|
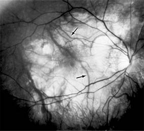
Chapter 10: Retina DISEASES OF THE MACULA AGE-RELATED MACULAR DEGENERATION Age-related macular degeneration is the leading cause of permanent blindness in the elderly. The exact cause is unknown, but the incidence increases with each decade over age 50. Other associations besides age include race (usually Caucasian), sex (slight female predominance), family history, and a history of cigarette smoking. The disease includes a broad spectrum of clinical and pathologic findings that can be classified into two groups: nonexudative ("dry") and exudative ("wet"). Although both types are progressive and usually bilateral, they differ in their manifestations, prognosis, and management. The more severe exudative form accounts for approximately 90% of all cases of legal blindness due to age-related macular degeneration. 1. NONEXUDATIVE MACULAR DEGENERATION Nonexudative age-related macular degeneration is characterized by variable degrees of atrophy and degeneration of the outer retina, retinal pigment epithelium, Bruch's membrane and choriocapillaris. Of the ophthalmoscopically visible changes in the retinal pigment epithelium and Bruch's membrane, drusen are the most typical (Figure 10-1). Drusen are discrete, round, yellow-white deposits of variable size beneath the pigment epithelium and are scattered throughout the macula and posterior pole. With time, they may enlarge, coalesce, calcify, and increase in number. Histopathologically, most drusen consist of focal collections of eosinophilic material lying between the pigment epithelium and Bruch's membrane; they therefore represent focal detachment of the pigment epithelium. In addition to drusen, clumps of pigment irregularly dispersed within depigmented areas of atrophy may progressively appear throughout the macula. The level of associated visual impairment is variable and may be minimal. Fluorescein angiography demonstrates irregular patterns of retinal pigment epithelial hyperplasia and atrophy. Electrophysiologic testing in most patients is normal. There is no generally accepted treatment or means of prevention of this type of macular degeneration. Laser retinal photocoagulation appears to have a beneficial effect on drusen but has not yet been shown to improve visual outcome. Although high plasma levels of antioxidants are associated with a reduced risk of age-related macular degeneration, the use of vitamin supplements does not appear to be preventive. Most patients with macular drusen never experience significant loss of central vision; the atrophic changes may stabilize or progress slowly. However, the exudative stage may develop suddenly at any time, and in addition to regular ophthalmic examinations, patients are given an Amsler grid ( 2. EXUDATIVE MACULAR DEGENERATION Although patients with age-related macular degeneration usually manifest nonexudative changes only, the majority of patients who experience severe vision loss from this disease do so from the development of subretinal neovascularization and related exudative maculopathy. Serous fluid from the underlying choroid can leak through small defects in Bruch's membrane, causing focal detachment of the pigment epithelium. Additional fluid may lead to further separation of the overlying sensory retina, and vision usually decreases if the fovea is involved. Retinal pigment epithelial detachments may spontaneously flatten, with variable visual results, and leave a geographic area of depigmentation at the involved site. Ingrowth of new vessels from the choroid into the subretinal space is the most important change that predisposes patients with drusen to macular detachment and irreversible loss of central vision. These new vessels grow in a flat cartwheel or sea-fan configuration away from their site of entry into the subretinal space. The clinical changes of early subretinal neovascularization are subtle and may be easily overlooked; during this occult stage of new vessel formation, the patient is asymptomatic, and the new vessels may not be apparent either ophthalmoscopically or angiographically. The ophthalmologist must maintain a high index of suspicion that subretinal neovascularization is present whenever a patient with evidence of age-related macular degeneration has sudden or recent central vision loss, including blurred vision, distortion, or a new scotoma. If the fundus examination reveals subretinal blood, exudate, or a grayish-green choroidal lesion in the macula, there is great likelihood that neovascularization is present, and a fluorescein or indocyanine green angiogram should be obtained promptly to determine if a treatable lesion can be identified. Although some subretinal neovascular membranes may spontaneously regress, the natural course of subretinal neovascularization in age-related macular degeneration is toward irreversible loss of central vision over a variable period of time. The sensory retina may be damaged by long-standing edema, detachment, or underlying hemorrhage. Furthermore, a hemorrhagic detachment of the retina may undergo fibrous metaplasia, resulting in an elevated subretinal mass called a disciform scar. This elevated fibrovascular mound of variable size represents the cicatricial end stage of exudative age-related macular degeneration. It is usually centrally located and results in permanent loss of central vision. Treatment In the absence of subretinal neovascularization, no medical or surgical treatment of serous retinal pigment epithelial detachment is of proved benefit. The use of parenteral alpha interferon, for example, has not been effective for this disease. However, if a well-defined extrafoveal ( Krypton laser photocoagulation of juxtafoveal (<200 Following successful photocoagulation of a subretinal neovascular membrane, recurrent neovascularization either contiguous with or remote from the laser scar may occur in one-half of cases by 2 years. Recurrence is often accompanied by severe vision loss, so that careful monitoring with Amsler grids, ophthalmoscopy, and angiography is essential. Low-dose radiotherapy has provided encouraging results in patients with subfoveal neovascularization. Patients with impaired central vision in both eyes may benefit from a variety of low vision aids. CENTRAL SEROUS CHORIORETINOPATHY Central serous chorioretinopathy is characterized by serous detachment of the sensory retina as a consequence of focal leakage of fluid from the choriocapillaris through a defect in the retinal pigment epithelium (Figures 10-2 and 10-3). This disease typically affects young to middle-aged men and may be related to life stress events. Most patients present with the sudden onset of blurred vision, micropsia, metamorphopsia, and central scotoma. Visual acuity is often only moderately decreased and may be improved to near-normal with a small hyperopic correction. The diagnosis is made by slitlamp examination of the fundus; the presence of serous detachment of the sensory retina in the absence of ocular inflammation, subretinal neovascularization, an optic pit, or a choroidal tumor is diagnostic. The retinal pigment epithelial lesion appears as a small, round or oval, yellowish-gray spot that is variable in size and may be difficult to detect without the aid of fluorescein angiography. Fluorescein dye leaking from the choriocapillaris may accumulate below the pigment epithelium or sensory retina, resulting in a variety of patterns including the well-recognized smokestack configuration. Approximately 80% of eyes with central serous chorioretinopathy undergo spontaneous resorption of subretinal fluid and recovery of normal visual acuity within 6 months after the onset of symptoms. Despite normal acuity, however, many patients have a mild permanent visual defect, such as a decrease in color sensitivity, micropsia, or relative scotoma. Twenty to 30 percent of patients will have one or more recurrences of the disease, and complications-including subretinal neovascularization and chronic cystoid macular edema-have been described in patients with frequent and prolonged serous detachments. The cause of central serous chorioretinopathy is unknown; there is no convincing evidence that the disease is either infectious or due to retinal pigment epithelial dystrophy. Argon laser photocoagulation directed to the active leak significantly shortens the duration of the sensory detachment and hastens the recovery of central vision, but there is no evidence that prompt photocoagulation reduces the chance of permanent loss of visual function. Although the complications of retinal laser photocoagulation are few, it is probably not advisable to recommend immediate photocoagulation treatment in all patients with central serous chorioretinopathy. The duration and location of disease, the condition of the fellow eye, and occupational visual requirements are all considerations upon which treatment decisions are based. MACULAR EDEMA Retinal edema involving the macula may be associated with a variety of intraocular inflammatory diseases, retinal vascular diseases, intraocular surgery, inherited or acquired retinal degenerations, medications, macular membranes, or unknown causes. Macular edema may be diffuse, with nonlocalized intraretinal fluid causing thickening of the macula. When edema fluid accumulates in honeycomb-like spaces of the outer plexiform and inner nuclear layers, it is called cystoid macular edema. On fluorescein angiography, fluorescein dye leaks from the perifoveal retinal capillaries and accumulates in a flower-petal pattern about the fovea (Figure 10-4). The most widely recognized association with cystoid macular edema is intraocular surgery. Approximately 50% of eyes undergoing uneventful intracapsular cataract extraction and 20% of eyes undergoing extracapsular cataract extraction develop angiographic cystoid macular edema. Clinically significant edema usually occurs within 4-12 weeks postoperatively, but in some instances its onset may be delayed for months or years. Many patients with cystoid macular edema of less than 6 months' duration have self-limited leakage that will resolve without treatment. Topical or local (or both) anti-inflammatory therapy may be of value in restoring visual acuity in some patients with chronic postoperative macular edema. YAG laser vitreolysis (see Chapter 24) and surgical vitrectomy may be of benefit when the macular edema is associated with vitreous tissue incarcerated in the cataract wound or adherent to anterior segment structures. When an intraocular lens implant is the cause of postoperative macular edema due to its design, positioning, or inadequate fixation, removal of the lens implant can be considered. INFLAMMATORY DISORDERS INVOLVING THE MACULA Presumed Ocular Histoplasmosis Syndrome (Figures 10-5, 10-6 and 10-7) In this disease, serous and hemorrhagic detachments of the macula are associated with multiple peripheral atrophic chorioretinal scars and peripapillary chorioretinal scarring (see Chapter 7). The syndrome usually occurs in healthy patients between the third and sixth decades of life, and the scars are probably caused by an antecedent subclinical systemic infection with Histoplasma capsulatum. The macular detachments are due to subretinal neovascularization, and the visual prognosis depends on the proximity of the neovascular membrane to the center of the fovea. If the membrane extends inside the foveal avascular zone, only 15% of eyes will retain 20/40 vision. A macular scar may change over time, and 10% of patients with normal maculae will develop new atrophic scars in this region. The relative risk of developing macular subretinal neovascularization in the second eye of an affected patient is significant, and these patients should be instructed in the frequent use of the Amsler grid and the importance of prompt examination when changes are detected. Argon laser photocoagulation of a subretinal neovascular membrane outside the foveal avascular zone in symptomatic patients is of value in preventing severe vision loss. The surgical removal of submacular membranes may prove useful in preserving vision. Acute Multifocal Posterior Placoid Pigment Epitheliopathy (AMPPPE) AMPPPE typically affects healthy young patients who develop rapidly progressive bilateral vision loss in association with ophthalmoscopically visible multifocal flat gray-white subretinal lesions involving the pigment epithelium (Figure 10-8). The cause of this disease, which in many instances is associated with evidence of an influenza-like illness, is unknown; the course and nature of the illness suggests the possibility of viral infection. The characteristic feature of the disease is the rapid resolution of the fundus lesions and a delayed return of visual acuity to near-normal levels. Although the prognosis for visual recovery in this acute self-limited disease is good, many patients will identify small residual paracentral scotomas when carefully tested. Extensive pigmentary changes remaining during the late stages of AMPPPE may mimic widespread retinal degeneration; the clinical history and normal electrophysiologic findings aid in this differential diagnosis. Geographic Helicoid Peripapillary Choroidopathy This is a chronic progressive and recurrent multifocal inflammatory disease of the retinal pigment epithelium, choriocapillaris, and choroid. It characteristically involves the juxtapapillary retina and extends radially to involve the macula and peripheral retina. The active stage manifests itself as sharply demarcated gray-yellow lesions with irregular borders that appear to involve the pigment epithelium and choriocapillaris. Vitritis, anterior uveitis, and subretinal neovascularization have been associated with this disorder. Involvement is usually bilateral, and the cause is unknown. The natural history of this indolent inflammatory disease is variable and may correlate with the presence of disease in the fellow eye. Local or systemic corticosteroid treatment may be of benefit when active inflammation is present; laser photocoagulation is administered as indicated for the complication of subretinal neovascularization. Vitiliginous Chorioretinitis (Birdshot Retinochoroidopathy) This is a syndrome characterized by diffuse cream-colored patches at the level of the pigment epithelium and choroid, retinal vasculitis associated with cystoid macular edema, and vitritis. The associations with HLA-A29 and with retinal S-antigen suggest that this disease has a genetic predisposition and that retinal autoimmunity plays a role in its manifestations. In many cases, electroretinography, electro-oculography, and dark adaptation studies are abnormal. The course of the disease is that of exacerbation and remission with variable visual outcomes; visual loss has been attributed to chronic cystoid macular edema, optic atrophy, macular scarring, or subretinal neovascularization. Corticosteroid therapy has not proved effective against this disease. Acute Macular Neuroretinopathy Acute macular neuroretinopathy is characterized by the acute onset of paracentral scotomas and mild visual acuity loss accompanied by wedge-shaped parafoveal retinal lesions in the deep sensory retina of one or both eyes. The macular lesions are subtle, reddish-brown, and best seen with a red-free light. The patients are usually young adults with a history of acute viral illness. While the retinal lesions may fade, the scotomas tend to persist and remain symptomatic. Multiple Evanescent White Dot Syndrome This is an acute and self-limited unilateral disease that affects mainly young women and is characterized clinically by multiple white dots at the level of the pigment epithelium, vitreal cells, and transient electroretinographic abnormalities. The cause is unknown. There is no evidence of associated systemic disease. The retinal lesions gradually regress in a matter of weeks, leaving only minor retinal pigment epithelial defects. ANGIOID STREAKS Angioid streaks appear as irregular, jagged tapering lines that radiate from the peripapillary retina into the macula and peripheral fundus (Figure 10-9). The streaks represent linear crack-like dehiscences in Bruch's membrane. The lesions are rarely noted in children and probably develop in the second or third decade of life. Early in the disease the streaks are sharply outlined and red-orange or brown. Subsequent fibrovascular tissue growth may partially or totally obscure the streak margins. Nearly 50% of patients with angioid streaks have an associated systemic disease. Pseudoxanthoma elasticum, Paget's disease of bone, Ehlers-Danlos syndrome, and several hemoglobinopathies and hemolytic disorders have been associated with this retinal disease, but the most common association is with age-related degeneration of Bruch's membrane. Patients with angioid streaks should be warned of the potential risk of choroidal rupture from even relatively mild eye trauma. Older patients with the disease are at risk of developing serous and hemorrhagic detachments of the retina as a consequence of subretinal neovascularization. Laser treatment may be used to photocoagulate extrafoveal neovascular membranes; however, other neovascular membranes are likely to occur. Prophylactic treatment of angioid streaks before subretinal neovascularization develops is not recommended. MYOPIC MACULAR DEGENERATION Pathologic myopia is one of the leading causes of blindness in the United States and is characterized by progressive elongation of the eye with subsequent thinning and atrophy of the choroid and pigment epithelium in the macula. Peripapillary chorioretinal atrophy and linear breaks in Bruch's membrane ("lacquer cracks") are characteristic findings on ophthalmoscopy (Figure 10-10). The degenerative changes of the macular pigment epithelium resemble those found in the older patient with age-related macular degeneration. A characteristic lesion of this disease is a raised, circular, pigmented macular lesion called a Fuchs spot. Most patients are in the fifth decade when the degenerative macular changes cause a slowly progressive loss of vision; rapid loss of visual acuity is usually caused by serous and hemorrhagic macular degeneration overlying a subretinal neovascular membrane. Fluorescein angiography in patients with pathologic myopia may show delayed filling of choroidal and retinal blood vessels. Angiography is helpful in identifying and locating the site of subretinal neovascularization in patients who develop serous or hemorrhagic detachments of the macula. Because of the frequent close proximity of the subretinal neovascular membrane to the foveola in these patients, laser photocoagulation may not be possible. As subretinal neovascular membranes tend to remain small and because photocoagulation-associated chorioretinal atrophy tends to progress in patients with pathologic myopia, retinal laser treatment is not as beneficial as in other diseases associated with macular subretinal neovascularization. The chorioretinal changes of pathologic myopia predispose the retina to breaks and thus to retinal detachment. Peripheral retinal findings may include paving stone degeneration, pigmentary degeneration, and lattice degeneration. Retinal breaks usually occur in areas involved with chorioretinal lesions, but they also arise in areas of apparently normal retina. Some of these breaks, particularly those of the "horseshoe" and round retinal tear type, will progress to rhegmatogenous retinal detachment. MACULAR HOLE A macular hole is a partial or full-thickness absence of the sensory retina in the macula. This disorder occurs most often in elderly women and is associated with elevated plasma fibrinogen levels. The typical finding on biomicroscopy of the symptomatic eye is a full-thickness, round or oval, sharply defined hole measuring one-third disk diameter in the center of the macula, which may be surrounded by a ring detachment of the sensory retina (Figure 10-11). With a full-thickness macular hole, visual acuity is impaired and metamorphopsia, as well as a central scotoma, are present on the Amsler grid. An operculum of retinal tissue may overlie the macular hole. Tangential traction from epiretinal vitreous cortex plays an important role in the pathogenesis of macular hole. Early stages of macular hole formation, such as a deep foveal yellow spot or ring, may be reversible as the posterior vitreous cortex spontaneously separates from the retina. Therapy for macular hole disease involves reattaching and potentially restoring function to the retina overlying the cuff of subretinal fluid surrounding the hole. While the anatomic results of vitrectomy surgery to close macular holes are encouraging, the clinical benefits are still under study. EPIRETINAL MACULAR MEMBRANES Fibrocellular membranes may proliferate on the surface of the retina, either in the macula or peripheral retina. Contraction or shrinkage of these epiretinal membranes may cause varying degrees of visual distortion, intraretinal edema, and degeneration of the underlying retina. Biomicroscopy usually shows retinal wrinkles and vessel tortuosity and may rarely also show retinal hemorrhages, cotton-wool spots, serous retinal detachment, and macular hole; a posterior vitreous detachment is nearly always present (Figure 10-12). Disorders associated with epiretinal membranes include retinal tears with or without rhegmatogenous retinal detachment, vitreous inflammatory diseases, trauma, and a variety of retinal vascular diseases. Patients with macular distortion and vision loss caused by epiretinal membrane contraction are usually left with stable visual acuity, suggesting that membrane contraction is a short-lived and self-limited process. Surgical peeling of severe epiretinal membranes can be performed successfully, but regrowth of epiretinal tissues occurs in some cases. There is no role for photocoagulation in the treatment of epiretinal macular membrane disease. TRAUMATIC MACULOPATHY Blunt trauma to the anterior segment of the eye may cause a contrecoup injury to the retina called commotio retinae. The retina develops a gray-white color that affects primarily the outer retina and may be confined to the macular area (Berlin's edema) or may involve extensive areas of the peripheral retina. The retinal whitening in the macular area may clear completely, or impairment of central vision may be permanent and associated with a pigmented retinal scar (Figure 10-13) or a macular hole. Trauma similar to that which causes Berlin's edema may also cause choroidal rupture with subretinal hemorrhage and permanent central vision loss. In addition to blunt trauma, several other traumatic injuries involving the macula are of importance. Purtscher's retinopathy is characterized by multiple patches of superficial retinal whitening and retinal hemorrhages in each eye of a patient after severe compression injury to the head or trunk. Terson's syndrome is seen in approximately 20% of patients after traumatic (or spontaneous) subarachnoid or subdural hemorrhage and is characterized by vitreous and superficial macular hemorrhage. Solar retinopathy refers to a specific foveolar lesion that occurs after sun-gazing and is best described as a usually bilateral sharply circumscribed and often irregularly shaped partial-thickness hole or depression in the center of the fovea. MACULAR DYSTROPHIES Macular dystrophies differ from degenerations in that the former are inherited, though not necessarily evident at birth, and are not associated with systemic diseases. Most often the disorder is restricted to the macula; it may be symmetric or asymmetric, but eventually both eyes are affected. In the early stages of some of these disorders the visual acuity may be reduced while the macular changes are subtle or absent on ophthalmoscopy, and the patient's complaint may be dismissed as spurious. Conversely, in other macular dystrophies, the ophthalmoscopic changes may be very striking at a time when the patient is free of visual symptoms. One method of classifying the more common macular dystrophies is to consider the presumptive anatomic layer or layers of the retina involved (Table 10-1). X-Linked Juvenile Retinoschisis This is a congenital disease of males characterized by a macular lesion called "foveal schisis." On slitlamp examination, foveal schisis appears as small superficial retinal cysts arranged in a stellate pattern accompanied by radial striae centered in the foveal area (Figure 10-14). Visual acuity is usually between 20/40 and 20/200; peripheral visual field abnormalities are present in the 50% of patients with associated peripheral retinoschisis. The posterior pole appears normal on fluorescein angiography, and this may be helpful in the clinical differentiation from cystoid macular edema. B wave abnormalities on the electroretinogram are consistent with the histopathologic finding of intraretinal splitting in the nerve fiber layer. Cone-Rod Dystrophies The cone-rod dystrophies constitute a relatively rare group of disorders that may be regarded as a single entity showing variable expressivity. Most cases are sporadic, but familial cases are usually transmitted by an autosomal dominant inheritance pattern. Cone-rod dystrophy is characterized by predominant involvement of the cone photoreceptors with progressive color vision defects and associated loss of visual acuity. A bilateral and symmetric bulls-eye pattern of depigmentation and a corresponding zone of hyperfluorescence surrounding a central nonfluorescent spot (similar to that seen in chloroquine retinopathy) are the most commonly described biomicroscopic and angiographic changes in these patients (Figure 10-15). As the disease progresses, the electroretinogram shows marked loss of cone function associated with a slight to moderate loss of rod function. Histopathologic study shows absence of macular and paramacular photoreceptors, and there is associated pigment epithelium degeneration. Fundus Albipunctatus Fundus albipunctatus is an autosomal recessive nonprogressive dystrophy characterized by a myriad of discrete small white dots at the level of the pigment epithelium sprinkled about the posterior pole and midperiphery of the retina. Patients are night-blind with normal visual acuity, normal visual fields, and normal color vision. While the electroretinogram and electro-oculogram are usually normal, dark adaptation thresholds are markedly elevated. Retinitis punctata albescens is the less common progressive variant of this dystrophy. Fundus Flavimaculatus (Stargardt's Disease) This is a bilateral and symmetric autosomal recessive disorder characterized by multiple yellow-white fleck lesions of variable size and shape confined to the retinal pigment epithelium (Figure 10-16). Many patients suffer central visual loss in childhood; however, macular involvement and the ultimate visual outcome are variable. Fluorescein angiography is important in differentiating flecks from drusen; the former are usually hypofluorescent. The electroretinogram and electro-oculogram are usually normal. Histopathologic abnormalities are confined to the pigment epithelium; the yellow flecks seen clinically are dense accumulations of lipofuscin within engorged pigment epithelial cells. Vitelliform Dystrophy (Best's Disease) Vitelliform dystrophy is an autosomal dominant disorder with variable penetrance and expressivity with onset usually in childhood. The ophthalmoscopic appearance is variable and ranges from a mild pigmentary disturbance within the fovea to the typical vitelliform or "egg yoke" lesion located within the central macula (Figure 10-17). This characteristic cyst-like lesion is generally quite round and well demarcated and contains homogeneous opaque yellow material lying at the apparent level of the retinal pigment epithelium. The "egg yoke" may degenerate and be associated with subretinal neovascularization, subretinal hemorrhage, and extensive macular scarring. Visual acuity often remains good, and the electroretinogram is normal; the distinctly abnormal electro-oculogram is the hallmark of this disease. PREVIOUS | NEXT Page: 1 | 2 | 3 | 4 | 5 | 6 | 7 | 8 | 9 10.1036/1535-8860.ch10 |