Chapter 2
Congenital Anomalies
MARILYN C. KINCAID
Main Menu   Table Of Contents

Search

DEVELOPMENTAL ANOMALIES
PHAKOMATOSES (DISSEMINATED HEREDITARY HAMARTOMAS)
CHROMOSOMAL ABERRATIONS
INFECTIOUS EMBRYOPATHY
REFERENCES

DEVELOPMENTAL ANOMALIES
Any of a number of agents may cause malformations of the eye during embryologic and fetal life; these include genetic abnormalities, infectious agents, and other teratogens. Often, the specific cause of a given malformation is unknown.1,2

ANOPHTHALMIA

In anophthalmia, the orbit lacks an eye. Clinically, however, such an orbit may contain a small, rudimentary eye; thus, the diagnosis of true anophthalmia can be made only after serial sectioning and histologic examination of the orbital tissue.3 Cases of histologically proven true anophthalmia are extremely rare. Clinical anophthalmia refers to the absence of an eye on physical examination alone, and this condition is more common. Anophthalmia may be sporadic, or familial and associated with chromosomal abnormalities.3 The anomaly may occur in the setting of other abnormalities of the ectoderm and mesoderm, such as focal dermal hypoplasia and Waardenburg syndrome.4 There are three types of anophthalmia5:

  1. Primary anophthalmia is the result of complete suppression of formation of the optic vesicle; this occurs before the 2-mm stage of embryogenesis.6 Normally the neuroectoderm of each optic vesicle extends laterally from the neuroectoderm of the forebrain and is continuous with it. Therefore, in primary anophthalmia, the orbit contains no neuroectodermally derived structures, nor any structures dependent on the optic cup for development.7
  2. Secondary anophthalmia results from the suppression of the anterior portion of the neural tube and is thus incompatible with life. Such infants can be born alive at term, although they have significant cerebral malformations.5
  3. Consecutive, or degenerative, anophthalmia is the result of the initial formation, but later regression, of the optic vesicle.1 The actual existence of this category is controversial and is difficult to prove. Histologically, no neuroectoderm is present, but ocular structures are present whose embryologic development is dependent on the initial presence of the optic vesicle.

Cases in which there is histologic evidence of neuroectodermal elements come under the heading of extreme microphthalmia.

MICROPHTHALMIA

Any eye that is smaller than normal at birth is microphthalmic. The normal eye at birth is 16 to 19 mm in diameter; a microphthalmic eye is 15 mm or less. Such an eye may range in size from just smaller than normal to clinical anophthalmia.8

As noted above, an eye may be extremely microphthalmic, simulating anophthalmia. Microphthalmia is a congenital abnormality and should not be confused with atrophia or phthisis bulbi, conditions in which the initially normal eye is shrunken after trauma or disease postnatally. Three types of microphthalmia exist:

  1. Nanophthalmia refers to an eye that is smaller than normal but otherwise grossly normal. These eyes often are hyperopic with macular hypoplasia; there can be secondary retinal and choroidal detachments. An apparent interference with normal aqueous drainage leads to angle-closure glaucoma in some cases.9,10 Histologically, these eyes, although small, are normally formed. Another term for such eyes is simple microphthalmia.11
  2. Microphthalmia with cyst is the extreme example of a colobomatous defect and is caused by a complete failure of the fetal fissure to close. The fetal fissure, located inferonasally, exists transiently for the entrance of embryonic vessels, and its closure normally occurs at the 15-mm stage. The resultant cyst may be larger than the microphthalmic eye and is generally lined with neuroectodermal tissue (Fig. 1).12

    Fig. 1. Microphthalmia with cyst. A. The microphthalmic left eye in a 2-year-old girl. B. Computed tomographic scan showing the cyst nasal to the microphthalmic eye. C. Gross specimen, showing that the cyst is larger than the eye. D. Low-power photomicrograph showing the relatively well-formed eye and large cyst (H&E, × 1). There is focal retinal dysplasia. (UTHSC-SA EP 169. Courtesy of Charles R. Leone, MD)

  3. Microphthalmia may be associated with other generalized abnormalities, such as rubella syndrome and trisomy 13, or other ocular abnormalities, such as persistent hyperplastic primary vitreous. In these cases, the eye generally is malformed as well.13

CONGENITAL CYSTIC EYE

Another anomaly that occurs very early in embryonic development is congenital cystic eye. This occurs when the optic vesicle fails to invaginate to form the optic cup, as it normally does in the fourth gestational week. Ocular structures that originate from surface ectoderm (the lens, corneal epithelium) and from neural crest (uveal stroma, corneal stroma) are typically not present.14

CYCLOPIA AND SYNOPHTHALMIA

In cyclopia and synophthalmia, the telencephalon fails to divide into two hemispheres, and thus midline structures, including the septum pellucidum, corpus callosum, neurohypophysis, and olfactory lobes, do not develop. As would be expected, this extensive malformation is lethal, with a maximum survival of only days.15,16

Because of the failure of telencephalic division, the eyes develop as a completely or partially fused structure in the midline of the face. The other facial anomalies in turn result from the ocular structure's interference with migration. The lids are fused medially to form a diamond-shaped palpebral fissure. The proboscis is located superior to the median ocular structure and has no connection with respiratory apparatus.

True cyclopia is the complete fusion of the two eyes in a single midline pseudo-orbit. Synophthalmia, the more common variant, is characterized by partial fusion of the eyes; this is always more marked posteriorly.15–17 The degree of disorganization within the ocular structure is highly variable but tends to be greater medially. Cases that have an associated chromosomal abnormality, such as trisomy 13, tend to be more dysplastic and have more heterotopic elements present, such as cartilage.18

A possible variant of synophthalmos and cyclopia is unilateral diplophthalmos. In this condition, there is a supernumerary, partially fused second eye in the orbit. In a single case presentation, the authors postulated that an anomalous fold had formed in the retina. This fold then came in contact with the surface ectoderm, inducing formation of a second lens and subsequent formation of a fused second eye.19

ANENCEPHALY

Anencephaly is a lethal disorder, although it is compatible with completion of pregnancy. It is the most common lethal central nervous system disorder, occurring in 1 to 5 per 1,000 births. The cause is unknown but is postulated to be due to any of several possible teratogens acting at about the third or fourth week of pregnancy.20,21 Folate deficiency is one possible cause; vitamin supplements containing folate reduce the incidence of this condition.

The entire cranial vault is missing, with only disorganized neural and vascular tissue present. The orbits are shallow, so the eyes have a characteristic proptosis. The eyes themselves usually are grossly normal. The most common histologic finding is aplasia or hypoplasia of the nerve fiber and ganglion cell layers of the retina and of the optic nerve (Fig. 2).22 Other less-common findings include angle abnormalities, uveal colobomas, retinal dysplasia, epibulbar dermoid, persistent hyaloid artery, and retinal neovascularization.23

Fig. 2. Anencephaly. A. Autopsy view of the typical facies, with protruding eyes. B. The retina lacks the ganglion cell and nerve fiber layers (H&E, × 7).

Back to Top
PHAKOMATOSES (DISSEMINATED HEREDITARY HAMARTOMAS)
The phakomatoses are congenital lesions, many of which are hereditary. They are characterized by hamartias or hamartomas of different organ systems.24 The name phakoma, meaning “mother spot” or birthmark, was given by van der Hoeve in 1923 to this group of disorders.24,25 A hamartia, which means “defect” in Greek, is an anomaly of tissue elements that are normally found at the involved site, such as the anomalous conjunctival vessels of the Louis-Bar syndrome. If a tumor is present at the site of the anomaly, it is referred to as a hamartoma. (In contrast, a choristoma refers to a tumor composed of tissue elements not normally present at the involved site.) Generally, these tumors are benign and tend to affect predominantly one tissue type in a given phakomatosis.24

ANGIOMATOSIS OF THE RETINA (VON HIPPEL DISEASE)

The characteristic retinal lesion in this disease is a capillary hemangioma (hemangioblastoma), composed of blast-like vascular endothelial cells and pericytes, along with foamy cells that contain lipid (Figs. 3 and 4).26,27 The origin of these foamy cells has been controversial.28 Recent work has shown that they are the true neoplastic component of the hemangioblastoma. Von Hippel-Lindau angiomatosis is inherited as an autosomal dominant with incomplete penetrance. The mode of inheritance and the mechanism of disease are similar to those of retinoblastoma—that is, the condition is inherited as an autosomal dominant trait, so that the patient is heterozygous for the abnormal gene. However, at the cellular level, within the tumor, the neoplastic cells undergo a second mutation and are homozygous. These homozygous cells are the tumor cells, and they express vascular endothelial growth factor.29

Fig. 3. Angiomatosis of the retina. A. Fundus picture of retinal angioma in a 16-year-old patient. B. Hemangioblastoma (capillary hemangioma) replaces the full thickness of the retina. C. High magnification shows capillary blood-filled spaces intimately associated with characteristic pale, foamy, polygonal stromal (astrocytic) cells.(A, fundus picture [SEI 79-21]; B, H&E, × 40 [SEI 73–207]; C, H&E, × 252 [SEI 73–209]. Courtesy of Dr. DH Nicholson).

Fig. 4. Retinal hemangioblastoma. A. Low-power view shows a hemangioblastoma at the ora serrata with disruption of normal architecture. The ciliary epithelium has proliferated beneath the hemangioblastoma (H&E, × 7.8). B. Higher-power view shows the vascular channels (H&E, × 31).

Large feeder vessels supply and drain the hemangioblastoma, which is typically located inferotemporally near the equator. The small vessels within the tumor leak lipid-rich fluid, which can result in retinal exudates and hemorrhages. By electron microscopy, the tumor vessels have fenestrations, making them permeable to these metabolites.30 Secondary complications include exudative retinal detachment and fibroglial bands. Also, neovascularization of the iris, peripheral anterior synechiae, and secondary angle-closure glaucoma may result.

New lesions appear in the retina as small, flat, red nodules with normal afferent and efferent vessels; these patients must be followed and treated when appropriate, because these lesions will develop into typical capillary hemangiomas.31,32 Less commonly, such lesions spontaneously regress.33

The retinal capillary hemangiomas are bilateral in 50% of patients. Lindau described a similar malformation in the cerebellum; such lesions occur in 20% of patients. Other parts of the brain, including the medulla and spinal cord, less commonly have capillary hemangiomas.34 Other systemic visceral findings include cysts of the pancreas and kidney, renal cell carcinoma, and pheochromocytoma.24

MENINGOCUTANEOUS (ENCEPHALOTRIGEMINAL) ANGIOMATOSIS—STURGE-WEBER SYNDROME

This syndrome is characterized by hemangioma of the face (nevus flammeus or port-wine stain), frequently in the distribution of the first and second divisions of the fifth cranial nerve; meningeal calcification; and congenital glaucoma, all generally on the same side. This condition is congenital but usually is not hereditary. In some families, it may be inherited as an irregular autosomal dominant trait.23

A choroidal hemangioma is often present on the same side of the face as the nevus flammeus. This hemangioma is characteristically different from hemangiomas not associated with Sturge-Weber syndrome in that it tends to be flatter, more diffuse, and more extensive, and to have indistinct margins. Moreover, these hemangiomas are more likely to consist of a mix of capillary and cavernous vessels than are sporadic hemangiomas. There can be associated retinal leakage, edema, and retinal detachment (Fig. 5).35 The vascular lesions of the face, meninges, brain, and choroid are cavernous hemangiomas. The brain and meningeal lesions may calcify and may be associated with seizures and mental retardation.23

Fig. 5. Meningocutaneous angiomatosis. A. Facial nevus flammeus (port-wine stain) along the distribution of the first division of the trigeminal nerve in an infant. B. Left eye in the same patient shows an enlarged, cloudy cornea caused by congenital glaucoma. C. Choroid is thickened posteriorly by a cavernous hemangioma that blends imperceptibly into the normal choroid, as shown in D. E. Cavernous hemangioma of the choroid in the same eye shows large, thin-walled, blood-filled spaces. (A and B, clinical [SEI 79-22 and 79-23]; C, H&E, × 5 [SEI 73–187]; D and E, H&E, × 16 [SEI 79-25 and 79-74]. A and B, courtesy of Dr. HG Scheie; C, D, and E, courtesy of Dr. R. Cordero-Moreno)

Glaucoma is present in 30% of cases, especially if the ipsilateral lids are involved in the facial hemangioma.36 Often the glaucoma is congenital, with buphthalmos and abnormalities of the chamber angle similar to other congenital glaucomas. The glaucoma may not occur until later in life; at that time it is associated with a more normal-appearing anterior chamber angle. It has been proposed that elevated episcleral venous pressure is involved in the pathogenesis of the glaucoma, and that the draining vessels are part of an intrascleral or episcleral hemangioma.36 In cases of glaucoma of later onset, accelerated aging changes in the angle as seen in trabeculectomy specimens have been noted.37

VON RECKLINGHAUSEN NEUROFIBROMATOSIS

In recent years, it has become clear that there are two types of neurofibromatosis, both of which are inherited as autosomal dominant traits. However, they map to different chromosomes and have different characteristic findings. The gene products of the two conditions are both tumor suppressor proteins.

Neurofibromatosis 1 (NF1) is the “classic” neurofibromatosis, which occurs in about 1 in 4,000 persons. The genetic mutation occurs on the long arm of chromosome 17,38 and the gene product has been identified.39 Requisite for the diagnosis of neurofibromatosis is the café-au-lait spot; six or more such spots, larger than 1.5 cm in diameter, should be present. They are highly suggestive for neurofibromatosis, although by themselves are not diagnostic. Familial café-au-lait spots do occur but are very rare.39

Histologically, café-au-lait spots show hyperpigmentation of the basal layer of the epidermis. They appear at birth or within the first 2 years of life, although they are smaller in prepubertal individuals.

In addition to café-au-lait spots, other diagnostic criteria include Lisch nodules, freckling in the axillae or groin, dysplasia of the sphenoid bone or of long bone cortex, and a first-degree relative with NF1.

Lisch nodules of the iris are well-demarcated, pigmented, dome-shaped lesions that are readily visible on the iris surface. However, on a dark iris, they may appear hypopigmented. These nodules are present in more than 90% of older children and adults with neurofibromatosis.40 Histologically, they are composed of melanocytes with long, interwoven processes.41,42

Dysplasia or partial absence of the greater wing of the sphenoid bone can give rise to pulsating exophthalmos.43 This partial absence allows communication between the orbit and cranial cavities, sometimes with an associated encephalocele.

Tumors are a hallmark of NF1, because this is a disorder of a tumor suppressor gene. The characteristic lesions include neurofibromas and neurilemmomas, which can be seen anywhere in the central, sympathetic, or peripheral nervous systems, including the cranial nerves. Cutaneous neurofibromatoses generally appear before puberty and may become very numerous, but they do not become malignant.39 They consist of proliferations of peripheral nerve elements and can be found in the eyelids and orbit, as well as elsewhere in the body. Small pedunculated lesions on the skin are called fibroma molluscum (Fig. 6). In the periocular area they can be difficult to manage, because they can alter eyelid function. They are characteristically found on the lateral aspect of the upper lid, giving it an S shape and causing ptosis.

Fig. 6. Neurofibromatosis. A. Neurofibroma with proliferation mainly outside of the nerve sheath, called elephantiasis neuromatosa (clinical [SEI 79-26]). B. Fibroma molluscum results from proliferation (mainly of Schwann cells) from the distal nerve ending (H&E, × 21 [SEI 73–244). (Inset) Neural elements under high magnification (H&E, × 101 [SEI 73–245]).

Plexiform neurofibroma is nearly always a congenital lesion. It consists of a proliferation within a nerve sheath, which produces a markedly thickened, tortuous nerve. On palpation, it has been described as resembling a bag of worms. Microscopically, each of the nerves is surrounded by a thick perineural sheath (Fig. 7). These can become malignant.

Fig. 7. Neurofibromatosis type 1. A. Clinical view of neurofibroma involving the right lids (H&E, × 7.8). B. Low-power view showing diffuse involvement of the dermis (H&E, × 31). C. Higher-power view shows infiltration and separation of striated muscle fibers (H&E, × 31). D. In another area are bundles of proliferated neural elements.

Other tumors, which may affect the optic nerve as well as other nerves, include juvenile pilocytic astrocytoma (glioma) and meningioma. At least 10% of patients who have optic nerve glioma have neurofibromatosis. Occasionally, the recognition of neurofibromatosis is made only after diagnosis of the glioma or meningioma.44

Hamartomas of the retina and uveal tract are frequent; they tend to be glial in the retina and choroid and melanocytic in the trabecular meshwork (Fig. 8). A case of sectoral retinitis pigmentosa has been reported in association with neurofibromatosis.45 Although prominent corneal nerves have been described as a characteristic of neurofibromatosis, it now seems likely that such cases, reported earlier in the 20th century, represented unrecognized cases of multiple endocrine neoplasia type IIb.46

Fig. 8. Neurofibromatosis. A. Plexiform neurofibroma of the right upper eyelid obscures most of an enlarged, blind glaucomatous eye. B. Ovoid body in a hamartomatously thickened choroid reveals the concentric lamellae of Schwann cell processes (× 3,000). C. Child born with neurofibromatosis (SEI 73–113). D. Whole eye removed at autopsy from the child shown in A (H&E, × 3 [SEI 73–191]). Note the diffuse thickening of the choroid posteriorly. E. High magnification of a diffuse choroidal hamartoma composed of structures resembling tactile nerve endings (arrows), rosette formation (R), and cells resembling nevus cells (H&E, × 101 [SEI 73–247]. (A and B, courtesy of Dr. RC Eagle Jr; C, D, and E, courtesy of Dr. L Calkins)

Glaucoma is commonly present and can be secondary to several mechanisms. It has been estimated that glaucoma is present in 50% of eyes in which the upper lid is involved with neurofibroma. In some cases, there is a developmental anomaly of the angle; in others, there can be involvement of the angle with hamartomatous tissue; and in still others, angle occlusion is caused by a hamartomatous tumor of the anterior ciliary body.47 Glaucoma can also be secondary to peripheral anterior synechiae and iris neovascularization.

Other tumors associated with NF1 include pheochromocytoma, juvenile chronic myeloid leukemia, and less frequently rhabdomyosarcoma.39

Neurofibromatosis 2 (NF2) is much less common, occurring in about 1 in 50,000 patients.38 The affected gene has been assigned to the long arm of chromosome 22, and the gene product has been named merlin or schwannomin. It also appears to act as a tumor suppressor.48 It is characterized by the presence of vestibular schwannomas. To make the diagnosis, these tumors must be bilateral. Alternatively, a family history of NF2 along with a unilateral eighth nerve tumor, or another tumor such as neurofibroma, meningioma, glioma, or schwannoma elsewhere, or juvenile subcapsular or cortical cataract must be present.

Schwannomas, or neurilemmomas, are proliferations of the Schwann cells that normally surround peripheral nerves. Histologically, two patterns can be evident—Antoni A, consisting of densely packed, swirling cells with indistinct cytoplasmic membranes, and Antoni B, which have a more mucoid appearance (Fig. 9). The eighth nerve tumors tend to cause deafness, so management of the cataracts becomes important to help preserve function. However, visual loss can also be caused by optic nerve and intracranial meningiomas.49 Retinal hamartomas occur in up to 22% of patients with NF2.39 In contrast, the occurrence of Lisch nodules and café-au-lait spots is unusual and not helpful in diagnosing NF2.48

Fig. 9. Neurilemmoma (schwannoma). A. Computed tomography scan of orbital neurilemmoma. B. Low-power view showing Antoni A (more densely packed cells) and Antoni B (more mucoid, paler areas) patterns (H&E, × 10). C. Higher-power view showing Antoni B pattern (H&E, × 25). D. High-power view of a Verocay body, where the long axes of the cell nuclei line up in register (H&E, × 31).

TUBEROUS SCLEROSIS DISEASE (BOURNEVILLE DISEASE)

Tuberous sclerosis is so named because of the potato-like (tuberous) calcified tumors of the cerebrum, which tend to form along the ventricles. The classic triad consists of mental retardation, seizures, and “adenoma sebaceum.” The disease is transmitted as an autosomal dominant with low penetrance. Most cases are new mutations. These children die in childhood; 75% are dead by age 20.50

The characteristic reddish skin lesions, misnamed adenoma sebaceum, are present along the malar area and chin. They are not tumors of the sebaceous glands, but instead are angiofibromas, focal proliferations of fibrocytes and blood vessels. They are particularly well seen under ultraviolet light. Another characteristic skin lesion, also best seen with ultraviolet light, is the ash leaf spot.51 This hypopigmented flat skin lesion is different from vitiligo, in which melanocytes are absent. In the ash leaf spot, so called because of its shape, melanocytes are present but have decreased tyrosinase activity.50 Similar-appearing lesions of the iris and retina have been described, but no histopathology is available.52

The brain lesions are glial hamartomas, which often calcify; they cause mental retardation in about 60% of patients and grand mal seizures in more than 90%. The electroencephalogram is abnormal in 87% of patients.50

Astrocytic hamartomas can present anywhere in the retina but are most common at the optic nerve (giant drusen). They initially appear as gray, ill-defined, flat, smooth lesions overlying the retinal vessels. Years later, they become more condensed with irregular borders. They are then white with a wrinkled surface and have been called mulberry-like.53,54 Transitional forms have also been documented. Histologically, they consist of astrocytes with long processes, proteinaceous exudate, and vascular elements; they also may calcify (Figs. 10 and 11).55,56 This calcification can lead to diagnostic confusion with retinoblastoma. Thus, fine-needle biopsy may be indicated in some cases.57

Fig. 10. Tuberous sclerosis. A. Fundus picture shows the “mulberry” appearance of retinal glial hamartoma (SEI 73–115). B. Glial hamartoma containing calcospherites replaces the full thickness of the retina next to the optic disc (H&E, × 40 [SEI 73–267]).

Fig. 11. Tuberous sclerosis. “Young” glial hamartoma in the same eye shown in Figure 10 is composed of glial cells, without calcospherites, occupying the inner retina (H&E, × 40 [SEI 73–497]).

ATAXIA-TELANGIECTASIA (LOUIS-BAR SYNDROME)

Ataxia-telangiectasia consists of telangiectasias (hamartias) of the conjunctiva and skin along with a progressive cerebellar ataxia, often with mental retardation. The conjunctival telangiectasias manifest in early childhood and are present in 100% of cases. Nystagmus and other abnormal eye movements also are present in all patients.58 The disease is transmitted as an autosomal recessive trait.59 Recently, the gene was localized to the long arm of chromosome 11.60

There is an associated deficiency of both cellular and humoral immunity, along with degeneration of the thymus. These patients therefore often develop sinus and respiratory tract infections, and these are the usual causes of death. These patients are generally much more sensitive to ionizing radiation and are also more susceptible to cancer, particularly leukemias and lymphomas, than the general population. Carriers, who are heterozygous for the gene, have a sensitivity to cancer and to ionizing radiation intermediate between the general population and homozygous individuals.60

ARTERIOVENOUS COMMUNICATION OF RETINA AND BRAIN (WYBURN-MASON SYNDROME)

The Wyburn-Mason syndrome is a rare syndrome that tends to become symptomatic in adolescence or young adulthood. It consists of generally unilateral arteriovenous communications in the retina (Fig. 12) and ipsilateral midbrain.61,62

Fig. 12. Arteriovenous communication within retina (SEI 73–882). (Archer DB, Deutman A, Ernest JT et al: Arteriovenous communications of the retina. Am J Ophthalmol 75:224, 1973)

The intracranial malformation may hemorrhage, but retinal hemorrhage is unusual.63 Venous occlusion and neovascular glaucoma have also been reported.64 Bleeding from similar lesions of the gums and nose can also occur, and there can be associated facial hemangiomas.23,65 All these malformations are high-velocity, high-pressure shunts that contain no intervening capillaries.65

As would be expected from a congenital stationary retinal vascular anomaly, there is no leakage on fluorescein angiography in most cases.66 However, rarely there is secondary leakage because of vascular decompensation from the continued high pressure. Vision may be good or poor, depending on the location and extent of the malformation.65 Secondary strabismus and diplopia may be present.

Histologically, these lesions consist of large vessels with fibromuscular coats. Typically, no differentiation between artery and vein is possible. The vessels may occupy the entire thickness of the retina and may be adherent to Bruch's membrane. The retina in the area supplied by these vessels may show cystic degeneration.66–68

Back to Top
CHROMOSOMAL ABERRATIONS
The normal human complement of chromosomes is 46, with 22 pairs of autosomes and two sex chromosomes, two X chromosomes in females and an X and a Y in males. Each pair of autosomes is recognizable by its size, the location of its centromere, and its banding characteristics.69

There are innumerable possibilities for error in the transmission of the genetic message from generation to generation; many of these are compatible with maturation to term and some with postnatal survival. Such errors may be as small as the alteration of a single base pair of the DNA, or as extensive as the duplication of one or more whole chromosomes. Many of these involve ocular abnormalities, although no ocular malformation appears specific for a given chromosomal abnormality.69,70

TRISOMY 13

Trisomy 13 results from an extra chromosome 13—that is, 47, 13+ . It occurs as a failure of the chromosomes to separate during meiosis, called nondisjunction. Like other trisomies, it is associated with increased maternal age. The frequency is estimated to be about 1 in 14,000 live births, with an equal sex incidence. The affected infants generally do not survive beyond 6 months.

Abnormalities of many organ systems have been reported. Central nervous system abnormalities include mental retardation and absence or hypoplasia of the olfactory lobes with fusion of the frontal lobes (holoprosencephaly). There is apparent deafness; apneic spells and minor motor seizures may also occur. The infant is hypotonic. Skeletal changes include low-set, malformed ears; cleft lip or palate, or both; flexed and overlapping fingers or toes, or both; narrow, hyperconvex fingernails; polydactyly; and posterior prominence of the heels, called rocker-bottom feet. The dermatoglyphics are characteristic, and there may be transverse palmar creases. Urogenital abnormalities include cryptorchidism in males and bicornuate uterus in females, and renal malformations. Other affected systems include the pulmonary, hepatic, and cardiovascular systems.71

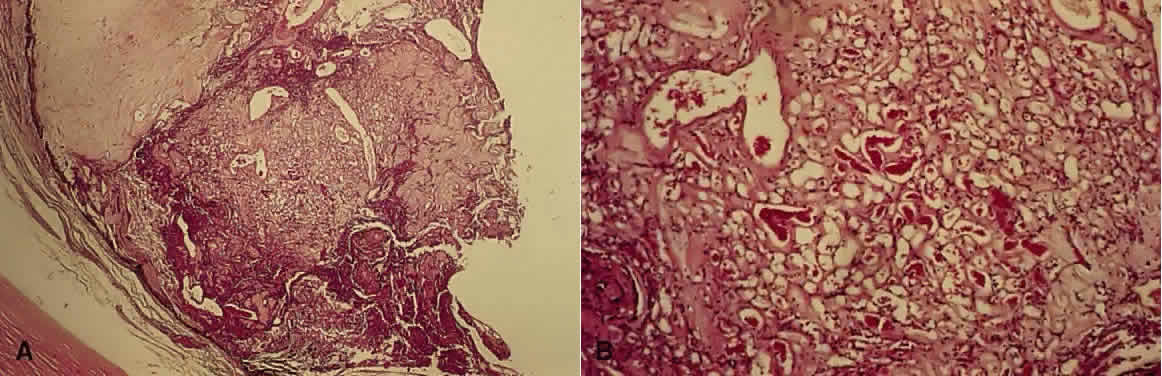
The ocular abnormalities are extensive. Generally there is microphthalmia, and this can be extreme. In the past, anophthalmia has been described as a feature of this syndrome, but this very likely represents extreme microphthalmia (i.e., clinical anophthalmia).72 About 80% of eyes associated with this trisomy have colobomas of the iris and ciliary body, as well as cataract and persistent hyperplastic primary vitreous.73–77 Histologically, there is mesenchymal tissue between the sclera and the retrolental area in the coloboma, and cartilage is present here in 65% of these eyes, especially in those eyes that are very microphthalmic (Fig. 13). This association of cartilage within a ciliary body coloboma appears to be unique to eyes from infants with trisomy 13.74–77 (Cartilage may appear elsewhere in the eye in such conditions as teratoid medulloepithelioma, angiomatosis retinae, synophthalmia, chromosome 18 deletion defect, and in one anomalous eye of a normal person.78)

Fig. 13. Trisomy 13. A. Intraocular cartilage within mesenchymal tissue in a coloboma of ciliary body (H&E, × 7.8). B. Higher-power view of the cartilage, to the right, and the fibrovascular mesenchymal tissue. The lens is to the upper left (H&E, × 31).

The cataract may show retention of lens nuclei within the embryonic lens nucleus, as in Lowe disease and rubella syndrome. Subcapsular and cortical cataracts may also be found. Other findings include bilateral retinal dysplasia and typical and reticular microcystoid retinal degeneration. The angle structures may be immature. About 60% of eyes show mesenchymal dysgenesis, such as Rieger syndrome and Peters anomaly. Buphthalmos from congenital glaucoma has been reported in some cases.79 One such case also included a vortex vein immediately adjacent to the optic disc.80

TRISOMY 18

Trisomy 18 (47, 18+ ) is similar to trisomy 13 in incidence, about 1 in 14,000 live births, and 90% die in the first year of life.81,82 However, the ocular manifestations are much less severe. A few patients survive into their 20s but show profound neurologic deficits.83

These babies tend to be born either prematurely or postmaturely, and there can be polyhydramnios. A number of central nervous system malformations have been reported. Other systemic abnormalities include cardiac, renal, and intestinal malformations. Skeletal anomalies include micrognathia, syndactyly, skeletal muscle hypoplasia, flexion contractures, malformed ears, and microstomia. Characteristically, the fifth finger overlaps the fourth or the second overlaps the third, or both.81

A number of ocular and adnexal abnormalities have been reported, although these are mostly minor. Lid abnormalities include ptosis, narrow palpebral fissures, epicanthal folds, blepharophimosis, abnormally long or sparse lashes, and abnormally thick lids. The orbits may be shallow and contain hypoplastic orbital ridges. Both hypertelorism and hypotelorism have been noted. Abnormalities of gaze, including strabismus and nystagmus, may occur.81

The ocular malformations are nonspecific for this trisomy. The most frequently reported findings include cataract, anomalies of the ciliary processes, and retinal folds.81,84–86 Both hyperplasia and hypoplasia of elements of the cornea and uveal tract have been reported.81 Angle immaturity, persistent hyperplastic primary vitreous, retinal dysplasia, optic nerve hypoplasia,86 coloboma, Bergmeister papilla,82 and nictitating membrane87 are other abnormalities that may be present.

TRISOMY 21 (DOWN SYNDROME)

Trisomy 21 is the most common trisomy, present in 1 in 700 live births. Many of these children survive well into adulthood. As with other trisomies, advanced maternal age is associated with an increased incidence.88 The eye findings tend to be minor.

Systemic malformations include mental retardation, which is variable but often severe. Skeletal abnormalities include short stature, muscular hypotonia, dental hypoplasia, short broad hands with short curved fifth fingers, and diastasis of the rectus abdominis muscle. The ears are low-set. The dermatoglyphic patterns are characteristic and include a single palmar (simian) crease. Cardiac and genitourinary malformations are common. These patients also have abnormalities of the hematologic system and are unusually prone to leukemia. The facial features are characteristic and include a broad, flat bridge of the nose, epicanthal folds, and protruding tongue.89,90

The ocular findings, in addition to the epicanthal folds, include myopia, hypertelorism, cataracts, hypopigmented areas of the iris (Brushfield spots), strabismus, nystagmus, and keratoconus.89,90 Retinal findings include increased numbers of vessels crossing the optic disc margin,91,92 relative hypopigmentation, and patchy retinal pigment epithelial atrophy.92 Recently, mesenchymal dysgenesis with glaucoma has been described in a case of Down syndrome.93 All of these findings are nonspecific, and indeed may occur in otherwise normal individuals.

Histologically, Brushfield spots are areas of iris stroma that are normal or that have minimal collagenous thickening, surrounded by hypoplastic iris (Fig. 14).94 The cataracts seen in Down syndrome may have abnormal anterior lenticular capsular excrescences, similar to those of Lowe syndrome or Miller syndrome.94,95

Fig. 14. Trisomy 21. A and B. Brushfield spots in the iris of the right and left eyes of a 33-year-old woman with Down syndrome (A, SEI 79-30; B, SEI 79-31). C. Brushfield spot seen as an area of relatively normal, or mildly hypercellular, iris stroma (between arrows) surrounded by a hypoplastic iris (PAS, × 101 [SEI 73–274]).

OTHER CHROMOSOMAL ABNORMALITIES

Other autosomal trisomies are extremely rare. Trisomies of the sex chromosomes include Klinefelter syndrome (47, XXY), in which there are minimal ocular abnormalities, and XYY syndrome (47, XYY), in which there are antisocial tendencies, gonadal atrophy, lens luxation, and colobomas.96

The only monosomy compatible with survival is Turner syndrome, a monosomy of the X chromosome (45, XO). Partial deletions and other abnormalities of the X chromosome can also result in this phenotype. Patients with Turner syndrome are phenotypic females who lack secondary sexual development. Ocular abnormalities seen with this syndrome include cataract, blue sclerae, ptosis, strabismus, and prominent epicanthal folds. A case of Coats disease in Turner syndrome has been reported.97 The incidence of colorblindness is increased, similar to that of normal males.

It is possible for the entire chromosome complement to be duplicated, giving rise to a triploidy (69 chromosomes, with either XXX or XXY). Affected infants may be live-born and survive up to 2 months. Ocular findings in this syndrome include microphthalmia, dislocated spherical lens, coloboma, and retinal dysplasia.98,99 Duplications may involve only a single chromosome, as previously discussed, or only a portion of a chromosome, as in the “cat eye” syndrome, a partial trisomy of chromosome 22.100–101

A number of mosaic syndromes exist. These are syndromes in which at least two cell lines that are karyotypically distinct are present in the individual. There can be mosaics of whole chromosomes (e.g., a mosaic Down syndrome, such as 46/47, 21+ , in which the abnormalities are milder than in the complete syndrome; or mosaic trisomy 9, which allows survival to term),102 of deletions, or even of the entire chromosomal content (such as the reported cases of tetraploid/diploid mosaic).103,104

Chromosomal deletion syndromes involve loss of a portion of a given chromosome, and thus loss of that genetic material. Only one chromosome of a pair is affected. Several of these syndromes are known to cause ocular malformations.69 One such syndrome is the deletion of part of the short arm of chromosome 5 (46, 5p-). This is the cri du chat syndrome, named because the infant's cry resembles the mewing of a cat. Epicanthal folds, hypertelorism, exotropia, optic atrophy, tortuous retinal arteries and veins, and pupils that are supersensitive to 2.5% methacholine are associated ocular findings.105–107

Partial deletion of chromosome 4 (46, 4p-) has some similar findings,108 but some are distinct. Peters anomaly or other anterior segment dysgenesis may occur,109 and uveal coloboma is typical.110

Deletion of a portion of the short arm of chromosome 11 (46, 11p-) is associated with some cases of Miller syndrome,111 which consists of aniridia, abnormalities of the urogenital system, mental retardation, and Wilms tumor. The iris in aniridia is hypoplastic rather than entirely absent. The sphincter and dilator may be missing or poorly developed.112,113 Poor vision may result from macular and optic nerve hypoplasia. There may also be cataract and secondary corneal opacification with vascularization. The cataract is similar to that of Down syndrome, with capsular excrescences. Glaucoma results from immaturity of the angle or anomalous development (Fig. 15).112

Fig. 15. Oculocerebrorenal syndrome of Miller. A. Rudimentary hypoplastic iris leaves and congenital cortical and nuclear cataract in the eye of a 6.5-month-old, mentally retarded, microcephalic child, who had a bilateral Wilms tumor (H&E, × 10 [AFIP Neg. 65-3904]). B and C. Different planes of a single section demonstrate a rudimentary iris with both uveal and neuroepithelial layers but lacking sphincter and dilator muscles (H&E, × 50 [AFIP Neg. 65-3910]). (Zimmerman LE, Font RL: Congenital malformations of the eye. JAMA 196:684, 1966)

Deletion of part of the long arm of chromosome 18 (46, 18q-) results in a number of nonspecific ocular and systemic findings, including corneal opacities, posterior keratoconus, Brushfield spots, colobomas of the uvea including microphthalmos with cyst, retinal dysplasia, and optic atrophy. Cyclopia may also result.114

Back to Top
INFECTIOUS EMBRYOPATHY
Often a congenital abnormality has no obvious cause, and an unknown infection or toxic agent is invoked. With some malformations, the timing of the agent is more easily determined than its nature. However, certain infectious agents do result in a readily recognized syndrome, and these may be further confirmed by antibody titers. Of these, toxoplasmosis, cytomegalic inclusion disease, syphilis, and rubella are the most important. The first three of these are discussed elsewhere in these volumes.

RUBELLA

The rubella virus can pass through the placenta and infect the fetus, thereby causing abnormal development. If this takes place during the first 4 weeks, a time when the woman is often unaware of the pregnancy, there is a 50% likelihood of the fetus being affected. Overall, 20% of fetuses are affected by maternal infection during the first trimester.115

Affected infants frequently have a low birth weight and can have malformations of the central nervous system, heart, and genitourinary system. Some level of deafness is present in 66% of patients.116 Other abnormalities include juvenile diabetes mellitus,117 thrombocytopenic purpura, osteomyelitis, and dental abnormalities.

In most series, cataract is the most common ocular finding.116 Histologically, there is persistence of the lens nuclei within the embryonic nucleus, a characteristic but not pathognomonic finding.118 There is also anterior and posterior cortical degeneration. The rubella virus can survive in the lens up to 3 years. Cataract surgery can release the virus into the eye, causing an endophthalmitis, so cataract surgery should probably be done in a single procedure.119

The iris can be leathery and dilates poorly in response to mydriatics. Histologically, the iris has a poorly developed dilator muscle, with necrosis of the iris and ciliary body epithelium and chronic nongranulomatous inflammation of the stroma (Fig. 16).118 This inflammatory reaction sometimes becomes clinically manifest after cataract extraction, which can lead to cyclitic membrane formation and retinal detachment.119

Fig. 16. Rubella. A. Same eye before (left) and after (right) maximal dilatation with mydriatics. A dense nuclear cataract can be seen in the minimally dilated pupil. Iris is leathery and difficult to dilate (SEI 73–631). (Courtesy of Dr. HG Scheie) B. Iris is atrophic, is infiltrated with plasma cells and lymphocytes (chronic nongranulomatous iritis), and shows a loss of the dilator muscle (H&E, × 130 [SEI 79-36]). (Yanoff M, Schaffer DB, Scheie HG: Rubella ocular syndrome: Clinical significance of viral and pathologic studies. Trans Am Acad Ophthalmol Otolaryngol 72:896, 1968)

Probably the most characteristic finding is the “salt-and-pepper” fundus, present in up to 60% of cases.116 Histologically, the retinal pigment epithelium is intact throughout but shows focal areas of hyperpigmentation and hypopigmentation (Fig. 17).118,120 Some older patients have developed subfoveal neovascularization.121,122

Fig. 17. Rubella. A. Fundus picture shows mottled “salt-and-pepper” appearance (SEI 79-37). B through D. All from same eye. Retinal pigment epithelium shows areas of hyperpigmentation (B), hypopigmentation (C), and alternating areas of hypo- and hyperpigmentation (D) (B, C, and D, H&E, × 630 [SEI 79-38, 79-39, and 79-40)]. (Modified from Yanoff M: The retina in rubella. In Tasman W [ed]: Retinal Diseases in Children, p 223. New York, Harper & Row, 1971.

Glaucoma is also associated with the rubella syndrome, and histologically the angles appear immature, as in other types of congenital glaucoma.118 Glaucoma has also been reported in later childhood and adulthood.123 In a recent clinical series, glaucoma was significantly associated with microphthalmia.116

Back to Top
REFERENCES

1. Mann I: The Development of the Human Eye. New York, Grune & Stratton, 1964

2. Zimmerman LE, Font RL: Congenital malformations of the eye. JAMA 196:684, 1966

3. Graham CA, Redmond RM, Nevin NC: X-linked clinical anophthalmos: Localization of the gene to Xq27-Xq28. Ophthal Paed Genet 12:43, 1991

4. Marcus DM, Shore JW, Albert DM: Anophthalmia in the focal dermal hypoplasia syndrome. Arch Ophthalmol 108:96, 1990

5. Sassani JW, Yanoff M: Anophthalmos in an infant with multiple congenital anomalies. Am J Ophthalmol 83:43, 1977

6. Haberland C, Perou M: Primary bilateral anophthalmia. J Neuropathol Exp Neurol 28:337, 1969

7. Brunquell PJ, Papale JH, Horton JC et al: Sex-linked hereditary bilateral anophthalmos. Arch Ophthalmol 102:108, 1984

8. Guyer DR, Green WR: Bilateral extreme microphthalmos. Ophthal Paed Genet 4:81, 1984

9. Calhoun FP Jr: The management of glaucoma in nanophthalmos. Trans Am Ophthalmol Soc 73:97, 1975

10. Brockhurst RJ: Nanophthalmos with uveal effusion: A new clinical entity. Trans Am Ophthalmol Soc 72:371, 1974

11. Weiss AH, Kousseff BG, Ross EA et al: Simple microphthalmos. Arch Ophthalmol 107:1625, 1989

12. Waring GO III, Roth AM: Clinicopathologic correlation of microphthalmos with cyst. Am J Ophthalmol 82:714, 1976

13. François J, Pallota R, Gallenza PE: Microphthalmos and malformative syndromes. Ophthal Paed Genet 2:201, 1983

14. Pasquale LR, Romayananda N, Kubacki J et al: Congenital cystic eye with multiple ocular and intracranial anomalies. Arch Ophthalmol 109:985, 1991

15. Torczynski E, Jacobiec FA, Johnston MC et al: Synophthalmia and cyclopia: A histopathologic, radiographic and organogenetic analysis. Doc Ophthalmol 44:311, 1977

16. Vare AM: Cyclopia. Am J Ophthalmol 75:880, 1973

17. Yanko L, Zaifrani S: Synophthalmos in a full-term newborn child: An anatomic and pathologic study. J Pediatr Ophthalmol 10:65, 1973

18. Howard RO: Chromosomal abnormalities associated with cyclopia and synophthalmia. Trans Am Ophthalmol Soc 75:505, 1977

19. Stefani FH, Hausmann N, Lund O-E: Unilateral diplophthalmos. Am J Ophthalmol 112:581, 1991

20. Andersen SR, Bro-Rasmussen F, Tygstrup I: Anencephaly related to ocular development and malformation. Am J Ophthalmol 64:559, 1967

21. Boniuk V, Ho PK: Ocular findings in anencephaly. Am J Ophthalmol 88:613, 1979

22. Rootman J, Carvounis EP: Vasculature of the optic nerve in anencephaly. Br J Ophthalmol 63:188, 1979

23. Addison DJ, Font RL, Manschot WA: Proliferative retinopathy in anencephalic babies. Am J Ophthalmol 74:967, 1972

24. Font RL, Ferry AP: The phakomatoses. Int Ophthalmol Clin 12(1):1, 1972

25. Beck RO, Hanno R: The phakomatoses. Int Ophthalmol Clin 25(1):97, 1985

26. Jakobiec FA, Font RL, Johnson FB: Angiomatosis retinae: An ultrastructural study and lipid analysis. Cancer 38:2042, 1976

27. Jurco S, III, Nadji M, Harvey DG et al: Hemangioblastomas: Histogenesis of the stromal cell studied by immunocytochemistry. Hum Pathol 13:13, 1982

28. Grossniklaus HE, Thomas JW, Vigneswaran N et al: Retinal hemangioblastoma: A histologic, immunohistochemical, and ultrastructural evaluation. Ophthalmology 99:140, 1992

29. Chan C-C, Vortmeyer AO, Chew EY et al: VHL gene deletion and enhanced VEGF gene expression detected in the stromal cells of retinal angioma. Arch Ophthalmol 117:625, 1999

30. Mottow-Lippa L, Tso MOM, Peyman GA et al: von Hippel angiomatosis: A light, electron microscopic, and immunoperoxidase characterization. Ophthalmology 90:848, 1983

31. Nicholson DH, Green WR, Kenyon KR: Light and electron microscopic study of early lesions in angiomatosis retinae. Am J Ophthalmol 82:193, 1976

32. Jesberg DO, Spencer WH, Hoyt WF: Incipient lesions of von Hippel-Lindau disease. Arch Ophthalmol 80:632, 1968

33. Whitson JT, Welch RB, Green WR: Von Hippel-Lindau disease: Case report of a patient with spontaneous regression of a retinal angioma. Retina 6:253, 1986

34. Wing GL, Weiter JJ, Kelly PJ et al: von Hippel-Lindau disease: Angiomatosis of the retina and central nervous system. Ophthalmology 88:1311, 1981

35. Witschel H, Font RL: Hemangioma of the choroid. A clinicopathologic study of 71 cases and a review of the literature. Surv Ophthalmol 20:415, 1976

36. Phelps CD: The pathogenesis of glaucoma in Sturge-Weber syndrome. Ophthalmology 85:276, 1978

37. Cibis GW, Tripathi RC, Tripathi BJ: Glaucoma in Sturge-Weber syndrome. Ophthalmology 91:1061, 1984

38. Destro M, D'Amico DJ, Gragoudas ES et al: Retinal manifestations of neurofibromatosis: Diagnosis and management. Arch Ophthalmol 109:662, 1991

39. Gutmann DH, Aylsworth A, Carey JC et al: The diagnostic evaluation and multidisciplinary management of neurofibromatosis 1 and neurofibromatosis 2. JAMA 278:51, 1997

40. Lewis RA, Riccardi VM: von Recklinghausen neurofibromatosis: Incidence of iris hamartomata. Ophthalmology 88:348, 1981

41. Perry HD, Font RL: Iris nodules in von Recklinghausen's neurofibromatosis: Electron microscopic confirmation of their melanocytic origin. Arch Ophthalmol 100:1635, 1982

42. Weleber RG, Zonana J: Iris hamartomas (Lisch nodules) in a case of segmental neurofibromatosis. Am J Ophthalmol 96:740, 1983

43. Savino PJ, Glaser JS, Luxenberg MN: Pulsating enophthalmos and choroidal hamartomas: Two rare stigmata of neurofibromatosis. Br J Ophthalmol 61:483, 1977

44. Riccardi VM: Van Recklinghausen neurofibromatosis. N Engl Med J 305:1617, 1981

45. La Piana FG: Sectoral retinal pigmentation in neurofibromatosis. Ann Ophthalmol 9:413, 1977

46. Spector B, Klintworth GK, Wells SA Jr: Histologic study of the ocular lesions in multiple endocrine neoplasia syndrome type IIb. Am J Ophthalmol 91:204, 1981

47. Grant WM, Walton DS: Distinctive gonioscopic findings in glaucoma due to neurofibromatosis. Arch Ophthalmol 79:127, 1968

48. Rettele GA, Brodsky MC, Merin LM et al: Blindness, deafness, quadriparesis, and a retinal malformation: The ravages of neurofibromatosis 2. Surv Ophthalmol 41:135, 1996

49. Ragge NK, Baser ME, Klein J et al: Ocular abnormalities in neurofibromatosis 2. Am J Ophthalmol 120:634, 1995

50. Williams R, Taylor D: Tuberous sclerosis. Surv Ophthalmol 30:143, 1985

51. Hered RW: Tuberous sclerosis. Arch Ophthalmol 110:410, 1992

52. Lucchese NJ, Goldberg MF: Iris and fundus pigmentary changes in tuberous sclerosis. J Pediatr Ophthalmol Strabismus 18:45, 1981

53. Bansley D, Wolter JR: The retinal lesion in tuberous sclerosis. J Pediatr Ophthalmol 8:261, 1971

54. Nyboer JH, Robertson DM, Gomez MR: Retinal lesions in tuberous sclerosis. Arch Ophthalmol 94:1277, 1976

55. de Juan E, Green WR, Gupta PK et al: Vitreous seeding by retinal astrocytic hamartoma in a patient with tuberous sclerosis. Retina 4:100, 1984

56. Kinder RSL: The ocular pathology of tuberous sclerosis. J Pediatr Ophthalmol 9:106, 1972

57. Shields JA, Shields CL, Ehya H et al: Atypical retinal astrocytic hamartoma diagnosed by fine-needle biopsy. Ophthalmology 103:949, 1996

58. Boder E, Sedgwick RP: Ataxia-telangiectasia: A familial syndrome of progressive cerebellar ataxia, oculo-cutaneous telangiectasia and frequent pulmonary infections. Pediatrics 21:526, 1970

59. Harley RD, Baird HW, Craven EM: Ataxia-telangiectasia: Report of seven cases. Arch Ophthalmol 77:582, 1967

60. Savitsky K, Bar-Shira A, Gilad S et al: A single ataxia-telangiectasia gene with a product similar to PI-3 kinase. Science 268:1749, 1995

61. Wyburn-Mason R: Arteriovenous aneurysm of mid-brain and retina, facial naevi, and mental changes. Brain 66:163, 1943

62. Brown DG, Hilal SH, Tenner HS: Wyburn-Mason syndrome. Arch Neurol 28:67, 1973

63. Bernth-Petersen P: Racemose haemangioma of the retina: Report of three cases with long-term follow-up. Acta Ophthalmol 57:669, 1979

64. Mansour AM, Wells CG, Jampol LM et al: Ocular complications of arteriovenous communications of the retina. Arch Ophthalmol 107:232, 1989

65. Archer DB, Deutman A, Ernest JT et al: Arteriovenous communications of the retina. Am J Ophthalmol 75:224, 1973

66. Bellhorn RW, Friedman AH, Henkind P: Racemose (cirsoid) hemangioma in Rhesus monkey retina. Am J Ophthalmol 74:517, 1972

67. Cameron ME, Greer CH: Congenital arteriovenous aneurysm of the retina. A postmortem report.Br J Ophthalmol 52:768, 1968

68. Horiuchi T, Gass JDM, David NJ: Arteriovenous malformation of the retina of a monkey. Am J Ophthalmol 82:896, 1976

69. Mets MB, Maumenee IH: The eye and the chromosome. Surv Ophthalmol 28:20, 1983

70. Howard RO, Boué J, Deluchat C et al: The eyes of embryos with chromosomal abnormalities. Am J Ophthalmol 78:167, 1974

71. Taylor AI: Autosomal trisomy syndromes: A detailed study of 27 cases of Edwards' syndrome and 27 cases of Patau's syndrome. J Med Genet 5:227, 1968

72. Yanoff M, Frayer WC, Scheie HG: Ocular findings in a patient with 13–15 trisomy. Arch Ophthalmol 70:372, 1963

73. Karseras AG, Laurence KM: Eyes in arhinencephalic syndromes. Br J Ophthalmol 59:462, 1975

74. Ginsberg J, Bove M: Ocular pathology of trisomy 13. Ann Ophthalmol 6:113, 1974

75. Hoepner J, Yanoff M: Ocular anomalies in trisomy 13–15: An analysis of 13 eyes with two new findings. Am J Ophthalmol 74:729, 1972

76. Rodrigues MM, Valdes-Dapena M, Kistenmacher M: Ocular pathology in a case of 13 trisomy. J Pediatr Ophthalmol 10:54, 1973

77. Cogan DG, Kuwabara T: Ocular pathology of the 13–15 trisomy syndrome. Arch Ophthalmol 72:246, 1964

78. Yanoff M, Font RL, Zimmerman LE: Intraocular cartilage in a microphthalmic eye of an otherwise healthy girl. Arch Ophthalmol 81:238, 1969

79. Hinzpeter EN, Naumann G, Steidinger J: Buphthalmus bei Trisomie-13 Syndrome. Ophthalmologica 170:381, 1975

80. Lichter PR, Scmickel RD: Posterior vortex vein and congenital glaucoma in a patient with trisomy-13 syndrome. Am J Ophthalmol 80:939, 1975

81. Calderone JP, Chess J, Borodic G et al: Intraocular pathology of trisomy 18 (Edwards's syndrome): Report of a case and review of the literature. Br J Ophthalmol 67:162, 1983

82. Pe'er J, Braun JT: Ocular pathology in trisomy 18 (Edwards' syndrome). Ophthalmologica 192:176, 1986

83. Holmes JM, Coates CM: Assessment of visual acuity in children with trisomy 18. Ophthalmic Genetics 15:115, 1994

84. Ginsberg J, Bove K, Nelson R et al: Ocular pathology of trisomy 18. Ann Ophthalmol 3:273, 1971

85. Rodrigues MM, Punnett HH, Valdas-Dapena M et al: Retinal pigment epithelium in a case of trisomy 18. Am J Ophthalmol 76:265, 1973

86. Mullaney J: Ocular pathology in trisomy 18 (Edwards' syndrome). Am J Ophthalmol 76:246, 1973

87. Garcia-Castro JM, Reyes de Torres LC: Nictitating membrane in trisomy 18 syndrome. Am J Ophthalmol 80:550, 1975

88. Christianson RE: Down's syndrome and maternal age. Lancet 2:1198, 1976

89. Gaynon MW, Schimek RA: Down's syndrome: A ten-year group study. Ann Ophthalmol 9:1493, 1977

90. Jaeger EA: Ocular findings in Down's syndrome. Trans Am Ophthalmol Soc 78:1980

91. Williams EJ, McCormick AQ, Tischler B: Retinal vessels in Down's syndrome. Arch Ophthalmol 89:269, 1973

92. Ahmad A, Pruett RC: The fundus in mongolism. Arch Ophthalmol 94:772, 1976

93. Orellana J, Palumbo J, Ritch R: Mesenchymal dysgenesis in a patient with Down's syndrome. J Pediatr Ophthalmol Strabismus 19:144, 1982

94. Ginsberg J, Bofinger MK, Roush JR: Pathologic features of the eye in Down's syndrome with relationship to other chromosomal anomalies. Am J Ophthalmol 83:874, 1977

95. Robb RM, Marchevsky A: Pathology of the lens in Down's syndrome. Arch Ophthalmol 96:1039, 1978

96. Schwinger E, Wiebusch D: Coloboma of iris and choroid in XYY syndrome. Klinische Monatsblaetter fuer Augenheilkunde 156:873, 1970

97. Cameron JD, Yanoff M, Rayer WC: Turner's syndrome and Coats's disease. Am J Ophthalmol 78:852, 1974

98. Ginsberg J, Ballard ET, Soukup S: Pathologic features of the eye in triploidy. J Pediatr Ophthalmol Strabismus 18:48, 1981

99. Fulton AB, Howard RO, Albert DM et al: Ocular findings in triploidy. Am J Ophthalmol 84:859, 1977

100. Peterson RA: Schmid-Fraccaro syndrome (“cat's eye” syndrome): Partial trisomy of G chromosome. Arch Ophthalmol 90:287, 1973

101. Weleber RG, Walknowska J, Peakman D: Cytogenetic investigations of “cat eye” syndrome. Am J Ophthalmol 84:477, 1977

102. Ginsberg J, Soukup S, Ballard ET: Pathologic features of the eye in trisomy 9. J Pediatr Ophthalmol Strabismus 19:37, 1982

103. Kohn G, Mayall BH, Miller ME et al: Tetraploid-diploid mosaicism in a surviving infant. Pediatr Res 1:461, 1967

104. Yanoff M, Rorke LB: Ocular and central nervous system findings in tetraploid-diploid mosaicism. Am J Ophthalmol 75:1036, 1973

105. Howard RO: Ocular abnormalities in the cri du chat syndrome. Am J Ophthalmol 73:949, 1972

106. Grotsky H, Hsu LYP, Hirschhorn K: A case of cri-du-chat associated with cataracts and transmitted from a mother with a 4/5 translocation. J Med Genet 8:369, 1971

107. Schechter RJ: Ocular findings in a newborn with cri du chat syndrome. Ann Ophthalmol 10:339, 1978

108. Wilcox LM, Bercovitch L, Howard RO: Ophthalmic features of chromosome deletion 4p- (Wolf-Hirschhorn syndrome). Am J Ophthalmol 86:834, 1978

109. Mayer UM, Bialasiewicz AA: Ocular findings in a 4p- deletion syndrome (Wolf-Hirschhorn). Ophthal Paed Genet 10:69, 1989

110. Lurie IW, Samochvalov VA: Trisomy 4p- and ocular defects. Br J Ophthalmol 78:415, 1994

111. Andersen SR, Geetinger P, Larsen HW et al: Aniridia, cataract and gonadoblastoma in a mentally retarded girl with deletion of chromosome 11. Ophthalmologica 176:171, 1978

112. Margo CE: Congenital aniridia: A histopathologic study of the anterior segment in children. J Pediatr Ophthalmol Strabismus 20:192, 1983

113. Nelson LB, Spaeth GL, Nowinski TS et al: Aniridia: A review. Surv Ophthalmol 28:621, 1984

114. Yanoff M, Rorke LB, Niederer BS: Ocular and cerebral abnormalities in chromosome 18 deletion defect. Am J Ophthalmol 70:391, 1970

115. Boniuk M: Rubella and other intraocular viral diseases in infancy. Int Ophthalmol Clin 12(2):3, 1972

116. Givens KT, Lee DA, Jones T et al: Congenital rubella syndrome: Ophthalmic manifestations and associated systemic disorders. Br J Ophthalmol 77:358, 1993

117. Forrest JM, Menser MA, Burgess JA: High frequency of diabetes mellitus in young adults with congenital rubella. Lancet 2:332, 1971

118. Boniuk M, Zimmerman LE: Ocular pathology in the rubella syndrome. Arch Ophthalmol 77:455, 1967

119. Yanoff M, Schaffer DB, Scheie HG: Rubella ocular syndrome: Clinical significance of viral and pathologic studies. Trans Am Acad Ophthalmol Otolaryngol 72:896, 1968

120. Yanoff M: The retina in rubella. In Tasman W (ed): Retinal Diseases in Children. New York, Harper & Row, 1971

121. Frank KE, Purnell EW: Subretinal neovascularization following rubella retinopathy. Am J Ophthalmol 86:462, 1978

122. Slusher MM, Tyler ME: Rubella retinopathy and subretinal neovascularization. Ann Ophthalmol 14:292, 1982

123. Boger WP III: Late ocular complications in congenital rubella syndrome. Ophthalmology 87:1244, 1980

Back to Top