AccessLangeGeneral Ophthalmology
Vaughan, Asbury, Riordan-Eva :
AccessMedicine.com
HomeAboutAccount ServicesBuy BooksSite MapHelpLogoutAccessMedicine HomeAccessMedicine Publications
Full TOC

Related Sites
Forum

Chapter 15: Ocular Disorders Associated With Systemic Diseases

GRANULOMATOUS DISEASES

Many of the so-called granulomatous infectious diseases, including tuberculosis, brucellosis, leprosy, and toxoplasmosis, undergo a chronic course with frequent exacerbations and remissions. The eye is often involved, particularly by anterior uveitis. The following paragraphs deal with other ocular complications of these systemic diseases.

TUBERCULOSIS

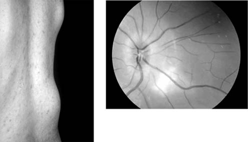
Ocular tuberculosis results from endogenous spread from systemic foci. The incidence of eye involvement is less than 1% in known cases of pulmonary tuberculosis; granulomatous panuveitis and retinal "cold" abscesses may occur (Figure 15-24). There has been a recent increase in the incidence of tuberculosis as a result of the spread of AIDS infection.


Figure 15-24

Figure 15-24: Tuberculosis. Cold abscess. A young man presented with a swelling on his back (left) and a choroidal lesion (right). Aspiration of the abscess revealed Mycobacterium tuberculosis.

Tuberculosis of the Uveal Tract

A. Iritis (Anterior Uveitis):

(See Chapter 7.) Local treatment of iritis with mydriatics and corticosteroids is indicated. Systemic tuberculosis therapy is useful in the treatment of established cases of tuberculous uveitis.

B. Miliary Tuberculosis:

In this usually fatal form of tuberculosis, many small discrete yellowish nodules are visible ophthalmoscopically in the choroid at the posterior pole of the eye.

SARCOIDOSIS (new window  Figures 15-25 and new window  15-26)

Sarcoidosis is a multisystem disease with pulmonary, ocular (uveitis), cutaneous, and reticuloendothelial system manifestations. A granulomatous uveitis may be accompanied by cells in the vitreous periphlebitis, disk swelling, retinal neovascularization, and choroidal disease. New vessels may require photocoagulation. The systemic disease is controlled by the administration of oral corticosteroids and occasionally immunosuppressants. Infiltrative optic neuropathy is a rare cause of progressive severe visual loss.

EALES' DISEASE

This disease was originally reported to occur in young men in poor general health who experienced recurrent vitreous hemorrhages from areas of retinal neovascularization. However, such symptoms are also known to occur in tuberculosis, sarcoidosis, systemic lupus erythematosus, sickle cell disease, and diabetes. Extensive investigations are therefore indicated to exclude these conditions in patients with consistent clinical features. If test results are negative, Eales's disease is then appropriate as a diagnosis arrived at by exclusion. Photocoagulation of the new vessels can reduce the chance of further vitreous hemorrhage.

LEPROSY (Hansen's Disease)

Leprosy is a chronic granulomatous disorder caused by Mycobacterium leprae, an acid-fast bacillus. It is estimated that 12-15 million people in the world have leprosy and that of this number, 20-50% (2.4 million to 6 or 7 million) have ocular involvement. In tropical countries, the infection is endemic.

Three major types of leprosy are recognized: lepromatous, tuberculoid, and dimorphous. The eye may be affected in any type of leprosy, but ocular involvement is more common in the lepromatous type. Ocular lesions are due to direct invasion by M leprae of the ocular tissues or of the nerves supplying the eye and adnexa. Since the organism appears to grow better at lower temperatures, infection is more apt to involve the anterior segment of the eye than the posterior segment.

Clinical Findings

The early clinical signs of ocular leprosy are lagophthalmos, loss of the lateral portions of the eyebrows and eyelashes (madarosis), conjunctival hyperemia, and superficial keratitis (Figure 15-27), with interstitial keratitis-beginning typically in the superior temporal quadrant of the cornea-often supervening.


Figure 15-27

Figure 15-27: Leprosy keratitis, left eye. (Courtesy of W Richards.)

Scarring of the cornea from interstitial or exposure keratitis (or both) causes blurred vision and often blindness. Granulomatous iritis with lepromas (iris pearls) is common, and a low-grade iritis associated with iris atrophy and a pinpoint pupil may also occur. Hypertrophy of the eyebrows with deformities of the lids and trichiasis late in the course of the disease, and exposure keratitis, typically in the inferior and central cornea, can result from facial motor nerve palsy and absence of corneal sensation.

Ocular leprosy can be diagnosed on the basis of characteristic signs combined with a characteristic skin biopsy.

Treatment

Leprosy is now treated with multidrug therapy, which includes dapsone, rifampin, and clofazimine, and the results in patients with early disease have been encouraging.

SYPHILIS

Congenital Syphilis

The most common eye lesion in congenital syphilis is interstitial keratitis (discussed in Chapter 6). Chorioretinitis unassociated with interstitial keratitis may occur. Congenital syphilis is treated with large doses of penicillin.

Acquired Syphilis

Ocular chancre (primary lesion) occurs rarely on the lid margins and follows the same course as a genital chancre.

Iritis and iridocyclitis occur in the secondary stage of syphilis along with the rash in about 5% of cases. The inflammation may involve the posterior segment, including the pigment epithelium and the retinal capillaries (Figure 15-28).


Figure 15-28

Figure 15-28: Secondary syphilis. Bilateral visual loss occurred in a 24-year-old man. Late fluorescein photographs showed disk leakage with dilation and leakage of peripapillary capillaries.

TOXOPLASMOSIS

This disease is of great ocular importance. The etiologic organism is a protozoal parasite that infects a great number of animals and birds and has worldwide distribution. Felids are the definitive host.

Congenital Toxoplasmosis (Figure 15-29)

Infection occurs in utero, and one-third of infants born to mothers who acquired toxoplasmosis during pregnancy-particularly during the third trimester-will be affected.


Figure 15-29

Figure 15-29: Toxoplasmosis. Active area of chorioretinitis adjacent to scar with reaction in adjacent retinal arteriole.

A focal choroiditis is seen, usually in the posterior pole, and an active lesion is often related to an old healed lesion. Episodes of posterior uveitis and chorioretinitis usually represent reactivation of a congenital infection. Rarely, panuveitis may occur, or optic neuritis progressing to optic atrophy. Isolated anterior uveitis does not occur. Peripheral vision is usually preserved, but because of macular involvement in at least 50% of cases, central vision is reduced.

Treatment with systemic corticosteroids and antibiotics reduces inflammation but does not prevent scar formation. Subconjunctival or retrobulbar injection of corticosteroids is contraindicated, because it may cause severe exacerbation of disease. Other forms of treatment are discussed in Chapter 7.

Acquired Toxoplasmosis

Acquired toxoplasmosis affects young adults and is characterized by general malaise, lymphadenopathy, sore throat, and hepatosplenomegaly similar to that seen in infectious mononucleosis. It is endemic in South America. Toxoplasmic retinochoroiditis may rarely follow acquired systemic toxoplasmosis. The diagnosis is confirmed by the finding of both IgG and IgM antibodies.

 
PREVIOUS | NEXT
 
 
Page: 1 | 2 | 3 | 4 | 5 | 6 | 7 | 8 | 9 | 10 | 11 | 12 | 13 | 14 | 15 | 16 | 17
 
 

10.1036/1535-8860.ch15

Copyright ©2002-2003 The McGraw-Hill Companies. All rights reserved.
Any use is subject to the Terms of Use and Notice. Additional credits and copyright information. For further information about this site contact tech_support@accessmedicine.com.
Last modified: October 31, 2002 .
McGraw-HillEducation
The McGraw-Hill Companies
Top