≅ 37 Hz. Number of summated runs = 4. Time of each run = 4 min. Bottom. Top trace represents the central response from the topographic map. Succeeding traces represent the average of ERG responses in rings around the central area. Trace 2 represents the 6 traces around the center; trace 3 represents the next 11 traces in a circle around the first ring. The amplitudes are recorded relative to the central response. Implicit times are of major importance and can be easily obtained for both a- and b-waves.

Back to Top
THE PATTERN ERG (PERG)
All of the above-noted ERG responses, the full-field and focal ERGs, are induced by light flashes, either diffuse or focal. Likewise, such responses are localized to the outer retinal layers, in the full-field ERG from the photoreceptors to the bipolar cell region and in the focal ERG from the central cone receptors. In neither of these responses does the ganglion cell layer play a role.

Thus, it was of interest when a report to the German Ophthalmological Society in 1979 showed that the electrical response to a pattern stimulus, presented so that there was no change in luminance in the eye but only a continual transition of dark and light squares on the stimulator, was extinguished in a patient with transection of the optic nerve.27 As would be expected, the full-field and focal ERGs were normal. This work has been carried forward over the years on both animals and humans, and it is now clear that an alternating pattern stimulus gives rise to a response generated by the ganglion cells.28

There are now commercially available pattern generators, the most common being a television screen with a reversing checkerboard, in which the size of the squares, the rate of pattern reversal, and the amount of contrast can be varied.

The clinical value of the pattern electroretinogram (PERG) for diagnoses as well as following the course of certain diseases has been studied in ocular hypertension, glaucoma, optic neuritis, optic atrophy, and amblyopia.29 It must be noted that the retina distal to the source of the PERG, that is, the retinal photoreceptors, must be intact to produce a normal response. Thus patients with macular degeneration will have an abnormal PERG.

At present, the value of the PERG in clinical disease seems limited and in most cases does not seem any better than already available tests such as quantitative perimetry and the VER. It is of value, however, in discriminating the source of the area responsible for decreased vision in cases where ocular evaluation has been normal.

CASE 16. An 18-year-old female had a 2-month history of poor vision in the left eye. Vision was 20/20 OD and 20/40 OS. The retinal exam was normal, but there was a question of an afferent pupillary defect OS. A full-field ERG and a focal ERG were normal. A pattern ERG was markedly reduced in the left eye (Fig. 23).

Fig. 23. Case 16. See text for details.

These tests localize the disorder to the ganglion cells, although it must be noted that a similar conclusion could have been made using the VER since the VER for the left eye was abnormal, showing an increased latency and a loss of contrast sensitivity. A diagnosis of retrobulbar neuritis was made on the basis of the history and electrophysiologic findings.

CASE 17. A 15-year-old female was noted at school to be having difficulty with the blackboard and also with reading. Examination showed a vision of 20/200 in each eye with an otherwise normal eye examination.

The following tests were performed and were normal: full-field ERG, focal ERG, pattern ERG, contrast VER. The normalcy of all of these tests provides objective evidence that the visual pathway, from the photoreceptors to the visual cortex, is normal. A diagnosis of malingering was made in this case and was subsequently borne out when the vision slowly returned to normal after resolution of a possible impending divorce in the child's family.

Back to Top
REFERENCES

1. Hagins WA, Penn RD, Yoshikami S: Dark current and photocurrent in retinal rods. Biophys J 10:380, 1970

2. Brown LT, Watanabe K, Murakami M: The early and late receptor potentials of monkey cones and rods. Cold Spring Harbor Symp Quant Biol 30:457, 1965

3. Armington JC: The Electroretinogram. Academic Press, New York, 1974

4. Dowling JE: The Retina: An Approachable Part of the Brain. Cambridge, MA, Harvard University Press, 1987

5. Marmor MF, Arden GB, Nilsson SEC et al: Standard for clinical electroretinography. Arch Ophthalmol 107:816, 1989

6. Berson EL, Gouras P, Hoff M: Temporal aspects of the electroretinogram. Arch Ophthalmol 81:207, 1969

7. Berson EL, Gouras P, Gunkel RD: Rod responses in retinitis pigmentosa, dominantly inherited. Arch Ophthalmol 80: 58, 1968

8. Kaplan HJ, Aaberg TM: Birdshot retinochoroidopathy. Am J Ophthalmol 90:773, 1980

9. Meredith TA, Aaberg TM, Willerson WD: Progressive chorioretinopathy after receiving thioridazine. Arch Ophthalmol 74:460, 1965

10. Gouras P, Carr RE: Electroretinographic studies in early retinitis pigmentosa. Arch Ophthalmol 72:140, 1964

11. Boughman JA, Conneally PM, Nance WE: Population genetic studies of R.P. Am J Hum Genet 32:223, 1980

12. Fisham GA, Weinberg AB, McMahon TT: X-linked recessive retinitis pigmentosa. Arch Ophthalmol 104:1329, 1986

13. Berson EL, Rosen JB, Simonoff EA: ERG testing as an aid in detection of carriers of X-chromosome-linked retinitis pigmentosa. Am J Ophthalmol 87:460, 1979

14. Harrison R, Hoefnagel D, Hayward JN: Congenital total color blindness: A clinico-pathological report. Arch Ophthalmol 64:685, 1960

15. Schappert-Kimmijser J, Henkes HE, van den Borsch J: Amaurosis congenita (Leber's). Arch Ophthalmol 61:211, 1959

16. DeKaben A, Carr RE: Congenital amaurosis of retinal origin. Arch Neurol 14:294, 1966

17. Kaye SB, Harding SP: Early ERG in unilateral central vein occlusion as predictor of rubeosis iridis. Arch Ophthalmol 106:353, 1988

18. Jayam AV, Hass WK, Carr RE, Kumar AJ: Saturday night retinopathy. J Neurol Sci 22:413, 1974

19. Fuller DG, Knighton RW, Machemer R: Bright-flash ERG for the evaluation of eyes with opaque vitreous. Am J Ophthalmol 80:214, 1975

20. Carr RE: Congenital stationary nightblindness. Trans Am Ophthalmol Soc 72:448, 1974

21. Carr RE, Ripps H, Siegel IM, Weale RA: Rhodopsin and the electrical activity of the retina in congenital night blindness. Invest Ophthalmol 5:497, 1966

22. Ripps H, Noble KG, Greenstein VC: Progressive cone dystrophy. Ophthalmology 94:1401, 1987

23. Condon GP, Brownstein S, Wang N-S: Congenital hereditary (juvenile X-linked) retinoschisis. Arch Ophthalmol 104:576, 1986

24. Seiple WH, Siegel IM, Carr RE, Mayron C: Evaluating macular function using the focal ERG. Invest Ophthalmol Vis Sci 27:1123, 1986

25. Sandberg MA, Berson EL, Ariel M: Visually evoked response testing with a stimulator-ophthalmoscope. Arch Ophthalmol 95:1805, 1977

26. Sutter E, Tran D: The field topography of ERG Components in man. I: the Photopic luminance response. Vision Res 32:433, 1972

27. Sutter EE, Tran D: The field topography of ERG components in man: I: the photopic luminance response. Vision Res 32:433, 1992

28. Groneberg A, Teping C: Topudiagnostik von Sehstorungen durch Ableitung retinaler and Kortikaler Antworumlautfen auf Umkehr-Kontrastmuster. Ber Dtsch Ophthal Ges 77:409, 1980

29. Maffei L, Fiorentini A: Electroretinographic responses to alternating gratings before and after sectioning of the optic nerve. Science 211:953, 1981

30. Berninger TA, Arden GB: The pattern electroretinogram. Eye 2 (suppl):S257, 1988

Back to Top