AccessLangeGeneral Ophthalmology
Vaughan, Asbury, Riordan-Eva :
AccessMedicine.com
HomeAboutAccount ServicesBuy BooksSite MapHelpLogoutAccessMedicine HomeAccessMedicine Publications
Full TOC

Related Sites
Forum

Chapter 5: Conjunctiva

IV. CONJUNCTIVAL TUMORS

J. Brooks Crawford , MD

PRIMARY BENIGN TUMORS OF THE CONJUNCTIVA

Nevus (Figure 5-26)

One-third of melanocytic nevi of the conjunctiva lack pigment. Over half have cystic epithelial inclusions that can be seen clinically.


Figure 5-26

Figure 5-26: Conjunctival nevus. Note sharp borders.

Histologically, conjunctival nevi are composed of nests or sheets of nevus cells. Conjunctival nevi, like other nevi, rarely become malignant. Many are excised because they are disfiguring.

Pigmented conjunctival nevi must be distinguished from primary acquired melanosis of the conjunctiva. The latter occurs later in life (after the third decade), is usually unilateral, tends to wax and wane in degree of pigmentation, and, depending on the degree of cellular atypia, has a risk of becoming malignant ranging from nil to 90%.

Papilloma

Conjunctival papillomas occur in two forms: infectious papillomas, associated with a papovavirus, occurs in children and young adults, especially in the inferior fornix and near the medial canthus (Figure 5-27). The other type arises from a broad base, often near the limbus, in older adults and may be indistinguishable from conjunctival intraepithelial neoplasia. A biopsy may be required to establish the diagnosis.


Figure 5-27

Figure 5-27: Conjunctival papilloma.

Granulomatous Inflammation

Granulomatous inflammation occurs around foreign bodies, around extravasated sebaceous material in chalazia, and in association with diseases such as coccidioidomycosis and sarcoidosis. These inflammatory foci may form elevated plaques or nodules in the skin or the conjunctiva of the eyelids.

Dermoid Tumor (Figure 5-28)

This congenital tumor appears as a smooth, rounded, yellow elevated mass, frequently with hairs protruding. A dermoid tumor may remain quiescent, though it can increase in size. Removal is indicated only if cosmetic deformity is significant or if vision is impaired or threatened. Limbal dermoids and dermolipomas are most often isolated lesions, but occasionally they may be part of such syndromes as oculoauriculovertebral dysplasia (Goldenhar's syndrome).


Figure 5-28

Figure 5-28: Conjunctival dermoid tumor.

Dermolipoma

Dermolipoma is a common congenital tumor that usually appears as a smoothly rounded growth in the upper temporal quadrant of the bulbar conjunctiva near the lateral canthus. Treatment is usually not indicated, but at least partial removal may be indicated if the growth is enlarging or is cosmetically disfiguring. Posterior dissection must be undertaken with extreme care (if at all) since this lesion is frequently continuous with orbital fat; orbital derangement may cause scarring and complications far more serious than the original lesion.

Lymphoma & Lymphoid Hyperplasia

These are conjunctival lesions that may appear in adults without evidence of systemic disease or associated with systemic lymphosarcoma or various blood dyscrasias. The clinical appearance of benign lymphoid hyperplasia and malignant lymphoma can be similar; therefore, biopsy is essential to establish a diagnosis. Since many of these lymphoid tumors may involve the orbit, an magnetic resonance imaging (MRI) or computed tomography (CT) scan may be required to determine the true extent of the tumor.

Treatment of both benign and malignant lesions is best accomplished with radiotherapy.

Angioma

Conjunctival angiomas may occur as isolated, circumscribed capillary hemangiomas or as more diffuse vascular tumors, often associated with a more extensive lid or orbital capillary or cavernous hemangioma. Hemangiomas should be distinguished from telangiectases involving conjunctival capillaries. Telangiectatic conjunctival vessels may occur as isolated lesions or may be associated with systemic vascular hamartomas in Rendu-Osler-Weber disease or in ataxia-telangiectasia (Louis-Bar syndrome).

Pyogenic granulomas are a variety of capillary hemangiomas. They frequently occur on the palpebral conjunctiva over chalazia or in an area of recent surgery.

In Kaposi's sarcoma associated with AIDS, red-blue vascular nodules may first become apparent in the conjunctiva. They are associated with a herpesvirus. Radiotherapy is the most effective treatment.

Bacillary angiomatosis is another proliferative vascular lesion that may appear similar to Kaposi's sarcoma. It is due to infection with gram-negative bacteria of the genus Bartonella-B henselae from cats in patients with AIDS and B quintana from body lice in low-income homeless individuals. These tumors respond to antibiotic therapy.

PRIMARY MALIGNANT TUMORS OF THE BULBAR CONJUNCTIVA

Carcinoma

Carcinoma of the conjunctiva arises most frequently at the limbus in the area of the palpebral fissure and less often in nonexposed areas of the conjunctiva. Some of these tumors may resemble pterygia. Most have a gelatinous surface; sometimes, abnormal keratinization of the epithelium produces leukoplakia. Growth is slow, and deep invasion and metastases are extremely rare; therefore, complete excision is effective treatment. Recurrences are common if the lesion is incompletely excised; treatment consists of reexcision. The use of cryotherapy may help to prevent recurrences.

Conjunctival dysplasia, also called atypical epithelial dysplasia, is a benign condition that occurs as an isolated lesion or sometimes over pterygia and pingueculae and can resemble carcinoma in situ clinically and even histologically. The term conjunctival intraepithelial neoplasia can be applied to all neoplastic lesions from dysplasia to carcinoma that are confined to the epithelium.

Excisional biopsy will establish a diagnosis and result in cure of most of these lesions.

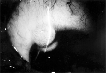
Malignant Melanoma

Malignant melanomas of the conjunctiva are rare. Most arise from areas of primary acquired melanosis; some arise from conjunctival nevi; a few apparently arise de novo from normal conjunctiva. Some are melanotic; others are heavily pigmented (Figure 5-29).


Figure 5-29

Figure 5-29: Conjunctival malignant melanoma.

Many tumors can be locally excised. More radical surgery (eg, exenteration of the orbit) does not usually improve the prognosis. The use of cryotherapy after excision of melanotic tumors may help to prevent recurrences.

 
PREVIOUS | NEXT
 
 
Page: 1 | 2 | 3 | 4 | 5 | 6 | 7 | 8 | 9 | 10 | 11 | 12 | 13 | 14
 
 

10.1036/1535-8860.ch5

Copyright ©2002-2003 The McGraw-Hill Companies. All rights reserved.
Any use is subject to the Terms of Use and Notice. Additional credits and copyright information. For further information about this site contact tech_support@accessmedicine.com.
Last modified: October 15, 2002 .
McGraw-HillEducation
The McGraw-Hill Companies
Top