AccessLange: General Ophthalmology / Printed from AccessLange (accesslange.accessmedicine.com).
 
Copyright ©2002-2003 The McGraw-Hill Companies. All rights reserved.
 

Page 6 of 9 PREVIOUS | NEXT Printable VersionPrint this Page
Print this Chapter ( K)
 
Chapter 10: Retina

II. TUMORS OF THE RETINA

J. Brooks Crawford , MD

PRIMARY BENIGN INTRAOCULAR TUMORS

Retinal Angioma*

Retinal hemangiomas occur as isolated tumors or associated with cerebellar hemangioblastomas, pancreatic cysts and carcinomas, renal cysts and carcinomas, and pheochromocytomas in von Hippel-Lindau syndrome (Figure 10-30). The retinal tumors are pink or red, endophytic, and usually supplied by a large feeder vessel. Juxtapapillary tumors are usually exophytic. Vision is affected by bleeding or exudation from the tumor vessels. Photocoagulation, diathermy, and cryotherapy are used to treat the retinal lesions.


Figure 10-30

Figure 10-30: Angiomatosis retinae of Von Hippel-Lindau disease (drawing). (Courtesy of F Cordes.)

Astrocytic (Glial) Hamartomas

Astrocytic hamartomas are translucent to whitish retinal and optic nerve head tumors most frequently associated with tuberous sclerosis (Bourneville's disease) (Figure 10-31). They may also be associated with neurofibromatosis-1 and -2 or may occur as isolated findings. These tumors are congenital. They may grow slowly and, as they mature, become calcified, acquiring a mulberry configuration.


Figure 10-31

Figure 10-31: Retinal astrocytic hamartoma.

PRIMARY MALIGNANT TUMORS OF THE RETINA

Retinoblastoma (Figure 10-32)

Retinoblastoma is a rare but life-endangering tumor of childhood. Two-thirds of cases appear before the end of the third year; rare cases have been reported at almost every age. Bilateral disease occurs in about 30% of cases. This is generally a sign of heritable disease, but up to one-third of heritable cases have purely unilateral disease. An allele within chromosomal band 13q14 controls both the heritable and nonheritable forms of the tumor. The normal retinoblastoma gene, present in every individual, is a suppressor gene or anti-oncogene. Individuals with the heritable form of the disease have one altered allele in every cell of the body; when the other allele in a developing retinal cell is affected by a spontaneous mutation, the tumor develops. In the nonheritable form of the disease, both alleles of the normal retinoblastoma gene in a developing retinal cell are inactivated by spontaneous mutation. Survivors of the heritable form of the disease (those 5% of new cases who had an affected parent or those who have had a germinal mutation) have almost a 50% chance of producing an affected child.


Figure 10-32

Figure 10-32: Retinoblastoma as viewed through the pupil.

Retinoblastomas may exhibit outward (exophytic) or inward (endophytic) growth-either or both. The latter then extend into the vitreous (Figure 10-33). Both types gradually fill the eye and extend through the optic nerve to the brain and, less commonly, along the emissary vessels and nerves in the sclera to the orbital tissues. Occasionally, they grow diffusely in the retina, discharging malignant cells into the vitreous or anterior chamber, thereby producing a pseudoinflammatory process and mimicking retinitis, vitritis, uveitis, or endophthalmitis. Microscopically, most retinoblastomas are composed of small, closely packed, round or polygonal cells with large, darkly staining nuclei and scanty cytoplasm. They sometimes form characteristic Flexner-Wintersteiner rosettes, which are indicative of photoreceptor differentiation. Degenerative changes are frequent, accompanied by necrosis and calcification. A few will spontaneously resolve.


Figure 10-33

Figure 10-33: Endophytic retinoblastoma.

Retinoblastoma usually remains unnoticed until it has advanced far enough to produce a white pupil (leukocoria), strabismus, or inflammation. All children with strabismus or intraocular inflammation should be evaluated for the presence of retinoblastoma. The tumor is usually seen in the early stages only when sought for, as in children having a hereditary background or in cases where the other eye has been affected.

Retrolental fibroplasia, persistence of the primary vitreous, retinal dysplasia, Coats' disease, and nematode endophthalmitis may simulate retinoblastoma.

In general, the earlier the discovery and treatment of the tumor, the better the chance to prevent spread through the optic nerve and orbital tissues.

Enucleation is the treatment of choice for large retinoblastomas. Eyes with smaller tumors can be effectively treated with plaque or external beam radiotherapy (Figure 10-34), cryotherapy, or photocoagulation. Chemotherapy is being used to reduce the size of large tumors prior to other types of therapy and occasionally as the sole form of therapy. It is also used to treat tumors that have extended into the brain, orbit, or distally and may be used after enucleation in patients at high risk for such widespread disease.


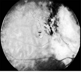
Figure 10-34

Figure 10-34: Retinoblastoma after radiotherapy.

Second primary malignant tumors, especially osteosarcomas, develop in a large number (estimates range from 20% to 90%) of survivors of the heritable form of retinoblastomas after a period of many years. These patients need to be carefully evaluated for the remainder of their lives.

LYMPHOMA

Intraocular lymphomas rarely occur in association with systemic lymphomas but are not uncommon as primary tumors, most often involving the retina and vitreous. They were formerly called ocular reticulum cell sarcomas but are now considered to be large cell lymphomas. They often mimic retinitis, vitritis, or uveitis; therefore, it is important to consider this tumor in the differential diagnosis of unexplained intraocular inflammation in an older patient.

Central nervous system involvement is the usual cause of death. Radiation plus chemotherapy is the treatment of choice and prolongs survival.

*See also Retinocerebellar Angiomatosis in Chapter 14.

 
Page 6 of 9 PREVIOUS | NEXT  
 
 

10.1036/1535-8860.ch10

Copyright ©2002-2003 The McGraw-Hill Companies. All rights reserved.
Any use is subject to the Terms of Use and Notice. Additional credits and copyright information. For further information about this site contact tech_support@accessmedicine.com.
Last modified: October 31, 2002 .
McGraw-HillEducation
The McGraw-Hill Companies
AccessLange: General Ophthalmology / Printed from AccessLange (accesslange.accessmedicine.com).
 
Copyright ©2002-2003 The McGraw-Hill Companies. All rights reserved.