| Chapter 21 Retinoblastoma and Simulating Lesions RALPH C. EAGLE JR. Table Of Contents |
| Retinoblastoma is the most common intraocular tumor of childhood. In Asia, Africa, and
South America, where uveal melanoma is relatively rare, retinoblastoma
probably is the most common primary intraocular tumor. In
Europe and the United States, it is second in overall prevalence, reflecting
the propensity of lightly pigmented adult Europeans to develop
uveal melanoma. The incidence of retinoblastoma has been estimated
to be 1 in 15,000 to 1 in 34,000 births. Retinoblastoma is cosmopolitan
and affects all races. Both sexes are affected equally, and the tumor
has no predilection for the right or left eye. The average age at
diagnosis is 18 months. Although cases have been reported in adults, retinoblastoma
is rare after age 4 years. Retinoblastoma has many unusual and interesting clinical characteristics. Foremost, it is a hereditary cancer: 5% to 10% of the tumors are inherited. In affected families, retinoblastoma is transmitted as an autosomal dominant trait, and the tumor frequently affects both eyes. Bilaterality is a clinical marker for potentially transmissible disease. About one third of all retinoblastomas are bilateral; the additional bilateral cases are caused by new germline mutations. The great majority of retinoblastomas arise sporadically in patients with a negative family history. About 75% of the sporadic tumors are caused by somatic mutations and are not transmissible. Sporadic tumors caused by somatic mutations are always unilateral. Unfortunately, unilateral involvement does not exclude heritable disease: about 10% to 15% of infants with unilateral sporadic tumors have heritable germinal mutations. The retinoblastoma gene is discussed below. |
| CLINICAL PRESENTATION | ||
The clinical presentation of retinoblastoma depends on the size, location, growth
pattern, and stage of the lesion at diagnosis and the availability
and sophistication of medical care in the community. In the United
States and Europe, about 90% of patients present with leukocoria, an
abnormal, typically white pupillary reflex (Figs. 1–4). Leukocoria is the classic clinical manifestation of retinoblastoma. In
the older literature, this finding was fancifully likened to the illuminated
tapetal light reflex of the cat (amaurotic cat's-eye reflex). The
white pupillary reflex is caused by tumor in the vitreous cavity (endophytic
tumors) or total retinal detachment (exophytic tumors).
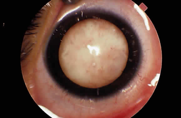
Strabismus or ocular misalignment occurs in about one third of cases and may herald a relatively small tumor that involves the fovea. For this reason, careful ophthalmoscopy should be performed in all children with strabismus to exclude retinoblastoma or some other significant retinal pathology. About half of the eyes enucleated for retinoblastoma have iris neovascularization, which may produce neovascular glaucoma, iris heterochromia, and even secondary buphthalmos. Pupillary block glaucoma caused by anterior displacement of the lens-iris diaphragm may be found in eyes with exophytic tumors and total retinal detachments. Endophytic tumors and the rare diffuse infiltrating variant of the disease often seed the anterior chamber, forming a pseudohypopyon of tumor cells that may be initially misdiagnosed as inflammation. An orbital cellulitis-like picture is another type of pseudoinflammatory presentation. In such cases, histopathologic examination usually reveals severe neovascular glaucoma that has caused extensive infarction of the tumor and other intraocular structures. In underdeveloped countries, patients may present in the late stages of the disease with a tumor that has extended extraocularly, causing exophthalmos and an orbital mass. Rare tumors are manifest at birth. Congenital retinoblastoma may present with a massive hyphema and an enlarged ectatic cornea that spontaneously perforates (Fig. 5).
|
| NATURAL HISTORY | ||
| Retinoblastoma is a highly malignant neoplasm that grows relentlessly and
almost always has a fatal outcome if untreated. The tumor arises from
retinal cells and initially is confined to the retina. Clinically, there
appears to be a direct correlation between patient age and retinal
topography that follows a central to peripheral distribution. Macular
tumors present earliest; anterior tumors present last. In Abramson's
series of 565 eyes with bilateral retinoblastoma, all macular tumors
and most retinoblastomas of the posterior pole were detected before
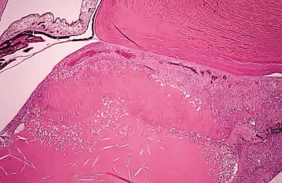
age 24 months. As it grows, the tumor invades the vitreous cavity and/or the subretinal space. Endophytic retinoblastomas that arise from the inner layers of the retina seed the inner surface of the retina, the vitreous cavity, and eventually the anterior chamber, where the tumor cells may infiltrate the iris stroma or trabecular meshwork or form a pseudohypopyon in the inferior angle (Fig. 6). Exophytic tumors arising from the outer retinal layers typically cause a serous retinal detachment. The retinal detachment is often high and bullous in configuration, and the retina typically is plastered against the posterior surface of the lens (Fig. 7). Such eyes frequently have secondary closed-angle glaucoma due to pupillary block. The subretinal fluid often contains seeds of tumor, and a sheet of tumor cells may blanket the inner surface of the retinal pigment epithelium (RPE). Retinoblastoma cells often invade the space between the RPE and Bruch's membrane, causing focal RPE detachments. Bruch's membrane initially serves as a mechanical barrier to invasion. Eventually, however, the retinoblastoma cells breach Bruch's membrane and invade the choroidal stroma (Fig. 8). The uveal tract's rich blood supply nurtures the proliferating tumor cells and can serve as a major route for distant hematogenous dissemination. Although multivariant analysis suggests that the presence of extrascleral extension is a much better indicator of poor prognosis, massive uveal invasion does carry a risk for distant metastasis. In one series, the mortality rate was about 25% with minimal choroidal invasion; this rose to 65% if the invasion was massive. Metastatic disease usually is evident within 1 or 2 years after therapy. Late metastasis is so rare in retinoblastoma that it should raise the possibility of a second independent primary tumor.
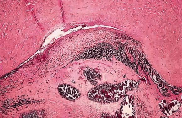
After a retinoblastoma has filled the globe and destroyed its contents, it extends extraocularly. Anteriorly, extraocular extension occurs through the aqueous outflow pathways, pre-existing emissarial canals, or perforations in the cornea. Posterior segment tumors that have invaded the choroid can extend extraocularly along emissarial canals or can invade the orbit by directly infiltrating and destroying the sclera. Patients from underdeveloped countries often present with orbital masses of tumor tissue, which contain ocular remnants, mainly sclera. Secondary buphthalmos and staphylomas caused by secondary glaucoma can facilitate extrascleral extension. Secondary closed-angle glaucoma caused by pupillary block or iris neovascularization is relatively common in eyes with retinoblastoma. Angiogenic factors such as VEGF produced by the tumor cells or the ischemic retina are the probable cause of the iris neovascularization. The optic nerve is the most common avenue for extraocular extension by retinoblastoma. Retinoblastoma has a marked proclivity to invade the optic nerve (Fig. 9). Some degree of optic nerve invasion was present in 29.5% of 814 retinoblastomas reported by Magramm and coworkers. In this respect, the behavior of retinoblastoma contrasts sharply with that of choroidal melanoma, which invades the optic nerve only 5% of the time. The tumor may travel to the brain along the parenchyma of the nerve or via the subarachnoid space, or both. Rare tumors can travel around the chiasm and reach the posterior aspect of the fellow eye. Retinoblastoma cells also can be disseminated widely through the cerebrospinal fluid in the subarachnoid space.
Optic nerve invasion is an extremely important prognostic factor in retinoblastoma. Mortality rates correlate directly with the depth of optic nerve invasion. In Magramm's series, the mortality rate was 10% if there was superficial invasion of the nerve head only (grade I) and 29% for involvement up to and including the lamina cribrosa (stage II). It rose to 42% when there was retrolaminar invasion (grade III) and 78% when the tumor extended to the surgical margin (grade IV). Hence, the surgeon must obtain a long segment of optic nerve when enucleating an eye that is known or suspected to contain a retinoblastoma. If possible, enucleation should not be performed by an inexperienced surgeon. In addition, special care must be taken during gross dissection to avoid contaminating this important surgical margin with tumor. The optic nerve margin should be marked with indelible pencil or India ink before sectioning, and the optic nerve should always be removed before the globe is opened and submitted in a separate cassette. This is particularly important if fresh tumor is harvested in the operating room. In such cases, the marginal segment of nerve should be submitted in a separate container. Blood-staining, obliquity of sectioning, and slight crushing serve to identify the true surgical margin in the laboratory. Retinoblastoma typically metastasizes hematogenously to lungs, bones, brain, and other organs after the tumor gains access to the blood vessels in the uvea or orbital tissues. Cervical and preauricular adenopathy occasionally develops when advanced tumors with extensive anterior segment involvement gain access to lymphatics in the conjunctival stroma. Lymphatics are not present in the orbit. Retinoblastoma occasionally undergoes spontaneous regression. In the past, the incidence of spontaneous regression was estimated to be 1%, which is higher than for any other malignant tumor. Currently, however, it is believed that many lesions that once were classified as spontaneously regressed retinoblastomas are actually benign nonprogressive retinal tumors called retinocytomas or retinomas (some favor the term “spontaneously arrested retinoblastoma”). Clinically, retinocytomas were thought to represent spontaneously regressed retinoblastomas because they resemble retinoblastomas that have regressed after radiation therapy (Fig. 10). They have a translucent “fish flesh” appearance, contain abundant calcification that has been likened to cottage cheese, and are surrounded by a ring of RPE depigmentation. Retinocytomas generally are small tumors that are found in eyes that retain useful vision. They may be incidental findings or are discovered in a parent or siblings when the detection of retinoblastoma in a child prompts examination of other family members. Rare cases of retinocytoma have been observed to undergo malignant transformation into retinoblastoma. Histopathologic examination in one such a case confirmed the presence of benign cytology and photoreceptor differentiation in the original basal part of the tumor. Retinocytomas are relatively resistant to radiation, as are other benign tumors. It, therefore, is not surprising that foci of photoreceptor differentiation are found more often in eyes that are enucleated after external-beam radiotherapy or chemoreduction. Bona fide cases of spontaneous regression of retinoblastoma do occur but are rare. They typically are found in blind, phthisical eyes. Both the regression and phthisis bulbi probably are caused by intraocular infarction in an eye with neovascular glaucoma and markedly elevated intraocular pressure (Fig. 11). Several staging systems for retinoblastoma are available. The Reese-Ellsworth classification for intraocular tumors has prognostic significance for retention of an eye and the control of local disease (Table 1). The St. Jude Children's Research Hospital Clinical Staging System (Table 2) attempts to relate the extent of the disease within and outside the eye to prognosis for sight as well as for freedom from systemic disease. This system is histologically based and requires enucleation.
TABLE ONE. Reese and Ellsworth Classification Group I: Very favorable for maintenance of sight
Group II: Favorable for maintenance of sight
Group III: Possible for maintenance of sight
Group IV: Unfavorable for maintenance of sight
Group V: Very unfavorable for maintenance of sight
Approximately 90% of patients present with one or both eyes categorized as group V.
TABLE TWO. St. Jude Children's Research Hospital Clinical Staging
System Stage I: Tumor confined to the retina
Stage II: Tumor confined to globe
Stage III: Regional extraocular extension of tumor
Stage IV: Distant metastases
Approximately 80% of patients present with one or both eyes classified as stage I–II.
|
| GROSS PATHOLOGY |
| The gross appearance of retinoblastoma is somewhat variable, reflecting
the stage of the disease at enucleation. Because the retina can be considered
to be a peripheral colony of brain cells, it is not surprising
that the tumor characteristically has a white encephaloid, or brainlike, appearance
grossly. The whitish tumor thickens, replaces and destroys
part or all of the retina, and may totally fill the vitreous cavity. The
mass typically contains lighter foci of necrotic tumor or calcification. Gritty
crystals of calcium apatite or lemon-yellow pigmentation
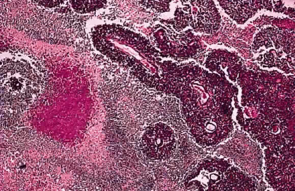
may be encountered in some advanced lesions. Totally necrotic retinoblastomas that have undergone acute infarction occasionally are encountered. Such tumors typically have a blood-tinged, orange, or soupy, grayish necrotic appearance grossly. Infarction caused by severe neovascular glaucoma also affects other intraocular structures, including the iris, ciliary body, and retina, causing inflammatory signs and symptoms. Affected infants may be initially misdiagnosed as having orbital cellulitis. Several tumor growth patterns are recognized macroscopically. Exophytic retinoblastomas arise from the outer retinal layers, proliferate in the subretinal space, and cause secondary retinal detachment (see Fig. 7). The detached retina is typically highly elevated, and its vessels are visible behind the lens on clinical examination. Eyes with exophytic retinoblastomas often develop secondary pupillary block glaucoma. Clinically, exophytic retinoblastomas can be confused with simulating lesions that cause retinal detachment, such as Coats' disease. Endophytic retinoblastomas grow into the vitreous cavity, obscuring the retina, which remains attached (see Fig. 6). Tumor fills the vitreous cavity by direct extension and seeding. Retinal vessels are not evident in the white pupil on slit-lamp examination. A pseudohypopyon of tumor cells often develops if seeding involves the anterior chamber. Hence, endophytic tumors can be confused with primary inflammatory disorders such as toxocariasis, mycotic endophthalmitis, or granulomatous uveitis. As a rule, purely endophytic or exophytic retinoblastomas are uncommon. Most tumors exhibit foci of both growth patterns. A diffuse infiltrative growth pattern occurs in less than 2% of cases. Such diffuse infiltrative tumors are often overlooked or misdiagnosed because they diffusely thicken the retina and do not form a discrete tumefaction (Fig. 12). Diffuse infiltrative retinoblastoma occurs in older children, whose mean age at diagnosis is about 6 years. Such tumors are invariably unilateral and sporadic. Like endophytic retinoblastoma, diffuse infiltrative retinoblastoma typically presents with anterior segment seeding and pseudohypopyon; it is often misdiagnosed as a primary inflammatory disorder or juvenile xanthogranuloma. Some have suggested that this variant of retinoblastoma may have a relatively good prognosis despite delays in diagnosis, but this issue remains controversial. Retinoblastoma is a friable, poorly cohesive neoplasm that can readily disperse or seed widely. Tumor seeds deposited on the inner or outer surfaces of the retina frequently give rise to secondary tumors. The latter may be impossible to differentiate grossly or histologically from multifocal primary lesions. This is unfortunate because true multifocal involvement of the retina signifies hereditary, potentially transmissible disease. |
| HISTOPATHOLOGY |
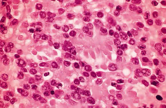
| Retinoblastoma has a characteristic appearance and staining pattern in
routine sections stained with hematoxylin and eosin that instantly suggests
the diagnosis under low magnification. The vitreous cavity is filled
totally, or in part, by a basophilic mass that arises from and destroys
the retina (Fig. 13). The basophilic tumor usually contains eosinophilic and reddish-purple
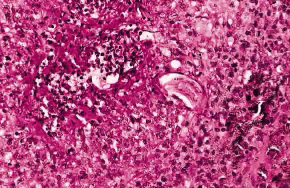
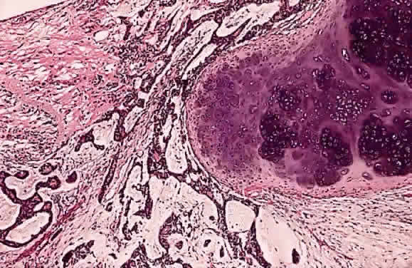
foci (Fig. 14). Viable parts of a retinoblastoma appear blue because they are composed of poorly differentiated neuroblastic cells that have scanty cytoplasm and intensely basophilic nuclei (Fig. 15). Many mitoses and fragments of apoptotic nuclear debris usually are present. Retinoblastoma grows rapidly and has a marked propensity to outgrow its blood supply and undergo spontaneous coagulative necrosis. This usually occurs when the proliferating cells have extended about 90 to 110 μm away from a blood vessel (see Fig. 15). The necrotic tumor cells lose their basophilic nuclear DNA and become pink or eosinophilic. The residual viable cells typically form cuffs or sleeves around vessels, imparting a multilobulated or papillary appearance to some tumors. These perivascular cuffs were called pseudorosettes by some in the past. Foci of dystrophic calcification develop in the necrotic parts of the tumor in many cases. Histopathologically, the calcific foci appear reddish-purple in hematoxylin-and-eosin sections, and the presence of calcium can be confirmed by the von Kossa or alizarin red stains. Electron microscopy suggests that calcification probably begins in the mitochondria of necrotic cells. Clinically, the demonstration of calcification by ultrasonography or computed tomography can help to differentiate retinoblastoma from other simulating lesions. Intensely basophilic deposits of DNA released from necrotic tumor cells are another characteristic histopathologic feature of retinoblastoma. DNA deposition generally is found in eyes with extensively necrotic tumors. Typically, the DNA deposits surround retinal or iris vessels or are found in the trabecular meshwork or in basement membranes such as the lens capsule or the internal limiting membrane of the retina. |
| ROSETTES AND PHOTORECEPTOR DIFFERENTIATION | |
| The most characteristic histopathologic feature of retinoblastoma is the
rosettes of tumor cells described by Simon Flexner in 1881 and Hugo
Wintersteiner in 1897 (Fig. 16). Flexner-Wintersteiner rosettes represent an early attempt at retinal
differentiation. Histologically, these rosettes are composed of a ring
of cuboidal cells surrounding a central lumen. The lumen, which corresponds
to the subretinal space, contains hyaluronidase-resistant acid
mucopolysaccharide (AMP) similar to photoreceptor matrix AMP. The cells
surrounding the lumen are joined near their apices by intercellular
connections (zonulae adherentes), analogous to the external limiting
membrane of the retina. Cilia, which exhibit the 9 + 0 pattern of
microtubular doublets found in the central nervous system, project into
the lumen. Cilia are hypothesized to be the precursor of photoreceptor
outer segments. The presence of many Flexner-Wintersteiner rosettes in a tumor may have prognostic significance. In one series, patients who had moderately well-differentiated tumors that contained abundant Flexner-Wintersteiner rosettes had about a sixfold better prognosis than those whose tumors lacked rosettes. Flexner-Wintersteiner rosettes are more frequent in small, relatively early tumors and may be totally absent in large tumors, which usually are poorly differentiated. Flexner-Wintersteiner rosettes rarely are found in foci of metastatic retinoblastoma. Another less-differentiated type of rosette found in retinoblastoma was described by James Homer Wright (Fig. 17). Wright rosettes are indicative of neuroblastic differentiation. They lack a central lumen, and their constituent cells encompass a central tangle of neural filaments. Wright rosettes are relatively nonspecific. They also occur in neuroblastoma and are a characteristic feature of cerebellar medulloblastoma.
Fleurettes, described by Ts'o, Zimmerman, and Fine in 1970, are aggregates of neoplastic photoreceptors that represent a greater degree of retinal differentiation (Fig. 18). Found in approximately 6% of cases, fleurettes typically occur in a viable area of tumor that appears less cellular and relatively more eosinophilic than adjacent undifferentiated retinoblastoma during low-magnification microscopy. The term “fleurette” denotes a bouquet-like arrangement of cytologically benign cells joined by a series of zonulae adherentes that may form a short segment of neoplastic external limiting membrane. Bulbous eosinophilic processes that represent abortive photoreceptor inner segments form the “flowers” of the bouquet. Electron microscopy occasionally discloses stacks of cellular membranes representing early outer segment differentiation. The demonstration and characterization of photoreceptor differentiation firmly established that retinoblastoma is not a glioma of the retina and affirmed that the adoption of that name by the American Ophthalmological Society in 1926 at Frederick Verhoeff's suggestion was indeed appropriate. Foci of photoreceptor differentiation are found more frequently (40% of cases) in eyes that are enucleated after radiotherapy or chemoreduction. Presumably, the chemo- or radiotherapy kills the malignant part of the tumor and discloses the benign foci, which are relatively radio- or chemoresistant. Retinal tumors composed entirely of fleurettes are thought to be a benign variant of retinoblastoma that is incapable of metastasis. Such tumors are called retinocytomas (see above). Compared to retinoblastoma, the cells composing retinocytoma are quite bland, and mitotic activity is uncommon. In addition, calcification occurs in viable parts of retinocytomas. Retinoblastoma is thought to be derived histogenetically from primitive retinal cells that are capable of differentiation into both neuronal and glial elements. Immunocytochemical studies of retinoblastomas have demonstrated cells that are immunoreactive for either photoreceptors or the giant glial cells of Mueller. Although the actual cell of origin is uncertain, there is evidence that retinoblastoma could be derived from photoreceptors. |
| MOLECULAR GENETICS AND THE RETINOBLASTOMA ONCOGENE | ||||||||||||||||||
| Retinoblastoma is a heritable cancer. Between 5% and 10% of cases are inherited
as what appears to be a classic mendelian autosomal dominant
trait with incomplete penetrance and expressivity. In other words, a carrier
of familial retinoblastoma transmits the tumor to half of his or
her offspring. Molecular genetic studies have shown that the gene responsible
for retinoblastoma actually is recessive on the molecular level. In
fact, the retinoblastoma gene is the paradigm of a human recessive
oncogene or tumor suppressor gene. This retinoblastoma or RB gene is located in the 14 band of the Q or long arm of chromosome 13. The RB gene is 180,388 base pairs in length, and its protein product pRB comprises 928 amino acids. pRB is abundant in the nucleus, where it is involved in control of the cell cycle. During the G1 or resting phase of the cell cycle, pRB is bound to transcription factors such as E2F. Phosphorylation of pRB causes release of E2F. Uncomplexed E2F, in turn, activates a variety of other genes and transcription factors that are important in the initiation of DNA synthesis (S phase). Absence of pRB causes continual cell division and lack of terminal differentiation. The RB protein is phosphorylated by cyclin D2 and its cyclin-dependent kinase (cdk) partner. Certain oncoviruses cause tumors by synthesizing proteins (e.g., adenoviral protein E1A and SV40 large T protein) that bind to pRB and inactivate it. The RB gene causes cancer when its protein product is absent or dysfunctional. Healthy persons have two normal or wild-type RB genes. Both alleles of the RB gene are absent or inactivated in the cells of a retinoblastoma. Carriers of familial retinoblastoma are heterozygous for the RB gene. Although the pRB produced by a heterozygote's single functional gene is sufficient to inhibit tumorigenesis, heterozygotes are at substantial risk to develop retinoblastoma. The genotype of a child with familial retinoblastoma includes one functional copy of the RB gene. The other copy is absent or is mutant and codes for dysfunctional RB protein. Retinoblastoma develops when the solitary remaining wild-type gene is lost or inactivated, by chance, in a cell in the developing retina. Cytogenetic mechanisms responsible for gene inactivation (and resultant homozygosity for the recessive allele) include chromosomal loss or deletion, somatic recombination, and point mutation. The spontaneous mutation rate of the normal wild-type gene RB is 1 in 10 million or greater. It is estimated that 100 million mitoses occur during the growth and development of each retina. Hence, it is highly probable that the second functional copy of the RB gene will be lost or inactivated in at least one retinal cell in an individual whose genotype is heterozygous. Further, it is equally probable that gene inactivation and tumorigenesis will occur in both eyes. An analogous situation occurs in patients who have 13Q- or chromosomal deletion retinoblastoma, which is associated with a karyotypically apparent deletion that includes the Q14 band of chromosome 13. In an analogous fashion, retinoblastoma develops after the chance loss or inactivation of the solitary suppressor gene in a retinal cell. Patients with 13Q- syndrome have severe mental retardation and other congenital abnormalities that may include microcephaly, hypertelorism, ptosis, micrognathia, deformed low-set ears, a wide nasal bridge, cardiac anomalies, anal atresia, microphthalmia, colobomas, and cataracts. There is no evidence to support the interesting speculation that a “triple dose” of suppressor substance could be responsible for the hypoplastic ocular anomalies, such as anophthalmia, microphthalmia, and cyclopia/synophthalmia, that occur in patients with trisomy 13. Immune surveillance appears to arrest some tumors, despite the appropriate second mutation. This probably is responsible in part for the incomplete penetrance of the RB gene, which is estimated to be approximately 80%—in other words, there is an 80% chance that one tumor will develop in one eye. A few families with low-penetrance retinoblastoma have been reported. They have reduced levels of wild-type RB protein or mutant RB protein that retains partial activity. Most retinoblastomas are sporadic tumors that occur in patients who have a negative family history and a normal karyotype. Three fourths of the sporadic tumors are caused by somatic mutations. Always unilateral and solitary, such somatic sporadic retinoblastomas presumably are caused by the chance inactivation of both RB genes in a single cell in the developing retina (somatic mutation). The remaining 25% of sporadic retinoblastomas are caused by germinal mutations. Such sporadic germinal tumors represent new heritable cases. The primary mutation or gene inactivation probably occurs early in embryogenesis in the fusing gametes or in the fertilized ovum and thus is present in all the patient's cells, including gametes. Hence, persons who have this variety of sporadic retinoblastoma can transmit the tumor to their offspring. Like familial tumors, retinoblastomas caused by sporadic germinal mutations typically are bilateral and multifocal and occur at an earlier age. About one third of patients with retinoblastoma have bilateral tumors (see Fig. 2). The presence of bilateral tumors in a patient with sporadic retinoblastoma indicates that that patient has a germline mutation and is capable of transmitting the disease to one half of his or her offspring. Unfortunately, the opposite is not true. As a result of incomplete penetrance and expressivity, 10% to 15% of unilateral, sporadic retinoblastomas are caused by potentially transmissible, germline mutations. Statistics used for genetic counseling (Table 3) reflect both the effect of gene penetrance and the proportion of familial, chromosomal deletion, and sporadic somatic and germinal retinoblastomas in the population.
TABLE THREE. Genetic Counseling: Risk That Subsequent
Molecular genetics readily explains several hitherto puzzling clinical features of retinoblastoma. For example, retinoblastoma is predominantly a tumor of early childhood. Although rare adult cases have been reported, the mean age at diagnosis is 18 months and the tumor is extremely rare after age 4 years. Cytogenetic misadventures that cause gene inactivation generally occur during cellular division. Most mitotic activity in the retina actually ceases before birth, making neoplastic transformation in older persons highly unlikely. Congenital retinoblastoma has been observed in both premature and term infants. A heritable or sporadic tumor caused by a germinal mutation typically develops at an earlier age than a unilateral sporadic somatic retinoblastoma (mean age 12 months versus 23 months), presumably because only a single RB gene allele, rather than two, must be inactivated. Knudson graphically compared the ages of patients who had unilateral and bilateral tumors with the logarithm of the proportion in each group as yet undiagnosed. His results led him to postulate that two separate events or “hits” are necessary for the development of sporadic retinoblastomas (“two-hit hypothesis”). The curve for bilateral, hereditary tumors is a simple exponential relation, consistent with a single gene inactivation or “hit” superimposed on the inherited genotypic defect. Patients who are heterozygous carriers of familial retinoblastoma are predisposed to develop other malignant tumors. A survivor of bilateral retinoblastoma has a 20% to 50% chance of developing a second tumor within 20 years (Armed Forces Institute of Pathology series: 26% within 30 years). These secondary nonocular tumors include osteogenic and other soft tissue sarcomas, carcinomas of the upper respiratory passages, malignant melanomas, and carcinomas of the skin. Most second tumors occur within the field of irradiation many years after external-beam radiotherapy for intraocular retinoblastoma. However, a 500-fold increase in the incidence of osteogenic sarcoma in the nonirradiated femur has been reported. Some of the most interesting secondary nonocular neoplasms that develop in heterozygous carriers of the RB gene are tumors of the pineal gland or parasellar region that resemble ectopic retinoblastomas. This association between pinealoma and bilateral hereditary retinoblastoma has been termed “trilateral retinoblastoma.” The pineal gland, which serves as a “third eye” in some primitive reptiles, shares antigenic determinants with the retina and exhibits transient photoreceptor differentiation in the neonatal rat. Photoreceptor differentiation has been identified in human pineal tumors. The RB gene has been implicated in a variety of other systemic malignancies, including breast, lung, and bladder cancer. This is not surprising, considering the RB gene's fundamental role in control of the cell cycle. |
| DIFFERENTIAL DIAGNOSIS OF RETINOBLASTOMA | ||||||||||||||||||||||||||||||||||||||||||||||||||||||
| Although untreated retinoblastoma is almost invariably fatal, the prognosis
is excellent if the tumor is treated in its early stages. Because
patient survival depends on prompt, accurate diagnosis and expeditious
therapy, the ophthalmologist must be thoroughly familiar with retinoblastoma's
varied clinical presentations. In addition, he or she
must be able to differentiate this pediatric malignancy from a variety
of benign simulating lesions (Table 4). In Europe, such masquerading lesions occasionally are still termed pseudogliomas, reflecting
Rudolph Virchow's erroneous dictum that
retinoblastoma is a retinal glioma.
TABLE FOUR. Differential Diagnosis of Leukocoria: Retinoblastoma
Other lesions: Retinal astrocytomas and astrocytic hamartomas (tuberous sclerosis), colobomas, myelinated nerve fibers, congenital cataract, retinal detachment, vitreous hemorrhage, trauma.
In the past, the clinical differentiation of retinoblastoma from other benign simulating lesions was somewhat academic because both typically occurred in blind eyes and were treated by enucleation. Although enucleation is always psychologically abhorrent, it did not have major functional consequences in such cases. Diagnostic accuracy has become increasingly important in recent years, however, because chemotherapy is being used as primary therapy for some cases of retinoblastoma. In addition, some common simulating lesions, such as persistent hyperplastic primary vitreous (PHPV), are now treated surgically. Another reason to avoid unnecessary enucleation in infancy is the orbital hypoplasia and deforming facial asymmetry that often result from surgical anophthalmia. It must be strongly emphasized, however, that diagnostic enucleation remains the only prudent therapeutic choice if the diagnosis is at all uncertain. Many lesions that simulate retinoblastoma produce leukocoria. The causes of the white pupillary reflex in such cases include opacification of the lens, retrolenticular fibrosis, retinal detachment, material in the vitreous cavity, or depigmented lesions in the posterior retina or choroid. The three most common simulating lesions are toxocariasis, PHPV, and Coats' disease. TOXOCARIASIS Inflammatory disorders can simulate retinoblastoma, and retinoblastoma occasionally is misdiagnosed initially as inflammation. Endophytic or diffuse infiltrative retinoblastomas typically seed the vitreous humor and occasionally the anterior chamber, forming a pseudohypopyon of tumor cells. The most common inflammatory disease that simulates retinoblastoma is ocular toxocariasis, particularly the nematode endophthalmitis form of the disorder (Fig. 19). Representing about one fourth of cases, presumed ocular toxocariasis was the most common simulating lesion in Shields' series of 76 cases of pseudoretinoblastomas. Leukocoria in toxocariasis results from the accumulation of inflammatory cells or debris in the vitreous and mimics endophytic retinoblastoma.
Ocular toxocariasis is an infestation by second-stage larvae of the canine ascarid Toxocara canis and is an ocular manifestation of visceral larval migrans. Ocular toxocariasis almost always occurs unilaterally in children ages 6 to 11 years. Clinically, ocular toxocariasis presents most often as a large retinal inflammatory mass accompanied by a marked inflammatory reaction in the vitreous, or as an isolated granuloma with scant vitritis. The typical lesion is a white chorioretinal mass in the periphery of the fundus. Such peripheral lesions typically exert extreme vitreoretinal traction and may produce falciform retinal folds or total retinal detachment. Although it generally is stated that the inflammatory response follows the death of the intraocular parasite, eosinophils do interact with living larvae under experimental conditions. Experimental studies also suggest that parasites potentially may escape immune surveillance by shedding material from the outer portion of their cuticles. This may explain why nematodes occasionally are not found when a globe that contains a presumptively diagnostic eosinophilic vitreous abscess is serially sectioned. Patients rarely have systemic eosinophilia. Clinically, a negative serum enzyme-linked immunosorbent assay (ELISA) for Toxocara antigen is evidence against toxocariasis, but of course a positive ELISA test does not exclude retinoblastoma: in some socioeconomic groups, 10% of the population tests positive for antibodies to Toxocara. Other inflammatory diseases that occasionally are misdiagnosed as retinoblastoma include metastatic endophthalmitis, congenital toxoplasmosis, cytomegalovirus retinitis, herpes simplex virus retinitis, and peripheral uveoretinitis. PERSISTENT HYPERPLASTIC PRIMARY VITREOUS PHPV is an extremely common variety of pseudoretinoblastoma. Second only to presumed ocular toxocariasis, it constituted 20% of the cases in the series reported by Shields. PHPV is a congenital anomaly that is present at birth. Although exceptions have been reported, PHPV classically occurs in a microphthalmic eye that has a shallow anterior chamber and a clear lens. The disorder is unilateral. Abnormal shunt vessels often traverse the iridic surface. Histopathologically, a plaque of fibrovascular tissue that resembles primary vitreous adheres to the posterior lens capsule, and the hyaloid artery is often patent. The tips of the ciliary processes typically adhere to the margins of the retrolenticular plaque. As the eye enlarges, the processes are drawn centrally and elongated. Visible behind the clear lens through a dilated pupil, these inwardly drawn ciliary processes are a helpful diagnostic sign (Figs. 20 and 21). PHPV may occur in isolation or in association with other ocular abnormalities. It is a common finding in eyes with trisomy 13. Rare cases have been reported in which both PHPV and retinoblastoma have occurred together, either ipsilaterally or contralaterally. The posterior lens capsule is interrupted in some cases of PHPV. This occasionally leads to cataract formation and may allow mesenchymal tissue to invade the interior of the lens. Intraocular adipose tissue and even bone have been reported histopathologically. Approximately one fifth (10/47) of eyes with PHPV contain mature adipose tissue. Goldberg has suggested that persistent fetal vasculature may be a more appropriate term for this disorder. Other congenital or developmental disorders occasionally confused with retinoblastoma include congenital retinoschisis, dominant exudative vitreoretinopathy, congenital retinal fold, the morning-glory disk anomaly, and idiopathic retinal vascular hypoplasia. COATS' DISEASE Simulating lesions that cause retinal detachment typically are confused with exophytic retinoblastoma. The exudative detachment of Coats' disease is a classic example (Figs. 22–24). The exudative retinal detachment in Coats' disease is caused by leakage of fluid from abnormal telangiectatic retinal vessels. Often called Leber's miliary aneurysms, these fusiform or saccular “light bulb” venous dilatations tend to involve the temporal parafoveal quadrant of the retina and are especially common superotemporally. Intravenous fluorescein angiography often discloses an area of capillary nonperfusion adjacent to the abnormal vessels. Some cases may present with decreased vision due to macular exudation.
Coats' disease usually is unilateral, and two thirds of cases occur in boys. Although most cases are diagnosed in the second half of the first decade (age 4 to 10 years), the disease can affect children between 18 months and 18 years. Macroscopically, enucleated eyes with Coats' disease have a high bullous retinal detachment that typically abuts the back surface of the lens and ciliary body (see Fig. 22). The lens-iris diaphragm is displaced anteriorly, causing secondary closed-angle glaucoma via a pupillary block mechanism. The yellow, gelatinous subretinal fluid contains glistening crystals of cholesterol. Rarely, the lipid-rich subretinal fluid enters the anterior chamber through defects in the retina and anterior vitreous. Histopathologically, parts of the inner retina contain an increased number of large telangiectatic vessels. The outer retinal layers are massively thickened by exudates, which appear as pools of eosinophilic and transudate positive for periodic acid-Schiff (see Fig. 23). The densely proteinaceous and lipid-rich subretinal fluid contains aggregates of foamy histiocytes and empty clefts that contained free, rhomboidal, crystals of cholesterol that were dissolved by lipid solvents during processing (see Fig. 24). RETINOPATHY OF PREMATURITY Organization or fibrosis of the vitreous (e.g., cyclitic membrane formation), which may lead to tractional retinal detachment, occurs in several conditions that simulate retinoblastoma, including retinopathy of prematurity (ROP). The term retrolental fibroplasia, originally applied to this largely iatrogenic disorder, emphasizes the causal role of vitreous organization in the tractional retinal detachment that complicates its final stages. ROP usually is bilateral and rarely is present at birth, two features it shares with retinoblastoma. Classically, ROP develops in premature infants who have received supplemental oxygen therapy. Infants weighing less than 1500 g at birth and those born at a gestational age of less than 32 weeks are at risk for developing ROP. However, occasional cases have been reported in full-term infants and in premature infants who did not receive oxygen therapy. Vascular proliferation and secondary vitreous fibrosis are thought to result from the effect of increased oxygen levels on the immature, incompletely vascularized retina. ROP typically arises in the temporal quadrant of the retina, because the temporal retina usually is not completely vascularized at term, especially in premature infants. Experiments performed in newborn kittens suggest that excessive oxygen induces transient vasoconstriction, subsequent dilatation, and ultimately vaso-obliteration of immature retinal vessels. Electron microscopic studies suggest that retinal neovascularization in the human may be a response of the vanguard of primitive, vasoformative spindle cells in the nonvascularized peripheral retina to elevated oxygen levels or, perhaps, diminished levels of vitamin E. Increased numbers of intercellular gap junctions between vasoformative cells have been observed in vitamin E-deficient infants who subsequently developed ROP. The role of this natural antioxidant compound in the causation and therapy of ROP remains controversial. In the early active stages of ROP, a band of glomeruloid capillaries proliferates at the junction between the peripheral nonperfused and the posterior perfused retina. The proliferating vessels break through the internal limiting membrane and invade the vitreous, inciting fibrosis and contraction. In the later cicatricial stages of ROP, the retina is folded on itself by the organized vitreous, forming a fibroneural mass that drags the macula and optic disc temporally (Fig. 25). The end stage of the disease is marked by total retinal detachment, leukocoria, blindness, and phthisis bulbi. RETINAL DETACHMENT Retinal detachment in childhood can be confused with retinoblastoma, and vice versa. The possibility of an underlying retinoblastoma should always be considered when a child presents with retinal detachment and vitreous hemorrhage, even when a history of trauma is obtained. Appropriate preoperative studies (ultrasonography or computed tomography) are indicated; if vitrectomy is performed, the specimen should be submitted for cytologic examination. The clinician must recall that retinoblastoma occasionally presents in older children, who may have the diffuse infiltrative form of the tumor that typically does not cause a discrete tumefaction or leukocoria. In addition, retinoblastoma (or another intraocular malignancy such as medulloepithelioma) must be ruled out in any infant or child with neovascular glaucoma. Neovascular glaucoma in a child is retinoblastoma until proven otherwise. In addition, the ophthalmologist always should recall the association between retinal detachment and child abuse. INCONTINENTIA PIGMENTI Peripheral vascular abnormalities, which are believed to cause secondary retinal detachment and leukocoria, occur in females who have incontinentia pigmenti or the Bloch-Sulzberger syndrome. This rare multisystem disorder has an X-linked dominant inheritance; normal males die in utero, but the disorder has been reported in males with Klinefelter's syndrome (XXY). Affected female infants develop vesiculobullous skin lesions on the trunk and extremities at birth or shortly thereafter. The bullae contain many eosinophils, and systemic eosinophilia is often present. The term incontinentia pigmenti refers to the incontinence, or loss, of melanin from epidermal basal cells. The pigment collects in the dermis as free granules or as aggregates of melanophages. Clinically, the affected skin has a characteristic marbleized or whorllike pattern of pigmentation. Other manifestations of the syndrome include alopecia, dental anomalies (late dentition, absent or misshapen teeth), and central nervous system abnormalities (seizures, mental retardation). Ocular findings occur in approximately one third of patients and include strabismus (18.2%) and pseudoglioma caused by a retrolental mass of organized, chronically detached retina (15.4%). Histopathologic examination, limited to “end-stage” eyes enucleated as possible retinoblastomas, has revealed relatively nonspecific findings. Although pigmentary disturbances have been reported clinically, the RPE abnormalities noted histopathologically, including papillary proliferation and fibrotic nodules, probably are a nonspecific reaction to chronic retinal detachment. Of pathogenetic significance are the retinal vascular abnormalities found in the temporal equatorial retina in 7 of 19 patients by Watzke and coworkers. These border the nonperfused, avascular peripheral retina and are composed of bizarre, arborizing arteriovenous anastomoses and frondlike clusters of new vessels that leak fluorescein. These retinal vascular changes have a striking similarity to the vascular lesions of early ROP, but none of the patients were premature. There is a single report of retinoblastoma arising in a patient with incontinentia pigmenti. NORRIE DISEASE Norrie disease, or the progressive oculoacousticocerebral degeneration of Norrie, is a rare, X-linked recessive heritable disorder characterized by bilateral leukocoria caused by retinal detachment. Affected boys classically have a triad of blindness, deafness, and mental retardation. Apparent at birth or in early infancy, the ocular findings usually progress to phthisis bulbi. An identical disorder in a Maltese kindred is called Episkopi blindness. The Norrie disease gene is located on the short arm of the X chromosome. The function of norrin, the gene's protein product, is uncertain. Mutations in the norrin gene have been found in patients with other heritable retinal disorders, including X-linked exudative vitreoretinopathy, and may predispose some premature infants to develop severe ROP. RETINAL DYSPLASIA AND TRISOMY 13 In the broadest sense, retinal dysplasia refers to an aberrant proliferation of the developing retina as branching tubules that communicate with the subretinal space. In routine histologic sections, such tubules appear as dysplastic rosettes. Variable in appearance, dysplastic rosettes generally are larger and more elliptical than the neoplastic Flexner-Wintersteiner rosettes of retinoblastoma and usually are composed of multiple retinal layers. Retinal dysplasia and PHPV are characteristic ocular findings in trisomy 13; in fact, trisomy 13 was called retinal dysplasia before the chromosomal defect was identified. The multitude of systemic and ocular findings found in patients with trisomy 13 may include bilateral leukocoria. Rarely, retinal dysplasia occurs unilaterally in the congenitally malformed eyes of otherwise healthy persons. MEDULLOEPITHELIOMA AND OTHER PEDIATRIC INTRAOCULAR TUMORS Embryonal medulloepithelioma is the second most common intraocular tumor of childhood (Figs. 26 and 27). This rare intraocular neoplasm is thought to arise from congenital rests of the medullary epithelium, which normally lines the forebrain and optic vesicle during early embryonic life. Embryonal medulloepithelioma is also called diktyoma. Fuchs applied that term to an early case of the tumor that had an interlacing, netlike pattern of neuroepithelial cells, but the diktyomatous pattern is actually uncommon.
Embryonal medulloepithelioma presents most often with poor vision or blindness (39%), pain (30%), an iris or ciliary body mass (18%), or leukocoria (18%). In 16% of cases, the tumor is an unexpected, incidental finding in an enucleated blind, painful eye. Unusual presentations include cataract, multiple translucent neoplastic cysts in the posterior or anterior chamber, and lens “colobomas” due to segmental loss of zonular fibers. In some cases, the tumor stroma forms a diaphanous cyclitic membrane behind the lens. Although the average age at presentation is about 4 years, treatment often is delayed; thus, the median age at surgery and histopathologic diagnosis is 5 years. Histopathologically, medulloepithelioma is composed of tubules, cords, and bands of polarized neuroectodermal cells that resemble neoplastic medullary epithelium. Although Homer Wright and Flexner-Wintersteiner rosettes can be observed in retinoblastoma-like foci within malignant medulloepitheliomas, most rosettes in medulloepithelioma are larger and are composed of multiple layers of elongated neuroepithelial cells, which closely resemble the embryonic ciliary epithelium. The lumina of the rosettes and slitlike structures formed by the polarized epithelium correspond to the subretinal space. The outer side is lined by a basement membrane analogous to the retina's internal limiting membrane. Tumors often contain pools of loose, mesenchymal stroma rich in hyaluronic acid. This “neoplastic vitreous” typically adheres to the side of the neuroepithelium that is lined by basement membrane. In approximately 37.5% of cases, which are called teratoid medulloepitheliomas, the tumor stroma contains heteroplastic elements such as brain, hyaline cartilage, and rhabdomyoblasts (see Fig. 27). Both benign and malignant teratoid and nonteratoid medulloepitheliomas occur. Two thirds of the medulloepitheliomas in Broughton and Zimmerman's series of 56 cases from the Armed Forces Institute of Pathology were malignant, and almost half (46%) of these were teratoid and contained a variety of heteroplastic elements. Only one fifth (21%) of the benign tumors were teratoid. Histologic criteria for malignancy include (1) areas of poorly differentiated neuroblastic cells resembling those of retinoblastoma, (2) pleomorphism and mitotic activity, (3) a sarcomatous appearance of the stroma, and (4) aggressive behavior evidenced by intraocular invasion of the uvea, cornea, sclera, or optic nerve, with or without extrascleral extension. Although most medulloepitheliomas are ciliary body tumors, the tumor occasionally arises from the retina or optic nerve. Direct intracranial invasion is responsible for most deaths and is seen in cases with extraocular extension and orbital spread. Enucleation is the treatment of choice because there is a high incidence of recurrence after local resection. Other rare intraocular neoplasms that present in childhood may be confused with retinoblastoma clinically. These include glial neoplasms such as retinal astrocytomas and astrocytic hamartomas, and a reactive, nonneoplastic proliferation of retinal glial cells. The latter, termed massive gliosis, has a variety of causes, usually is unsuspected clinically, and is diagnosed histopathologically. Massive gliosis rarely is confused clinically with an intraocular neoplasm. It usually is found incidentally during the histopathologic examination of a blind and painful or phthisical eye. Frequently, massive gliosis is caused by old presumed toxocariasis. Retinal astrocytomas or astrocytic hamartomas usually are found in patients with tuberous sclerosis or von Recklinghausen's neurofibromatosis. Astrocytic lesions occur in more than 50% of cases of tuberous sclerosis. Most are small, slow-growing astrocytic hamartomas. These vary from small, semitranslucent plaques of the nerve fiber layer to elevated, partially calcified nodules. The accumulation of calcospherites often imparts a mulberry-like appearance to the nodules. Large retinal tumors that resemble subependymal giant cell astrocytomas of the brain histopathologically occur rarely. These often affect the posterior part of the retina and are readily confused with retinoblastoma clinically. They are often extensively necrotic and may be associated with total retinal detachment and florid iris neovascularization. The term giant drusen of the optic nerve has been applied to astrocytomas located in the prelaminar part of the disc. Glioneuroma is an extremely rare anterior segment tumor that arises from the anterior lip of the optic cup; it actually may be a choristomatous malformation. Histopathologically, glioneuroma contains both glial and neuronal-like cells and has a brainlike appearance. In contrast to retinoblastoma that has invaded the anterior chamber, glioneuroma is a more distinct, cohesive mass. A primitive neuroectodermal tumor of the retina with melanocytic differentiation has been reported. This “retinal melanoma” was misdiagnosed clinically as retinoblastoma. OTHER SIMULATING LESIONS Cataract, congenital corneal opacities, colobomas, and myelinated nerve fibers also are listed in the differential diagnosis of retinoblastoma. Although leukocoria caused by cataract should be obvious to the ophthalmologist, secondary cataracts may be misleading. The author has seen a fatal case of retinoblastoma in which the patient had undergone inappropriate cataract surgery elsewhere. Rarely, retinoblastoma and congenital cataract occur together. Secondary cataractogenesis is fortunately a late manifestation of retinoblastoma that usually occurs in eyes with extensive intraocular necrosis. Necrosis of the ciliary epithelium may also cause spontaneous dislocation of the lens in such eyes. Corneal opacities or white pupillary reflexes caused by choroidal colobomas or myelinated nerve fibers understandably could confound the pediatrician or a general physician unskilled at ophthalmoscopy. Such lesions should be easily diagnosed by an ophthalmologist, however. |
| REFERENCES |
EPIDEMIOLOGY CLINICAL FEATURES PROGNOSTIC FACTORS RETINOMA/RETINOCYTOMA/SPONTANEOUS REGRESSION HISTOLOGY AND ULTRASTRUCTURE THE RETINOBLASTOMA GENE AND THE GENETICS OF RETINOBLASTOMA SECONDARY NONOCULAR TUMORS LESIONS THAT SIMULATE RETINOBLASTOMA |